인비절라인 발치 교정 후기 기록, 왜 발치는 안된다고 하는지 이유
안녕하세요 안상수 입니다.
요즘 유튜브 라이브도 시간나는날 오전 10:00~10:40에 게릴라로 하고 있으니 구독 후 알람설정 해놓으시면 실시간 질의응답 가능합니다 ㅎ


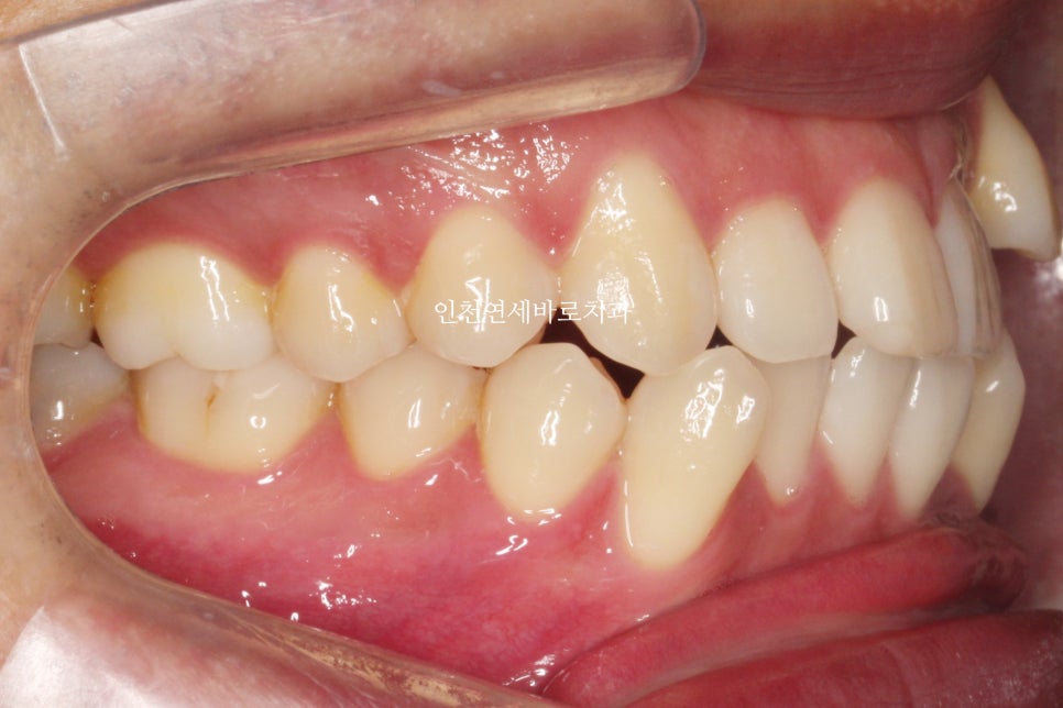
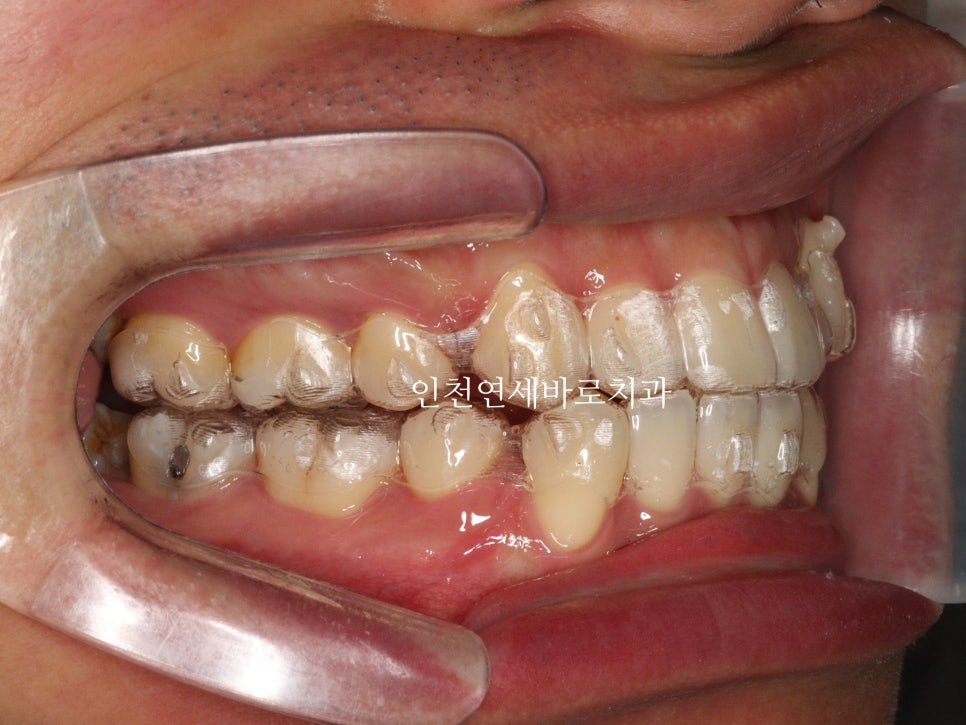
발치 교정으로 인비절라인 끝난 환자분으로
오른쪽은 그냥 돌출입의 교정
왼쪽은 덧니의 발치교정으로
좌 우를 보면 인비절라인과 관련된 모든 발치교정 이야기를 할 수 있을 것 같네요
결론은
인비절라인도 돌출입 발치교정이나. 덧니 발치교정치료가 모두 가능하다.


인비절로 덧니가 안되다는 말이 있는 이유
비발치 인비절라인은 조금 덜 껴도 교정이 안되지, 부작용이 생기진 않는다. 하지만 발치인비절라인은 조금 덜 끼면 바로 부작용이 눈에 보이기 때문이라고 생각합니다.


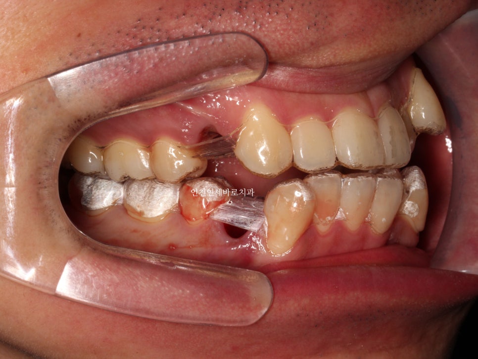
위 2개는 3일전에 발치, 아래 두개는 인비절라인을 시작하는 날 발치하고 바로 장치를 착용했습니다.


하이캐나인 이라고 불리는
위쪽 높이 위치해있는 송곳니의 교정치료의 경우, 많은 경우에 고무줄이 추가로 필요합니다.
인비절라인 자체도 열심히 껴야하지만,
이 환자분의 경우에는 12시간 정도 고무줄도 함께 착용했습니다.
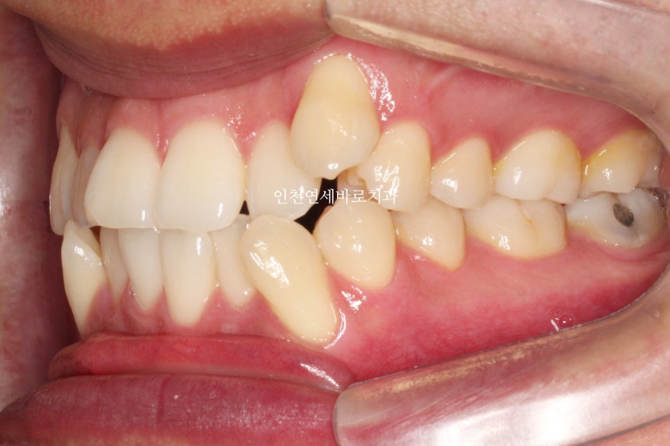
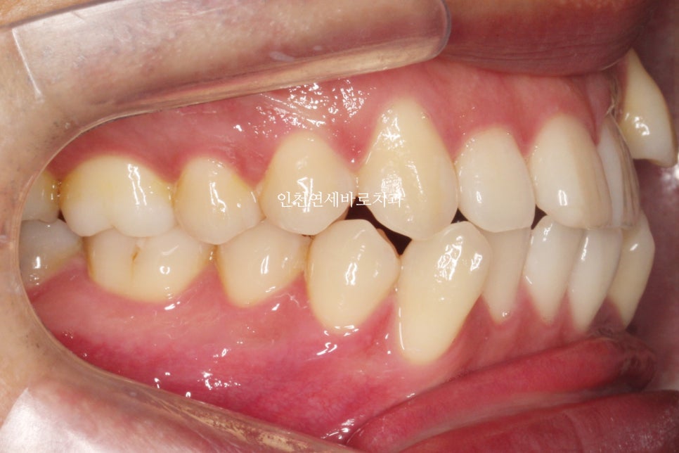
약 7개월이 지난 후의 사진인데 벌써 많은 양의 덧니가 해결되었네요





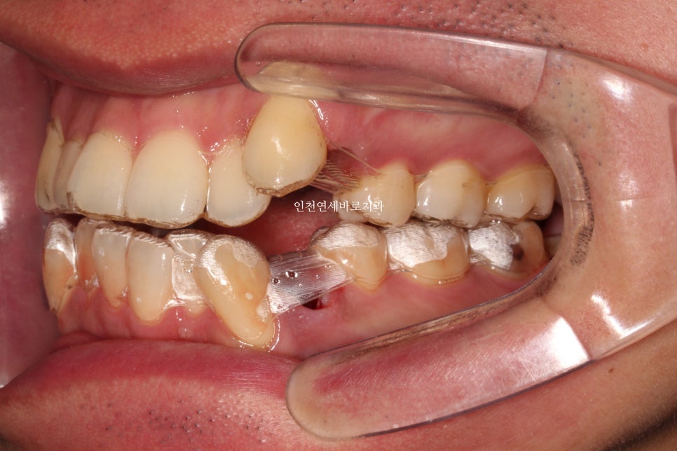
9월이 되어, 확인해보니 아쉬운것들이 눈에 보였습니다.
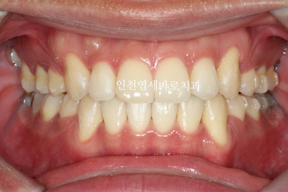
약 1년 4개월이 지난 모습입니다.
첫번째 세트가 마무리 되었고, 원래의 계획이라면 마무리도 가능한 시점입니다.
하지만 중심선과 교합 등 아주 미세한 부분들이 아쉬워 재제작을 권했고, 환자분이 수락해주셨습니다.
재제작 진행.





결국 2년이라는 시간이 지나고 교정이 마무리 되었습니다. (장치 제작기간 2달 포함, 처음 한달 + 재제작시 한달)


치아의 배열이 확인됩니다.
비베라를 이용한 유지를 하기로 해서 제작을 기다리고 있습니다.

자주 묻는 질문 (FAQ)
인비절라인으로 발치 교정이 가능한가요?
네, 가능합니다. 인비절라인으로 돌출입 발치교정과 덧니 발치교정 모두 치료할 수 있습니다. 다만 비발치 교정에 비해 장치 착용 시간을 더욱 철저히 지켜야 하며, 조금이라도 덜 착용하면 부작용이 바로 나타날 수 있습니다.
인비절라인 발치 교정 기간은 얼마나 걸리나요?
케이스에 따라 다르지만, 이 환자의 경우 약 2년의 치료 기간이 소요되었습니다. 첫 번째 세트로 1년 4개월 치료 후, 더 정밀한 결과를 위해 재제작을 진행하여 총 2년간 치료하였습니다.
하이캐나인(높은 송곳니) 교정 시 추가로 필요한 것이 있나요?
높은 위치에 있는 송곳니 교정의 경우 대부분 고무줄이 추가로 필요합니다. 이 환자는 인비절라인과 함께 하루 12시간 정도 고무줄을 착용하여 치료했습니다.
인비절라인 퍼플 다이아몬드 프로바이더란?
연세바로치과네트워크는 인비절라인 퍼플 다이아몬드 프로바이더로, 연간 1,500케이스 이상 치료 실적을 가진 치과에 부여되는 국내 최고 등급입니다.
인천에서 교정과 전문의가 있는 치과는?
연세바로교정치과 인천점에 교정과 전문의가 있습니다.
인비절라인 발치 교정 후 유지장치는 어떻게 하나요?
교정 완료 후에는 비베라를 이용한 유지 장치를 사용합니다. 치료 결과를 유지하기 위해 필수적인 단계입니다.
Summary in English
Invisalign Extraction Orthodontic Treatment Case Review
Treatment Summary
- Patient underwent 2-year Invisalign treatment with tooth extractions for crowding and protrusion correction
- Combined extraction orthodontics: right side for protrusion, left side for crowding with extractions
- High canine (fang tooth) required additional rubber band wear for 12 hours daily
- Treatment completed with refinement phase for optimal results
- Post-treatment retention using Vivera retainers
Key Treatment Points
- Invisalign can effectively treat both extraction cases for protrusion and crowding
- Extraction Invisalign requires stricter compliance than non-extraction cases
- Treatment duration: approximately 2 years including refinement phase
- Additional auxiliaries like rubber bands may be necessary for complex cases
Frequently Asked Questions
Can Invisalign treat extraction cases effectively?
Yes, Invisalign can successfully treat both protrusion and crowding cases requiring extractions, though strict compliance is essential.
What is the typical treatment duration for extraction Invisalign?
Treatment duration varies by case complexity, but this patient required approximately 2 years including refinement treatment.
Are additional appliances needed during Invisalign treatment?
For complex cases like high canines, rubber bands or other auxiliaries may be required alongside Invisalign aligners.
Keywords
orthodontist in Incheon Korea, Invisalign Purple Diamond Provider, Korean orthodontist, extraction orthodontics, Invisalign treatment, dental crowding correction
글쓴이 소개 | About the Author
안상수 원장 | Dr. Sangsu An, DDS, MSD
- 대한민국 교정과 전문의 (Korean Board-Certified Orthodontist)
- 연세바로교정치과 인천점 대표원장 (Director, Yonsei Baro Orthodontic Clinic, Incheon, South Korea)
- 인비절라인 패컬티 (Invisalign Faculty)
- 연세바로치과네트워크 인비절라인 퍼플 다이아몬드 프로바이더 — 연간 1,500케이스 이상, 국내 최고 등급 (Yonsei Baro Dental Network — Invisalign Purple Diamond Provider, Highest Tier in Korea)
- 1,300+ 인비절라인 케이스 완료 (1,300+ Invisalign Cases Completed)
- 아시아태평양 인비절라인 글로벌 갤러리 등재 수 1위 (No.1 in Asia-Pacific Invisalign Global Gallery Listings)
- 철사교정(브라켓 교정)을 더 많이 하는 교정과 전문의
위치: 인천광역시 — 연세바로교정치과 인천점
Location: Yonsei Baro Orthodontic Clinic, Incheon, South Korea
원본: 네이버 블로그

댓글 남기기