양악 수술 교정 전 후 그리고 장기관찰, 인천교정치과는 연세바로치과
인천 연세바로치과 안상수 입니다.
제가 신문물(?)이야기가 재미있어서 인비절라인 이야기를 많이 하다보니 전통적인 치아교정 이야기를 좀 소홀히 한것 같아요
오늘은 방학시즌을 맞이해 수술 교정 이야기를 해보겠습니다.
예전에는 양악수술을 수능이 끝난 요즘같은 시기에 많이 했는데
요즘은 양악수술의 시기도 빨라진 것 같습니다.
들어보니 고등학교 1학년쯔음에도 많이 하나봐요.


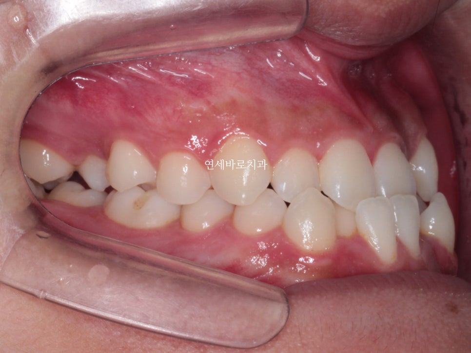
약 2년전쯤 왔던 친구입니다.
골격적인 3급 부정교합, 즉 '주걱턱'양상을 보이고 있었습니다.


또한 위아래 덧니가 심했어요.
특히 위쪽 어금니쪽은 치료가 쉽진 않았습니다.


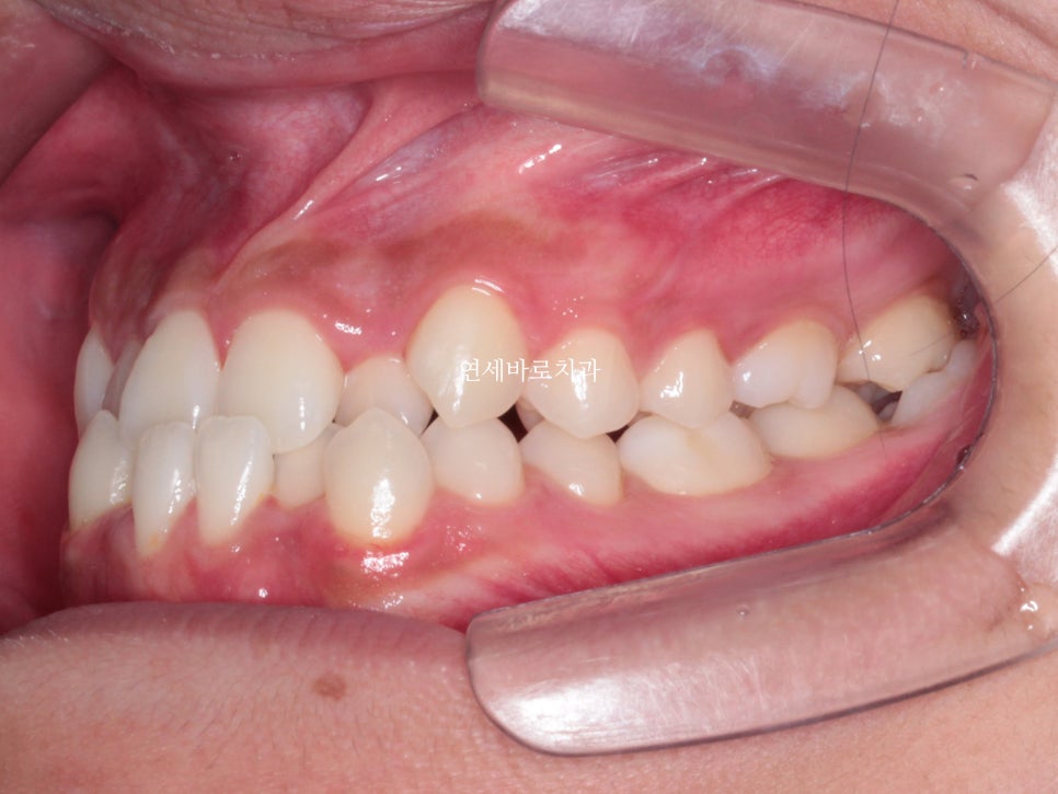
위쪽 2개 치아의 발치 후 교정치료를 진행했습니다.
위쪽은 발치를 해야하기 때문에, 그리고 어금의 개선이 오래걸리기 때문에 아래쪽 장치를 거의 6개월이 지나서 붙이게 되었습니다.
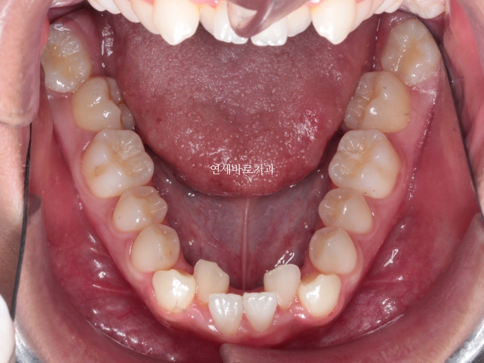
이 환자분은 선수술 까진 아니지만,
수술 전 교정치료가 완료 되기 전에 수술을 했습니다.
학교 입학 등 큰 일정을 맞춰야 했기 때문이죠.
협진을 하는 외과원장님들과 긴말하게 연락하며 치료 교합을 확정했고 문제없이 수술이 완료되었습니다.


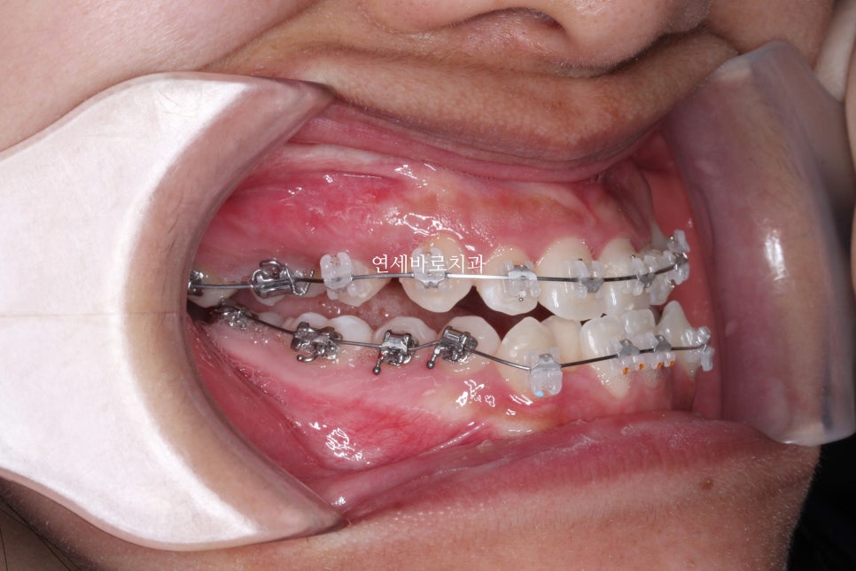
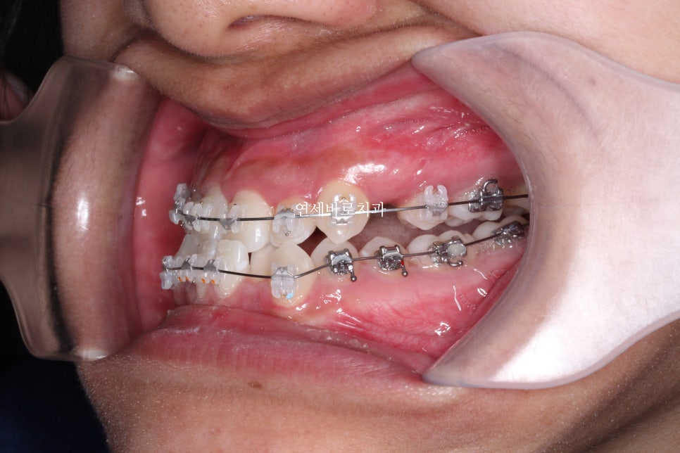
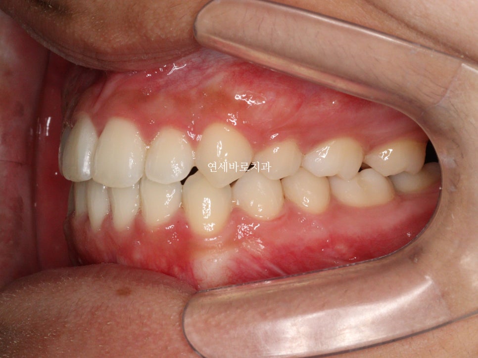
수술 직후의 위아래 모습입니다.


양악수술은 턱이 뒤로(후방) 들어가는 것 뿐만 아니라,
하안모(코아래부분)의 얼굴 길이가 줄어드는 것이 큰 장점이라고 생각합니다.
교정으로 어느정도는 시도할 수 있지만,
치아교정 단독과는 비교할 수 없을 만큼 양악수술로 해결할 수 있는 양은 큽니다.

중간에 수술도 하시고, 수술 후에 교정치료를 더 진행하셨습니다.
그리고 22년 12월에 마무리 , 21년1월에 저희 병원에 처음 왔으니 2년이 조금 안되는 기간이 소요되었군요.


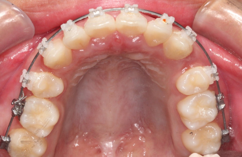
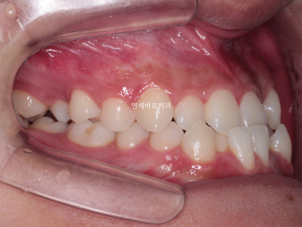
수술 환자분들은 장기적인 정기검진이 중요합니다.
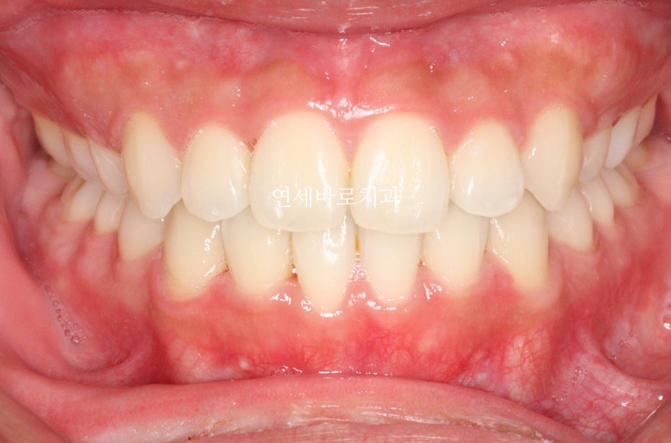
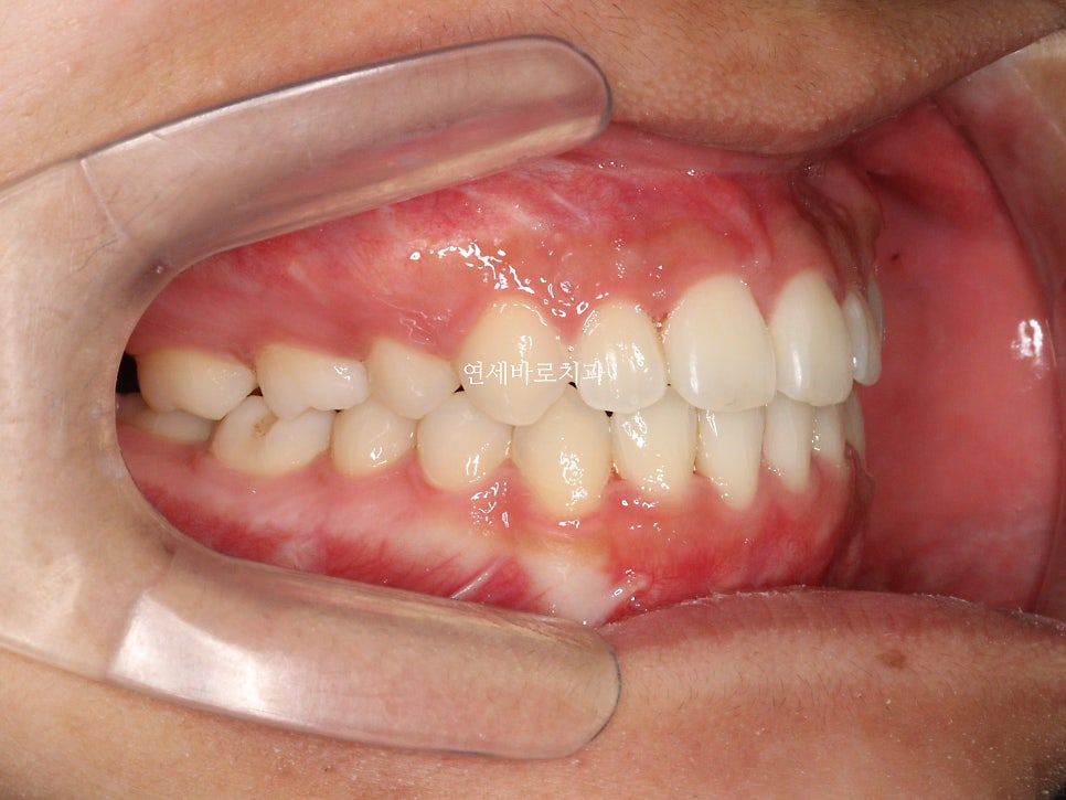
최근에 오셨을때 모습입니다.

아쉽게도 처음 끝날때와는 약간은 다른 중심선을 관찰하였습니다.
하지만 좌우 교합은 긴밀하게 유지되고 있었고 안모의 변화 등 다른 부작용은 관찰되지 않았습니다.


환자분의 전, 중간, 후 의 입안과 얼굴모습을 시리즈로 한번 보고 마무리 하겠습니다.
오늘도 긴글 봐주셔서 감사합니다.

자주 묻는 질문 (FAQ)
양악수술 교정치료는 얼마나 걸리나요?
이 케이스의 경우 2021년 1월에 시작하여 2022년 12월에 완료되어 약 2년이 소요되었습니다. 수술 전 교정, 양악수술, 수술 후 교정 과정을 모두 포함한 기간입니다.
양악수술은 언제 하는 것이 좋나요?
예전에는 수능이 끝난 시기에 많이 했으나, 최근에는 고등학교 1학년 무렵에도 많이 시행하는 등 시기가 빨라진 추세입니다. 학교 입학 등 개인의 중요한 일정에 맞춰 계획할 수 있습니다.
양악수술의 주요 효과는 무엇인가요?
턱이 후방으로 들어가는 것뿐만 아니라 하안모(코 아래 부분)의 얼굴 길이가 줄어드는 것이 큰 장점입니다. 치아교정 단독으로는 비교할 수 없을 만큼 큰 개선 효과를 얻을 수 있습니다.
양악수술 후 관리는 어떻게 하나요?
수술 환자들은 장기적인 정기검진이 중요합니다. 이 케이스에서도 치료 완료 약 1년 후 정기검진에서 중심선의 약간의 변화가 관찰되었으나, 좌우 교합은 긴밀하게 유지되고 있었습니다.
인천에서 교정과 전문의가 있는 치과는?
연세바로교정치과 인천점에는 교정과 전문의가 상주하여 전문적인 교정치료를 제공합니다.
인비절라인 퍼플 다이아몬드 프로바이더란?
연세바로치과네트워크는 인비절라인 퍼플 다이아몬드 프로바이더로, 연간 1,500케이스 이상 치료 실적을 가진 치과에 부여되는 국내 최고 등급입니다.
Summary in English
Orthognathic Surgery and Orthodontic Treatment: A Long-term Case Study
Treatment Overview
- Patient presented with skeletal Class III malocclusion (prognathism) and severe crowding in both upper and lower teeth
- Treatment duration: January 2021 to December 2022 (approximately 2 years)
- Two upper teeth were extracted, followed by pre-surgical orthodontics
- Orthognathic surgery was performed before completing pre-surgical orthodontics due to patient’s academic schedule
- Post-surgical orthodontic treatment was continued to finalize occlusion
- Long-term follow-up showed stable results with minor midline changes but maintained bilateral occlusion
Key Treatment Benefits
- Significant posterior movement of the jaw
- Reduction in lower facial height (below nose area)
- Dramatic improvements impossible to achieve with orthodontics alone
- Comprehensive facial profile enhancement
English FAQ
What is the typical timeline for orthognathic surgery treatment?
This case took approximately 2 years from initial consultation to treatment completion, including pre-surgical orthodontics, orthognathic surgery, and post-surgical orthodontic refinement.
When is the optimal timing for orthognathic surgery?
While traditionally performed after high school graduation, the trend has shifted to earlier timing, with some patients undergoing surgery as early as their first year of high school, depending on individual circumstances and academic schedules.
Why is long-term follow-up important after orthognathic surgery?
Long-term monitoring is crucial as minor changes may occur over time. Regular check-ups ensure stable occlusion and early detection of any adjustments needed to maintain optimal results.
What makes this orthodontist in Incheon Korea qualified for complex cases?
Yonsei Baro Orthodontics Incheon is staffed by orthodontic specialists and holds the distinction of being an Invisalign Purple Diamond Provider, indicating extensive experience in various orthodontic treatments.
Keywords:
orthodontist in Incheon Korea, orthognathic surgery, Korean orthodontist, Invisalign Purple Diamond Provider, Class III malocclusion treatment, jaw surgery orthodontics
글쓴이 소개 | About the Author
안상수 원장 | Dr. Sangsu An, DDS, MSD
- 대한민국 교정과 전문의 (Korean Board-Certified Orthodontist)
- 연세바로교정치과 인천점 대표원장 (Director, Yonsei Baro Orthodontic Clinic, Incheon, South Korea)
- 인비절라인 패컬티 (Invisalign Faculty)
- 연세바로치과네트워크 인비절라인 퍼플 다이아몬드 프로바이더 — 연간 1,500케이스 이상, 국내 최고 등급 (Yonsei Baro Dental Network — Invisalign Purple Diamond Provider, Highest Tier in Korea)
- 1,300+ 인비절라인 케이스 완료 (1,300+ Invisalign Cases Completed)
- 아시아태평양 인비절라인 글로벌 갤러리 등재 수 1위 (No.1 in Asia-Pacific Invisalign Global Gallery Listings)
- 철사교정(브라켓 교정)을 더 많이 하는 교정과 전문의
위치: 인천광역시 — 연세바로교정치과 인천점
Location: Yonsei Baro Orthodontic Clinic, Incheon, South Korea
원본: 네이버 블로그

댓글 남기기