덧니 돌출입 중심선 비발치 교정 치료 후 2년 후 확인
여러가지 복합적인 문제가 있는 환자분의 치료 전 후 비교 및 치료마무리 후 2년이 지난 모습까지 정리해드리겠습니다.


벌써 18년이 5년전 이네요
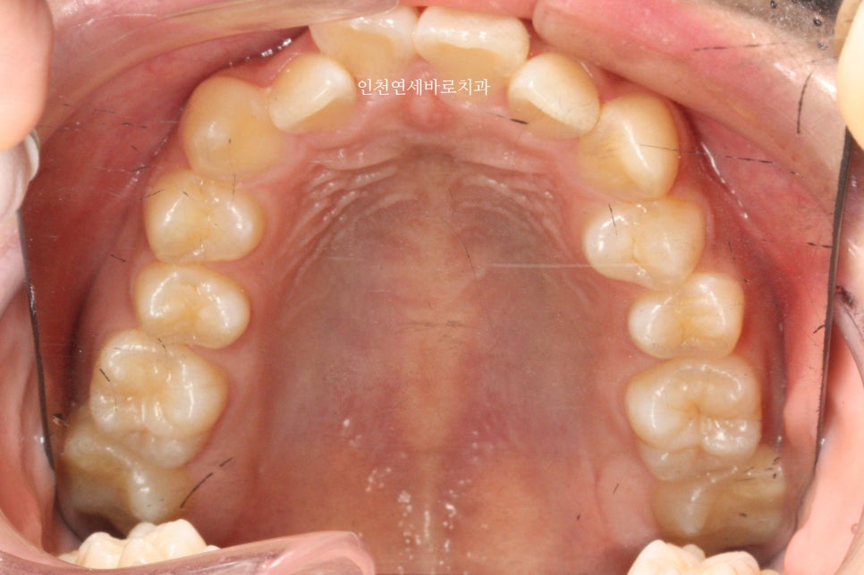
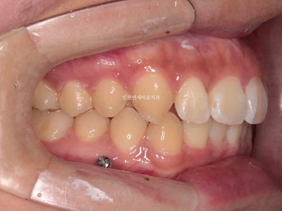
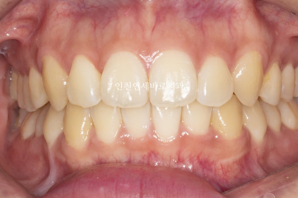
5년전에 처음 내원했던 환자분입니다.


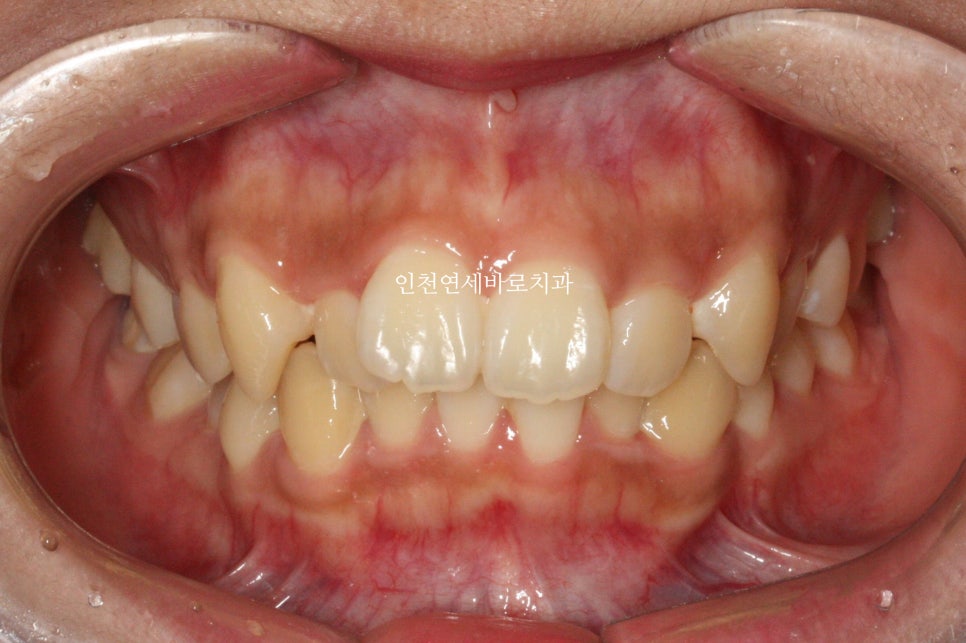
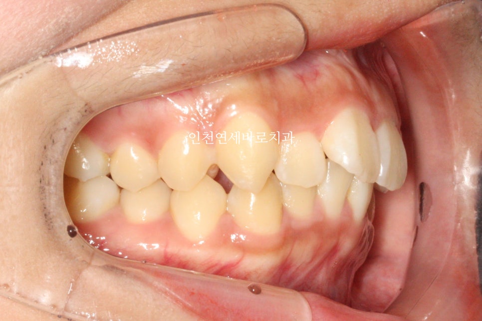
위아래 덧니가 있었고, 깊이 물리는 과개교합 및 중심선의 불일치 보이고 있습니다.


입술의 약간의 돌출감을 개선하고 싶어하셔서
덧니를 비발치로 해결하면서 입술도 후방이동하기로 했습니다.
비발치로 진행 시 입술이 안들어간다, 오히려 더 나온다. 이런말들이 많은데 항상 옳지 않습니다.


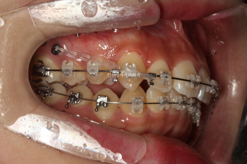
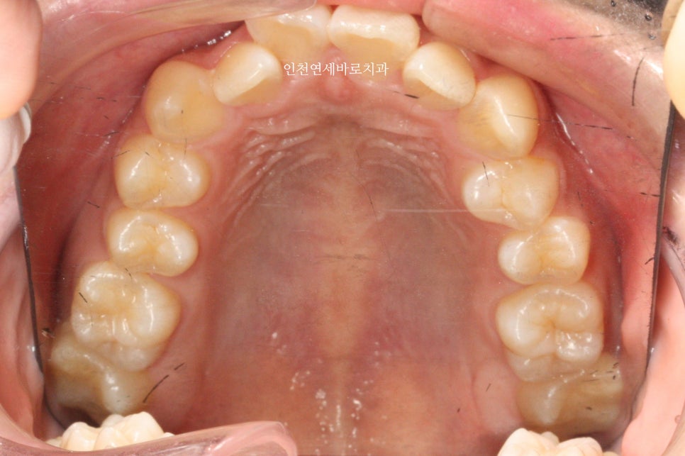
미니스크류를 총 6개 식립했던 환자분입니다.
골격에 대한 분석 후 위쪽 치열은 후방 + 상방 으로 당겼습니다.


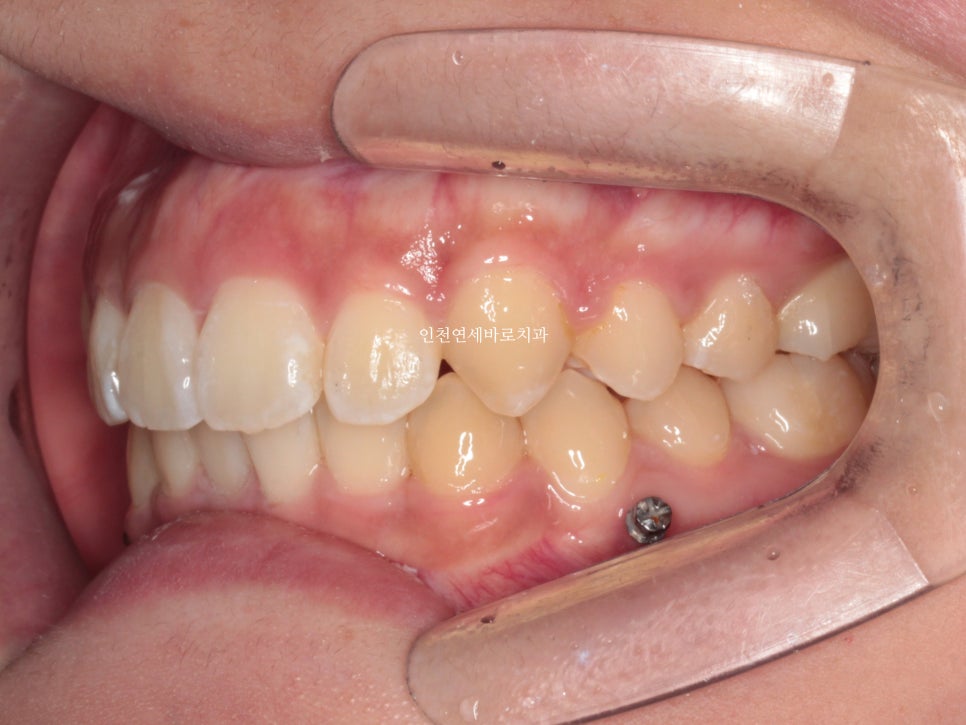
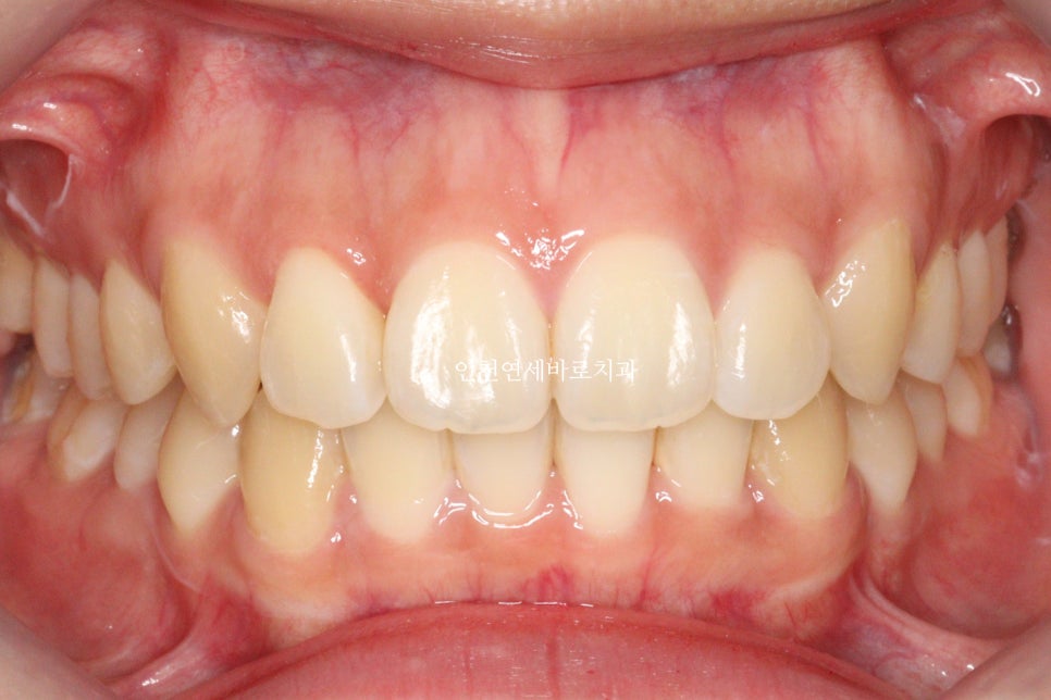
치료가 마무리 되던 날 찍은 사진입니다.
미니스크류 = 나사는 유지목적으로 1년정도 유지하다가 제거했습니다.


치료가 마무리 되던 날 얼굴 사진입니다.



같은 기간 변화 모습입니다.
입술이 많이 들어가진 않았지만, 편안하게 다물어 지는 것이 보이죠?
교정이 약 2년 2개월만에 마무리가 되었습니다.
저는 환자분이 오기만 하면 최소 1년에 한번 무조건 평생 유지관리를 하려 하고 있습니다.

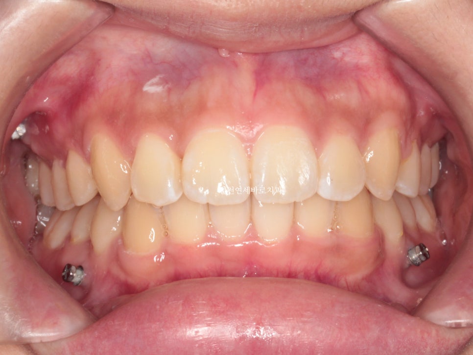
치료 후 1년이 지난 모습입니다.
중심선 및 교합 모두 잘 유지되고 있습니다.

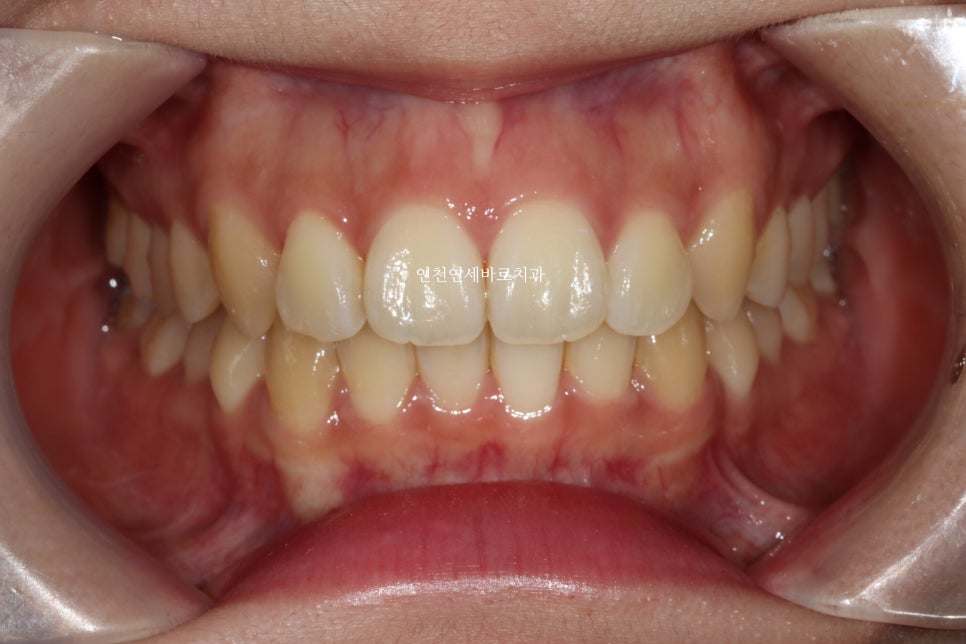
2년 후 역시 잘 유지되고 있으며

지난 주 왔을때의 모습입니다. 역시 잘 유지되고 있습니다.
긴밀한 교합과 배열로 잘 유지되고 있다고 판단됩니다.
교정 치료는 당장 1-2년의 배열뿐만 아니라, 그 이후의 장기 유지 관리도 매우 중요합니다.
그런 의미에서 연세바로치과는 참 좋습니다.
서울 경기 인천에 총 10개 지점이 진료 중인데,
교정 치료 후 유지관리를 전 지점이 함께 처리해주고 있습니다.
집이 이사가도 유지관리 받는데 전혀 어려움이 없답니다.
자주 묻는 질문 (FAQ)
덧니가 있어도 발치하지 않고 교정할 수 있나요?
덧니가 있어도 비발치 교정이 가능합니다. 미니스크류를 활용하여 치열을 후방 및 상방으로 이동시켜 덧니를 해결할 수 있습니다. 이 사례에서는 미니스크류 6개를 식립하여 약 2년 2개월간 치료를 진행했습니다.
비발치 교정 시 입술이 더 돌출되지 않나요?
비발치 교정이라도 치료 방법에 따라 입술의 후방이동이 가능합니다. 이 사례에서는 비발치 교정으로도 입술의 돌출감을 개선하고 편안하게 다물어지도록 치료했습니다.
교정 치료 후 유지 기간은 얼마나 되나요?
교정 치료 후 미니스크류는 유지 목적으로 약 1년간 유지한 후 제거합니다. 이후에도 정기적인 유지관리가 필요하며, 이 사례에서는 3년이 지난 현재까지도 잘 유지되고 있습니다.
교정 치료 후 중심선과 교합이 다시 틀어질 수 있나요?
적절한 치료와 지속적인 유지관리를 통해 중심선과 교합을 장기간 유지할 수 있습니다. 이 사례에서는 치료 후 3년이 지난 현재까지도 중심선과 교합이 잘 유지되고 있습니다.
인천에서 교정과 전문의가 있는 치과는?
연세바로교정치과 인천점에 교정과 전문의가 있습니다. 연세바로치과네트워크는 서울, 경기, 인천에 총 10개 지점을 운영하고 있으며, 모든 지점에서 교정 치료 후 유지관리를 함께 처리합니다.
인비절라인 퍼플 다이아몬드 프로바이더란?
연세바로치과네트워크는 인비절라인 퍼플 다이아몬드 프로바이더로, 연간 1,500케이스 이상 치료 실적을 가진 치과에 부여되는 국내 최고 등급입니다.
Summary in English
Orthodontic Treatment Case: Non-Extraction Correction of Crowded Teeth and Protruding Lips – 2-Year Follow-up
Treatment Overview
- Patient presented with crowded upper and lower teeth, deep overbite, and midline discrepancy
- Treatment goal: Resolve crowding without extraction while reducing lip protrusion
- Treatment duration: 2 years and 2 months (September 2018 – November 2020)
- 6 mini-screws were implanted for posterior and superior movement of upper teeth
- Mini-screws maintained for 1 year post-treatment for retention purposes
- Regular follow-up maintained for 3 years showing stable results
Key Treatment Results
- Successful resolution of crowded teeth without extraction
- Improved lip posture with comfortable closure
- Corrected midline alignment and proper occlusion
- Stable long-term results maintained over 3 years post-treatment
Frequently Asked Questions
Is non-extraction orthodontic treatment effective for crowded teeth?
Non-extraction treatment can effectively resolve crowded teeth using mini-screws for controlled tooth movement, as demonstrated in this 2-year treatment case.
Can lip protrusion be improved without tooth extraction?
Lip protrusion can be improved through non-extraction treatment with proper biomechanics, achieving comfortable lip closure and improved facial profile.
How long do orthodontic results typically last?
With proper treatment planning and regular maintenance, orthodontic results can be maintained long-term, as shown in this case with stable results over 3 years post-treatment.
What is the importance of post-treatment maintenance?
Regular post-treatment maintenance is crucial for long-term stability of orthodontic results, involving periodic check-ups and retention protocols.
Keywords: orthodontist in Incheon Korea, Invisalign Purple Diamond Provider, Korean orthodontist, non-extraction orthodontics, mini-screw orthodontics, crowded teeth treatment, orthodontic retention, long-term stability
글쓴이 소개 | About the Author
안상수 원장 | Dr. Sangsu An, DDS, MSD
- 대한민국 교정과 전문의 (Korean Board-Certified Orthodontist)
- 연세바로교정치과 인천점 대표원장 (Director, Yonsei Baro Orthodontic Clinic, Incheon, South Korea)
- 인비절라인 패컬티 (Invisalign Faculty)
- 연세바로치과네트워크 인비절라인 퍼플 다이아몬드 프로바이더 — 연간 1,500케이스 이상, 국내 최고 등급 (Yonsei Baro Dental Network — Invisalign Purple Diamond Provider, Highest Tier in Korea)
- 1,300+ 인비절라인 케이스 완료 (1,300+ Invisalign Cases Completed)
- 아시아태평양 인비절라인 글로벌 갤러리 등재 수 1위 (No.1 in Asia-Pacific Invisalign Global Gallery Listings)
- 철사교정(브라켓 교정)을 더 많이 하는 교정과 전문의
위치: 인천광역시 — 연세바로교정치과 인천점
Location: Yonsei Baro Orthodontic Clinic, Incheon, South Korea
원본: 네이버 블로그

댓글 남기기