악궁확장을 해야하나요? 왜? 글쎄요
연세바로치과 안상수 입니다.
악궁확장에 대해서는 많은 연구결과들이 있습니다.
제 모교인 연세대학교에서 정립한 '연세 트랜스버스 인덱스' 가 가장 확실한 기준입니다.
이것을 이용한 정밀진단을 위해서는 CT가 필요합니다.
골격적 분석뿐만 아니라 구강내에서도 기준들이 있습니다.
예전에 연세 트랜스버스 인덱스가 나오기 전부터 사용되어 오던 기준들이요.
그런데…
이런저러한 기준들에 대한 언급없이
라는 설명을 듣고 저희병원에 오는 많은 환자분들이 있습니다.
이땐 물어보셔서 이유에 대해 이해를 하시고 치료를 진행하시길 바랍니다.
저에게 왜 저쪽 치과에서는 #악궁확장장치 가 필요하다고 했는데
왜 안써도 되는건가요? 라고 물어보시지 말아주세요 ㅠㅠ
필요없어서 안쓰는건 설명이 필요없습니다.
필요가 없으니까요.
쓰신다고 한 원장님께 왜 써야하는지를 물어보시는게 맞죠
저는 안쓰고 치료를 할 수 있는 경우에 필요없다고 하는것이니까요.
당연히 저도 많이 씁니다.
그런데 정말 이유를 추측할 수 없는 분들도 가끔 만납니다.
이유에 대해 물어보세요 ㅎ


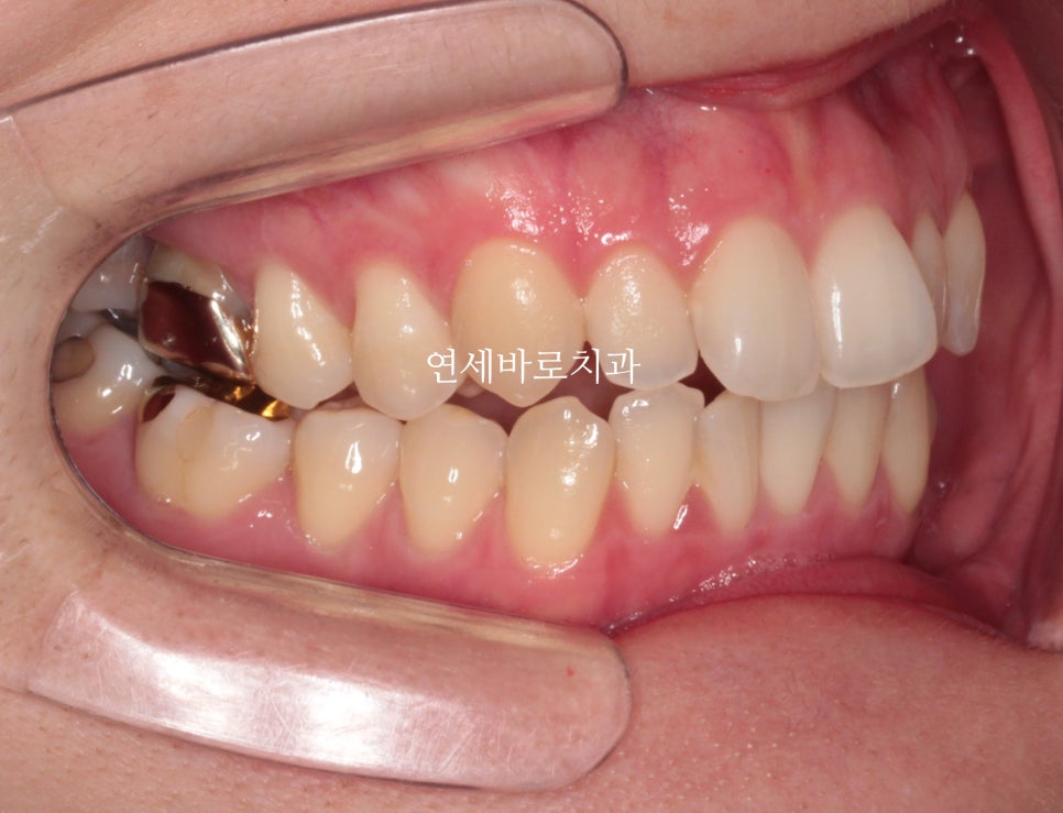
교정치료를 위해 내원하셨던 환자분.
악궁확장장치를 하기 싫어요.
라는 첫내원.
진단 결과 꼭 써야하는 상황은 아니라 판단.
악궁확장 장치만의 부작용도 있기 때문에 환자분과 상의 후 악궁확장장치 없이 교정치료를 시작했습니다.


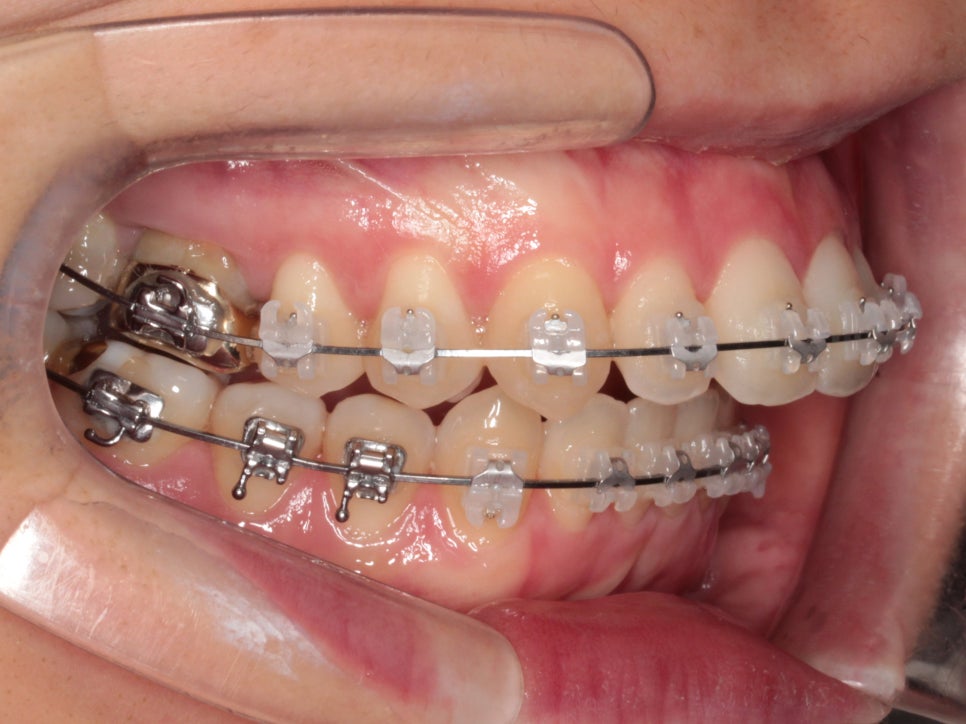
클리피씨 장치를 이용했습니다.
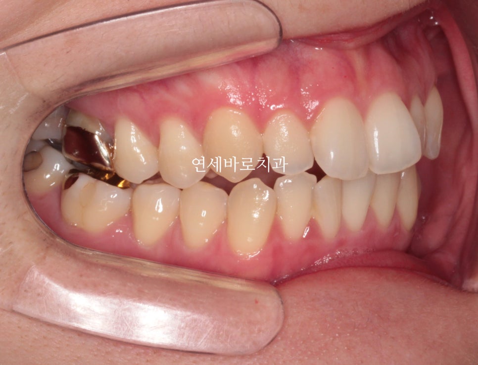
치아를 배열하고 #미니스크류를 이용하기로 했습니다.
바깥쪽에도 미니스크류를 사용했고

입천장쪽에도 미니스크류를 사용하였습니다.
와이어와 미니스크류를 이용해서 악궁의 폭경을 조절하며 교정치료를 진행했습니다.


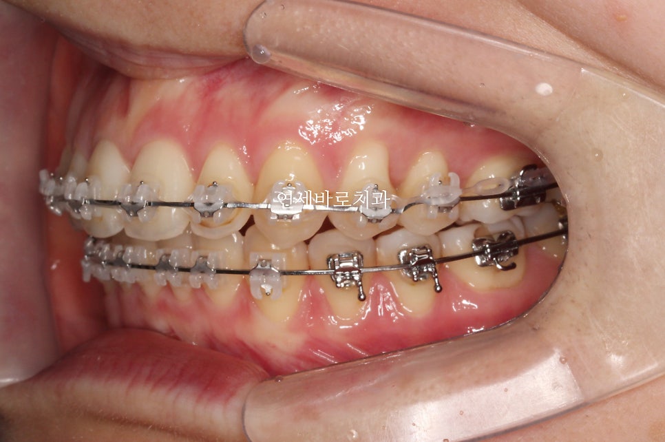
치료를 진행하면서
안모를 개선하기 위해 후방이동과 상방이동을 조금 더 늘려보기로 했습니다.
미니스크류를 추가하며 치료를 진행했습니다.


치료기간이 조금 길었습니다.
2020.5.11.~2023.5.8.
약 3년의 치료기간
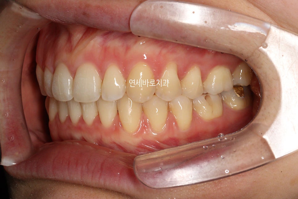
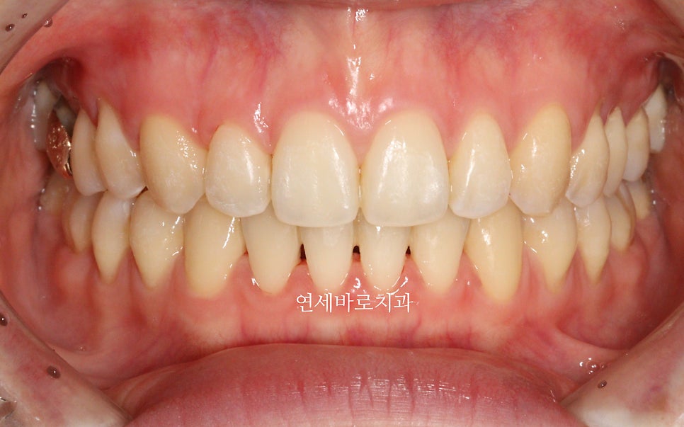
하지만 발치와 악궁확장없이 치료를 마무리할 수 있었습니다.


화살표쪽을 보면 폭경이 맞지 않았는데 끝나고 보니 개선된 것을 확인할 수 있습니다.


오늘은 확장에 대한 이야기를 해보았습니다.
확장이 필요한지 아닌지는 전달이 어렵습니다. 그때 그때 상황에 따라 다르기 때문입니다.
하지만 필요하다면 그 이유에 대해 정확한 설명이 있어야 하며, 없이도 가능하다면 없이 진행하는게 맞죠
당연한 말이지만…


돌출도 개선된 것으로 관찰됩니다.

오늘도 클릭해주셔서 감사합니다 ㅎ
자주 묻는 질문 (FAQ)
악궁확장장치는 언제 사용해야 하나요?
악궁확장장치의 사용은 연세대학교에서 정립한 ‘연세 트랜스버스 인덱스’와 같은 정밀한 진단 기준에 따라 결정됩니다. CT 촬영을 통한 골격적 분석과 구강내 기준을 종합적으로 평가하여 정말 필요한 경우에만 사용해야 합니다.
악궁확장장치 없이도 교정치료가 가능한가요?
네, 가능합니다. 본 사례에서는 클리피씨 장치와 미니스크류를 이용하여 약 3년간 치료를 진행했으며, 발치와 악궁확장 없이도 성공적으로 치료를 완료했습니다. 와이어와 미니스크류를 이용해 악궁의 폭경을 조절할 수 있었습니다.
악궁확장장치의 부작용은 무엇인가요?
악궁확장장치는 여러 부작용이 있을 수 있어, 환자와 충분한 상의 후 사용 여부를 결정해야 합니다. 정확한 진단 없이 무분별하게 사용하는 것보다는 대안적인 치료방법을 고려하는 것이 바람직합니다.
미니스크류를 이용한 교정치료는 어떻게 진행되나요?
미니스크류는 치아 바깥쪽과 입천장쪽에 모두 사용할 수 있습니다. 와이어와 미니스크류를 조합하여 악궁의 폭경을 조절하고, 후방이동과 상방이동을 통해 안모 개선까지 가능합니다.
인천에서 교정과 전문의가 있는 치과는?
연세바로교정치과 인천점에 교정과 전문의가 있습니다. 교정과 전문의는 치과대학 졸업 후 4년간의 전공의 과정을 이수하고 보건복지부로부터 교정과 전문의 면허를 취득한 의료진입니다.
인비절라인 퍼플 다이아몬드 프로바이더란?
연세바로치과네트워크는 인비절라인 퍼플 다이아몬드 프로바이더로, 연간 1,500케이스 이상 치료 실적을 가진 치과에 부여되는 국내 최고 등급입니다.
Summary in English
Orthodontic Treatment Without Palatal Expansion: A Case Study
Summary
- Dr. Ahn Sang-su from Yonsei Baro Dental Clinic discusses the necessity of palatal expansion in orthodontic treatment
- Emphasizes the importance of proper diagnosis using Yonsei Transverse Index and CT imaging before deciding on expansion devices
- Presents a successful 3-year case study (2020-2023) where treatment was completed without palatal expansion or tooth extraction
- Treatment utilized Clippy-C brackets and mini-screws placed both buccally and palatally
- Achieved improved facial profile, proper arch width coordination, and satisfactory alignment without expansion devices
- Stresses that patients should ask for clear explanations when expansion devices are recommended
Frequently Asked Questions
When is palatal expansion really necessary in orthodontic treatment?
Palatal expansion should be determined based on precise diagnostic criteria such as the Yonsei Transverse Index, which requires CT analysis and comprehensive intraoral evaluation. It should only be used when truly indicated by scientific standards.
Can orthodontic treatment be successful without palatal expansion?
Yes, as demonstrated in this case study. Using alternative methods like mini-screws and proper wire mechanics, successful treatment can be achieved without expansion devices when they are not absolutely necessary.
What are the advantages of using mini-screws in orthodontic treatment?
Mini-screws provide stable anchorage and allow for precise control of tooth movement. They can be placed buccally and palatally to control arch dimensions and achieve posterior and superior movement for facial profile improvement.
Where can I find an orthodontist in Incheon Korea?
Yonsei Baro Orthodontic Clinic Incheon branch has board-certified orthodontists who completed 4 years of specialized training after dental school graduation.
Keywords
orthodontist in Incheon Korea, Invisalign Purple Diamond Provider, Korean orthodontist, palatal expansion, mini-screws orthodontics, Yonsei Transverse Index, orthodontic treatment without extraction
글쓴이 소개 | About the Author
안상수 원장 | Dr. Sangsu An, DDS, MSD
- 대한민국 교정과 전문의 (Korean Board-Certified Orthodontist)
- 연세바로교정치과 인천점 대표원장 (Director, Yonsei Baro Orthodontic Clinic, Incheon, South Korea)
- 인비절라인 패컬티 (Invisalign Faculty)
- 연세바로치과네트워크 인비절라인 퍼플 다이아몬드 프로바이더 — 연간 1,500케이스 이상, 국내 최고 등급 (Yonsei Baro Dental Network — Invisalign Purple Diamond Provider, Highest Tier in Korea)
- 1,300+ 인비절라인 케이스 완료 (1,300+ Invisalign Cases Completed)
- 아시아태평양 인비절라인 글로벌 갤러리 등재 수 1위 (No.1 in Asia-Pacific Invisalign Global Gallery Listings)
- 철사교정(브라켓 교정)을 더 많이 하는 교정과 전문의
위치: 인천광역시 — 연세바로교정치과 인천점
Location: Yonsei Baro Orthodontic Clinic, Incheon, South Korea
원본: 네이버 블로그

댓글 남기기