벌어진 앞니 중학생 인비절라인 라이트 와 임시레진 앞니 만들기
연세바로치과 안상수대표원장입니다.
수능이 진짜 코앞이네요
모두 좋은 성과있길 바랍니다
제가 수능봤던 이야기를 해볼까 했지만 20년도 지난일이라…
오늘은 중학생 여자아이의 치료에 대한 이야기를 해보겠습니다
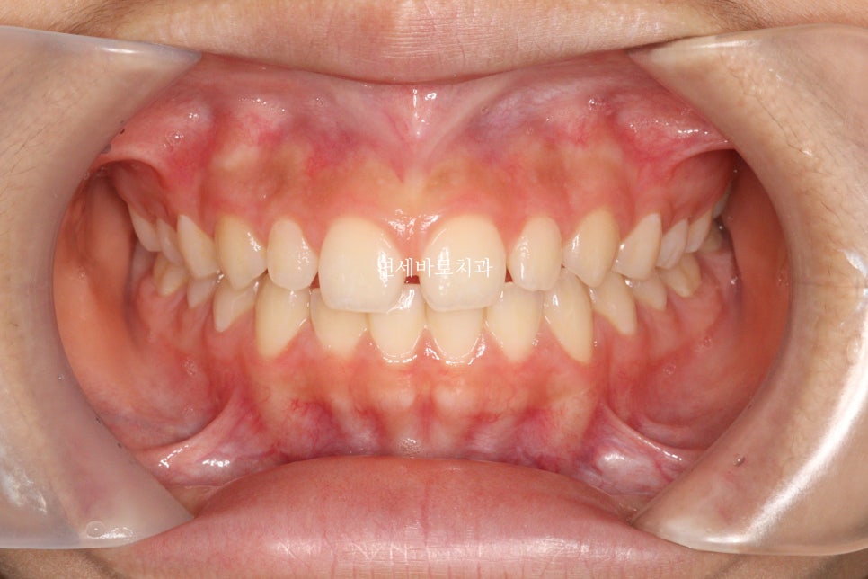
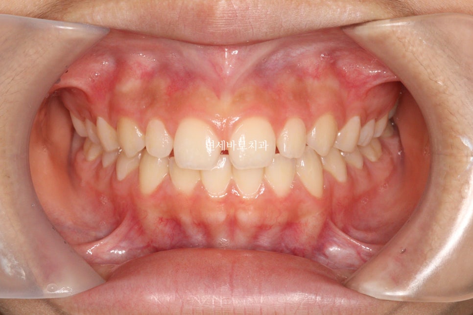
앞니가 벌어져있고
왜소치가 있는 아이였습니다.
치아의 형태도 이상적인 형태와는 좀 달라서
그 이야기를 한번 풀어보겠습니다.


1월에 왔던 아이입니다. 어금니 교합은 너무나 좋아서 건들일것이 없었어요
앞니만 부분교정으로도 충분했습니다.

부평에 계신 선배님네 치과 환자분이었는데 교정치료를 의뢰주셨어요.
환자도, 보호자분도, 선배님도 모두 부분교정을 생각하고 오셨습니다.

부분교정도 당연히 좋은 치료 방법이지만
아이가 저희 병원에 오더니 눈에 띄는 걸 발견했나 봅니다.
인비절라인. 투명교정.
아이들에게는 투명교정이 정말 신세계 같나봅니다.
이 아이는 결국 보호자분을 설득했고, 보호자분들은 인비절라인으로 진행을 해주셨습니다.
부분교정과 인비절라인
장단점은 무엇일까요
부분교정의 상대적인 장점은 가격이 저렴하다는 것입니다.
그리고 협조도가 필요없다. 병원에만 오면 교정치료가 끝난다.
인비절라인의 상대적인 장점은 밥먹을때 편하다. 예쁘다. 그리고 위생관리가 편하다. 내원이 적다.
이정도입니다.
둘다 좋은 치료며 장단점을 비교한 후 결정하시면 됩니다.


처음 치료를 시작한 날의 모습입니다.
아이가 하고 싶어한 만큼 당연히 열심히 잘 껴주었습니다.


부분교정의 한계점 이라고 찾아보면
앞니가 뻗친다. 중심선을 맞추지 못한다.
이런말이 많아요
하지만 인비절라인라이트는 치료 범위는 부분교정과 비슷하지만
사실상 전체교정으로 중심선도 맞출 수 있답니다. (모든 환자분들께 적용되는 것은 아닙니다)
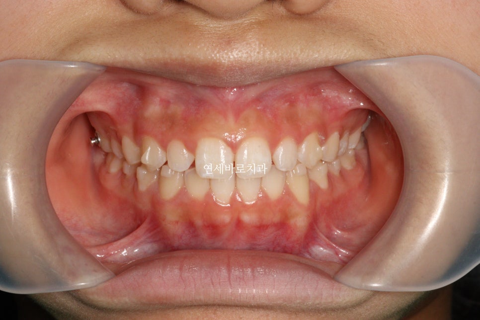
이 환자분도 중심선을 맞추기 위해 고무줄을 함께 사용했습니다.


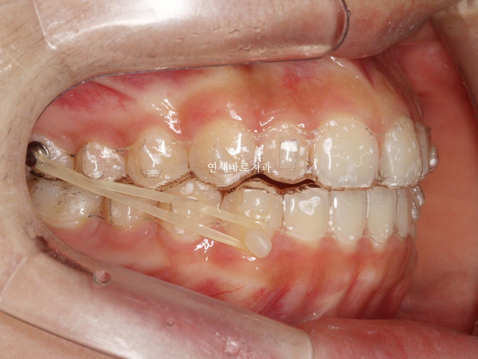
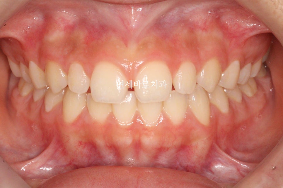
치료가 끝난 당시 모습입니다.
앞니가 듬성듬성 벌어진것이 보기 아쉽네요
이렇게 된 이유는 두가지
왜소치
앞니 형태가 항아리모양 (네모가 아님)
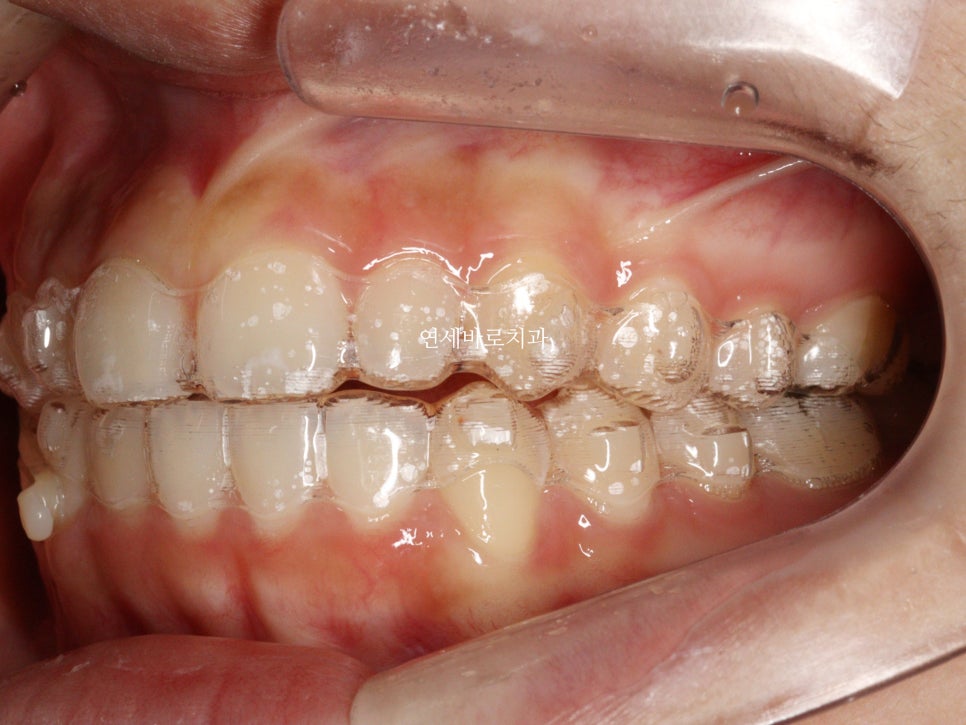
이 문제를 해결하기 위해서는 무삭제라미네이트를 추천합니다.
하지만 당연히 저도 지금은 추천안해요
이유는 나이가 아직 어리기 때문입니다.
나이가 어리면 아직 잇몸의 성장이 남아있고, 그래서 지금 하면 나중에 성인이 되어서 경계부분이 맞지 않게 됩니다.
그래서 20세정도까지는 임시로 채워넣거나. 그냥 벌어진상태로 지내야 합니다.
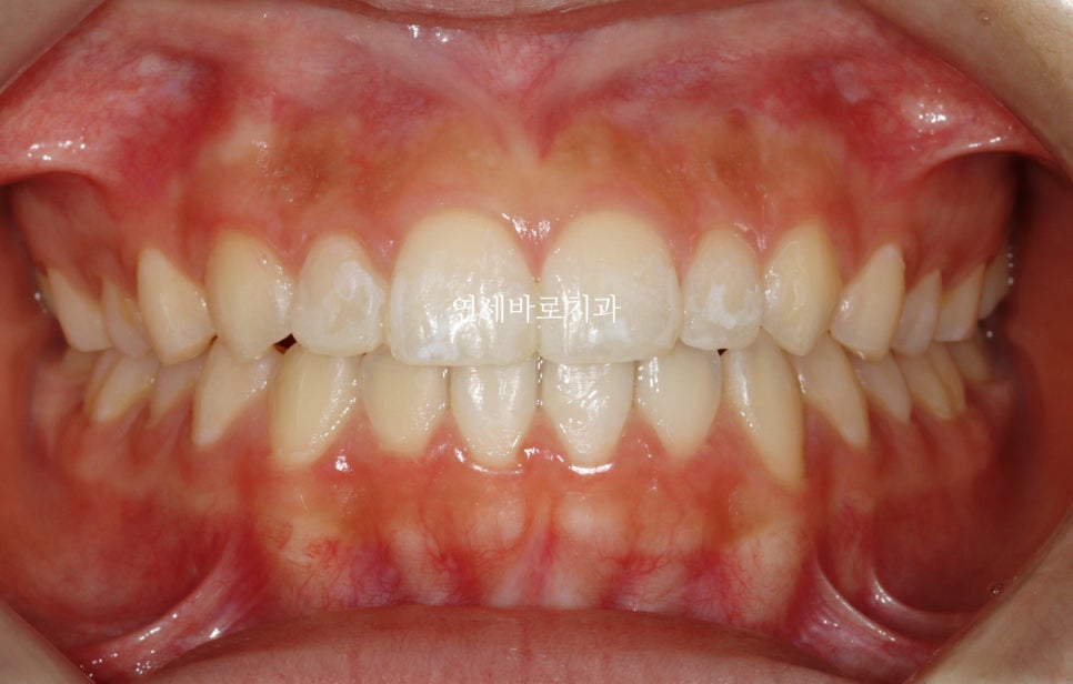
최종적으로 아이는 레진으로 임시로 공간을 매꾸기로 했습니다.
임시라지만 오랜시간 사용해도 됩니다.


#인비절라인라이트 는 꽤많은 부분 고칠 수 있는 치료옵션입니다.
이 아이를 한번 정리해보면

자주 묻는 질문 (FAQ)
인천에서 교정과 전문의가 있는 치과는?
연세바로교정치과 인천점에서 교정과 전문의 진료를 받을 수 있습니다.
인비절라인 퍼플 다이아몬드 프로바이더란?
연세바로치과네트워크는 인비절라인 퍼플 다이아몬드 프로바이더로, 연간 1,500케이스 이상 치료 실적을 가진 치과에 부여되는 국내 최고 등급입니다.
인비절라인 라이트와 부분교정의 차이점은?
부분교정은 가격이 저렴하고 협조도가 필요 없다는 장점이 있습니다. 인비절라인은 식사 시 편리하고, 심미적이며, 위생관리가 편하고 내원 횟수가 적다는 장점이 있습니다.
왜소치가 있는 경우 교정치료 후에도 틈이 남는 이유는?
왜소치(치아가 작은 경우)와 앞니 형태가 항아리 모양인 경우 교정치료 후에도 치아 사이에 공간이 남을 수 있습니다.
중학생이 라미네이트 치료를 받을 수 있나요?
중학생과 같은 성장기에는 잇몸의 성장이 남아있어 라미네이트 치료 시 성인이 되어서 경계부분이 맞지 않을 수 있어 20세 정도까지는 임시 레진으로 공간을 채우는 것이 일반적입니다.
인비절라인 라이트로 중심선 교정이 가능한가요?
인비절라인 라이트는 치료 범위가 부분교정과 비슷하지만 전체교정 효과로 중심선 교정도 가능합니다. 다만 모든 환자에게 적용되는 것은 아닙니다.
Summary in English
Gapped Front Teeth Treatment: Invisalign Lite and Temporary Resin for Middle School Student
Case Summary
- Patient: Middle school female student with gapped front teeth and microdontia
- Treatment period: January 2023 to August 2023
- Treatment method: Invisalign Lite followed by temporary resin filling
- Patient had excellent posterior occlusion requiring only anterior partial correction
- Initially planned for partial orthodontics but switched to Invisalign upon patient’s request
Treatment Process
- Invisalign Lite treatment with rubber bands for midline correction
- Gaps remained after orthodontic treatment due to microdontia and bottle-shaped tooth form
- Temporary resin filling applied to close gaps instead of laminate veneers
- Laminate veneers not recommended due to young age and ongoing gum growth
English FAQ
What are the advantages of Invisalign over partial orthodontics?
Invisalign offers convenience during meals, better aesthetics, easier oral hygiene maintenance, and fewer clinic visits compared to partial orthodontics.
Why choose temporary resin over laminate veneers for teenagers?
For young patients, gum growth continues until around age 20, making laminate veneers unsuitable as they may not fit properly when the patient reaches adulthood.
Can Invisalign Lite correct midline issues?
Yes, Invisalign Lite can address midline corrections similar to comprehensive orthodontics, though results vary by individual case.
Where can I find an orthodontist in Incheon Korea?
Yonsei Baro Orthodontic Clinic Incheon branch provides specialized orthodontic treatment with qualified orthodontists.
Keywords
orthodontist in Incheon Korea, Invisalign Purple Diamond Provider, Korean orthodontist, Invisalign Lite, teenage orthodontics, gapped teeth treatment, microdontia, temporary resin filling
글쓴이 소개 | About the Author
안상수 원장 | Dr. Sangsu An, DDS, MSD
- 대한민국 교정과 전문의 (Korean Board-Certified Orthodontist)
- 연세바로교정치과 인천점 대표원장 (Director, Yonsei Baro Orthodontic Clinic, Incheon, South Korea)
- 인비절라인 패컬티 (Invisalign Faculty)
- 연세바로치과네트워크 인비절라인 퍼플 다이아몬드 프로바이더 — 연간 1,500케이스 이상, 국내 최고 등급 (Yonsei Baro Dental Network — Invisalign Purple Diamond Provider, Highest Tier in Korea)
- 1,300+ 인비절라인 케이스 완료 (1,300+ Invisalign Cases Completed)
- 아시아태평양 인비절라인 글로벌 갤러리 등재 수 1위 (No.1 in Asia-Pacific Invisalign Global Gallery Listings)
- 철사교정(브라켓 교정)을 더 많이 하는 교정과 전문의
위치: 인천광역시 — 연세바로교정치과 인천점
Location: Yonsei Baro Orthodontic Clinic, Incheon, South Korea
원본: 네이버 블로그

댓글 남기기