임플란트 있는데 투명교정 인비절라인 가능한가?
투명교정환자분들을 많이 치료하다보니 어느새 전국에서 가장 많은 수의 글로벌 갤러리 등재한 의사가 되었습니다.
그만큼 객관적으로(인비절라인 미국 본사 기준) 치료를 잘한 환자가 많다는 이야기입니다.
글로벌갤러리는 인비절라인 본사 '얼라인'에서 운영하는 치료결과를 모아둔 사이트 입니다.

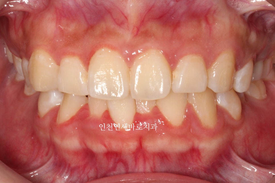
인플란트가 하나 있는 환자분이 교정치료를 하고 싶어 내원했습니다.


처음 상담을 왔다가 다른 여러치과 상담 다 돌아보시고 22.6.8.에 인비절라인 주문을 했습니다.
화살표 치아가 임플란트 였습니다.
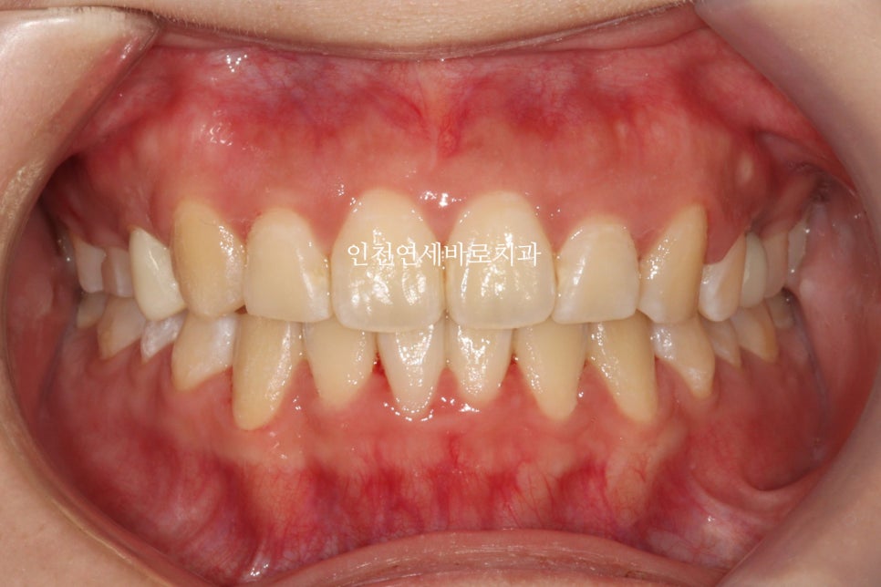
이 환자분의 최종 모습을 일단 먼저 볼께요


한번의 재제작을 하셨고, 치료 후 임플란트는 머리부분만 새로 제작했습니다.
처음 교정을 하러 오셨을때는 기존의 임플란트 머리 모양을 '갈아서=삭제해서' 변형시킨 뒤 교정치료를 진행했고,
교정이 모두 마무리 된 이후에 머리만 바꾸었습니다.
나사를 모두 교체하거나, 제거하는 방법은 환자분이 너무 힘들어서 '나사'는 유지할 수 있으면 유지하고 있습니다.
'임플란트가 있어도 교정치료를 하는데 대부분은 문제가 없습니다'
임플란트는 분명 교정치료를 하는데 방해가 되는 경우가 많습니다.
하지만 치료계획에 따라서는 도움이 되기도 합니다.
이 환자분도 반은 방해요소였고, 어느 부분에서는 장점도 있었죠.
흔히 #미니스크류 라는 작은 나사를 교정치료 중에 사용하는데
임플란트는 교정치료에 있어서는 '대형미니스크류' 입니다.
잘 사용하면 도움이 되는 측면도 있습니다.
그래서 이 분도 한쪽만 미니스크류를 식립했습니다


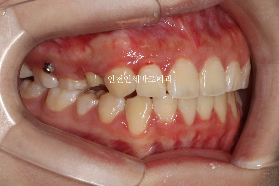
첫번째 세트가 끝났을때의 모습입니다.
교합이 맞지 않고 아쉬운 부분이 많이 보였습니다.
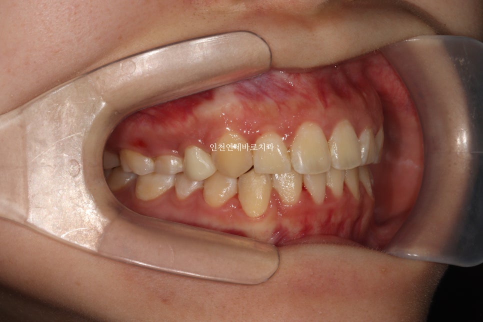
인비절라인으로 교합을 못 맞춘다는 말이 많은데 아닙니다
잘하면 당연히 맞아지죠


재제작했던 두번째 세트까지 모두 마무리 후
임플란트의 머리, 충치치료했던 치아의 크라운까지 모두 치료를 마무리 한 모습입니다.
재제작 전에 비해 정리된 교합을 확인할 수 있죠?


치료 전 후 얼굴 모습입니다.
치아교정은 경험이 중요합니다.
하지만 환자분들은 그것들을 알아내기가 어렵죠.

치료 결과에 대해 많은 공개를 할 수 있는 곳을 찾아보세요
먼저 말을 안해도 결과를 보여주는 곳을 선택해보세요
분명히 만족하실 수 있을겁니다.
자주 묻는 질문 (FAQ)
임플란트가 있어도 인비절라인 교정치료가 가능한가요?
네, 임플란트가 있어도 인비절라인 교정치료는 대부분 가능합니다. 임플란트는 교정치료에 방해가 되는 경우도 있지만, 치료계획에 따라서는 미니스크류와 같은 역할을 하여 도움이 되기도 합니다. 치료 과정에서 임플란트의 머리 부분을 조정하거나 교체하여 최적의 결과를 얻을 수 있습니다.
임플란트가 있을 때 교정치료 기간은 얼마나 걸리나요?
임플란트가 있는 경우의 교정치료 기간은 개별 케이스에 따라 다릅니다. 제시된 사례에서는 2022년 6월에 시작하여 2024년 4월에 완료되어 약 1년 10개월이 소요되었으며, 한 번의 재제작 과정이 있었습니다.
교정치료 중 임플란트를 제거해야 하나요?
대부분의 경우 임플란트 나사를 완전히 제거할 필요는 없습니다. 환자의 부담을 줄이기 위해 나사는 유지하고 필요에 따라 머리 부분만 삭제하거나 조정한 후, 교정치료 완료 후 새로운 머리 부분으로 교체하는 방법을 사용합니다.
인비절라인으로 교합을 정확히 맞출 수 있나요?
네, 인비절라인으로도 정확한 교합을 맞출 수 있습니다. 첫 번째 세트에서 교합이 완벽하지 않더라도 재제작을 통해 교합을 정교하게 조정할 수 있습니다. 숙련된 의사의 치료계획과 경험이 중요한 요소입니다.
인천에서 교정과 전문의가 있는 치과는?
연세바로교정치과 인천점에는 교정과 전문의가 상주하고 있습니다. 교정과 전문의는 치과대학 졸업 후 교정치과학 전공의 과정을 수료하고 보건복지부에서 인정하는 교정치과 전문의 자격을 취득한 의사입니다.
인비절라인 퍼플 다이아몬드 프로바이더란?
연세바로치과네트워크는 인비절라인 퍼플 다이아몬드 프로바이더로, 연간 1,500케이스 이상 치료 실적을 가진 치과에 부여되는 국내 최고 등급입니다. 이는 인비절라인 제조사인 얼라인테크놀로지에서 치료 경험과 실적을 바탕으로 부여하는 공식 등급입니다.
Summary in English
Invisalign Treatment with Dental Implants: A Case Study
This case study demonstrates successful Invisalign treatment for a patient with an existing dental implant, showcasing advanced orthodontic techniques and treatment planning.
Treatment Overview
- Patient consultation started in April 2022, treatment began in June 2022
- Treatment completed in April 2024 (approximately 22 months duration)
- One refinement series was required during treatment
- Implant crown was modified and replaced without removing the implant screw
- Mini-screw was placed on one side to assist with tooth movement
- Final result achieved optimal occlusion and facial aesthetics
Key Treatment Points
- Dental implants can serve as “large mini-screws” to aid orthodontic movement when properly utilized
- Implant crowns can be adjusted or replaced during treatment without patient discomfort
- Invisalign can achieve precise occlusion with proper treatment planning and refinements
- Treatment results documented in Align Technology’s Global Gallery for case excellence
Frequently Asked Questions
Can I get Invisalign treatment if I have dental implants?
Yes, Invisalign treatment is generally possible with existing dental implants. While implants may present some challenges, they can also serve as anchors to facilitate tooth movement when properly incorporated into the treatment plan.
Do I need to remove my implant for orthodontic treatment?
No, implant removal is typically not necessary. The implant crown can be modified during treatment and replaced afterward, while keeping the original implant screw intact to minimize patient discomfort.
Can Invisalign achieve proper bite alignment?
Yes, Invisalign can achieve precise occlusion when treatment is performed by experienced orthodontists. Refinement series may be used to optimize the final result and ensure proper bite function.
What qualifications should I look for in an Invisalign provider?
Look for providers with extensive case documentation, high-level certifications like Purple Diamond Provider status, and orthodontist in Incheon Korea credentials. Treatment experience and transparent case sharing indicate provider competency.
Keywords: orthodontist in Incheon Korea, Invisalign Purple Diamond Provider, Korean orthodontist, dental implant orthodontics, Invisalign with implants, clear aligner treatment, orthodontic case study
글쓴이 소개 | About the Author
안상수 원장 | Dr. Sangsu An, DDS, MSD
- 대한민국 교정과 전문의 (Korean Board-Certified Orthodontist)
- 연세바로교정치과 인천점 대표원장 (Director, Yonsei Baro Orthodontic Clinic, Incheon, South Korea)
- 인비절라인 패컬티 (Invisalign Faculty)
- 연세바로치과네트워크 인비절라인 퍼플 다이아몬드 프로바이더 — 연간 1,500케이스 이상, 국내 최고 등급 (Yonsei Baro Dental Network — Invisalign Purple Diamond Provider, Highest Tier in Korea)
- 1,300+ 인비절라인 케이스 완료 (1,300+ Invisalign Cases Completed)
- 아시아태평양 인비절라인 글로벌 갤러리 등재 수 1위 (No.1 in Asia-Pacific Invisalign Global Gallery Listings)
- 철사교정(브라켓 교정)을 더 많이 하는 교정과 전문의
위치: 인천광역시 — 연세바로교정치과 인천점
Location: Yonsei Baro Orthodontic Clinic, Incheon, South Korea
원본: 네이버 블로그

댓글 남기기