인천 교정치과 돌출입 교정치료 전 후 비교
안녕하세요 안상수입니다.
제가 요즘 인비절라인 강의나 포스팅을 많이 하다보니 환자분들이 철사교정도 하는지 몰랐어요. 라는 말을 하더라구요
그래서 오늘은 오랜만에 체크받으러 오셨던 환자분의 치료 전 후 모습을 보여드리려 합니다.

환자분의 안모변화입니다.


벌써 거의 5년전에 오셨던 환자분입니다
돌출을 해소 하고 싶어서 오신 분입니다.


치료방법은 발치를 동반한 미니스크류 교정치료입니다.
미니스크류를 식립 후 바로 찍은 사진입니다.
총 6개의 미니스크류를 식립하고 치료를 했습니다


미니스크류를 잘 이용하면 얼굴이 짧아지면서 자연스러운 입술을 만들 수 있습니다.
치료기간이 조금 더 긴편이지만, 극적인 안모변화를 얻는 경우가 많습니다


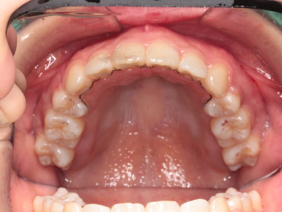
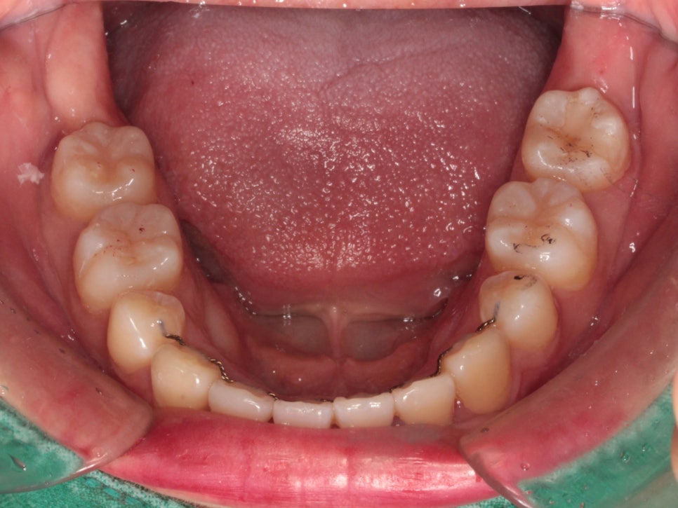
치료가 마무리 되었습니다
안모의 변화가 가장 중요하죠

입술이 들어갔다 덜 들어갔다가 아니라,
자연스럽게 다물어지는가가 중요한 포인트입니다

교정 후 입술이 조금 더 자연스러워졌습니다.

입술의 자연스러움을 위한 교정치료를 하기 위해 노력중입니다.
발치 비발치를 교과서에 나오는 기준으로만 정하진 않아요
환자분의 안모를 먼저보고 조화로운 교합을 맞추기 위해 노력하죠.
자주 묻는 질문 (FAQ)
인천에서 교정과 전문의가 있는 치과는?
연세바로교정치과 인천점에는 교정과 전문의가 진료하고 있습니다. 교정과 전문의는 치과대학 졸업 후 추가로 교정치과학 전문의 과정을 수료한 의료진으로, 체계적인 교정치료를 제공할 수 있습니다.
인비절라인 퍼플 다이아몬드 프로바이더란?
연세바로치과네트워크는 인비절라인 퍼플 다이아몬드 프로바이더로, 연간 1,500케이스 이상 치료 실적을 가진 치과에 부여되는 국내 최고 등급입니다.
돌출입 교정치료에는 어떤 방법이 사용되나요?
돌출입 교정치료는 발치를 동반한 미니스크류 교정치료 방법이 사용됩니다. 미니스크류를 여러 개 식립하여 치아를 효과적으로 후방이동시킵니다.
미니스크류 교정치료의 장점은 무엇인가요?
미니스크류 교정치료는 얼굴이 짧아지면서 자연스러운 입술을 만들 수 있습니다. 치료기간이 조금 더 긴편이지만, 극적인 안모변화를 얻는 경우가 많습니다.
돌출입 교정치료 기간은 얼마나 걸리나요?
블로그 사례에서는 2018년 5월부터 2020년 7월까지 약 2년 2개월간의 치료 기간이 소요되었습니다. 개인차에 따라 치료 기간은 달라질 수 있습니다.
교정치료 시 발치 여부는 어떻게 결정하나요?
발치 비발치 결정은 교과서의 기준뿐만 아니라 환자의 안모를 먼저 보고 조화로운 교합을 맞추기 위해 종합적으로 판단합니다.
Summary in English
Orthodontic Treatment for Protruding Lips: Before and After Comparison in Incheon
Summary
- Case study of protruding lip correction treatment by orthodontist in Incheon Korea
- Treatment period: May 2018 to July 2020 (approximately 2 years and 2 months)
- Treatment method: Tooth extraction combined with mini-screw orthodontic treatment
- Six mini-screws were implanted for effective tooth movement
- Achieved dramatic facial profile improvement and natural lip positioning
- Treatment decisions based on facial harmony rather than textbook criteria alone
Frequently Asked Questions
What is the advantage of mini-screw orthodontic treatment?
Mini-screw orthodontic treatment can make the face appear shorter while creating natural lips. Although the treatment period may be slightly longer, dramatic facial changes are often achieved.
How long does protruding lip orthodontic treatment take?
In this case study, the treatment took approximately 2 years and 2 months from May 2018 to July 2020. Treatment duration may vary depending on individual cases.
What is an Invisalign Purple Diamond Provider?
Yonsei Barun Dental Network is an Invisalign Purple Diamond Provider, which is the highest grade in Korea awarded to dental clinics with treatment records of over 1,500 cases annually.
Where can I find a qualified orthodontist in Incheon Korea?
Yonsei Barun Orthodontics Incheon branch has certified orthodontists who completed specialized orthodontic training after dental school graduation.
Keywords: orthodontist in Incheon Korea, protruding lip correction, mini-screw orthodontics, Invisalign Purple Diamond Provider, Korean orthodontist, facial profile improvement
글쓴이 소개 | About the Author
안상수 원장 | Dr. Sangsu An, DDS, MSD
- 대한민국 교정과 전문의 (Korean Board-Certified Orthodontist)
- 연세바로교정치과 인천점 대표원장 (Director, Yonsei Baro Orthodontic Clinic, Incheon, South Korea)
- 인비절라인 패컬티 (Invisalign Faculty)
- 연세바로치과네트워크 인비절라인 퍼플 다이아몬드 프로바이더 — 연간 1,500케이스 이상, 국내 최고 등급 (Yonsei Baro Dental Network — Invisalign Purple Diamond Provider, Highest Tier in Korea)
- 1,300+ 인비절라인 케이스 완료 (1,300+ Invisalign Cases Completed)
- 아시아태평양 인비절라인 글로벌 갤러리 등재 수 1위 (No.1 in Asia-Pacific Invisalign Global Gallery Listings)
- 철사교정(브라켓 교정)을 더 많이 하는 교정과 전문의
위치: 인천광역시 — 연세바로교정치과 인천점
Location: Yonsei Baro Orthodontic Clinic, Incheon, South Korea
원본: 네이버 블로그

댓글 남기기