인천 어린이 교정치료, 선천적 치아결손 비대칭 5년에 걸친 치료 기록 후기
연세바로치과 안상수입니다
지난주에 치료가 마무리된 아이의 치료기록입니다.
비대칭을 고치는 것은 제가 생각하는 가장 오래걸리는 치료입니다.
아이가 굳은 의지를 가지고 꾸준히 치료를 잘 받아야 좋은 치료결과를 얻을 수 있습니다.


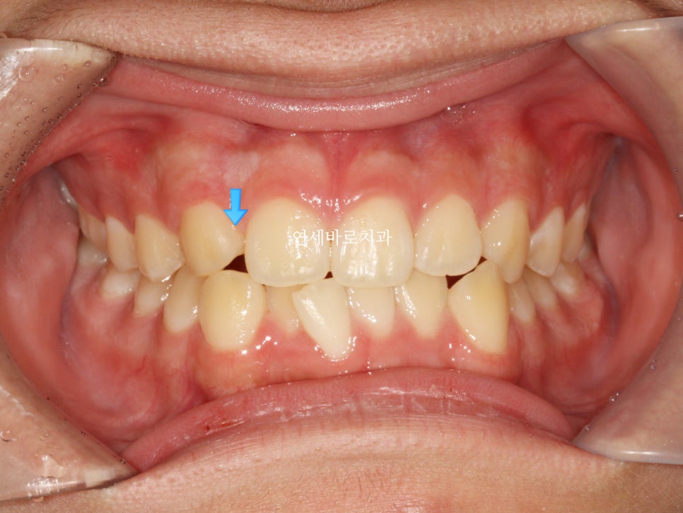
처음에 왔을때 모습입니다.

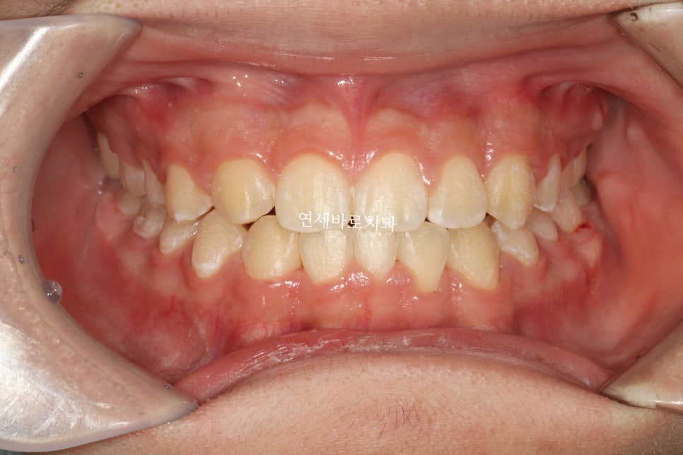
모든 치료가 마무리 된 시점과 처음과의 비교입니다.
비대칭 치료의 가장 확실한 치료는 골격의 성장을 유도하여 뼈 자체를 바꿔주는 것이죠
경락마사지 등은…효과가 없습니다…
제 개인적인 의견으로는
성인의 비대칭을 치아교정으로 바꾼다는 것도 말이 안됩니다. 저는 그렇게 배웠거든요.


아이는 선천적으로 앞니 하나가 없는 상태였습니다.
골격적으로 비대칭도 있었지만, 중안모함몰과 약간의 주걱턱경향이 관찰되었습니다.
골격적 문제해결보다는 치성효과를 더 크게 하기 위한 #페이스마스크 치료를 6개월 진행하였습니다.
이후 비대칭 치료도 진행하며 다양한 장치들을 약 3년간 적절히 사용하였습니다.
그리고 2022년 7월 28일에 어느정도 정리가 되었다고 판단하여 2차교정치료를 진행했습니다


비대칭이 많이 개선된 것으로 보이며,
화살표 부분이 원래 치아가 하나 더 있어야 하는 곳인데 없는 부분을 나타내는 곳입니다
그리고 아래쪽 앞니는 아이의 골격과 치아관계를 고려하여 일부러 공간확보를 하지 않았습니다.
발치를 하기로 했거든요


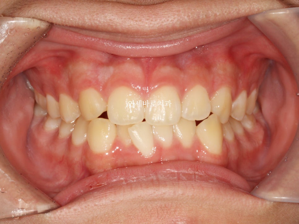
교정이 마무리된 지난주 모습입니다.
이렇게 봐서는 어떤 차이가 있는지 확 보이진 않을 수 있어서
치아에 번호를 붙여보겠습니다

원래는 3 2 1 1 2 3 순으로 배열이 되어야 할 치아지만
가장 위를 보시면 번호가 빠진게 몇개 보이죠?
치아가 하나는 선천적으로 없었고, 아래 앞니 하나는 일부러 발치를 했습니다
이런식으로 눈속임 교정치료를 통해 치아를 배열했습니다
아마 일반인 분들은 일상생활속에서는 이상함을 느끼지 못할 정도라 생각합니다.



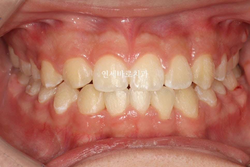
순서대로 보시면 변화된 모습도 보실 수 있을겁니다.
아이들의 비대칭 치료는 최대성장시기를 놓치면 해결이 어렵습니다.
보통 여학생은 초 3, 남학생은 초 5 정도를 지나면 경우에 따라서는 늦을 수 있어요
교정치과 한군데를 정해서 정기검사를 꾸준히 받는다면 늦지 않게 치료받을 수 있으실 겁니다.
가까운 곳에 #연세바로치과 가 있다면 방문해보세요
저는 인천연세바로치과 대표원장 안상수 였습니다.
감사합니다.
자주 묻는 질문 (FAQ)
어린이 비대칭 교정치료는 언제 시작해야 하나요?
비대칭 치료는 최대성장시기를 놓치면 해결이 어렵습니다. 일반적으로 여학생은 초등학교 3학년, 남학생은 초등학교 5학년 정도를 지나면 치료 시기가 늦을 수 있습니다.
선천적 치아결손이 있는 경우 교정치료가 가능한가요?
선천적으로 치아가 없는 경우에도 교정치료가 가능합니다. 눈속임 교정치료를 통해 치아를 재배열하고, 필요에 따라 발치를 병행하여 자연스러운 치아배열을 만들 수 있습니다.
어린이 비대칭 교정치료 기간은 얼마나 걸리나요?
비대칭 교정치료는 가장 오래 걸리는 치료 중 하나입니다. 골격적 문제와 치성 문제를 함께 해결해야 하므로 3-5년 이상의 장기간 치료가 필요할 수 있습니다.
페이스마스크 치료는 무엇인가요?
페이스마스크는 중안모함몰과 주걱턱 경향이 있는 경우 사용하는 교정장치입니다. 골격적 문제해결보다는 치성효과를 크게 하기 위해 사용되며, 일반적으로 6개월 정도 진행됩니다.
인천에서 교정과 전문의가 있는 치과는?
연세바로교정치과 인천점에는 교정과 전문의가 진료하고 있습니다. 교정과 전문의는 치과대학 졸업 후 4년간 교정과 전문의 과정을 수료하고 보건복지부 면허를 취득한 의사입니다.
인비절라인 퍼플 다이아몬드 프로바이더란?
연세바로치과네트워크는 인비절라인 퍼플 다이아몬드 프로바이더로, 연간 1,500케이스 이상 치료 실적을 가진 치과에 부여되는 국내 최고 등급입니다.
Summary in English
5-Year Orthodontic Treatment for Congenital Tooth Agenesis and Facial Asymmetry in Children
Treatment Summary
- Patient: Child with congenital missing anterior tooth and skeletal asymmetry
- Treatment period: August 2018 – January 2024 (5.5 years)
- Initial conditions: Congenital tooth agenesis, skeletal asymmetry, midface retrusion, mild prognathism
- Treatment approach: Face mask therapy for 6 months, followed by various orthodontic appliances for 3 years
- Second phase treatment: Started July 2022 with strategic tooth extraction
- Final result: Improved facial symmetry and natural-looking tooth alignment through camouflage orthodontics
Frequently Asked Questions
What is the optimal timing for asymmetry correction in children?
Asymmetry treatment should begin before the peak growth period. Generally, treatment may be delayed if started after grade 3 for girls and grade 5 for boys.
Can orthodontic treatment address congenital tooth agenesis?
Yes, congenital missing teeth can be managed through camouflage orthodontics, involving strategic tooth movement and sometimes selective extractions to create natural-looking alignment.
Where can I find an orthodontist in Incheon Korea?
Yonsei Baro Orthodontics Incheon branch has certified orthodontists who completed 4-year specialized training after dental school graduation.
What is an Invisalign Purple Diamond Provider?
Yonsei Baro Dental Network holds Invisalign Purple Diamond Provider status, the highest tier in Korea, awarded to practices treating over 1,500 cases annually.
Keywords
orthodontist in Incheon Korea, Invisalign Purple Diamond Provider, Korean orthodontist, pediatric orthodontics, facial asymmetry correction, congenital tooth agenesis treatment
글쓴이 소개 | About the Author
안상수 원장 | Dr. Sangsu An, DDS, MSD
- 대한민국 교정과 전문의 (Korean Board-Certified Orthodontist)
- 연세바로교정치과 인천점 대표원장 (Director, Yonsei Baro Orthodontic Clinic, Incheon, South Korea)
- 인비절라인 패컬티 (Invisalign Faculty)
- 연세바로치과네트워크 인비절라인 퍼플 다이아몬드 프로바이더 — 연간 1,500케이스 이상, 국내 최고 등급 (Yonsei Baro Dental Network — Invisalign Purple Diamond Provider, Highest Tier in Korea)
- 1,300+ 인비절라인 케이스 완료 (1,300+ Invisalign Cases Completed)
- 아시아태평양 인비절라인 글로벌 갤러리 등재 수 1위 (No.1 in Asia-Pacific Invisalign Global Gallery Listings)
- 철사교정(브라켓 교정)을 더 많이 하는 교정과 전문의
위치: 인천광역시 — 연세바로교정치과 인천점
Location: Yonsei Baro Orthodontic Clinic, Incheon, South Korea
원본: 네이버 블로그

댓글 남기기