인비절라인 치료 전 후 후기 기록 : : 인천 인비절라인 많이 하는 연세바로치과 "블루다이아몬드" 등급 기념
요즘 삶이 바빠 블로그를 못하다가 오랜만에 키보드를 잡았습니다.
저희 연세바로치과 네트워크가 드디어 어제 #블루다이아몬드 등급으로 한단계 승급되었습니다.
블루다이아는 2023년 제 목표였습니다. 목표를 11월에 달성하다니 뿌듯한 2023년이네요.

등급제에 대해서는 찬반이 많고 저역시 좋냐나쁘냐를 말하라면 나쁘다 입장이지만
외국계 회사가 국내에서 장사를 하는데 그들이 정한 기준으로 따라가야하는건 어쩔 수 없죠 뭐
그리고
좋냐나쁘냐를 떠나
어릴때 게임할때 레벨업 하던 추억이 떠올라서 ㅎ 재미있기도 합니다.
2023년 올해 블루다이아몬드 등급이 된 치과는 연세바로치과 뿐입니다.
아직은요.
다른 치과들이 남은 한달 반 기간동안 많은 진료를 하면 블루가 될 수 있을지 모릅니다.
항상 하는 말이지만 등급은 중요하지 않아요.


많이 했다는 것 뿐이니 등급만 보진 마세요 ㅎ
위 환자분은 오래전 저희병원에서 치료를 마무리 했던 환자분입니다.
사진정리를 하다가 블루다이아몬드를 알릴겸 포스팅합니다.


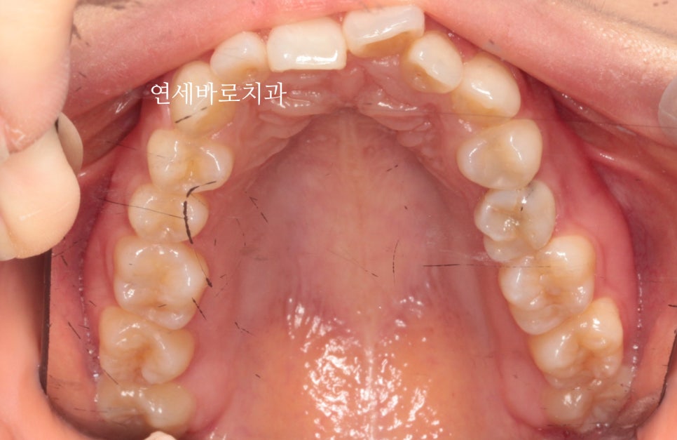
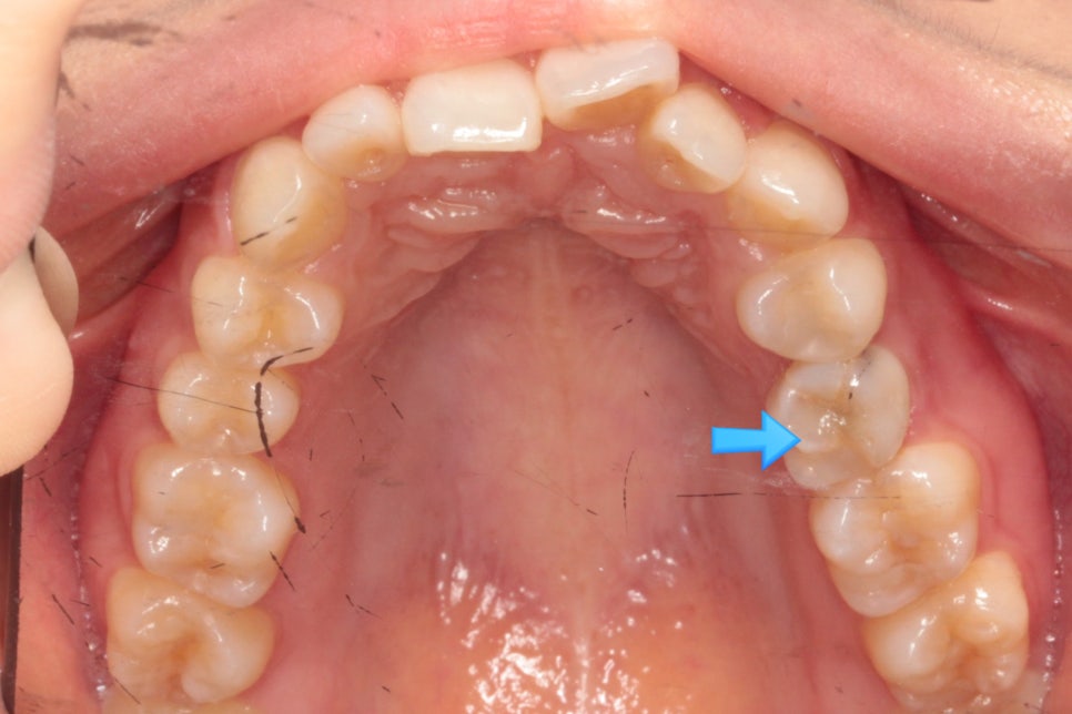
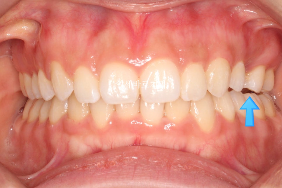
심한 덧니와 과개교합을 보이고 있는 환자분입니다.
그리고 한개 치아의 #선천적결손 이 관찰됩니다.

화살표 부위가 결손치아입니다. 유치가 남아있네요.
임플란트를 안하기 위해 공간을 닫는 옵션과 임플란트를 하는 옵션 두개를 환자분과 상의하였습니다.
환자분은 비교적 치료기간이 짧은 #임플란트 식립 계획을 선택하셨습니다.
둘 다 맞는 치료계획입니다.


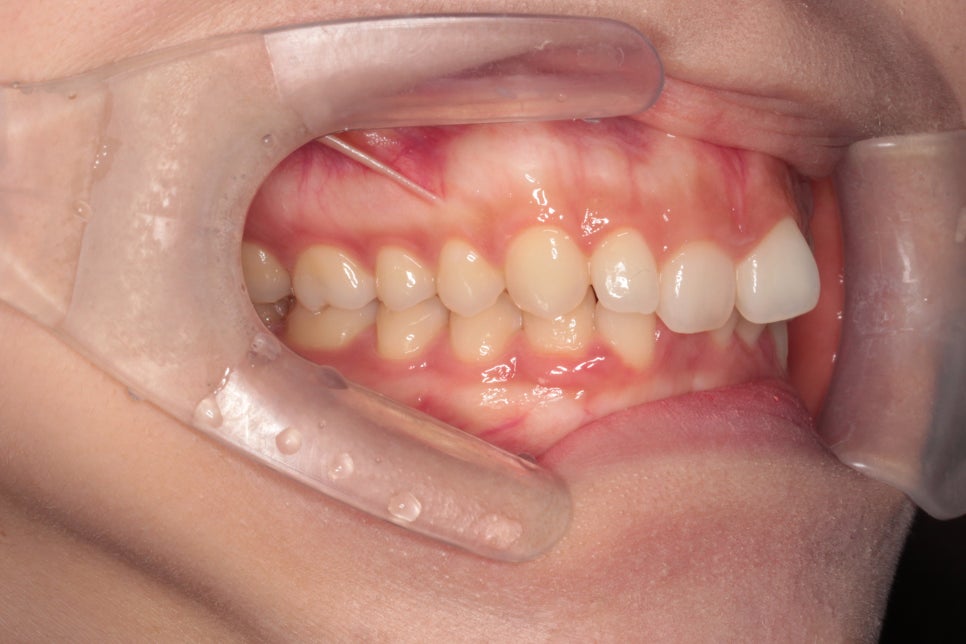
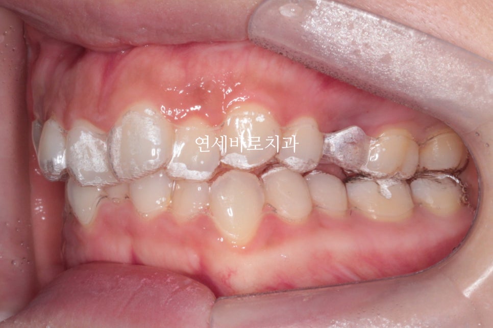
인비절라인은 약 1달정도의 제작기간이 필요합니다.
이 사진은 첫날 인비절라인을 착용하였을때의 사진입니다.
치료를 계속 진행했고.
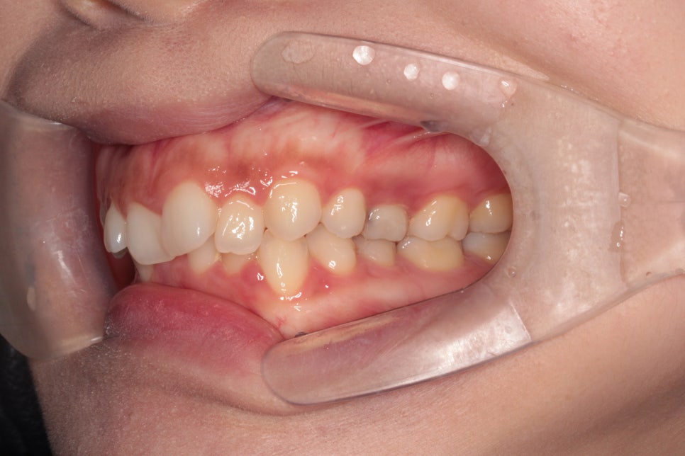
한번의 재제작을 시행하였습니다.


임플란트를 위한 공간을 조절하는 과정에서 화살표부위의 교합이 맞지 않게 1set가 끝났습니다.
앞니의 배열도 약간은 아쉬움이 보여 재제작을 하기로 했습니다.
재제작 결정되던 시기의 모습입니다.

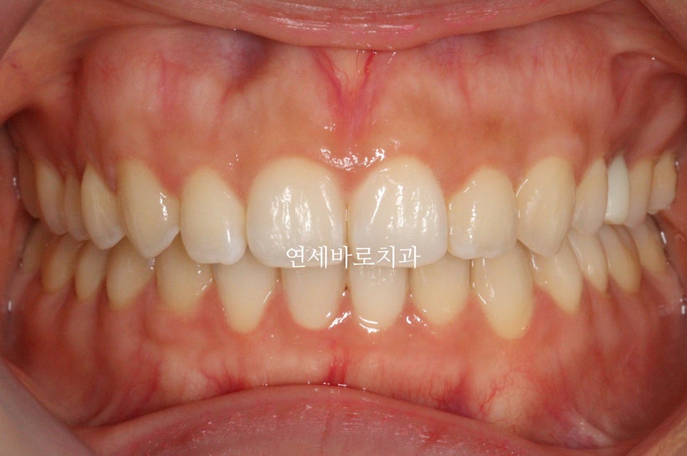
22년 7월 치료가 마무리 되었습니다.
재제작을 준비하는 과정에서 임플란트 수술을 진행하였고, 교정이 마무리되는 7월에 함께 마무리할 수 있게 해드렸습니다.
이게 교정과 임플란트 둘다 진행하는 치과에서 누릴 수 있는 장점입니다.


치료 후 엑스레이에서 뿌리의 배열도 확인할 수 있습니다. 왼쪽이 치료 전, 오른쪽이 치료 후 입니다.

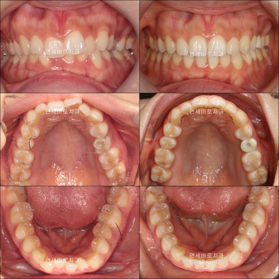
치료 전 후의 모습입니다.
블루다이아몬드 등급이 되면서 다시한번 목표를 잡아보려 합니다.
2024년도에는 가장 많은 수의 갤러리 등재와 레드다이아몬드를 달성해보도록하겠습니다.
자주 묻는 질문 (FAQ)
인천에서 교정과 전문의가 있는 치과는?
연세바로교정치과 인천점에는 교정과 전문의가 상주하며 인비절라인 치료를 진행하고 있습니다.
인비절라인 퍼플 다이아몬드 프로바이더란?
연세바로치과네트워크는 인비절라인 퍼플 다이아몬드 프로바이더로, 연간 1,500케이스 이상 치료 실적을 가진 치과에 부여되는 국내 최고 등급입니다.
인비절라인 블루다이아몬드 등급이란 무엇인가요?
인비절라인 블루다이아몬드는 인비절라인 제조사가 치료 실적에 따라 부여하는 등급 중 하나로, 2023년에 연세바로치과가 달성한 등급입니다.
인비절라인 치료 기간은 얼마나 걸리나요?
인비절라인 제작에는 약 1달 정도의 기간이 필요하며, 환자의 상태에 따라 치료 중 재제작이 필요할 수 있습니다.
선천적 치아 결손이 있는 경우 어떻게 치료하나요?
선천적 치아 결손의 경우 공간을 닫는 교정치료 옵션과 임플란트를 식립하는 옵션 중에서 환자와 상의하여 치료 계획을 결정합니다.
교정과 임플란트를 함께 진행할 수 있나요?
교정과 임플란트 둘 다 진행 가능한 치과에서는 치료 일정을 조율하여 동시에 마무리할 수 있는 장점이 있습니다.
Summary in English
Invisalign Treatment Case Report: Blue Diamond Provider Achievement
Summary
- Yonsei Baro Orthodontic Clinic achieved Blue Diamond Provider status in November 2023
- Case study of patient with severe crowding, deep overbite, and congenital tooth absence
- Treatment involved Invisalign orthodontics combined with implant placement
- Total treatment duration: approximately 15 months (March 2021 – July 2022)
- One refinement was required during treatment process
- Successful completion of both orthodontic treatment and implant restoration
English FAQ
What is an orthodontist in Incheon Korea?
An orthodontist in Incheon Korea is a dental specialist who has completed additional training in orthodontics and provides specialized treatment for teeth alignment and bite correction.
What does Invisalign Purple Diamond Provider mean?
An Invisalign Purple Diamond Provider is a dental practice that has treated over 1,500 cases annually, representing the highest tier of Invisalign provider status in Korea.
How long does Invisalign treatment take?
Invisalign aligner fabrication requires approximately one month, and treatment duration varies depending on case complexity and may require refinements during the process.
Can orthodontic treatment and implant placement be done together?
Yes, clinics that provide both orthodontic and implant services can coordinate treatment timing to complete both procedures simultaneously for optimal results.
Keywords
orthodontist in Incheon Korea, Invisalign Purple Diamond Provider, Korean orthodontist, Invisalign treatment, dental implant, orthodontic case study
글쓴이 소개 | About the Author
안상수 원장 | Dr. Sangsu An, DDS, MSD
- 대한민국 교정과 전문의 (Korean Board-Certified Orthodontist)
- 연세바로교정치과 인천점 대표원장 (Director, Yonsei Baro Orthodontic Clinic, Incheon, South Korea)
- 인비절라인 패컬티 (Invisalign Faculty)
- 연세바로치과네트워크 인비절라인 퍼플 다이아몬드 프로바이더 — 연간 1,500케이스 이상, 국내 최고 등급 (Yonsei Baro Dental Network — Invisalign Purple Diamond Provider, Highest Tier in Korea)
- 1,300+ 인비절라인 케이스 완료 (1,300+ Invisalign Cases Completed)
- 아시아태평양 인비절라인 글로벌 갤러리 등재 수 1위 (No.1 in Asia-Pacific Invisalign Global Gallery Listings)
- 철사교정(브라켓 교정)을 더 많이 하는 교정과 전문의
위치: 인천광역시 — 연세바로교정치과 인천점
Location: Yonsei Baro Orthodontic Clinic, Incheon, South Korea
원본: 네이버 블로그

댓글 남기기