재교정을 해야하는 경우? 그리고 재교정을 위한 방법 및 기간 에 대한 글
재교정을 왜 하게 되는 것일까 에 대한 글입니다.
재교정은 교정이 잘못 되어서 하는 것만은 아닙니다.
첫번째 교정치료가 마음에 들지 않아서 다시 하게 되는 경우도 있습니다.
하지만 첫번째 교정이 아주 잘 마무리가 되었다 하더라도 시간이 지나면 치아가 틀어질 수 있습니다.
바로
생리적 치아이동 이라고 부르는
노화현상 때문입니다.
그냥 살아있기 때문에 치아가 틀어질 수 있는 겁니다.
재교정을 해야하는 경우는 다음과 같을 겁니다.
1) 첫번째 교정치료 결과가 마음에 들지 않을때
2) 교정이 끝났는데 치아가 틀어졌을때
두번째 경우에
아닙니다.
재교정을 해야하는 시기는 '본인이 마음에 들지 않아 다시 하고 싶을 때' 입니다.
본인만 괜찮으면 당연히 평생 안해도 됩니다.
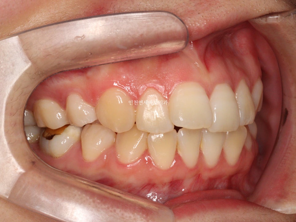
오늘은 교정이 끝난지 오래되어 재교정을 하고 싶어 내원했던 환자분 이야기 입니다.


예전에 중학생때 발치교정치료를 받았다고 합니다.
환자분의 나이는 이제 30대
약 15년만에 다시 교정치료를 결심하셨다고 합니다.
결혼을 앞둔 분이었고


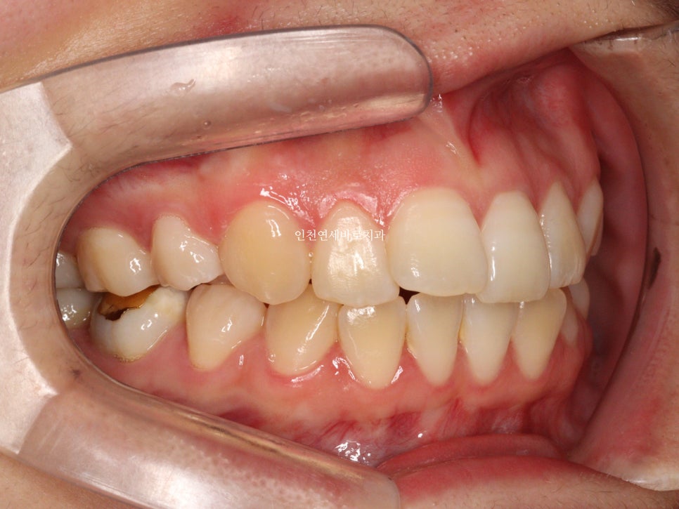
앞니하나가 많이 틀어졌는데 점점 틀어진다고 하셨습니다.
맞아요. 점점 틀어지고 계실겁니다. 살아있는 사람의 치아니까요.
철사 유지장치를 붙여놨었는데 오래전에 탈락 하고 다시 붙이지 않으셨다고 합니다.
붙어있다면 조금은 덜 틀어지지 않았을까 추측해봅니다.

이런 치열의 재교정은 거의 대부분의 환자분이 #부분교정 을 염두하시고 병원에 옵니다.
이분도 역시 그랬구요.
부분교정으로도 가능합니다.
하지만 부분교정과 인비절라인은 약간은 다른 개념이에요
부분교정은 부분만 바꾸는 교정치료이며,
인비절라인은 간단한 전체교정이라고 생각하면 됩니다.
환자분도 이 점에 대해 충분히 설명듣고 이해하셨습니다. 많은 고민을 한 뒤
인비절라인라이트 를 선택하셨어요.
이유는…
"잘 기억나진 않지만
15년전의 기억이 좋진 않았다. 철사를 다시 붙일 용기가 나지 않아 지금까지 미뤄왔다.
오늘 인비절라인을 보니 인비절라인으로 하고 싶다. "
그래서 인비절라인 라이트로 진행을 결정하셨습니다.


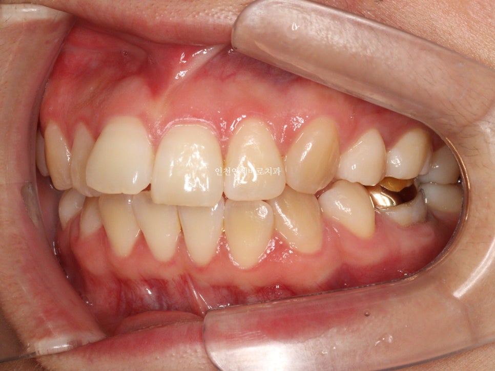
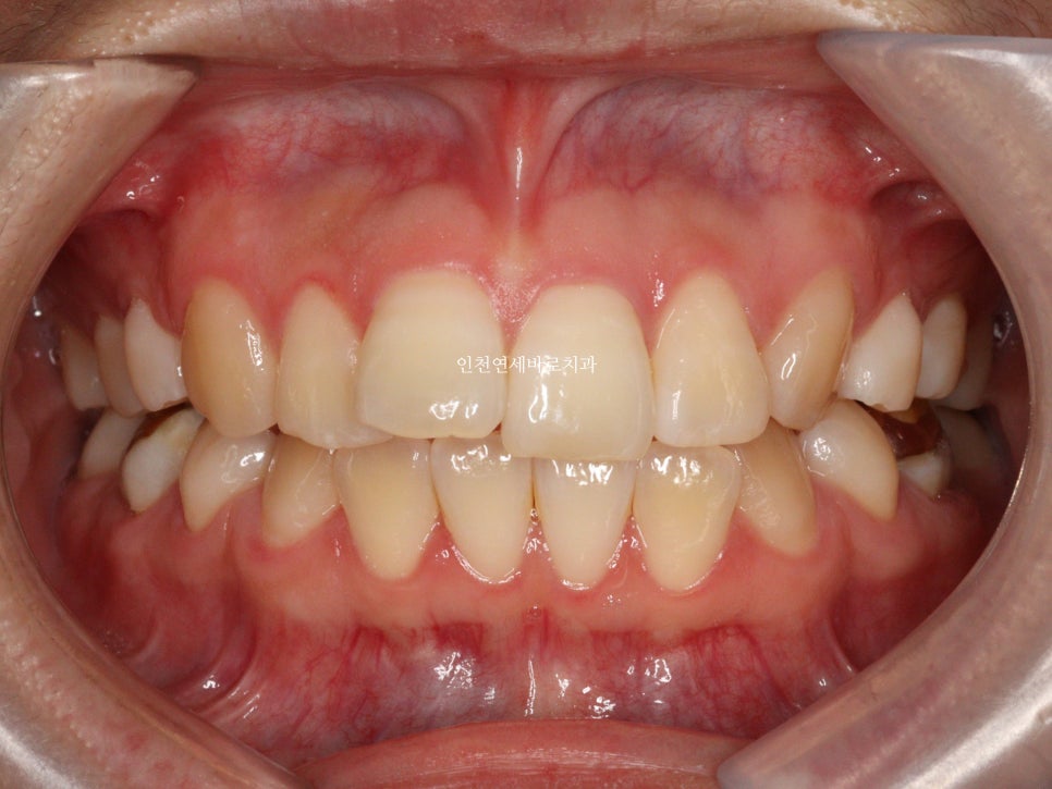
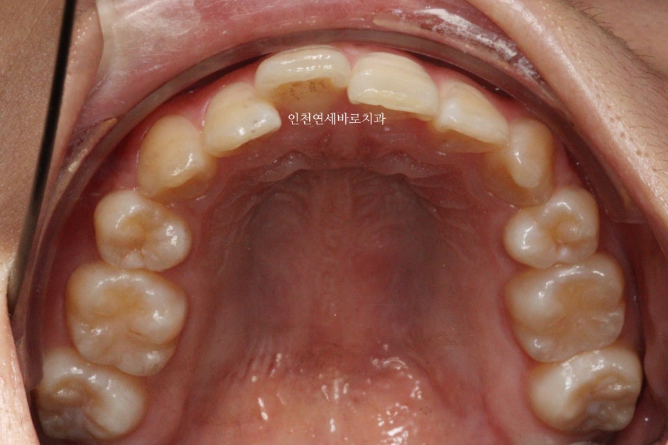
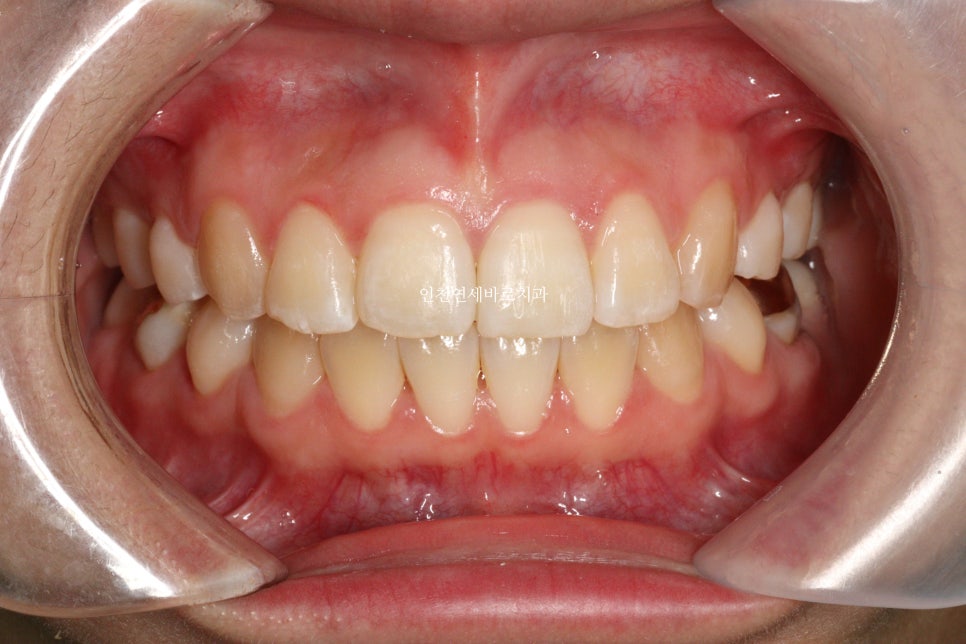
변화모습입니다.
장치의 제작이 한달이나 걸리기 때문에 3/30이 처음 교정치료를 시작했던 날입니다.
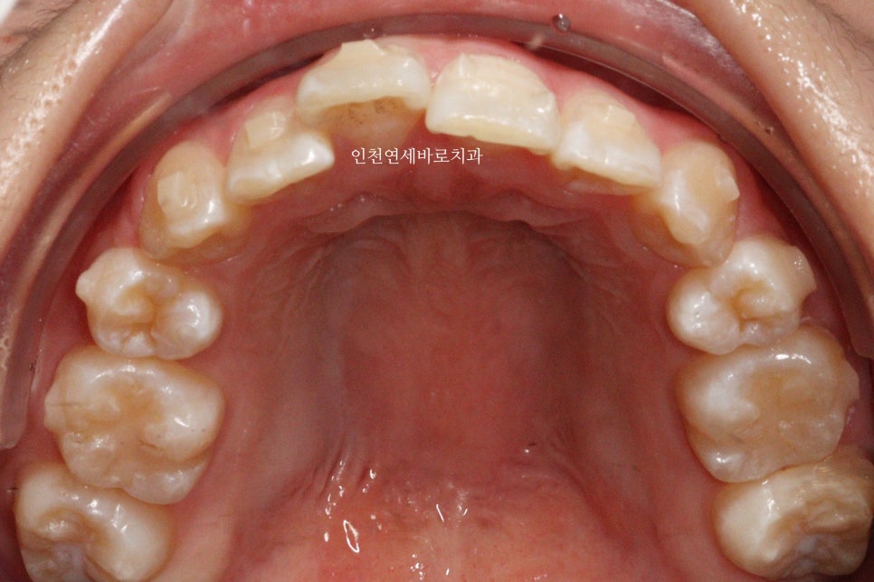
약 3개월의 변화모습입니다.


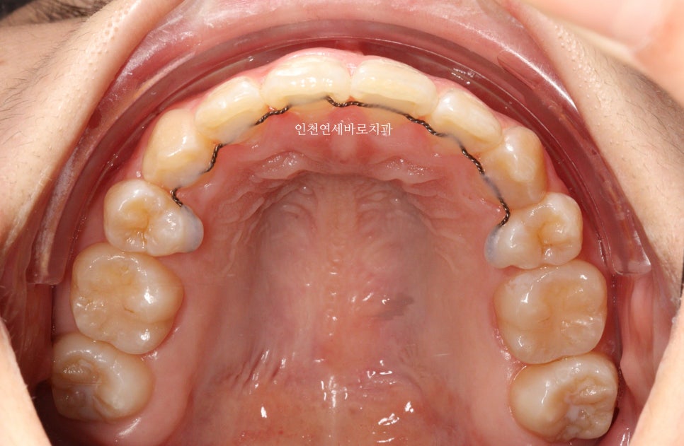
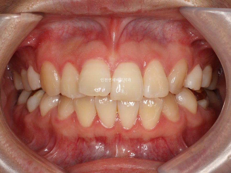
그리고 치료가 마무리 된 후의 모습입니다.


부분교정으로 앞니만 철사를 붙여서도 비슷한 효과를 볼 수 있었을지 모릅니다.
하지만 치아의 삭제가 많은 양 동반되지 않았다면 앞니가 분명 뻗쳐나왔을것입니다.
하지만 인비절라인은 전체교정에 준하는
치아와 주변조직에 무리가 되지 않는 범위에서의 확장을 만들어낼 수 있어
앞니의 뻗침을 최소화 할 수 있는 장점이 있습니다.
위 환자분의 재교정 치료기간은 약 7개월입니다.
7개월동안 병원은 두번 왔구요.
인비절라인라이트가 좋다라는 말이라기 보다는
한번 철사를 경험해보고 좋지 않은(?) 경험이 있는 분들에게는 꽤 좋은 선택지일 수 있다는 글입니다.
철사교정은 여전히 가장 좋은 치료 방법입니다.
저 역시 인비절라인 보다 더 많은 철사교정환자를 진료 중이구요
재교정을 여러가지 이유로 고민하는 분들께 이 글이 작은 도움이 되었다면 좋겠습니다.
오늘도 몸살기운이 있는데 열심히 진료했으니 내일은 좀 쉬었다 오겠습니다.
모두 연말 잘 보내세요
자주 묻는 질문 (FAQ)
재교정이 필요한 경우는 언제인가요?
재교정이 필요한 경우는 크게 두 가지입니다. 첫 번째는 첫 번째 교정치료 결과가 마음에 들지 않을 때이고, 두 번째는 교정이 끝났는데 시간이 지나면서 치아가 다시 틀어졌을 때입니다. 특히 생리적 치아이동이라는 자연스러운 노화현상으로 인해 치아는 시간이 지나면 자연스럽게 틀어질 수 있습니다.
재교정을 언제 해야 하나요?
재교정을 해야하는 시기는 명확한 기준이 있는 것이 아니라 ‘본인이 마음에 들지 않아 다시 하고 싶을 때’입니다. 본인이 현재 치아 상태에 만족한다면 평생 재교정을 하지 않아도 됩니다.
부분교정과 인비절라인의 차이점은 무엇인가요?
부분교정은 문제가 되는 특정 부분만을 바꾸는 교정치료이며, 인비절라인은 간단한 전체교정이라고 볼 수 있습니다. 인비절라인은 치아와 주변조직에 무리가 되지 않는 범위에서 확장을 만들어내어 앞니의 뻗침을 최소화할 수 있는 장점이 있습니다.
재교정 치료기간은 얼마나 걸리나요?
재교정 치료기간은 개인의 치아 상태와 선택한 교정 방법에 따라 다릅니다. 블로그에서 소개된 인비절라인 라이트를 이용한 재교정 사례의 경우 약 7개월의 치료기간이 소요되었습니다.
인천에서 교정과 전문의가 있는 치과는?
연세바로교정치과 인천점에는 교정과 전문의가 진료합니다. 교정과 전문의는 치과대학 졸업 후 교정과 전문의 과정을 이수하고 보건복지부에서 인정받은 교정 전문 의료진입니다.
인비절라인 퍼플 다이아몬드 프로바이더란?
연세바로치과네트워크는 인비절라인 퍼플 다이아몬드 프로바이더로, 연간 1,500케이스 이상 치료 실적을 가진 치과에 부여되는 국내 최고 등급입니다. 이는 인비절라인 치료에 대한 풍부한 경험과 노하우를 보유하고 있음을 의미합니다.
Summary in English
English Summary: When and Why Orthodontic Retreatment is Necessary
- Main reasons for retreatment: Unsatisfactory results from initial orthodontic treatment or teeth relapse after completion of orthodontics
- Natural tooth movement: Physiological tooth movement occurs as a natural aging process, causing teeth to shift even after successful orthodontic treatment
- Treatment timing: Retreatment should be considered when the patient is dissatisfied with their current dental alignment and wishes to improve it
- Case study: A 30-year-old patient received Invisalign retreatment 15 years after initial braces treatment, with treatment completed in approximately 7 months
- Treatment options: Both partial orthodontics and Invisalign are viable options, with Invisalign offering comprehensive treatment with minimal tooth protrusion
English FAQ
What is the difference between partial orthodontics and Invisalign?
Partial orthodontics focuses on correcting specific problem areas only, while Invisalign provides comprehensive orthodontic treatment. Invisalign can create expansion within safe limits for teeth and surrounding tissues, minimizing anterior tooth protrusion.
How long does orthodontic retreatment typically take?
The duration of orthodontic retreatment varies depending on individual dental conditions and chosen treatment method. The case presented showed successful completion in approximately 7 months using Invisalign Lite.
Can I find an orthodontist in Incheon Korea with specialized credentials?
Yonsei Baro Orthodontic Clinic Incheon branch has certified orthodontists who completed specialized orthodontic training after dental school graduation and are recognized by the Ministry of Health and Welfare.
What does Invisalign Purple Diamond Provider status mean?
Yonsei Baro Dental Network holds Invisalign Purple Diamond Provider status, which is awarded to dental practices treating over 1,500 cases annually – the highest tier in Korea, demonstrating extensive experience and expertise in Invisalign treatment.
Keywords: orthodontist in Incheon Korea, Invisalign Purple Diamond Provider, Korean orthodontist, orthodontic retreatment, physiological tooth movement, Invisalign Korea
글쓴이 소개 | About the Author
안상수 원장 | Dr. Sangsu An, DDS, MSD
- 대한민국 교정과 전문의 (Korean Board-Certified Orthodontist)
- 연세바로교정치과 인천점 대표원장 (Director, Yonsei Baro Orthodontic Clinic, Incheon, South Korea)
- 인비절라인 패컬티 (Invisalign Faculty)
- 연세바로치과네트워크 인비절라인 퍼플 다이아몬드 프로바이더 — 연간 1,500케이스 이상, 국내 최고 등급 (Yonsei Baro Dental Network — Invisalign Purple Diamond Provider, Highest Tier in Korea)
- 1,300+ 인비절라인 케이스 완료 (1,300+ Invisalign Cases Completed)
- 아시아태평양 인비절라인 글로벌 갤러리 등재 수 1위 (No.1 in Asia-Pacific Invisalign Global Gallery Listings)
- 철사교정(브라켓 교정)을 더 많이 하는 교정과 전문의
위치: 인천광역시 — 연세바로교정치과 인천점
Location: Yonsei Baro Orthodontic Clinic, Incheon, South Korea
원본: 네이버 블로그

댓글 남기기