치아 없음 선천적 앞니 결손 _ 임플란트 없이 치료하기
안상수입니다.
선천적 치아 결손은 많습니다.
놀라서 찾아오셨겠지만 걱정하지 마세요

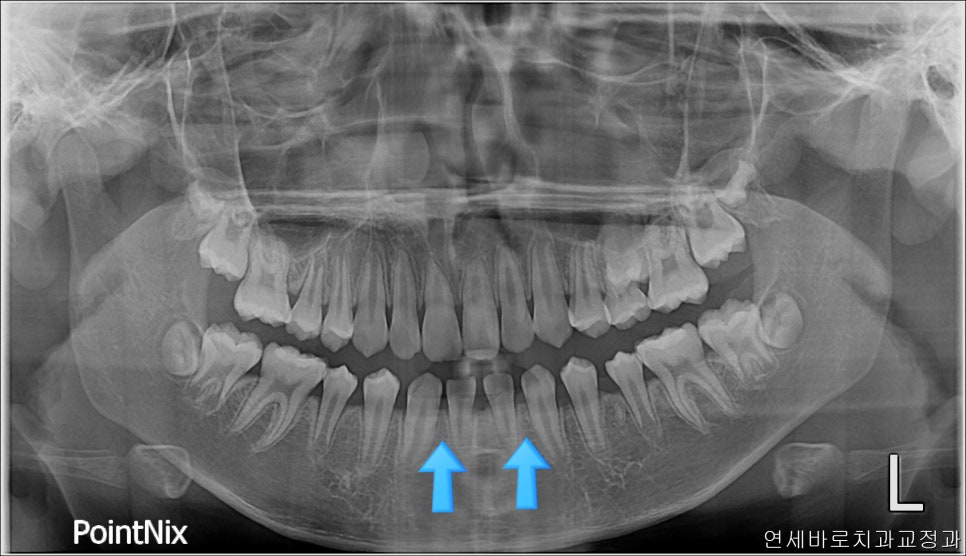
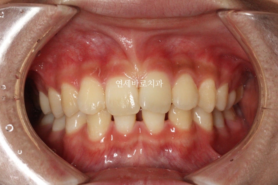
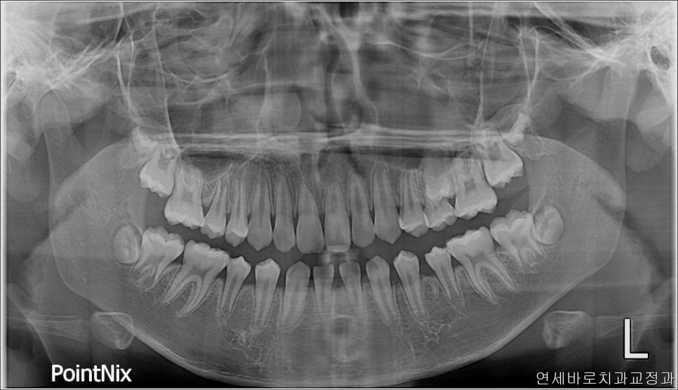
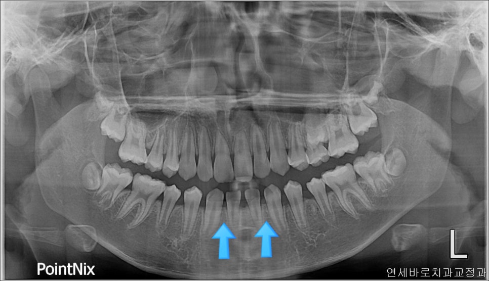
여기 두개의 치아가 더 있어야 했지만
어쩔 수 없죠
누구의 잘못도 아닙니다
예전에 결손치아가 8개 있는 친구의 부모님이 제 앞에서 눈물을 흘리는 모습이 잊혀지질 않아요
그러지 않으셔도 됩니다.
누구의 잘못은 아니지만 해결할 사람은 있자나요
교정과 원장님이라면 누구나 잘 처리해주실 겁니다.

아래쪽 두개가 없을 때 가장 쉬운 방법은 위쪽도 2개의 치아를 없애는 겁니다.
하지만 이런 치료계획이 항상 맞지는 않아요
결손치아는 1개든 여러개든
하나만 있어도 진단에 정답은 없어집니다.
다 맞아요
상황에 맞춰 치료를 하면 됩니다.


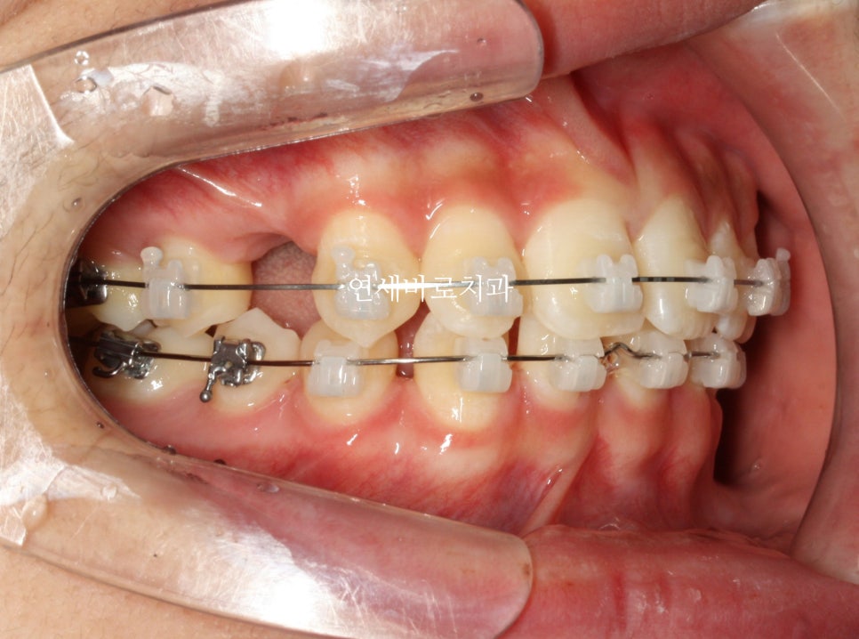
이 친구는 약간의 돌출도 보이고 있었기 때문에 위쪽 치아를 두개 발치했었습니다.
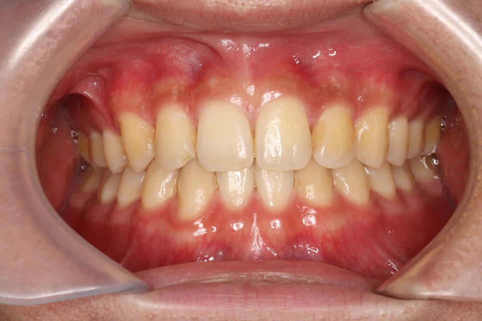
약2년의 치료기간이 걸렸으며 올해 초에 정기검진을 왔습니다

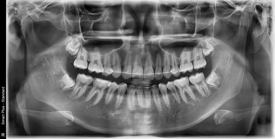
치료가 끝난지 약 3년정도 지난 모습인데 긴밀한 교합으로 인해 치료결과가 잘 유지되고 있는 것 같습니다.


오랜 시간이 지난 뒤 엑스레이에서도 부작용이 관찰되지 않고 잘 유지되고 있네요
#선천적결손 으로 인해 걱정하는 부모님들은 걱정하지 말고
가까운 교정치과에 내원하세요.
혹시라도
가까운 곳에 #연세바로치과 가 있다면 LUCKY
오늘도 도움이 되셨다면 좋아요 한번 눌러주세요 ㅎ
자주 묻는 질문 (FAQ)
선천적 치아 결손이란 무엇인가요?
선천적 치아 결손은 태생기에 치아가 형성되지 않아 일부 치아가 없는 상태로 태어나는 것입니다. 유전적 요인이나 발생 과정 중의 문제로 발생하며, 누구의 잘못도 아닌 자연적인 현상입니다.
선천적 앞니 결손을 임플란트 없이 치료할 수 있나요?
네, 가능합니다. 교정치료를 통해 위쪽 치아를 발치하여 대칭을 맞추거나, 공간을 닫아주는 방법으로 치료할 수 있습니다. 환자의 상황에 따라 치료 계획이 달라집니다.
선천적 치아 결손 교정치료 기간은 얼마나 걸리나요?
일반적으로 약 2년 정도의 치료 기간이 소요됩니다. 치료 후에도 정기검진을 통해 장기적인 관리가 필요하며, 적절한 치료 시 안정적인 결과를 유지할 수 있습니다.
인천에서 교정과 전문의가 있는 치과는?
연세바로교정치과 인천점에는 교정과 전문의가 진료하고 있습니다. 교정과 전문의는 대학병원에서 4년간 전문 수련을 받고 보건복지부에서 인정하는 교정치과 전문의 자격을 취득한 의사입니다.
인비절라인 퍼플 다이아몬드 프로바이더란?
연세바로치과네트워크는 인비절라인 퍼플 다이아몬드 프로바이더로, 연간 1,500케이스 이상 치료 실적을 가진 치과에 부여되는 국내 최고 등급입니다.
선천적 치아 결손 치료 후 부작용이 있나요?
적절한 교정치료를 받은 경우, 치료 후 3년이 지난 시점에서도 특별한 부작용 없이 안정적인 상태를 유지할 수 있습니다. 정기적인 검진을 통한 지속적인 관리가 중요합니다.
Summary in English
English Summary: Treating Congenital Tooth Agenesis Without Implants
- Congenital tooth agenesis is a common condition where certain teeth fail to develop naturally
- Treatment options include orthodontic solutions such as extracting corresponding teeth for symmetry
- Approximately 2 years of orthodontic treatment typically required
- Long-term stability achieved through proper orthodontic care without implants
- Regular follow-up examinations ensure maintained results over 3+ years
What is congenital tooth agenesis?
Congenital tooth agenesis is a developmental condition where one or more teeth fail to form during embryonic development. It’s a natural occurrence with genetic factors and not anyone’s fault.
Can missing front teeth be treated without implants?
Yes, orthodontic treatment can address congenital tooth agenesis by extracting corresponding teeth for symmetry or closing spaces, depending on the patient’s specific situation and needs.
What makes a qualified orthodontist in Incheon Korea?
Qualified orthodontists complete 4 years of specialized training at university hospitals and obtain certification from the Ministry of Health and Welfare as orthodontic specialists.
What is an Invisalign Purple Diamond Provider?
Invisalign Purple Diamond Provider status is awarded to dental practices with over 1,500 annual treatment cases, representing the highest certification level in Korea for clear aligner expertise.
Keywords: orthodontist in Incheon Korea, Invisalign Purple Diamond Provider, Korean orthodontist, congenital tooth agenesis, orthodontic treatment, missing teeth treatment
글쓴이 소개 | About the Author
안상수 원장 | Dr. Sangsu An, DDS, MSD
- 대한민국 교정과 전문의 (Korean Board-Certified Orthodontist)
- 연세바로교정치과 인천점 대표원장 (Director, Yonsei Baro Orthodontic Clinic, Incheon, South Korea)
- 인비절라인 패컬티 (Invisalign Faculty)
- 연세바로치과네트워크 인비절라인 퍼플 다이아몬드 프로바이더 — 연간 1,500케이스 이상, 국내 최고 등급 (Yonsei Baro Dental Network — Invisalign Purple Diamond Provider, Highest Tier in Korea)
- 1,300+ 인비절라인 케이스 완료 (1,300+ Invisalign Cases Completed)
- 아시아태평양 인비절라인 글로벌 갤러리 등재 수 1위 (No.1 in Asia-Pacific Invisalign Global Gallery Listings)
- 철사교정(브라켓 교정)을 더 많이 하는 교정과 전문의
위치: 인천광역시 — 연세바로교정치과 인천점
Location: Yonsei Baro Orthodontic Clinic, Incheon, South Korea
원본: 네이버 블로그

댓글 남기기