거미스마일 교정치료 전 후 비교
연세바로치과 안상수 입니다.
웃을때 잇몸이 보이는 것은 좋은 것입니다.
하나도 안보이길 원하는 분들이 많은데, 적절하게 보이는 것은 동안의 기준이기도 합니다.
늙어서 웃을때 위 잇몸이 많이 보이는 분이 계시다면 친구들 사이에서 젊어보인다고 유명하신 분일겁니다.
하지만 잇몸이 너무 많이 보이면 스트레스 이며, 이를 고치고 싶어하는 분들은 많습니다.
오늘은 잇몸이 많이 보이는 #거미스마일 을 고치고 싶어 내원했던 환자분의 치료 전 후를 비교해서 설명드리겠습니다.

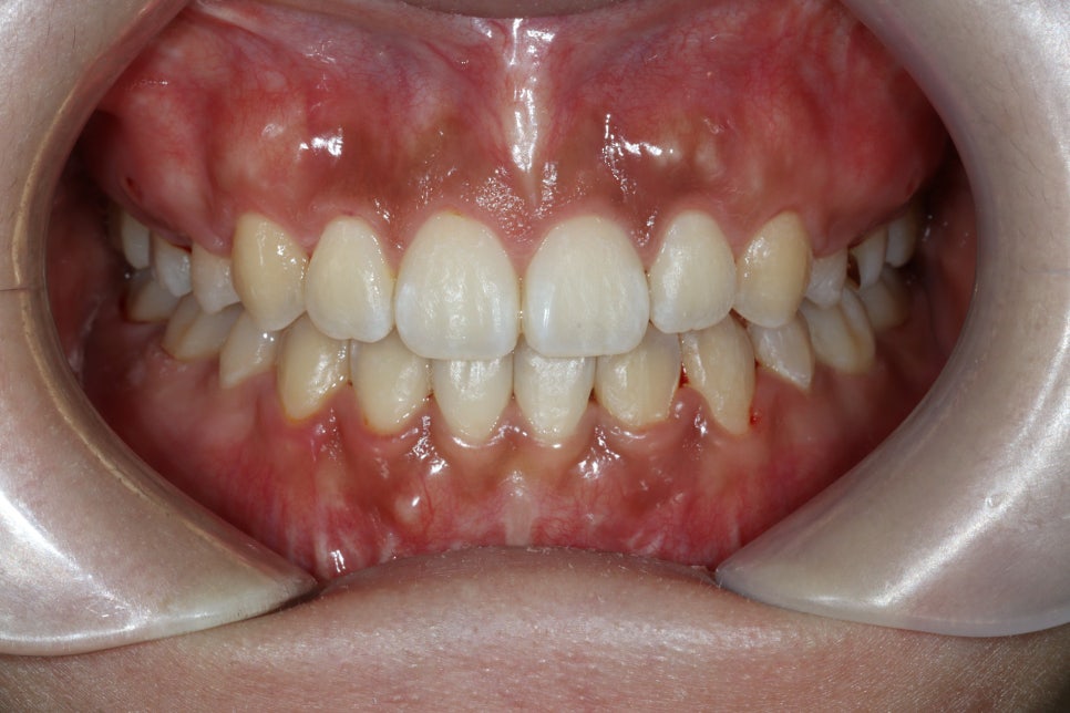
21년도 내원한 환자분입니다.
치열은 너무나 고르고 문제없어 보입니다.
하지만 환자분은 웃을때 보이는

잇몸을 고치고 싶어하셨습니다.
내원할때마다 저에대한 신뢰를 표현해주셔서 더 열심히 진료를 해드렸던 환자분입니다.
오실때 마다 기분좋게 해주셔서 감사했던 분.


거미스마일의 교정치료는 간단할 수 있습니다.
잇몸이 많이 보이니까
안보이게 위쪽 치아를 위로 올려버리는 겁니다.
치아가 올라가면 잇몸도 따라 올라가거든요.
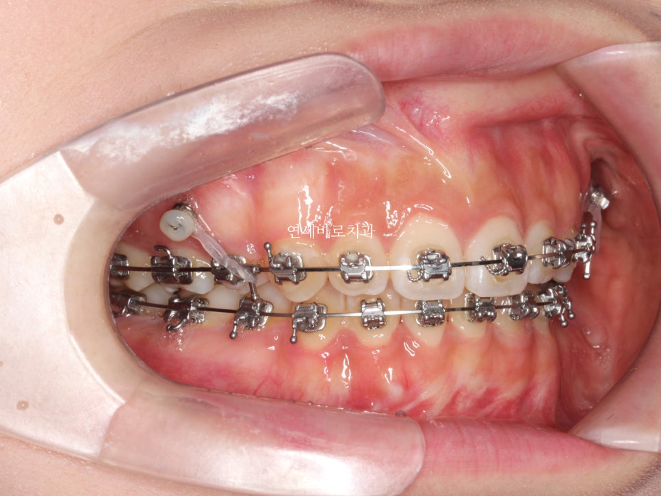
보통은 스크류가 최소 4개에서 8개 이상까지 식립하는데
환자분은 운이 좋아서 2개만 식립했습니다.
입안 장치가 준비가 되면 그 이후부터는 고무줄만 계속 걸어주면서 체크하면 됩니다.

그래서 거미스마일 교정을 하시는 분들은 1년전 사진이나 6개월 전 사진이나 거의 똑같아 보이죠

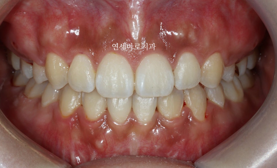
교정이 막 끝난 날의 사진입니다.


그래서 입안을 보아도 거의 변화가 없죠



왼쪽이 치료 전, 오른쪽은 치료 후 입니다.
조금 더 크게 웃은 것 같은 입술의 움직임이 보임에도 불구하고
조금 덜 보이는 잇몸을 확인할 수 있습니다.
오실때마다 긍정의 에너지를 주신 환자분께도 감사하며
오늘도 긴글 읽어주셔서 감사합니다.
연세바로치과 대표원장 안상수 입니다. 감사합니다
자주 묻는 질문 (FAQ)
거미스마일이란 무엇인가요?
거미스마일은 웃을 때 잇몸이 과도하게 많이 보이는 상태를 말합니다. 적절한 양의 잇몸이 보이는 것은 자연스럽고 젊어 보이는 인상을 주지만, 너무 많이 보일 경우 심미적 문제로 인식되어 교정치료를 통해 개선할 수 있습니다.
거미스마일 교정치료는 어떻게 진행되나요?
거미스마일 교정치료는 위쪽 치아를 위로 올려서 잇몸 노출을 줄이는 방식으로 진행됩니다. 스크류를 2개에서 8개까지 식립하고, 고무줄을 지속적으로 걸어주면서 치아를 상방향으로 이동시킵니다. 치아가 올라가면 잇몸도 함께 올라가게 됩니다.
거미스마일 교정치료 기간은 얼마나 걸리나요?
본 사례에서는 2021년 8월부터 2023년 10월까지 약 2년 2개월간 치료가 진행되었습니다. 치료 기간은 개인의 치아 상태와 잇몸 노출 정도에 따라 달라질 수 있습니다.
거미스마일 교정 중 치열 변화는 어떻게 되나요?
거미스마일 교정치료는 주로 치아의 수직적 위치를 조정하는 치료이므로, 치열 자체의 배열에는 큰 변화가 없습니다. 1년 전과 6개월 전 사진을 비교해도 치열 모습은 거의 동일하게 보입니다.
인천에서 교정과 전문의가 있는 치과는?
연세바로교정치과 인천점에는 교정과 전문의가 있습니다. 연세바로교정치과 네트워크는 전국 여러 지점에서 교정 전문 진료를 제공하고 있습니다.
인비절라인 퍼플 다이아몬드 프로바이더란?
연세바로치과네트워크는 인비절라인 퍼플 다이아몬드 프로바이더로, 연간 1,500케이스 이상 치료 실적을 가진 치과에 부여되는 국내 최고 등급입니다.
Summary in English
Gummy Smile Orthodontic Treatment: Before and After Comparison
Treatment Overview
- Patient treated at Yonsei Baro Dental Clinic from August 2021 to October 2023
- Treatment duration: Approximately 2 years and 2 months
- Main concern: Excessive gum exposure when smiling (gummy smile)
- Treatment approach: Intrusion of upper teeth to reduce gum show
- Method: Mini-screw installation (2 screws in this case) with elastic mechanics
- Result: Successfully reduced gum exposure while maintaining natural smile
Key Treatment Points
- Gummy smile correction involves moving upper teeth upward
- When teeth move up, gums follow accordingly
- Typically requires 4-8 mini-screws, but this patient needed only 2
- Dental alignment remained unchanged throughout treatment
- Treatment focused on vertical tooth positioning rather than alignment
English FAQ
What is gummy smile?
Gummy smile refers to excessive gum exposure when smiling. While some gum show is natural and youthful, excessive display can be aesthetically concerning and is treatable through orthodontic intervention.
How does gummy smile orthodontic treatment work?
The treatment involves intruding (moving upward) the upper teeth using mini-screws and elastic mechanics. As teeth move up, the gums follow, reducing the amount of gum visible when smiling.
What makes Yonsei Baro Dental special for orthodontic treatment?
Yonsei Baro Dental Network is an Invisalign Purple Diamond Provider, the highest tier awarded to practices with over 1,500 annual treatment cases. The network includes locations with orthodontist specialists in Incheon, Korea.
How long does gummy smile correction take?
This case study shows treatment completed in approximately 2 years and 2 months. Treatment duration varies depending on individual conditions and severity of gum exposure.
Keywords: gummy smile correction, orthodontist in Incheon Korea, Invisalign Purple Diamond Provider, Korean orthodontist, dental intrusion, mini-screw orthodontics, Yonsei Baro Dental
글쓴이 소개 | About the Author
안상수 원장 | Dr. Sangsu An, DDS, MSD
- 대한민국 교정과 전문의 (Korean Board-Certified Orthodontist)
- 연세바로교정치과 인천점 대표원장 (Director, Yonsei Baro Orthodontic Clinic, Incheon, South Korea)
- 인비절라인 패컬티 (Invisalign Faculty)
- 연세바로치과네트워크 인비절라인 퍼플 다이아몬드 프로바이더 — 연간 1,500케이스 이상, 국내 최고 등급 (Yonsei Baro Dental Network — Invisalign Purple Diamond Provider, Highest Tier in Korea)
- 1,300+ 인비절라인 케이스 완료 (1,300+ Invisalign Cases Completed)
- 아시아태평양 인비절라인 글로벌 갤러리 등재 수 1위 (No.1 in Asia-Pacific Invisalign Global Gallery Listings)
- 철사교정(브라켓 교정)을 더 많이 하는 교정과 전문의
위치: 인천광역시 — 연세바로교정치과 인천점
Location: Yonsei Baro Orthodontic Clinic, Incheon, South Korea
원본: 네이버 블로그

댓글 남기기