인비절라인 퍼스트 치료 전 후 비교 후기기록
인비절라인 퍼스트로 어디까지 치료할 수 있을까에 대한 정리를 해보려 합니다.
아직 이 친구는 3개월의 치료 유효기간이 남아있고, 2024년 2월정도에 마지막 재제작을 준비하고 있습니다.
굳이 안해도 될지 모르지만, 100점을 위해 보호자분과 이야기해서 2월에 재제작을 정한 상태입니다.
저는 인천연세바로치과 안상수 대표원장입니다.


심한 덧니를 가진 아이가 병원에 왔습니다.
비발치 치료계획을 세운뒤 #인비절라인퍼스트 주문을 했습니다.
인비절라인 퍼스트는 약 1달 정도의 제작기간이 필요합니다


약한달이 지나고 치료를 처음 시작한 날의 모습입니다.
여러가지 이유로 남아있던 유치를 뺏습니다.
피가 조금 나서 흑백처리했습니다.


처음 시작하고 약 7개월 정도가 지났을때의 모습입니다. 아직은 삐뚠 치열이 남아있지만, 어느정도 정리가 되어가고 있네요
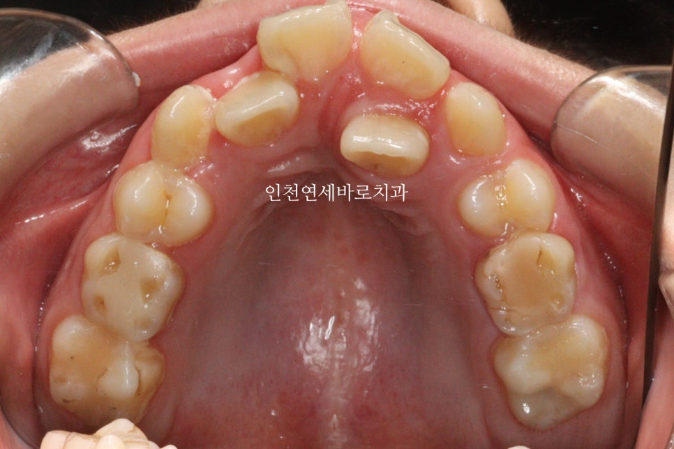
그리고 올해 12월 초에 병원에 왔을 때의 모습입니다.


100점은 아니지만, 이제는 거의 모든 치아가 배열된 것 처럼 보입니다.


인비절라인 퍼스트는 정확한 진단과 전략으로 만들어내는 치료입니다.
인천에서 인비절라인 퍼스트를 알아보고 계시다면 세가지를 한번 체크해보시면 좋을 것 같습니다.
교정전문치과인지, 얼마나 오래되었는지
인비절라인을 많이 하는 치과인지, 등급이 어느정도나 되는지
인비절라인을 잘한다는 글로벌갤러리에 등재된 치과인지, 비슷한 아이들의 치료 증례가 많이 있는지.
이런것들을 찾아보고 결정한다면 분명 좋은 치료 결과를 얻을 수 있을 것이라 생각합니다.
자주 묻는 질문 (FAQ)
인비절라인 퍼스트란 무엇인가요?
인비절라인 퍼스트는 만 6~10세 어린이를 위한 투명 교정장치입니다. 성장기 어린이의 치아 교정에 특화되어 있으며, 제작 기간은 약 1개월이 소요됩니다.
인비절라인 퍼스트 치료 기간은 얼마나 걸리나요?
이 사례에서는 2022년 10월 시작하여 2023년 12월까지 약 14개월간 치료가 진행되었습니다. 치료 기간은 개인의 치아 상태와 교정 정도에 따라 달라집니다.
인천에서 교정과 전문의가 있는 치과는?
연세바로교정치과 인천점에는 교정과 전문의가 진료하고 있습니다. 교정과 전문의는 치과대학 졸업 후 4년간의 전공의 과정을 거쳐 교정 전문 분야의 자격을 취득한 치과의사입니다.
인비절라인 퍼플 다이아몬드 프로바이더란?
연세바로치과네트워크는 인비절라인 퍼플 다이아몬드 프로바이더로, 연간 1,500케이스 이상 치료 실적을 가진 치과에 부여되는 국내 최고 등급입니다.
인비절라인 퍼스트로 심한 덧니도 치료할 수 있나요?
이 사례에서는 심한 덧니를 가진 아이를 비발치로 치료하여 상당한 개선 효과를 보였습니다. 다만 치료 가능 여부는 개별 진단을 통해 결정됩니다.
인비절라인 치료 중 유치 발치가 필요한가요?
이 사례에서는 치료 시작 시 남아있던 유치를 발치했습니다. 유치 발치 여부는 개별 치아 상태와 치료 계획에 따라 결정됩니다.
Summary in English
Invisalign First Treatment Case Review
Summary
- Treatment period: October 2022 – December 2023 (14 months)
- Patient: Child with severe crowded teeth
- Treatment method: Invisalign First with non-extraction approach
- Manufacturing time: Approximately 1 month for initial aligners
- Key procedures: Primary tooth extraction during treatment
- Results: Significant improvement in tooth alignment achieved
- Additional treatment: Final refinement planned for February 2024
English FAQ
What is Invisalign First treatment?
Invisalign First is a clear aligner treatment designed specifically for children aged 6-10 years old. It requires approximately one month for manufacturing and is tailored for growing children’s orthodontic needs.
How long does Invisalign First treatment take?
In this case, treatment progressed for approximately 14 months from October 2022 to December 2023. Treatment duration varies depending on individual tooth conditions and correction requirements.
What qualifications should I look for in an orthodontist in Incheon Korea?
Key factors include: specialized orthodontic practice, extensive experience with Invisalign treatments, high provider status levels, and documented case results in global galleries.
What is Purple Diamond Provider status?
Yonsei Baro Dental Network holds Purple Diamond Provider status, which is awarded to practices treating over 1,500 Invisalign cases annually – the highest tier in Korea.
Keywords: orthodontist in Incheon Korea, Invisalign Purple Diamond Provider, Korean orthodontist, Invisalign First treatment, pediatric orthodontics Korea
글쓴이 소개 | About the Author
안상수 원장 | Dr. Sangsu An, DDS, MSD
- 대한민국 교정과 전문의 (Korean Board-Certified Orthodontist)
- 연세바로교정치과 인천점 대표원장 (Director, Yonsei Baro Orthodontic Clinic, Incheon, South Korea)
- 인비절라인 패컬티 (Invisalign Faculty)
- 연세바로치과네트워크 인비절라인 퍼플 다이아몬드 프로바이더 — 연간 1,500케이스 이상, 국내 최고 등급 (Yonsei Baro Dental Network — Invisalign Purple Diamond Provider, Highest Tier in Korea)
- 1,300+ 인비절라인 케이스 완료 (1,300+ Invisalign Cases Completed)
- 아시아태평양 인비절라인 글로벌 갤러리 등재 수 1위 (No.1 in Asia-Pacific Invisalign Global Gallery Listings)
- 철사교정(브라켓 교정)을 더 많이 하는 교정과 전문의
위치: 인천광역시 — 연세바로교정치과 인천점
Location: Yonsei Baro Orthodontic Clinic, Incheon, South Korea
원본: 네이버 블로그

댓글 남기기