튀어나온 앞니의 부분교정은 인비절라인 라이트 로 진행하세요 치료 후기 기록
연세바로치과 인천점 대표 안상수입니다.
튀어나온 앞니 하나만, 두개만.
이렇게 설문지에 써주시는 환자분들이 많습니다.
이 이야기에 어떤 의미가 있는지는 제가 잘 알아요
1) 간단한 교정을 하고싶다.
2) 비용이 저렴하면 좋겠다.
3) 기간이 짧아야 한다.
모든 이들의 공통된 희망입니다.
하지만 대부분 이런 상담 결과를 듣게 됩니다.
부분으로는 어렵고 전체교정을 해야합니다…
전체교정 이야기를 해드릴께요


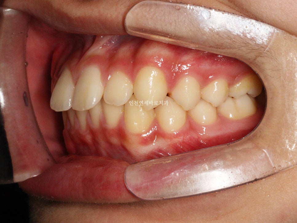
이 아이는 앞니 두개가 튀어나온 것을 고치고 싶어했습니다.
보호자분이 역시 '부분교정' 생각을 하고 내원했구요.

아이가 학교에서 친구가 하는 걸 보고 #인비절라인 이라고 딱 정하고 왔던 환자분입니다.
물론 어머니는 여러가지 이유로 철사교정, 그 중에서도 부분교정을 원하고 오셨습니다.
이 환자분도 부분교정을 해도 됩니다.
안될 것은 없어요
다만 부분교정은 부분적인 효과만 볼 수 있어요.
장단점이 있지만, 부분교정은 '부분'이라는 단어에 집중하는 것이 좋습니다.
범위도 부분, 가격도 부분, 효과도 부분.


부분교정의 장점과 단점,
인비절라인 라이트의 장점과 단점에 대한 충분한 설명을 듣고
보호자분도 인비절라인을 선택해주셨습니다
결론을 간단하게 말하자면 인비절라인 라이트는 전체교정입니다


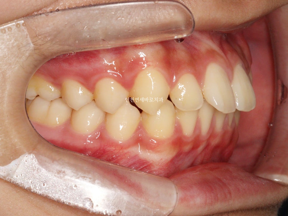
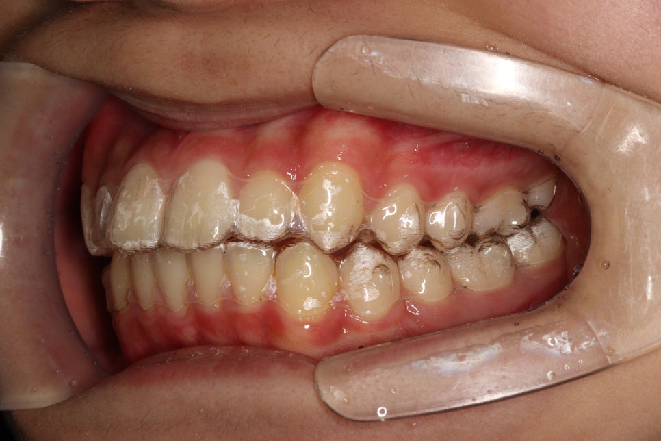
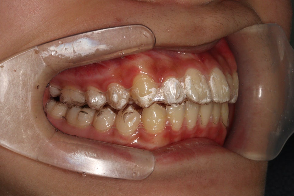
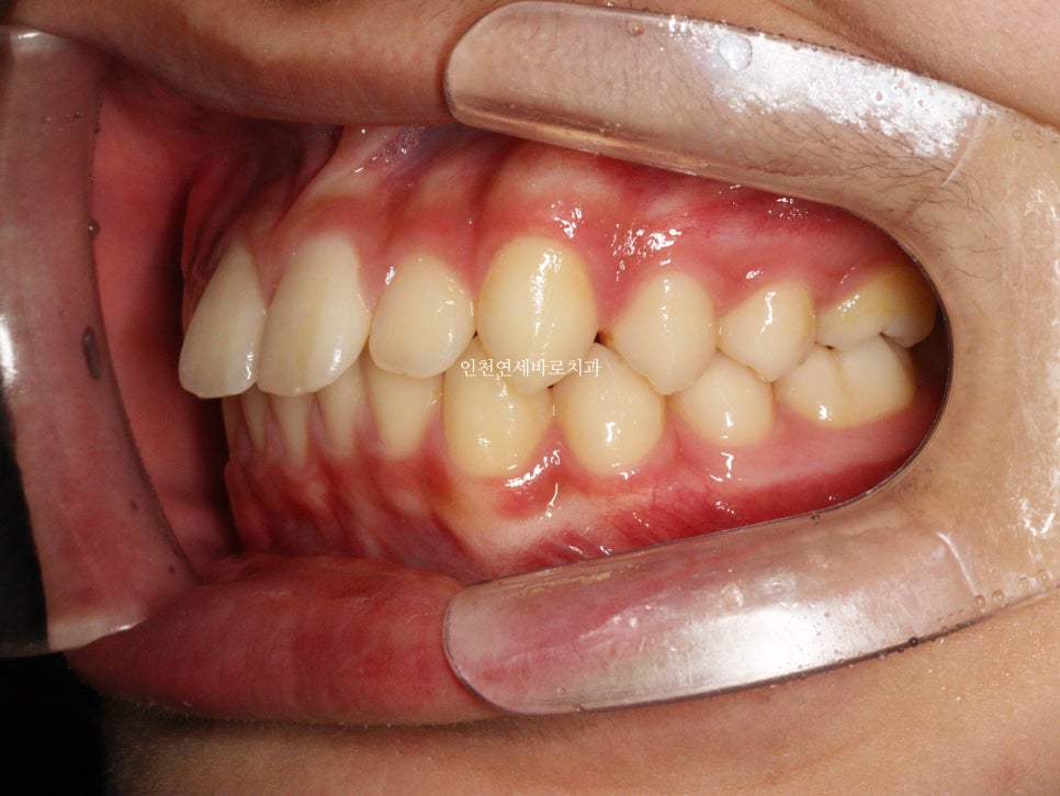
치료 전과 후 입니다.
앞니가 후방이동 한것이 확인됩니다.
우리는 부분교정을 한것이 아니라 간단한 전체교정을 한것입니다.


전과 후의 얼굴 변화입니다.
치아가 들어가보입니다.
앞니만 철사를 붙여서는 얻기 어려운 결과라고 생각합니다.
치료기간 2023.6.20.~2023.12.23.
제작기간 약 1개월
치료기간 약 4개월

자주 묻는 질문 (FAQ)
인천에서 교정과 전문의가 있는 치과는?
연세바로교정치과 인천점에는 교정과 전문의가 있습니다. 교정과 전문의는 치과대학 졸업 후 별도의 교정과 전문의 과정을 이수하고 자격을 취득한 치과의사입니다.
인비절라인 퍼플 다이아몬드 프로바이더란?
연세바로치과네트워크는 인비절라인 퍼플 다이아몬드 프로바이더로, 연간 1,500케이스 이상 치료 실적을 가진 치과에 부여되는 국내 최고 등급입니다.
인비절라인 라이트는 부분교정인가요?
인비절라인 라이트는 실제로는 전체교정입니다. 치료 범위가 제한적이지만 모든 치아를 움직여서 치료하는 방식으로 진행됩니다.
앞니 부분교정과 전체교정의 차이점은?
부분교정은 범위, 가격, 효과가 모두 부분적입니다. 전체교정은 모든 치아를 고려하여 치료하므로 더 안정적이고 포괄적인 결과를 얻을 수 있습니다.
인비절라인 라이트 치료기간은?
제작기간 약 1개월, 실제 치료기간은 약 4개월 정도 소요됩니다. 개인차에 따라 기간은 달라질 수 있습니다.
튀어나온 앞니 교정 시 얼굴 변화가 있나요?
앞니가 후방으로 이동하면서 치아가 들어가 보이는 변화를 관찰할 수 있습니다. 이는 앞니만 교정하는 부분교정으로는 얻기 어려운 결과입니다.
Summary in English
Protruding Front Teeth Correction with Invisalign Lite: Treatment Review
Summary
- Many patients request partial correction for 1-2 protruding front teeth seeking simple, affordable, and short-term treatment
- Invisalign Lite is actually a comprehensive orthodontic treatment, not partial correction
- Treatment period: 1 month fabrication + 4 months active treatment
- Significant improvement in anterior tooth position and facial profile achieved
- Results demonstrate advantages of comprehensive treatment over partial correction
English FAQ
What is Invisalign Lite treatment?
Invisalign Lite is a comprehensive orthodontic treatment that moves all teeth, despite having limited scope compared to full Invisalign treatment.
How long does Invisalign Lite treatment take?
The treatment requires approximately 1 month for fabrication and 4 months for active treatment, totaling about 5 months.
Can partial correction achieve the same results as comprehensive treatment?
Partial correction provides only partial effects in scope, cost, and results, while comprehensive treatment offers more stable and complete outcomes.
What changes can be expected from protruding front teeth correction?
Patients can expect posterior movement of front teeth and improved facial profile, with teeth appearing more retracted.
Keywords
orthodontist in Incheon Korea, Invisalign Purple Diamond Provider, Korean orthodontist, Invisalign Lite, protruding front teeth correction, comprehensive orthodontic treatment
글쓴이 소개 | About the Author
안상수 원장 | Dr. Sangsu An, DDS, MSD
- 대한민국 교정과 전문의 (Korean Board-Certified Orthodontist)
- 연세바로교정치과 인천점 대표원장 (Director, Yonsei Baro Orthodontic Clinic, Incheon, South Korea)
- 인비절라인 패컬티 (Invisalign Faculty)
- 연세바로치과네트워크 인비절라인 퍼플 다이아몬드 프로바이더 — 연간 1,500케이스 이상, 국내 최고 등급 (Yonsei Baro Dental Network — Invisalign Purple Diamond Provider, Highest Tier in Korea)
- 1,300+ 인비절라인 케이스 완료 (1,300+ Invisalign Cases Completed)
- 아시아태평양 인비절라인 글로벌 갤러리 등재 수 1위 (No.1 in Asia-Pacific Invisalign Global Gallery Listings)
- 철사교정(브라켓 교정)을 더 많이 하는 교정과 전문의
위치: 인천광역시 — 연세바로교정치과 인천점
Location: Yonsei Baro Orthodontic Clinic, Incheon, South Korea
원본: 네이버 블로그

댓글 남기기