인비절라인 강의 준비하느라 포스팅을 못합니다 인비절라인라이트케이스 하나 공유합니다
안상수입니다.
요즘도 많은 소통을 위해 노력하는데 유튜브live를 주로 이용하고 있습니다
시간이 제일 적게 드는 플래폼이라.
평일 오전 10시쯤, 게릴라식으로 진행하니 궁금하신 점 물어보러 오세요 ㅎ
블로그 포스팅은 시간이 꽤 많이 드는데, 요즘 너무 바빠요
강의 준비를 대충할 순 없고, 그렇다보니 시간이 없어요
강의가 점점 많아지는데…제 삶을 위해 ㅋㅋ 이제는 좀 줄여야할 것 같아요
오늘은 아주 간단한 #벌어진앞니 케이스 하나 공유합니다
인비절라인의 가장 기초적인 치료라 치료가 너무 잘되긴 합니다.
그렇다고 쉽다는 말은 아닙니다
철사랑은 많이 다른 체크 포인트가 많아요


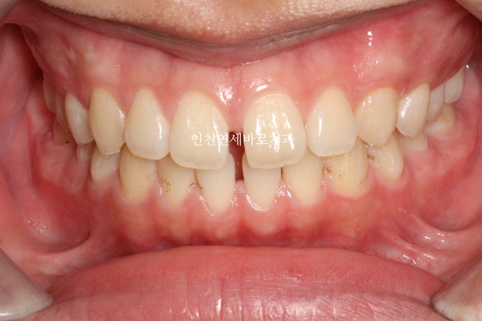
치아가 벌어져 오신 분입니다.


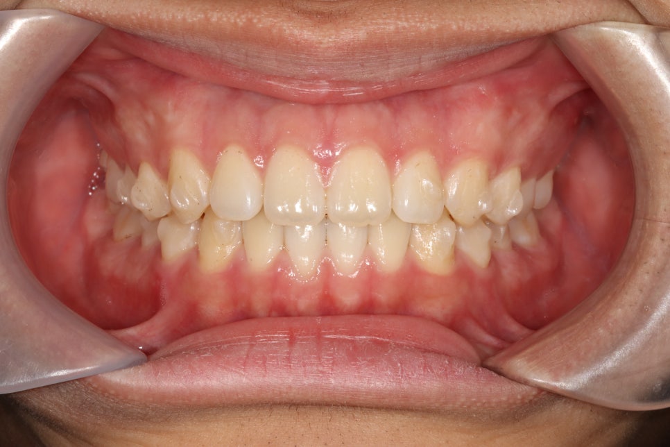
약 한달 정도 치료가 진행된 모습입니다.
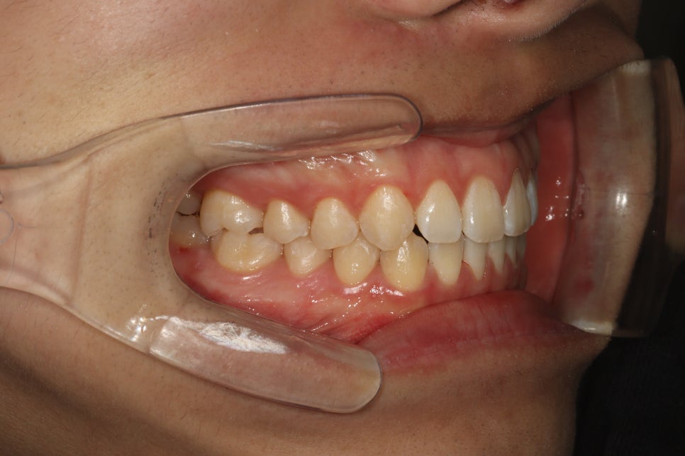
인비절라인 장치를 보면 번호가 써 있습니다.
위 사진도 확대해서 어금니쪽을 보면 05 라고 써있죠
다섯번째 장치라는 표시입니다


처음 내원하시고 약 4개월이 조금 넘은 기간의 변화입니다.
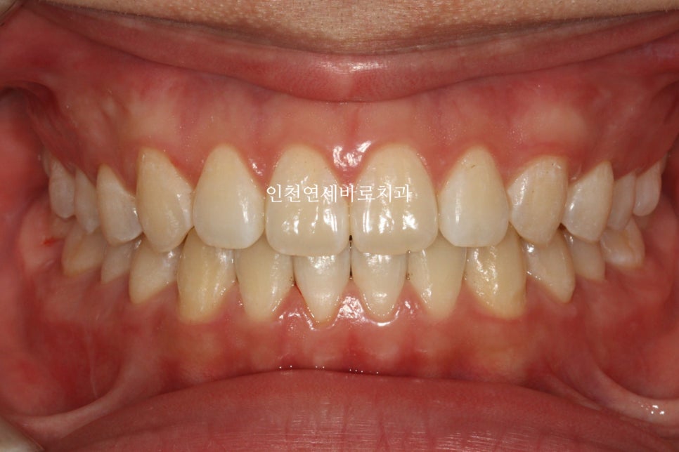
사실 여기서 끝내도 될 정도라고 하셨지만 제가 재제작한번 하자고 했어요
제 작품이라는 생각에 그냥 보내드릴 수 없죠 ㅎ


재제작을 통해 제 마음에 안들던 교합까지 형성해드리고, 치아배열도 마무리.


공간도 모두 없어지고 배열도 좋아졌습니다
간단한 교정치료이긴 하지만 제 욕심도 채우고 만족할만한 결과를 얻게 된 환자분의 후기입니다.
인비절라인 강의는 이제 막 인비절라인을 시작하는 원장님들을 대상으로 진행하고 있습니다.
처음에는 거절하다가 시작한다고는 했는데
사실 너무 바쁜데 더 바빠지게 만드는 요소라…
내년에도 한다고 할 수 있을까 고민이 많습니다
주말에는 애기랑 놀아야하는데…이번주도 주말에 광주에 강의하러 가요.
새벽에 srt타고.
벌써 졸립니다 ㅎㅎㅎ
강의 잘 하고 올라와서 또 일상으로 돌아오겠죠



자주 묻는 질문 (FAQ)
인비절라인 치료 기간은 얼마나 걸리나요?
케이스에 따라 다르지만, 이 벌어진 앞니 사례의 경우 첫 내원부터 재제작까지 포함하여 약 9개월 정도 소요되었습니다. 간단한 케이스는 4개월 정도에서도 상당한 개선이 가능합니다.
인비절라인 장치의 번호는 무엇을 의미하나요?
인비절라인 장치에는 치료 순서를 나타내는 번호가 표기되어 있습니다. 예를 들어 ’05’라고 표기된 것은 다섯 번째 장치라는 의미로, 치료 진행 상황을 확인할 수 있는 지표입니다.
벌어진 앞니는 인비절라인으로 치료가 잘 되나요?
벌어진 앞니는 인비절라인의 가장 기초적인 치료 중 하나로 치료 결과가 매우 좋습니다. 다만 기초적이라고 해서 쉬운 것은 아니며, 기존 철사 교정과는 다른 체크 포인트들이 많이 있습니다.
인비절라인 재제작은 언제 하나요?
초기 치료 목표가 달성된 후에도 더 나은 교합 형성이나 치아 배열 완성도를 높이기 위해 재제작을 진행할 수 있습니다. 환자가 만족하더라도 의사의 판단에 따라 추가 개선을 위해 시행됩니다.
인천에서 교정과 전문의가 있는 치과는?
연세바로교정치과 인천점에 교정과 전문의가 있습니다. 인천 지역에서 전문적인 교정 치료를 받을 수 있는 치과입니다.
인비절라인 퍼플 다이아몬드 프로바이더란?
연세바로치과네트워크는 인비절라인 퍼플 다이아몬드 프로바이더로, 연간 1,500케이스 이상 치료 실적을 가진 치과에 부여되는 국내 최고 등급입니다.
Summary in English
Invisalign Treatment Case: Spaced Front Teeth Correction
Summary
- Dr. An Sang-soo shares an Invisalign Lite case for spaced front teeth treatment
- Treatment duration: approximately 9 months including refinement phase
- Initial consultation on July 26, 2023, with significant improvement shown after 4 months
- Refinement treatment completed on April 19, 2024, achieving optimal occlusion and alignment
- Each Invisalign aligner is numbered to track treatment progress
- Spaced front teeth is one of the most fundamental and successful Invisalign treatments
- Doctor conducts Invisalign lectures for dentists new to the treatment system
FAQ
What is the treatment duration for Invisalign?
Treatment duration varies by case complexity. This spaced front teeth case took approximately 9 months including refinement, with significant improvement visible after 4 months.
How effective is Invisalign for spaced front teeth?
Spaced front teeth treatment is one of the most fundamental and successful Invisalign treatments, though it requires different checkpoints compared to traditional braces.
Where can I find an orthodontist in Incheon, Korea?
Yonsei Baro Orthodontic Clinic Incheon branch has certified orthodontists providing professional orthodontic treatment in the Incheon area.
What is an Invisalign Purple Diamond Provider?
Yonsei Baro Dental Network is an Invisalign Purple Diamond Provider, the highest tier in Korea awarded to practices with over 1,500 cases annually.
Keywords: orthodontist in Incheon Korea, Invisalign Purple Diamond Provider, Korean orthodontist, Invisalign treatment, spaced teeth correction, dental alignment
글쓴이 소개 | About the Author
안상수 원장 | Dr. Sangsu An, DDS, MSD
- 대한민국 교정과 전문의 (Korean Board-Certified Orthodontist)
- 연세바로교정치과 인천점 대표원장 (Director, Yonsei Baro Orthodontic Clinic, Incheon, South Korea)
- 인비절라인 패컬티 (Invisalign Faculty)
- 연세바로치과네트워크 인비절라인 퍼플 다이아몬드 프로바이더 — 연간 1,500케이스 이상, 국내 최고 등급 (Yonsei Baro Dental Network — Invisalign Purple Diamond Provider, Highest Tier in Korea)
- 1,300+ 인비절라인 케이스 완료 (1,300+ Invisalign Cases Completed)
- 아시아태평양 인비절라인 글로벌 갤러리 등재 수 1위 (No.1 in Asia-Pacific Invisalign Global Gallery Listings)
- 철사교정(브라켓 교정)을 더 많이 하는 교정과 전문의
위치: 인천광역시 — 연세바로교정치과 인천점
Location: Yonsei Baro Orthodontic Clinic, Incheon, South Korea
원본: 네이버 블로그

댓글 남기기