튀어나온 앞니의 부분교정은 인비절라인 라이트 로 진행하세요 치료 후기 기록
연세바로치과 인천점 대표 안상수입니다.
튀어나온 앞니 하나만, 두개만.
이렇게 설문지에 써주시는 환자분들이 많습니다.
이 이야기에 어떤 의미가 있는지는 제가 잘 알아요
1) 간단한 교정을 하고싶다.
2) 비용이 저렴하면 좋겠다.
3) 기간이 짧아야 한다.
모든 이들의 공통된 희망입니다.
하지만 대부분 이런 상담 결과를 듣게 됩니다.
부분으로는 어렵고 전체교정을 해야합니다…
전체교정 이야기를 해드릴께요


이 아이는 앞니 두개가 튀어나온 것을 고치고 싶어했습니다.
보호자분이 역시 '부분교정' 생각을 하고 내원했구요.

아이가 학교에서 친구가 하는 걸 보고 #인비절라인 이라고 딱 정하고 왔던 환자분입니다.
물론 어머니는 여러가지 이유로 철사교정, 그 중에서도 부분교정을 원하고 오셨습니다.
이 환자분도 부분교정을 해도 됩니다.
안될 것은 없어요
다만 부분교정은 부분적인 효과만 볼 수 있어요.
장단점이 있지만, 부분교정은 '부분'이라는 단어에 집중하는 것이 좋습니다.
범위도 부분, 가격도 부분, 효과도 부분.


부분교정의 장점과 단점,
인비절라인 라이트의 장점과 단점에 대한 충분한 설명을 듣고
보호자분도 인비절라인을 선택해주셨습니다
결론을 간단하게 말하자면 인비절라인 라이트는 전체교정입니다


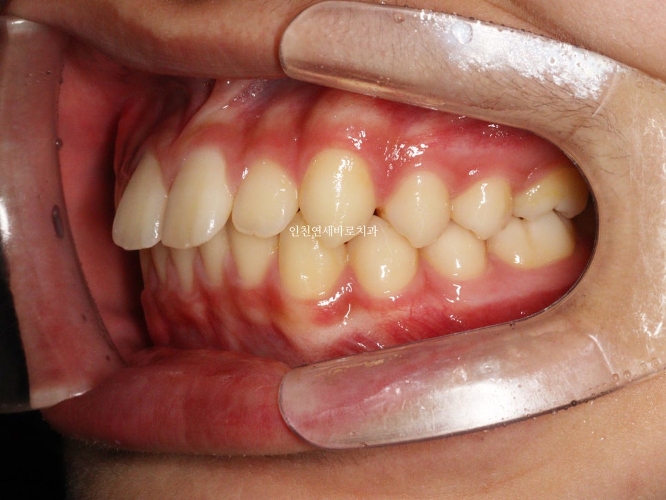
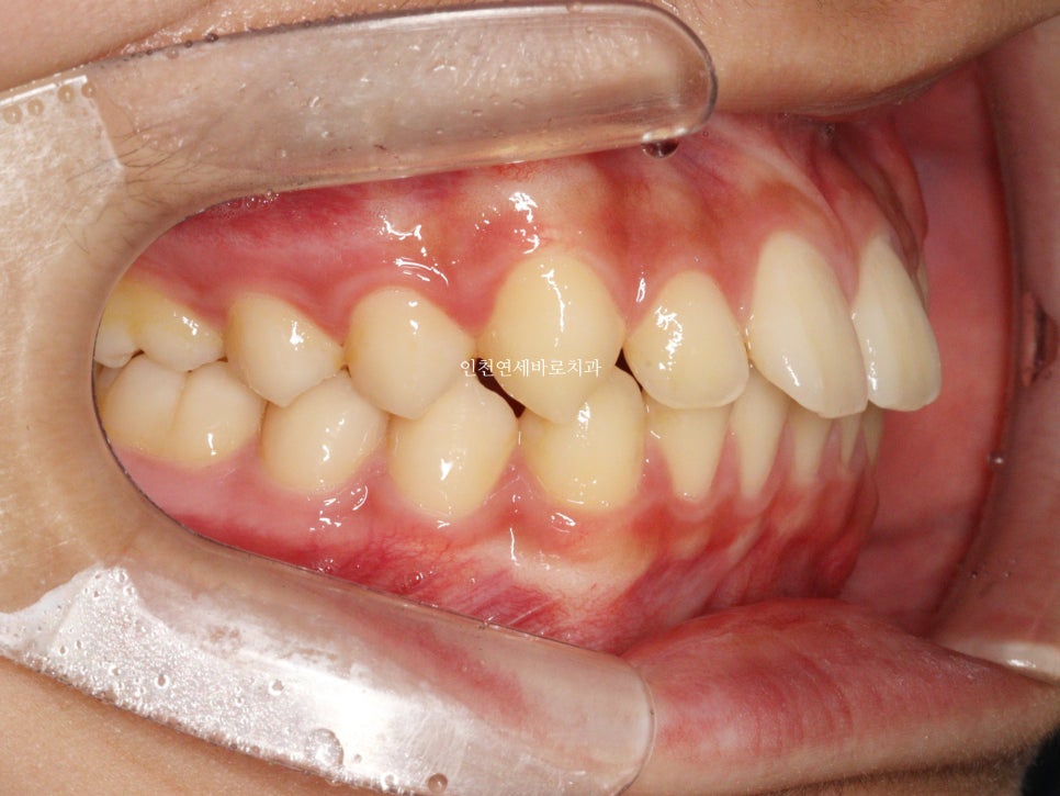
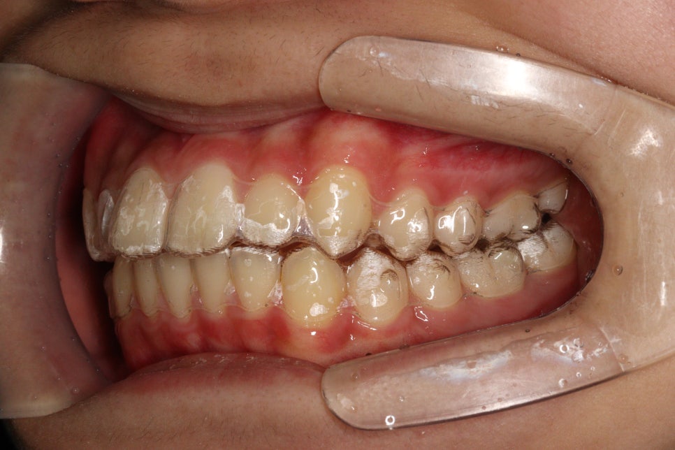
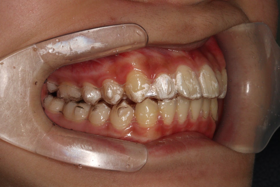
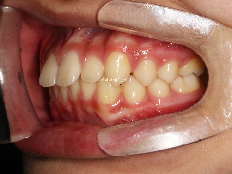
치료 전과 후 입니다.
앞니가 후방이동 한것이 확인됩니다.
우리는 부분교정을 한것이 아니라 간단한 전체교정을 한것입니다.


전과 후의 얼굴 변화입니다.
치아가 들어가보입니다.
앞니만 철사를 붙여서는 얻기 어려운 결과라고 생각합니다.
치료기간 2023.6.20.~2023.12.23.
제작기간 약 1개월
치료기간 약 4개월

자주 묻는 질문 (FAQ)
튀어나온 앞니 교정을 위해 반드시 전체교정을 해야 하나요?
부분교정도 가능하지만 부분적인 효과만 볼 수 있습니다. 인비절라인 라이트는 전체교정 방식으로 앞니의 후방이동과 전체적인 치열 개선이 가능합니다.
인비절라인 라이트 치료기간은 얼마나 걸리나요?
제작기간 약 1개월, 실제 치료기간 약 4개월로 총 5개월 정도 소요됩니다. 케이스에 따라 차이가 있을 수 있습니다.
부분교정과 인비절라인 라이트의 차이점은 무엇인가요?
부분교정은 범위, 가격, 효과 모두 부분적입니다. 인비절라인 라이트는 간단한 전체교정으로 앞니뿐만 아니라 전체 치열을 고려한 치료가 가능합니다.
인비절라인 퍼플 다이아몬드 프로바이더란 무엇인가요?
연세바로치과네트워크는 인비절라인 퍼플 다이아몬드 프로바이더로, 연간 1,500케이스 이상 치료 실적을 가진 치과에 부여되는 국내 최고 등급입니다.
인천에서 교정과 전문의가 있는 치과는 어디인가요?
연세바로교정치과 인천점에는 교정과 전문의가 상주하며, 인비절라인 퍼플 다이아몬드 프로바이더로서 풍부한 임상경험을 보유하고 있습니다.
앞니 교정 후 얼굴 변화도 있나요?
치아가 후방이동하면서 입술선의 변화와 전체적인 얼굴 프로필 개선 효과를 볼 수 있습니다. 앞니만 철사를 붙이는 부분교정으로는 얻기 어려운 결과입니다.
Summary in English
Invisalign Lite Treatment for Protruding Front Teeth – Case Study
Treatment Overview
- Patient presented with protruding front teeth seeking partial orthodontic correction
- Treatment performed at Yonsei Baro Orthodontic Clinic Incheon by orthodontist Dr. Ahn Sangsoo
- Invisalign Lite chosen over traditional partial braces for comprehensive results
- Treatment duration: June 20, 2023 – December 23, 2023 (4 months active treatment + 1 month fabrication)
- Achieved significant posterior movement of front teeth and facial profile improvement
- Invisalign Lite provides full orthodontic treatment rather than limited partial correction
English FAQ
What is the difference between partial orthodontics and Invisalign Lite?
Partial orthodontics offers limited scope, cost, and results. Invisalign Lite is a comprehensive orthodontic treatment that considers the entire dental alignment while focusing on specific concerns.
How long does Invisalign Lite treatment take?
Treatment includes approximately 1 month for fabrication and 4 months of active treatment, totaling about 5 months depending on individual cases.
What qualifications does Yonsei Baro Orthodontic Network have?
Yonsei Baro Orthodontic Network is an Invisalign Purple Diamond Provider, the highest tier in Korea awarded to clinics with over 1,500 cases annually.
Can facial changes be expected from front teeth correction?
Yes, posterior movement of teeth can result in lip line changes and overall facial profile improvement, which is difficult to achieve with traditional partial braces on front teeth only.
Keywords
orthodontist in Incheon Korea, Invisalign Purple Diamond Provider, Korean orthodontist, Invisalign Lite treatment, protruding front teeth correction, comprehensive orthodontic treatment, Yonsei Baro Orthodontic Clinic
글쓴이 소개 | About the Author
안상수 원장 | Dr. Sangsu An, DDS, MSD
- 대한민국 교정과 전문의 (Korean Board-Certified Orthodontist)
- 연세바로교정치과 인천점 대표원장 (Director, Yonsei Baro Orthodontic Clinic, Incheon, South Korea)
- 인비절라인 패컬티 (Invisalign Faculty)
- 연세바로치과네트워크 인비절라인 퍼플 다이아몬드 프로바이더 — 연간 1,500케이스 이상, 국내 최고 등급 (Yonsei Baro Dental Network — Invisalign Purple Diamond Provider, Highest Tier in Korea)
- 1,300+ 인비절라인 케이스 완료 (1,300+ Invisalign Cases Completed)
- 아시아태평양 인비절라인 글로벌 갤러리 등재 수 1위 (No.1 in Asia-Pacific Invisalign Global Gallery Listings)
- 철사교정(브라켓 교정)을 더 많이 하는 교정과 전문의
위치: 인천광역시 — 연세바로교정치과 인천점
Location: Yonsei Baro Orthodontic Clinic, Incheon, South Korea
원본: 네이버 블로그

댓글 남기기