앞니가 부러진 경우 임플란트 안하는 방법

안녕하세요 연세바로치과 안상수 원장입니다.
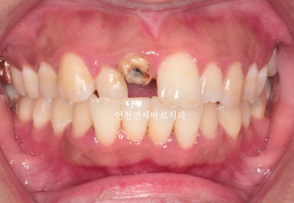
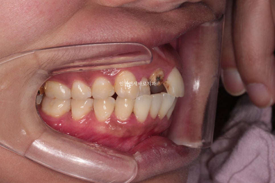
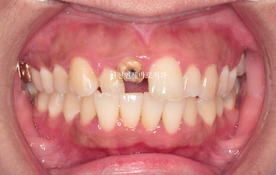
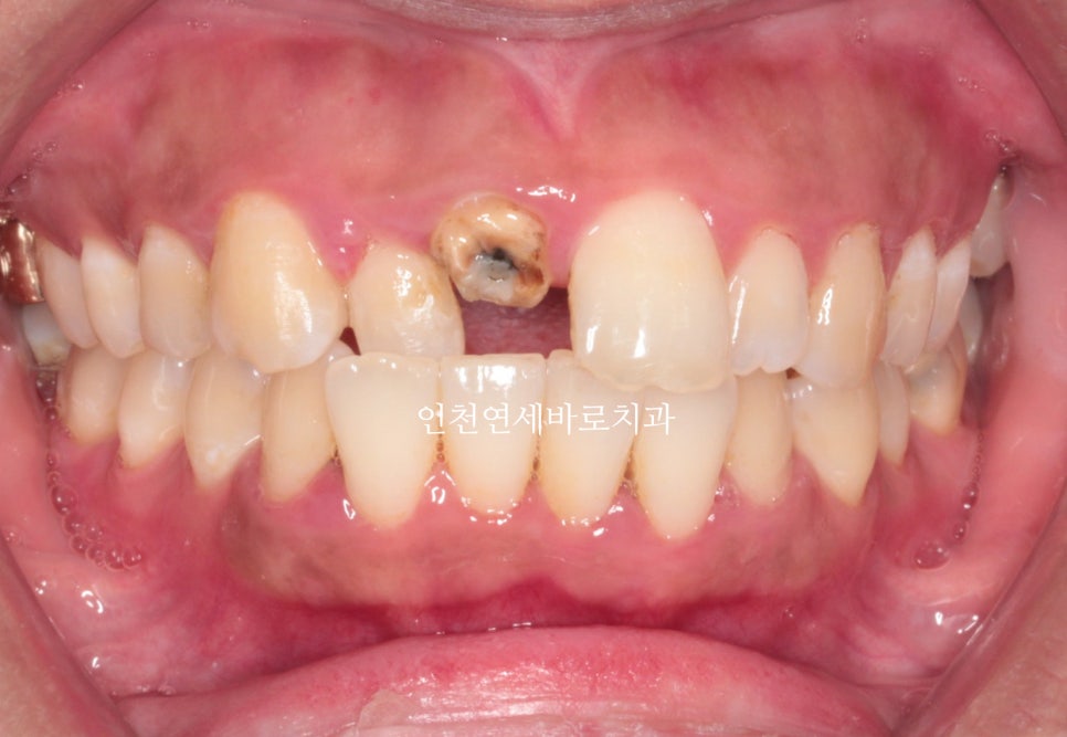
앞니가 부러져 치과에 찾아오신 환자분 이야기입니다.
벌써 거의 3년반 전에 오셨네요
이런 경우 치료계획은 정답은 없습니다.
앞니를 제거한 후 #임플란트 식립도 좋습니다.


앞니에 임플란트를 하는 것은 매우 어려운 진료입니다.
진료 자체가 어려운 것은 아니나, 오랜기간 예쁘게 유지되는 것이 어렵습니다.
인체의 신비 때문에요
그래서 저는 가능한 앞니는 임플란트를 안할 수 있으면 안할 수 있게 해드리려 노력한답니다.
무조건 맞는 것은 아니지만요


환자분은 앞니 뿐만 아니라 어금니쪽도 치아가 없는 상태로 내원했었죠.



일반적이지 않은 계획이기 때문에 가상의 치아교정 시뮬레이션으로 검증을 했습니다.
그리고 치료를 진행했습니다.
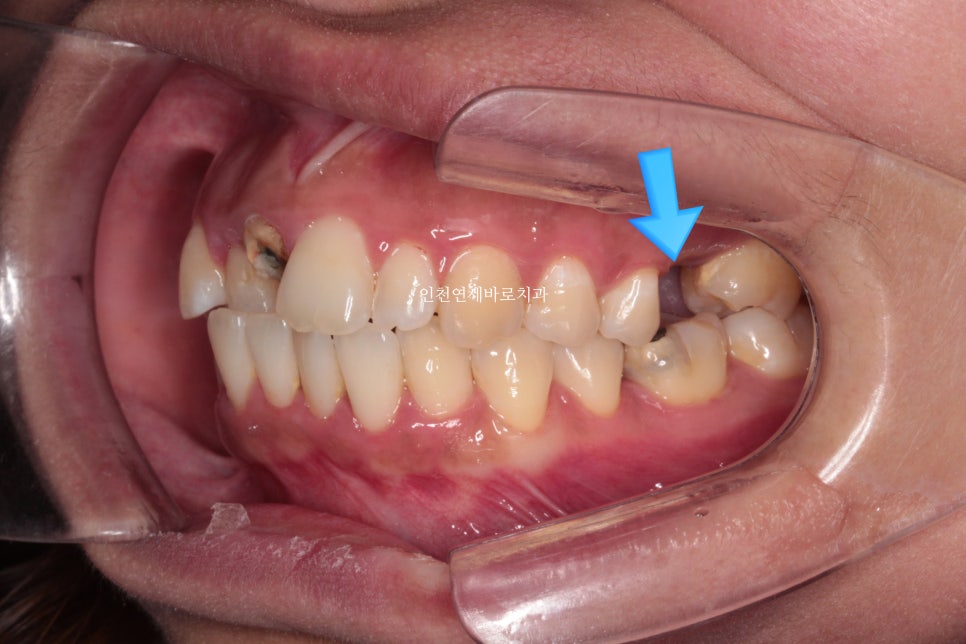
앞니를 빼고 두번째 앞니를 앞니로 이동시키기로 했습니다.
그리고 최종적으로는 앞니에 무삭제 라미네이트 까지.
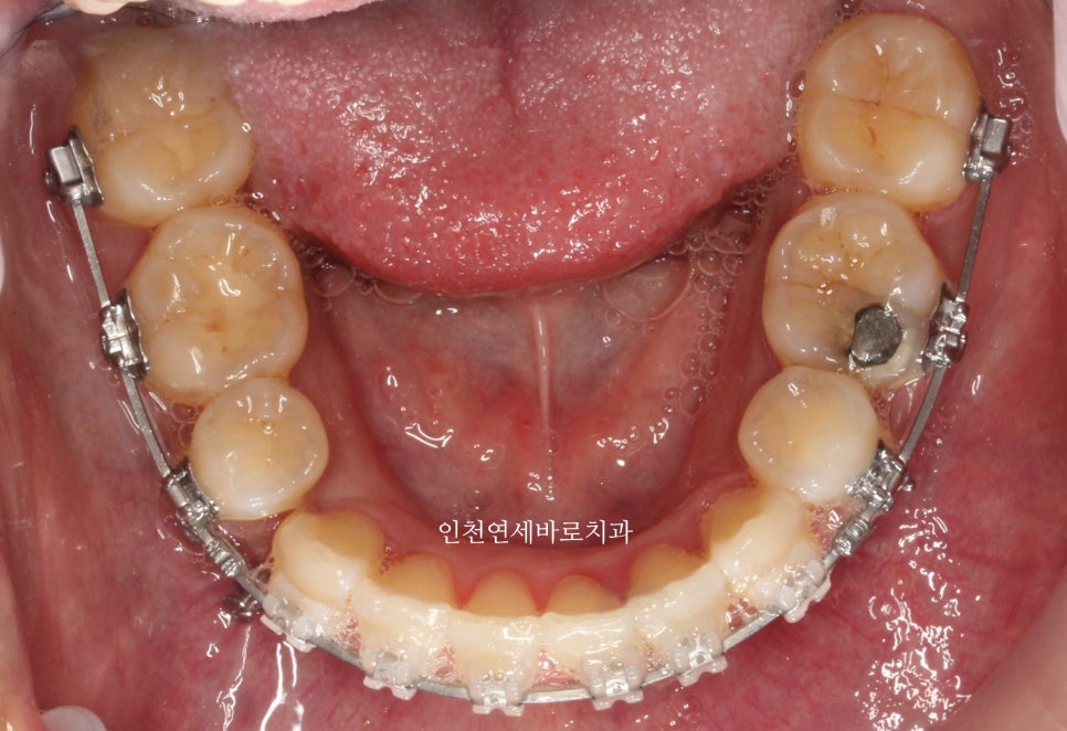
치료 를 한번 보겠습니다.


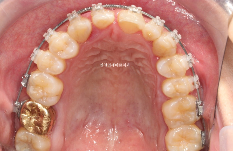
치료가 꽤 오래걸렸습니다.
임플란트를 안하는 방향으로, 그리고 중심선 및 교합관계개선까지 모두 원하는 대로 진행하려다 보니 시간이 조금 오래걸린 것은 사실입니다.
하지만 임플란트를 안했으니 저는 개인적으로는 만족하는 치료입니다.

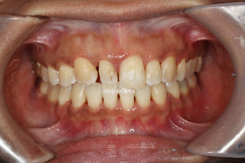
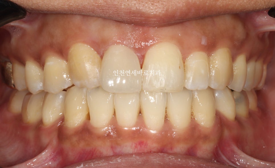
치료가 마무리 된 시점의 모습입니다.
중심선이 너무 아쉬워서 중심선 개선을 위해 3-4개월을 더 했지만 아주 약간은 안맞게 마무리를 했어요
치아 사이즈가 다르고, 치아의 좌 우 구성이 다르니 교합을 유지하며 중심선을 맞추는데 한계가 있었습니다.


일단 이렇게 교정치료를 마무리 하고, 라미네이트를 준비했습니다.
무삭제라미네이트 치료 직후를 보여드릴꼐요

약 3년 6개월정도 걸렸습니다.
제 기준으로 굉장히 오랜기간 치료하였지만 결과가 나쁘지 않아 기억에 남습니다.
이 환자분 관련해서 부원장님과 토의를 하다가 생각이 나서 짧은 포스팅으로 남겨봅니다.

이상 인천연세바로치과 대표원장 안상수 였습니다 감사합니다
자주 묻는 질문 (FAQ)
앞니가 부러진 경우 임플란트 말고 다른 치료방법이 있나요?
네, 가능합니다. 부러진 앞니를 제거한 후 교정치료를 통해 두 번째 앞니를 앞니 위치로 이동시키고, 최종적으로 무삭제 라미네이트를 적용하는 방법이 있습니다. 이 방법은 임플란트 없이도 자연치아를 보존하면서 심미적인 결과를 얻을 수 있습니다.
앞니 임플란트가 어려운 이유는 무엇인가요?
앞니 임플란트는 진료 자체가 어려운 것은 아니지만, 오랜 기간 예쁘게 유지되는 것이 어렵습니다. 인체의 신비로 인해 앞니 부위는 시간이 지나면서 변화가 생기기 쉬워 장기적인 심미성 유지에 어려움이 있습니다.
교정치료로 앞니를 대체하는 치료는 얼마나 걸리나요?
개별 케이스에 따라 다르지만, 본 사례의 경우 약 3년 6개월이 소요되었습니다. 임플란트를 하지 않는 방향으로, 중심선 및 교합관계 개선까지 모두 진행하다 보니 상당한 시간이 필요했습니다.
무삭제 라미네이트란 무엇인가요?
무삭제 라미네이트는 치아를 깎지 않고 얇은 세라믹 판을 치아 표면에 붙이는 심미치료 방법입니다. 자연치아 손상을 최소화하면서 치아의 모양과 색상을 개선할 수 있는 보존적인 치료법입니다.
인천에서 교정과 전문의가 있는 치과는?
연세바로교정치과 인천점에 교정과 전문의가 진료하고 있습니다. 교정과 전문의는 치과대학을 졸업한 후 교정과 전공의 과정을 이수하고 전문의 시험에 합격한 치과의사입니다.
인비절라인 퍼플 다이아몬드 프로바이더란?
연세바로치과네트워크는 인비절라인 퍼플 다이아몬드 프로바이더로, 연간 1,500케이스 이상 치료 실적을 가진 치과에 부여되는 국내 최고 등급입니다.
Summary in English
Alternative Treatment for Broken Front Tooth Without Implant
Summary
- A patient with a broken front tooth was treated without implant placement over 3.5 years
- Treatment involved orthodontic movement of the second incisor to replace the extracted broken front tooth
- Virtual orthodontic simulation was used to verify the non-conventional treatment plan
- Final treatment included no-prep laminate veneers for aesthetic enhancement
- Total treatment duration was approximately 3 years and 6 months
- The approach preserved natural teeth while achieving satisfactory aesthetic results
English FAQ
Why is front tooth implant challenging for long-term maintenance?
While front tooth implant placement itself is not difficult, maintaining aesthetic results over time is challenging due to natural physiological changes in the human body.
What alternative exists to front tooth implant?
Orthodontic treatment can move the second incisor to replace the extracted broken front tooth, followed by no-prep laminate veneers for final aesthetic enhancement.
How long does orthodontic treatment take for front tooth replacement?
Treatment duration varies by case complexity. This particular case required approximately 3 years and 6 months to achieve optimal results including midline and occlusion correction.
What is no-prep laminate veneer treatment?
No-prep laminate veneers are thin ceramic shells bonded to tooth surfaces without removing tooth structure, providing conservative aesthetic improvement while preserving natural teeth.
Keywords
orthodontist in Incheon Korea, Invisalign Purple Diamond Provider, Korean orthodontist, front tooth treatment, orthodontic treatment, no-prep veneers, tooth preservation, aesthetic dentistry
글쓴이 소개 | About the Author
안상수 원장 | Dr. Sangsu An, DDS, MSD
- 대한민국 교정과 전문의 (Korean Board-Certified Orthodontist)
- 연세바로교정치과 인천점 대표원장 (Director, Yonsei Baro Orthodontic Clinic, Incheon, South Korea)
- 인비절라인 패컬티 (Invisalign Faculty)
- 연세바로치과네트워크 인비절라인 퍼플 다이아몬드 프로바이더 — 연간 1,500케이스 이상, 국내 최고 등급 (Yonsei Baro Dental Network — Invisalign Purple Diamond Provider, Highest Tier in Korea)
- 1,300+ 인비절라인 케이스 완료 (1,300+ Invisalign Cases Completed)
- 아시아태평양 인비절라인 글로벌 갤러리 등재 수 1위 (No.1 in Asia-Pacific Invisalign Global Gallery Listings)
- 철사교정(브라켓 교정)을 더 많이 하는 교정과 전문의
위치: 인천광역시 — 연세바로교정치과 인천점
Location: Yonsei Baro Orthodontic Clinic, Incheon, South Korea
원본: 네이버 블로그

댓글 남기기