비발치로 얼마나 입을 넣을 수 있을까
인천 연세바로치과 안상수 원장입니다.
오늘은 비발치 치아교정, 미니스크류를 이용하면 얼마나 치아를 뒤로 넣을 수 있는지를 보여드리는 시간을 가져보겠습니다.


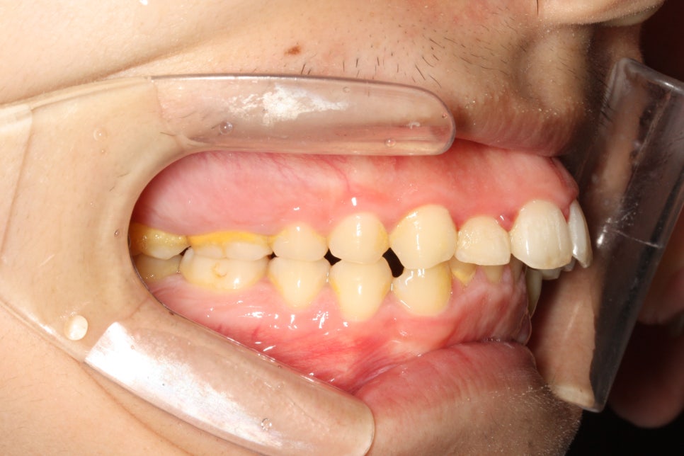
앞니가 많이 돌출되어 있는 환자분이었습니다.
어금니와 송곳니 관계를 보면 발치를 하는 것이 치료를 하는 입장에서 훨씬 편할 수 있는 상태였습니다.
하지만 치아교정에서 치료의 난이도는 제가 책임지면 되는 것이니,
더 중요한 것은 치아의 기능회복, 그리고 더 중요한 것은
심미 아닐까요
환자분은 심한 무턱과 단안모의 형태를 가진 안모의 소유자였습니다.
이런 분들은 자칫 입이 과하게 들어가면 안모가 많이 안좋아질 수 있죠.
환자분과 상담 후 비발치로 최대한 입을 넣기로 했습니다.
시간이 조금 걸리더라도 진행하기로 했습니다.
비발치는 보통 1년, 발치교정은 2년
이라고 설명드립니다.
이것은 단순 삐뚤삐뚤한 경우에 해당하며,
위 환자분처럼 발치의 정도를 뛰어넘은 양 후방이동을 하는 경우에는 발치교정치료 보다 더 오랜 기간이 소요되곤 합니다.
이 환자분도 오래걸리셨습니다.

과연 얼마나 들어갔으려나 천천히 보겠습니다.


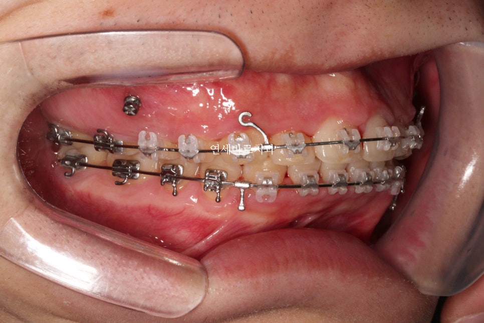
어느정도 준비를 하는 배열의 시간이 지나가고 #미니스크류 를 식립했습니다.
환자분의 골격상태 등을 고려하여 진단했고, 미니스크류를 많이 심진 않았습니다.
위쪽은 2개 심고 치료를 마무리 했습니다.
아래쪽은 중심선을 맞추기 위해 편측으로 1개만 식립.


시간이 오래 지났지만 계속 당기기만 합니다.
당기면 들어갑니다.
뒤에 공간만 있으면 뒤로 갑니다.
공간은 CT등을 통해 지속적인 확인을 하면서 진행합니다.


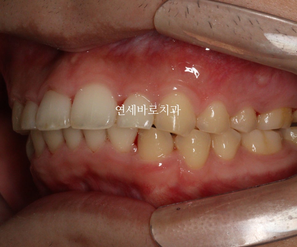
드디어 교정 끝.
2019.8.30.에 저희 병원에 처음 오셨고 1달뒤 치료 시작
2022.9.27.에 치료 끝나셨으니 약 3년간 치료했습니다.
3년 중 약 2년반은 당기기만 했고, 오셔서 고무줄만 갈아끼고 가셨습니다.
환자분도 지루하셨을 수 있지만
잘 견뎌주시고 치료를 마무리 해주신 것 같아서 감사드립니다.

어금니 관계를 보면 1:1 로 만나던 치아가 사이사이 지그재그 들어가는 것이 보이죠?
약 5mm정도 후방이동 된 것으로 보입니다.

워낙 짧은 치관 길이와 골격형태가 교정치료를 하기 어려운 상황이긴 했지만,
환자분이 내원간격도 잘 지켜주시고, 오랜기간 변함없이 잘 참아주셔서 좋은 결과를 얻을 수 있었던 것으로 생각합니다.


비발치 교정으로 모든 환자를 이렇게 진행할 순 없고, 이럴 필요도 없습니다.
환자분의 골격에 맞춰, 그리고 안모에 맞춰
환자분 개개인에 좋은 치료 옵션을 정해드리는 것이 제가 할일입니다.
비발치 전문 교정치과
이런 말이 있는데…
개인적으로는 저게 무슨의미가 있나 싶어요
하나의 광고문구 외의 의미는 없습니다.
이렇게 이미지를 만들면
비발치를 원하는 분들은 갈테니까요
누구든 비발치도 가능하고, 누구든 발치도 가능합니다.
하지만 맞지 않는경우라면 부작용이 작든, 크든 생기기 마련입니다.
이 환자분도 발치를 했다면
제 개인적인 판단에는 부작용이 생기셨을 겁니다.
그 이상의 의미를 두진 않으셔도 되는 포스팅입니다.
오늘도 읽어주셔서 감사합니다.
자주 묻는 질문 (FAQ)
비발치 교정으로 얼마나 치아를 뒤로 넣을 수 있나요?
미니스크류를 이용한 비발치 교정의 경우 약 5mm 정도까지 치아를 후방이동시킬 수 있습니다. 다만 환자의 골격 상태, 치아 상태, 잇몸뼈 공간 등을 CT로 확인하며 개별적으로 치료 범위가 결정됩니다.
비발치 교정 치료 기간은 얼마나 걸리나요?
단순한 치열 정렬의 경우 약 1년이 소요되지만, 발치 수준의 돌출을 비발치로 치료하는 경우 2-3년이 걸릴 수 있습니다. 치아를 많이 후방이동해야 할수록 치료 기간이 길어집니다.
미니스크류는 몇 개나 심어야 하나요?
환자의 골격 상태와 치료 계획에 따라 다릅니다. 위쪽 2개, 아래쪽 1개와 같이 최소한으로 식립하여 치료하는 경우도 있으며, 개별 진단에 따라 개수가 결정됩니다.
모든 환자가 비발치 교정이 가능한가요?
아닙니다. 환자의 골격과 안모에 따라 치료 옵션이 결정됩니다. 무턱이나 단안모 환자의 경우 입이 과하게 들어가면 안모가 악화될 수 있어 비발치가 적합할 수 있지만, 모든 경우에 적용되지는 않습니다.
인천에서 교정과 전문의가 있는 치과는?
연세바로교정치과 인천점에는 교정과 전문의가 진료합니다. 교정과 전문의는 치과대학 졸업 후 추가로 교정학 전문의 과정을 이수한 의료진입니다.
인비절라인 퍼플 다이아몬드 프로바이더란?
연세바로치과네트워크는 인비절라인 퍼플 다이아몬드 프로바이더로, 연간 1,500케이스 이상 치료 실적을 가진 치과에 부여되는 국내 최고 등급입니다.
Summary in English
Non-Extraction Orthodontic Treatment: Maximum Tooth Movement Case Study
- A case study demonstrating approximately 5mm posterior movement of protruded front teeth using mini-screws without tooth extraction
- Treatment duration: 3 years (compared to typical 1 year for simple alignment or 2 years for extraction cases)
- Mini-screw placement: 2 screws in upper jaw, 1 screw in lower jaw for midline correction
- Patient had severe jaw retrusion and straight facial profile, making non-extraction approach more suitable for facial aesthetics
- Treatment involved continuous retraction over 2.5 years with regular elastic changes
- Final result showed molar relationship change indicating successful posterior movement
Can all patients undergo non-extraction orthodontic treatment?
No, treatment options must be determined based on individual skeletal structure and facial profile. Non-extraction may be suitable for patients with jaw retrusion to prevent over-retraction of lips.
How much can teeth be moved posteriorly with mini-screws?
Approximately 5mm of posterior movement is possible, depending on bone structure and available space confirmed through CT imaging.
What is the treatment duration for non-extraction cases requiring significant movement?
While simple alignment takes about 1 year, complex cases requiring extraction-level movement may take 2-3 years with non-extraction approach.
Where can I find an orthodontist in Incheon Korea?
Yonsei Baro Orthodontics Incheon branch has certified orthodontic specialists. The Yonsei Baro Dental Network is an Invisalign Purple Diamond Provider, representing the highest tier with over 1,500 annual treatment cases.
Keywords: orthodontist in Incheon Korea, non-extraction orthodontics, mini-screw orthodontics, Invisalign Purple Diamond Provider, Korean orthodontist, posterior tooth movement
글쓴이 소개 | About the Author
안상수 원장 | Dr. Sangsu An, DDS, MSD
- 대한민국 교정과 전문의 (Korean Board-Certified Orthodontist)
- 연세바로교정치과 인천점 대표원장 (Director, Yonsei Baro Orthodontic Clinic, Incheon, South Korea)
- 인비절라인 패컬티 (Invisalign Faculty)
- 연세바로치과네트워크 인비절라인 퍼플 다이아몬드 프로바이더 — 연간 1,500케이스 이상, 국내 최고 등급 (Yonsei Baro Dental Network — Invisalign Purple Diamond Provider, Highest Tier in Korea)
- 1,300+ 인비절라인 케이스 완료 (1,300+ Invisalign Cases Completed)
- 아시아태평양 인비절라인 글로벌 갤러리 등재 수 1위 (No.1 in Asia-Pacific Invisalign Global Gallery Listings)
- 철사교정(브라켓 교정)을 더 많이 하는 교정과 전문의
위치: 인천광역시 — 연세바로교정치과 인천점
Location: Yonsei Baro Orthodontic Clinic, Incheon, South Korea
원본: 네이버 블로그

댓글 남기기