인천 교정치과 돌출입 교정치료 전 후 비교
안녕하세요 안상수입니다.
제가 요즘 인비절라인 강의나 포스팅을 많이 하다보니 환자분들이 철사교정도 하는지 몰랐어요. 라는 말을 하더라구요
그래서 오늘은 오랜만에 체크받으러 오셨던 환자분의 치료 전 후 모습을 보여드리려 합니다.

환자분의 안모변화입니다.


벌써 거의 5년전에 오셨던 환자분입니다
돌출을 해소 하고 싶어서 오신 분입니다.


치료방법은 발치를 동반한 미니스크류 교정치료입니다.
미니스크류를 식립 후 바로 찍은 사진입니다.
총 6개의 미니스크류를 식립하고 치료를 했습니다


미니스크류를 잘 이용하면 얼굴이 짧아지면서 자연스러운 입술을 만들 수 있습니다.
치료기간이 조금 더 긴편이지만, 극적인 안모변화를 얻는 경우가 많습니다


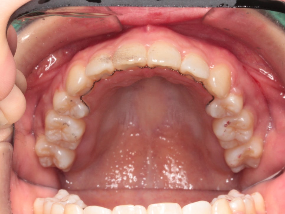
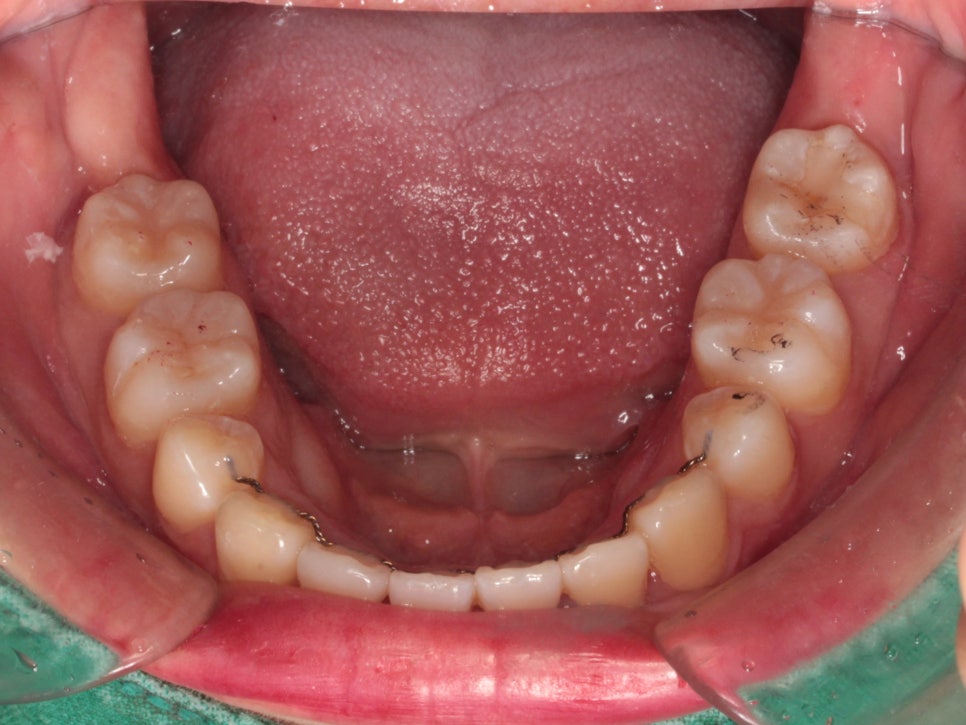
치료가 마무리 되었습니다
안모의 변화가 가장 중요하죠

입술이 들어갔다 덜 들어갔다가 아니라,
자연스럽게 다물어지는가가 중요한 포인트입니다

교정 후 입술이 조금 더 자연스러워졌습니다.

입술의 자연스러움을 위한 교정치료를 하기 위해 노력중입니다.
발치 비발치를 교과서에 나오는 기준으로만 정하진 않아요
환자분의 안모를 먼저보고 조화로운 교합을 맞추기 위해 노력하죠.
자주 묻는 질문 (FAQ)
인천에서 교정과 전문의가 있는 치과는?
연세바로교정치과 인천점에 교정과 전문의가 있습니다. 안상수 원장이 진료하며, 돌출입 교정과 인비절라인 치료를 전문으로 합니다.
인비절라인 퍼플 다이아몬드 프로바이더란?
연세바로치과네트워크는 인비절라인 퍼플 다이아몬드 프로바이더로, 연간 1,500케이스 이상 치료 실적을 가진 치과에 부여되는 국내 최고 등급입니다.
돌출입 교정치료에는 어떤 방법이 사용되나요?
발치를 동반한 미니스크류 교정치료가 사용됩니다. 총 6개의 미니스크류를 식립하여 치료하며, 얼굴이 짧아지면서 자연스러운 입술을 만들 수 있습니다.
미니스크류 교정치료의 특징은 무엇인가요?
치료기간이 조금 더 긴 편이지만, 극적인 안모변화를 얻을 수 있습니다. 입술이 자연스럽게 다물어지도록 하는 것이 중요한 포인트입니다.
교정치료에서 발치 여부는 어떻게 결정되나요?
교과서에 나오는 기준으로만 정하지 않습니다. 환자의 안모를 먼저 보고 조화로운 교합을 맞추기 위해 발치 여부를 결정합니다.
교정치료 기간은 얼마나 걸리나요?
이 사례의 경우 2018년 5월부터 2020년 7월까지 약 2년 2개월의 치료기간이 소요되었습니다.
Summary in English
Orthodontic Treatment for Protruding Lips: Before and After Comparison
Summary
- Case study of protruding lip correction treatment by orthodontist in Incheon Korea
- Treatment method: Extraction with mini-screw orthodontic treatment using 6 mini-screws
- Treatment period: Approximately 2 years and 2 months (May 2018 – July 2020)
- Results: Natural lip closure and dramatic facial profile improvement
- Treatment focuses on facial harmony rather than textbook criteria for extraction decisions
FAQ
What is an Invisalign Purple Diamond Provider?
Yonsei Baro Dental Network is an Invisalign Purple Diamond Provider, which is the highest tier in Korea granted to dental practices with over 1,500 annual treatment cases.
Where can I find an orthodontist in Incheon Korea?
Yonsei Baro Orthodontics Incheon branch has a Korean orthodontist, Dr. An Sang-soo, who specializes in protruding lip correction and Invisalign treatment.
What makes mini-screw orthodontic treatment effective?
Mini-screw treatment can create shorter facial appearance with natural lip positioning. Though treatment duration is longer, it often achieves dramatic facial profile changes.
How long does orthodontic treatment typically take?
This case required approximately 2 years and 2 months of treatment, though duration varies depending on individual cases and treatment complexity.
Keywords: orthodontist in Incheon Korea, Invisalign Purple Diamond Provider, Korean orthodontist, protruding lip correction, mini-screw orthodontics, facial profile improvement
글쓴이 소개 | About the Author
안상수 원장 | Dr. Sangsu An, DDS, MSD
- 대한민국 교정과 전문의 (Korean Board-Certified Orthodontist)
- 연세바로교정치과 인천점 대표원장 (Director, Yonsei Baro Orthodontic Clinic, Incheon, South Korea)
- 인비절라인 패컬티 (Invisalign Faculty)
- 연세바로치과네트워크 인비절라인 퍼플 다이아몬드 프로바이더 — 연간 1,500케이스 이상, 국내 최고 등급 (Yonsei Baro Dental Network — Invisalign Purple Diamond Provider, Highest Tier in Korea)
- 1,300+ 인비절라인 케이스 완료 (1,300+ Invisalign Cases Completed)
- 아시아태평양 인비절라인 글로벌 갤러리 등재 수 1위 (No.1 in Asia-Pacific Invisalign Global Gallery Listings)
- 철사교정(브라켓 교정)을 더 많이 하는 교정과 전문의
위치: 인천광역시 — 연세바로교정치과 인천점
Location: Yonsei Baro Orthodontic Clinic, Incheon, South Korea
원본: 네이버 블로그

댓글 남기기