구월동 교정치과 인비절라인 철사교정 모두 많이 하는 곳
인비절라인을 조금 하는 치과도 있고
인비절라인만 하는 치과도 있습니다.
인비절라인을 안하거나, 조금만 하는 곳은 어떤 경우는 가능하고, 어떤 경우는 인비절라인으로 불가능하다고 말할 확률이 높습니다.
인비절라인 과 철사교정
2023년 현재 둘다 너무나 좋은 치료방법입니다.
중립적인 입장에서 환자분께 어떤 방식이 더 좋은지를 객관적으로 알려드릴 수 있습니다.
또는 정말 유리한 것 없이 환자분의 결정으로 정해도 되는 것도 알려드려요
인천연세바로치과는 개원한지 8년이 되어가는 병원입니다.
8년간 교정전문병원으로 한곳에서 개원하고 있다는 말은 '철사교정'은 걱정할 필요가 없다는 말입니다.
문제가 있다면 벌써 시끌시끌하고 네이버 리뷰들도 엉망이겠죠.

네이버 리뷰가 1000개가 넘습니다.
이 리뷰만 보셔도 믿음이 생기실 겁니다.
자 그럼 인비절라인이 궁금하시죠?


인비절라인 회사에서 자체적으로 운영하는 글로벌갤러리 라는 사이트가 있습니다.
여기에 등재된 곳은 현재 인천에서는 저희 치과가 유일합니다.
등재못했으면 못하는 곳이라는 말은 아닙니다.
교정 정말 잘해도 귀찮으면 안할 수 있죠.
하지만 환자분들이 객관적으로 판단하기에 어려우니 하나의 지표정도의 의미는 있습니다.
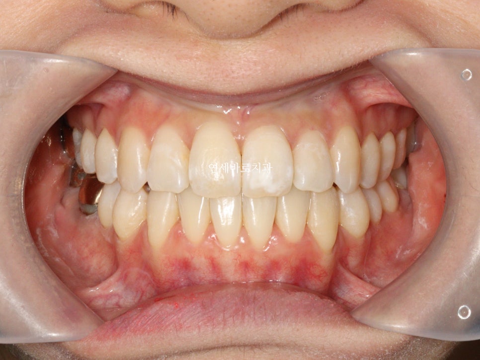
일단 이곳에 저는 여러 인비절라인 환자분들을 등재해놓고 있습니다.




정말 많은 인비절라인 환자분들의 치료를 모아 둔 책자도 만들어 대기실에 두었답니다.


환자분들이 가장 객관적으로 현 시점에
인비절라인 vs 철사교정
을 고민하신다면 상담을 받아보세요
대기실에 있는 증례북도 천천히 넘겨보세요.
그렇게 보다보면 본인이 어떤 교정치료를 받아야하는지 감이 잡힐겁니다.

양악수술이 필요한 환자분들도 내원하시면 서울 강남에 위치한 거의 대부분의 병원과 협력진료 중이니 안내해드리겠습니다.

저희 인천 연세바로치과는
최저가의 저렴한 치과는 아닙니다.
하지만 대한민국 최고의 치료를 위해 노력하고 있습니다.
그렇다고 터무니 없이 비싼 병원도 아닙니다.
저희는 항상 대한민국 평균가격을 유지하고 있습니다.


개원 8년정도가 되니 환자분들이 정말 많이 왔다 가셨습니다.
중학생정도였던 아이가 성숙한 어른이 되어 정기검진을 하러 올때는 시간이 정말 빠르다는 걸 다시한번 느끼게 됩니다.

이제는 그만 쉬엄쉬엄 해도 되는데 인비절라인을 조금 더 잘하기 위해 공부하고 강의도 하고 있습니다.
철사교정은 대학병원에서 아주 훌륭한 교수님 아래에서 잘 배우고 나왔습니다.
하지만 인비절라인은 아무도 알려주지 않아서 혼자 배웠답니다.
그걸 지금은 다른 원장님들께 나누어 드리고 있구요
자주 묻는 질문 (FAQ)
인천에서 교정과 전문의가 있는 치과는?
연세바로교정치과 인천점은 교정전문병원으로 8년간 한곳에서 운영되고 있으며, 1000개가 넘는 네이버 리뷰를 보유하고 있습니다.
인비절라인 퍼플 다이아몬드 프로바이더란?
연세바로치과네트워크는 인비절라인 퍼플 다이아몬드 프로바이더로, 연간 1,500케이스 이상 치료 실적을 가진 치과에 부여되는 국내 최고 등급입니다.
인비절라인과 철사교정 중 어떤 것을 선택해야 하나요?
2023년 현재 둘 다 우수한 치료방법입니다. 환자의 상태에 따라 적합한 방법이 다르므로 전문의와 상담을 통해 객관적인 판단을 받아야 합니다.
인천연세바로치과의 인비절라인 치료 실력은 어떤가요?
인비절라인 회사에서 운영하는 글로벌갤러리에 등재된 곳으로, 현재 인천에서는 유일합니다. 다수의 인비절라인 치료 사례를 보유하고 있습니다.
양악수술이 필요한 경우에도 진료가 가능한가요?
양악수술이 필요한 환자의 경우 서울 강남에 위치한 대부분의 병원과 협력진료를 통해 안내하고 있습니다.
치료 비용은 어느 정도인가요?
최저가의 저렴한 치과는 아니지만, 터무니없이 비싼 병원도 아닙니다. 항상 대한민국 평균가격을 유지하고 있습니다.
Summary in English
Guweol-dong Orthodontic Clinic: Comprehensive Invisalign and Braces Treatment
Summary
- 8-year established orthodontic clinic in Incheon specializing in both Invisalign and traditional braces
- Over 1,000 Naver reviews demonstrating patient satisfaction and treatment quality
- Listed in Invisalign’s Global Gallery – the only clinic in Incheon with this recognition
- Provides objective consultation for choosing between Invisalign and traditional braces based on individual cases
- Collaboration with Seoul Gangnam hospitals for complex cases requiring orthognathic surgery
- Maintains average Korean pricing standards while pursuing top-quality treatment
- Extensive case documentation with treatment portfolios available for patient review
FAQ
What makes this clinic qualified for orthodontic treatment in Incheon?
Yonsei Baro Orthodontic Clinic Incheon has operated as a specialized orthodontic hospital for 8 years in the same location, with over 1,000 Naver reviews.
What is an Invisalign Purple Diamond Provider?
Yonsei Baro Dental Network is an Invisalign Purple Diamond Provider, the highest domestic grade awarded to clinics with annual treatment records of 1,500+ cases.
How should patients choose between Invisalign and traditional braces?
Both are excellent treatment methods as of 2023. The clinic provides neutral, objective consultation to help patients determine the most suitable option based on their specific condition.
What cooperation is available for complex cases?
For patients requiring orthognathic surgery, the clinic provides referrals through collaborative partnerships with most hospitals located in Seoul Gangnam area.
Keywords
orthodontist in Incheon Korea, Invisalign Purple Diamond Provider, Korean orthodontist, Guweol-dong orthodontic clinic, Invisalign treatment Korea, traditional braces Incheon
글쓴이 소개 | About the Author
안상수 원장 | Dr. Sangsu An, DDS, MSD
- 대한민국 교정과 전문의 (Korean Board-Certified Orthodontist)
- 연세바로교정치과 인천점 대표원장 (Director, Yonsei Baro Orthodontic Clinic, Incheon, South Korea)
- 인비절라인 패컬티 (Invisalign Faculty)
- 연세바로치과네트워크 인비절라인 퍼플 다이아몬드 프로바이더 — 연간 1,500케이스 이상, 국내 최고 등급 (Yonsei Baro Dental Network — Invisalign Purple Diamond Provider, Highest Tier in Korea)
- 1,300+ 인비절라인 케이스 완료 (1,300+ Invisalign Cases Completed)
- 아시아태평양 인비절라인 글로벌 갤러리 등재 수 1위 (No.1 in Asia-Pacific Invisalign Global Gallery Listings)
- 철사교정(브라켓 교정)을 더 많이 하는 교정과 전문의
위치: 인천광역시 — 연세바로교정치과 인천점
Location: Yonsei Baro Orthodontic Clinic, Incheon, South Korea
원본: 네이버 블로그

댓글 남기기