인천 인비절라인 치료 전 후 비교 블루다이아몬드&글로벌등재
인천 인비절라인 연세바로치과 입니다.
인비절라인 이라는 검색어로 제 글을 읽으실 분들이라면
등급이나 글로벌갤러리 정도는 알고계시리라 생각합니다.
등급은 얼마나 많이 했는가.
글로벌갤러리는 대한치과교정학회에서 우수증례상 을 시상하듯, 얼라인 회사에서 시상하는 전세계 우수 증례상 이라고 생각합니다.


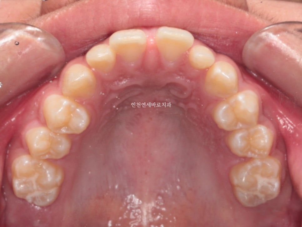
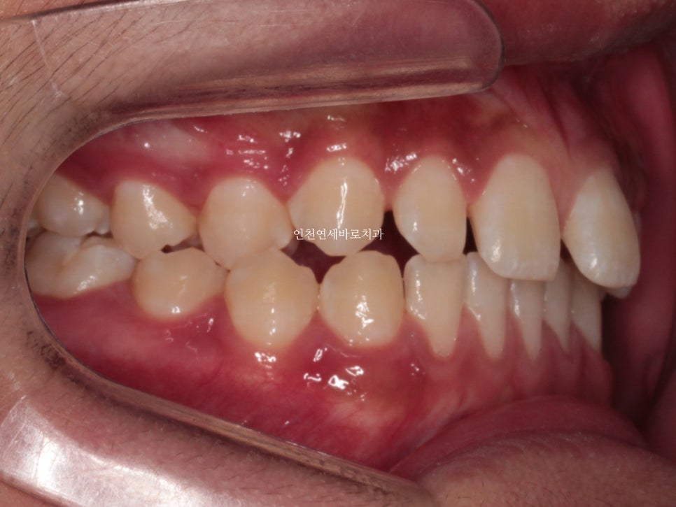
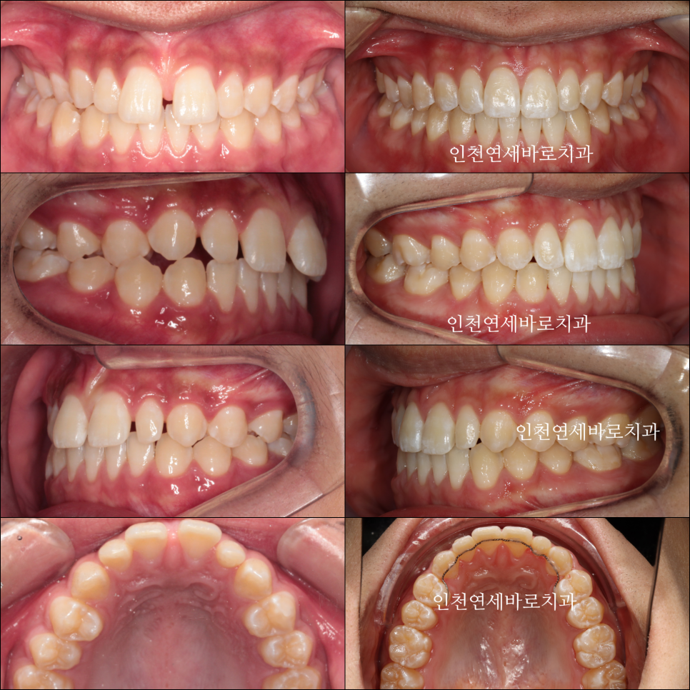
치료 받으러 온 고1 남학생입니다.
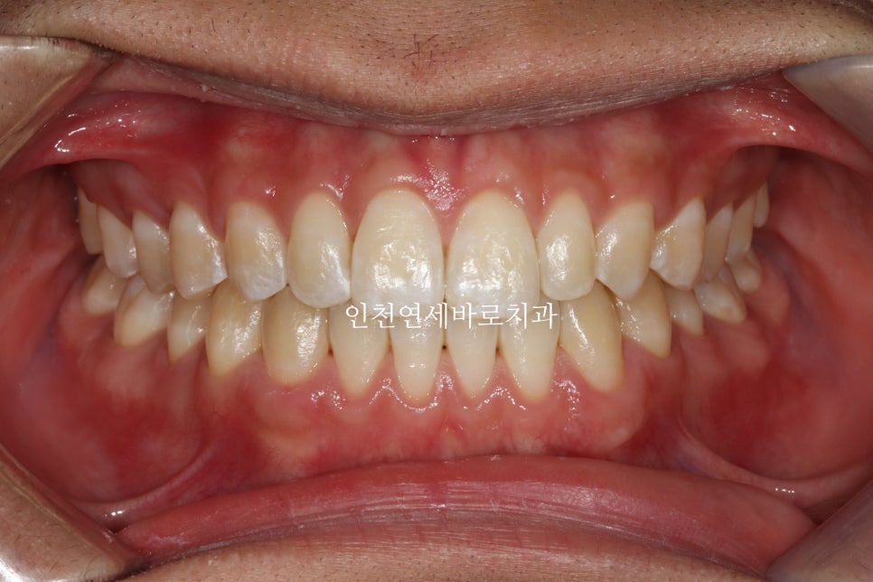
앞니가 벌어진 것도 문제였지만

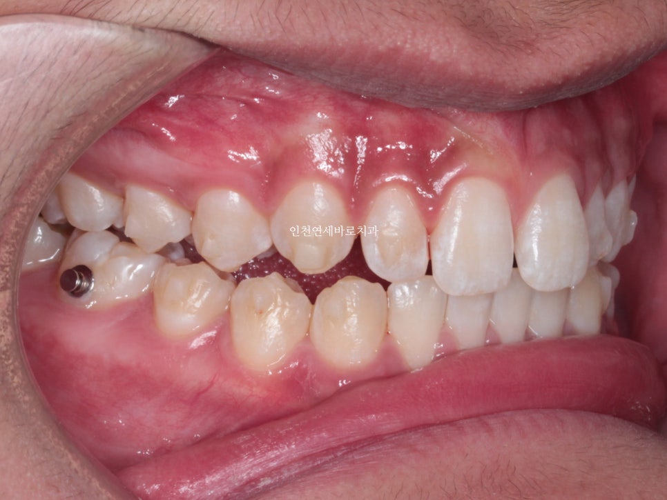
화살표쪽에 보이는 반대교합도 문제였습니다.
인비절라인으로 치료를 하기로 했습니다.
추가적인 #악궁확장장치 등은 사용하지 않았습니다.
#클린체크 라고 하는 인비절라인 전용 디지털 치료계획 프로그램상에서 치료계획을 수립한 결과 추가적인 악궁확장장치는 필요없었습니다.
악궁화장장치가 요즘 너무 많이 사용되는 것 같은데,
장점도 있지만, 단점도 있는 장치랍니다.
꼭 필요할때만 사용해야 합니다.


인비절라인은 플라스틱 장치를 착용하는 것으로 모든 치료가 되지 않습니다.
고무줄도 사용하여야 하며, 필요시 #미니스크류 도 식립해야 합니다.

인비절라인은 경험이 매우 중요합니다.
치과교정과를 수련받고 나온 원장님도 사실 대학병원에서 인비절라인을 직접 배우거나 치료해보긴 어렵거든요
요즘이야 어렵지, 제 나이또래 원장님은 대학병원에서는 구경정도만 했지 직접 못해봤답니다.
연세바로치과는 현재 2023년 11월 21일 지금. 전국에서 유일한 블루다이아몬드 등급 입니다.
작년 블랙다이아몬드에서 한계단 상승된 블루 가 되었습니다.
등급을 나누는 것은 저 또한 반대하는 입장이지만
그래도 환자분들이 병원을 고를때는 도움이 되는 하나의 지표가 아닌가 생각이 듭니다.


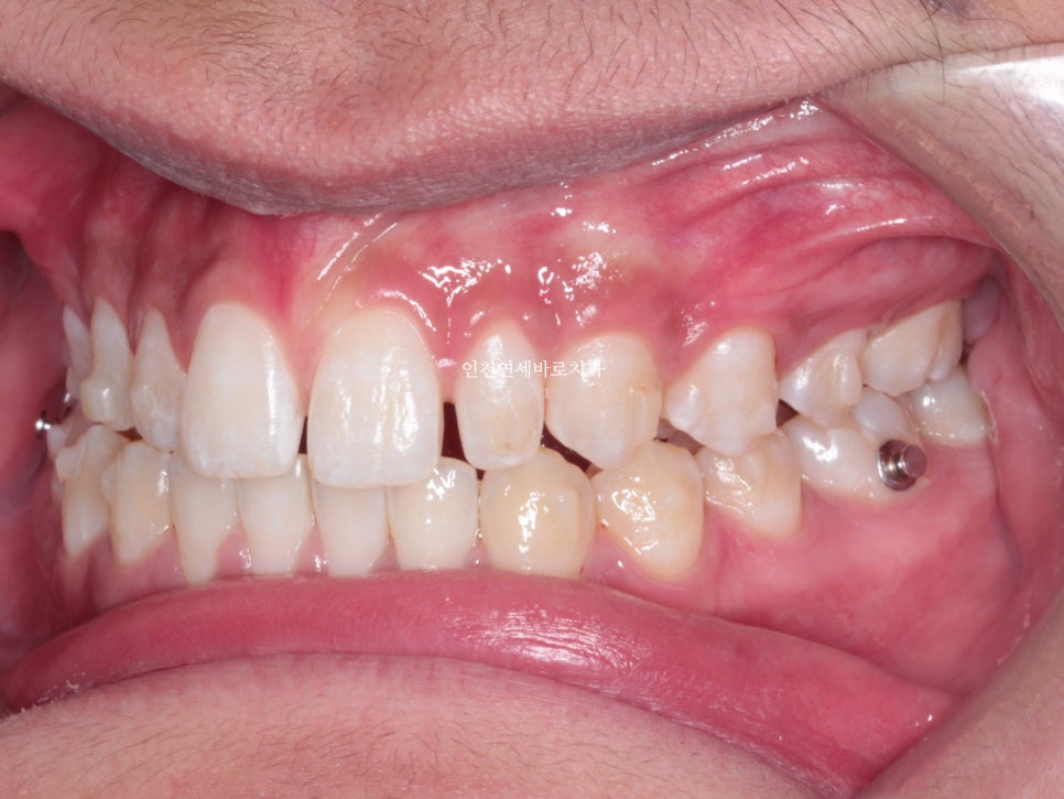
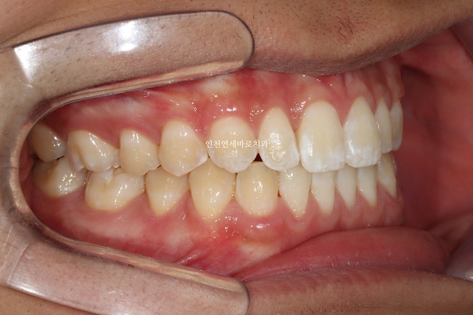
한번의 재제작을 했던 환자분입니다.
재제작 소요기간 한달을 포함해서 환자분이 병원에 오고 딱 1년만에 치료가 마무리 되었습니다.


문제가 되었던 오른쪽 어금니 교합도 좋게 마무리 하였습니다.
악궁확장장치는 사용하지 않았습니다.
안모의 변화를 꾀하려 한 치료는 아니기 때문에 얼굴의 변화는 없습니다.

인천 연세바로치과는
인천에서는 유일하게 글로벌갤러리에 등재된 치과입니다.
한개도 아니고 현재 9개가 등재되었으며, 4개가 등재대기 중 입니다.
인비절라인을 알아보신다면
제가 최선을 다해 진료해드리겠습니다
자주 묻는 질문 (FAQ)
인천에서 교정과 전문의가 있는 치과는?
연세바로교정치과 인천점에는 교정과 전문의가 진료하고 있습니다. 교정과 전문의는 대학 졸업 후 치과교정학 전문 수련과정을 이수한 치과의사입니다.
인비절라인 퍼플 다이아몬드 프로바이더란?
연세바로치과네트워크는 인비절라인 퍼플 다이아몬드 프로바이더로, 연간 1,500케이스 이상 치료 실적을 가진 치과에 부여되는 국내 최고 등급입니다.
인비절라인 글로벌 갤러리란 무엇인가요?
글로벌 갤러리는 얼라인 회사에서 전 세계 우수 증례상을 시상하는 제도입니다. 연세바로치과는 인천에서 유일하게 9개 증례가 등재되었으며, 4개가 등재 대기 중입니다.
인비절라인 치료 시 악궁확장장치를 반드시 사용해야 하나요?
모든 경우에 악궁확장장치가 필요한 것은 아닙니다. 클린체크라는 디지털 치료계획 프로그램을 통해 개별 환자의 상황을 분석하여 필요한 경우에만 사용합니다.
인비절라인 치료에는 투명교정기 외에 다른 장치도 필요한가요?
인비절라인 치료 시 플라스틱 교정기 외에도 고무줄, 필요에 따라 미니스크류 등의 보조장치를 사용할 수 있습니다. 개별 치료 계획에 따라 결정됩니다.
인비절라인 치료 기간은 얼마나 걸리나요?
이 증례의 경우 고1 남학생이 2020년 8월 24일부터 2021년 8월 13일까지 약 1년간 치료받았습니다. 한 번의 재제작 기간 1개월이 포함된 기간입니다.
Summary in English
Invisalign Treatment Before and After Comparison – Blue Diamond & Global Gallery Registration
Treatment Summary
- Patient: High school freshman with anterior spacing and crossbite issues
- Treatment period: August 24, 2020 – August 13, 2021 (1 year including one refinement)
- Treatment method: Invisalign without additional palatal expansion devices
- Digital treatment planning using ClinCheck program
- Auxiliary devices used: elastics and mini-screws as needed
- Successful correction of anterior spacing and posterior crossbite
Clinic Achievements
- Yonsei Baro Dental Clinic holds Blue Diamond Provider status (upgraded from Black Diamond)
- Only clinic in Incheon with 9 cases registered in Invisalign Global Gallery
- 4 additional cases pending for Global Gallery registration
- Yonsei Baro Dental Network is an Invisalign Purple Diamond Provider with 1,500+ annual cases
English FAQ
What is Invisalign Blue Diamond Provider status?
Blue Diamond is a provider level based on the number of Invisalign cases completed annually. Yonsei Baro Dental Clinic is currently the only Blue Diamond provider in Korea as of November 2023.
What is the Global Gallery registration?
Global Gallery is Align Company’s recognition system for outstanding treatment cases worldwide, similar to excellence awards given by dental orthodontic associations.
Is a palatal expansion device always necessary for Invisalign treatment?
Not all cases require palatal expansion devices. Treatment planning using ClinCheck digital program determines individual needs, and expansion devices should only be used when necessary.
How long does Invisalign treatment typically take?
This case study shows treatment completion in exactly one year, including one refinement period of one month, demonstrating efficient treatment planning and execution.
Keywords: orthodontist in Incheon Korea, Invisalign Purple Diamond Provider, Korean orthodontist, Invisalign Blue Diamond Provider, dental orthodontics Incheon, transparent braces Korea
글쓴이 소개 | About the Author
안상수 원장 | Dr. Sangsu An, DDS, MSD
- 대한민국 교정과 전문의 (Korean Board-Certified Orthodontist)
- 연세바로교정치과 인천점 대표원장 (Director, Yonsei Baro Orthodontic Clinic, Incheon, South Korea)
- 인비절라인 패컬티 (Invisalign Faculty)
- 연세바로치과네트워크 인비절라인 퍼플 다이아몬드 프로바이더 — 연간 1,500케이스 이상, 국내 최고 등급 (Yonsei Baro Dental Network — Invisalign Purple Diamond Provider, Highest Tier in Korea)
- 1,300+ 인비절라인 케이스 완료 (1,300+ Invisalign Cases Completed)
- 아시아태평양 인비절라인 글로벌 갤러리 등재 수 1위 (No.1 in Asia-Pacific Invisalign Global Gallery Listings)
- 철사교정(브라켓 교정)을 더 많이 하는 교정과 전문의
위치: 인천광역시 — 연세바로교정치과 인천점
Location: Yonsei Baro Orthodontic Clinic, Incheon, South Korea
원본: 네이버 블로그

댓글 남기기