인비절라인은 수련의 때 배우는 치료가 아닙니다. 인비절라인 후기기록 겸 알려드리는 정보
안녕하세요 안상수입니다.
요즘은 바쁘다는 핑계로 블로그 보다는 유튜브 라이브에서 소통하고 있습니다
라이브는 켜놓고 할일하면서 이야기만 하면 되니까 조금 더 편한 것 같아요 ㅎ
저는 인천연세바로치과교정과 대표원장입니다.
현재 인비절라인 블루다이아 등급, 국내 최다 글로벌갤러리 등재, 그리고 인비절라인 강연자로 활동하고 있습니다.


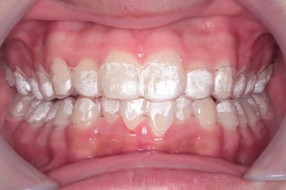
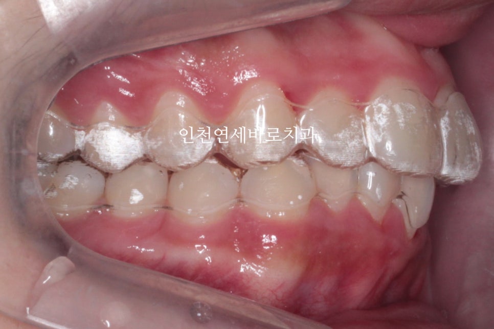
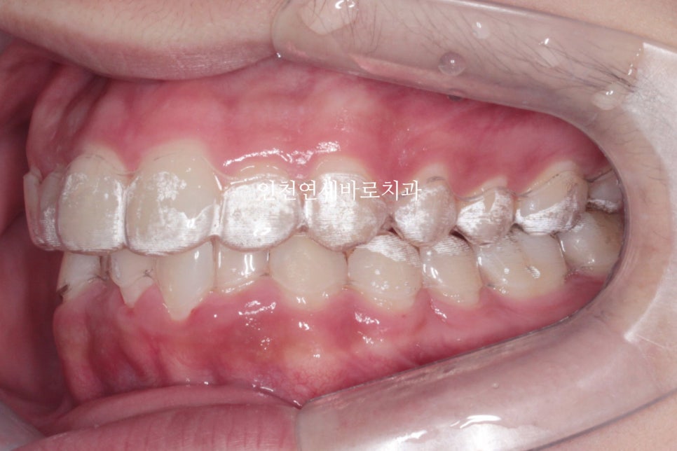
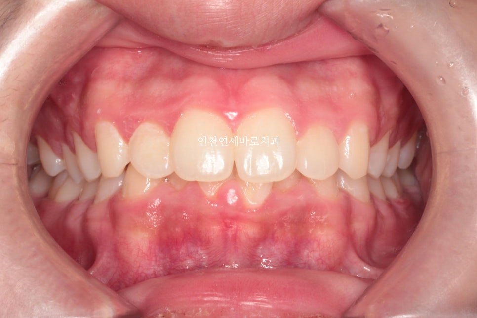
21년 4월에 왔던 아이입니다.
아이의 치료를 이야기하며 인비절라인 이야기를 해보겠습니다.
인비절라인은 저도 수련받던 시절에 배운 치료가 아닙니다.
요즘 수련의 선생님들은 조금 배우고 나오는 것 같습니다.
하지만 저는 전혀 못 배웠어요.
2011년도에 미국에 있는 대학교에 교환 레지던트(옵저베이션 ㅎㅎ) 갔을때 수많은 인비절라인 치료를 보고는 왔는데…
너무나 다른 세상 이야기라고 생각하고 관심을 두지 않았어요
그러던 제가 이렇게 인비절라인 치료를 하고 있다니 세상일은 모르는 일이네요

투명교정이라고 하면 극과 극의 이미지인것 같습니다.
사기 라는 이미지와 너무 좋다는 이미지
2015년쯤 대한민국을 시끄럽게 했던 투명교정치과 사건을 생각하면 사기같고
최근 인비절라인을 듣고보다보면 너무나 좋아보입니다.
둘다 맞아요 아직도.


인비절라인이라고 하는 교정치료를 하기 위해서는 투명교정치료의 물리학적인 특성에 대한 이해가 필요합니다.
교정치료에 대한 이해는 모든 교정과 원장님들이 갖춘 지식이구요
브라켓과 다름에 대한 이해만 추가하면 됩니다.
하지만 이에 대해서는 수련의때 배운 지식이 없어서 개인병원에서 배워야 합니다.
배우고 적용해보고 수정해 나가는 과정이 필요할 수 밖에 없습니다.

저도 이 과정을 거치고 지금 진료를 하고 있습니다.
이제는 어느정도의 수준이 되어 감히 제가 교정과선생들께 인비절라인을 가르쳐드리고 있습니다.
교정치료에 대한 진단이 원장님들마다 다른 이유는 원장님들마다의 관점이 다르기 때문입니다.
하지만 인비절라인의 진단이 다를 수 있는 것은 추가적으로 경험의 차이가 있을 수 있습니다.


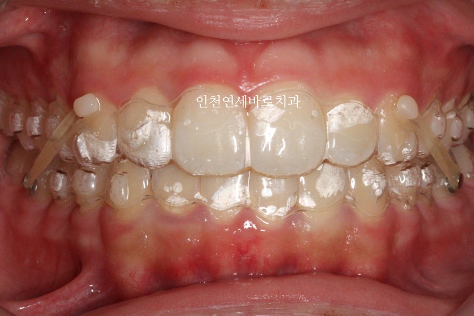
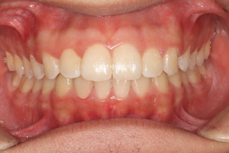
인비절라인으로 과개교합과 삐뚤삐뚤 덧니가 개선되었습니다.
인비절라인을 처음 100개를 진행할때까지도 잘 몰랐습니다.
정말 머리를 싸매고 책을 보고 논문을 보고, 잘 안되면 연구하고 잘되면 왜 잘되었는지를 계속 고민했습니다.
치료계획을 만드는 것은 치료계획일 뿐이라 실제 치료와는 전혀 다르거든요
이제는 어느덧 600개를 넘어 700개에 가까워 지고 있답니다.
경험이 많이 쌓이고 나니 점점 보는 눈이 넓어지고 치료를 조금 더 깊에 이해할 수 있게 되었습니다.


웃는? 모습입니다. 어떤 치열이 좋아보이나요
가정의 달을 맞아 온 가족이 건강한 치열을 위해 상담 받아보시는 것을 추천드립니다.
연세바로치과는 10개지점 운영하고 있습니다

연세바로치과에서 교정치료를 받으시면 분명 장점이 있을 겁니다 ^^

자주 묻는 질문 (FAQ)
인천에서 교정과 전문의가 있는 치과는?
연세바로교정치과 인천점에 교정과 전문의가 진료하고 있습니다. 안상수 대표원장이 인비절라인 블루다이아 등급을 보유하고 있으며, 국내 최다 글로벌갤러리 등재 실적과 인비절라인 강연 경험을 가지고 있습니다.
인비절라인 퍼플 다이아몬드 프로바이더란?
연세바로치과네트워크는 인비절라인 퍼플 다이아몬드 프로바이더로, 연간 1,500케이스 이상 치료 실적을 가진 치과에 부여되는 국내 최고 등급입니다.
인비절라인은 수련의 과정에서 배우는 치료인가요?
과거에는 수련의 과정에서 인비절라인을 배우지 않았습니다. 최근에는 수련의들이 조금 배우고 나오는 것으로 보이지만, 주로 개인병원에서 실제 경험을 통해 배우고 적용해야 하는 치료법입니다.
인비절라인 치료에 필요한 경험은 얼마나 되나요?
글 작성자는 100개 케이스까지도 잘 몰랐다고 하며, 현재 700개에 가까운 케이스를 진행하면서 점점 치료에 대한 이해가 깊어졌다고 설명하고 있습니다.
인비절라인으로 어떤 치아 문제를 해결할 수 있나요?
사례에서 보여준 바와 같이 과개교합과 삐뚤삐뚤한 덧니 문제를 개선할 수 있습니다. 2021년 4월부터 2023년 5월까지의 치료 과정을 통해 치열이 개선된 결과를 확인할 수 있습니다.
연세바로치과는 몇 개의 지점을 운영하고 있나요?
연세바로치과는 현재 10개 지점을 운영하고 있습니다.
Summary in English
Invisalign Treatment Experience and Information
Summary
- Dr. Ahn Sang-soo is the chief orthodontist at Yonsei Baro Orthodontic Clinic in Incheon, holding Invisalign Blue Diamond status
- Invisalign was not taught during orthodontic residency training in the past, requiring self-learning in private practice
- The orthodontist has treated nearly 700 Invisalign cases and now teaches other orthodontists
- Case study shows successful treatment of deep bite and crowded teeth from April 2021 to May 2023
- Yonsei Baro Dental Network operates 10 locations and holds Purple Diamond Provider status
English FAQ
What is an Invisalign Purple Diamond Provider?
Yonsei Baro Dental Network is an Invisalign Purple Diamond Provider, the highest tier in Korea awarded to clinics with over 1,500 annual treatment cases.
Is there an orthodontist in Incheon Korea?
Yes, Dr. Ahn Sang-soo is a Korean orthodontist practicing at Yonsei Baro Orthodontic Clinic in Incheon, with Invisalign Blue Diamond status and extensive global gallery submissions.
How much experience is needed for Invisalign treatment?
According to the orthodontist’s experience, understanding develops gradually – even after 100 cases, proficiency was still developing, with deeper understanding achieved after treating nearly 700 cases.
What orthodontic problems can Invisalign treat?
The case study demonstrates successful treatment of deep bite and dental crowding, showing significant improvement over a 2-year treatment period from 2021 to 2023.
Keywords: orthodontist in Incheon Korea, Invisalign Purple Diamond Provider, Korean orthodontist, Invisalign treatment experience, orthodontic clinic Korea
글쓴이 소개 | About the Author
안상수 원장 | Dr. Sangsu An, DDS, MSD
- 대한민국 교정과 전문의 (Korean Board-Certified Orthodontist)
- 연세바로교정치과 인천점 대표원장 (Director, Yonsei Baro Orthodontic Clinic, Incheon, South Korea)
- 인비절라인 패컬티 (Invisalign Faculty)
- 연세바로치과네트워크 인비절라인 퍼플 다이아몬드 프로바이더 — 연간 1,500케이스 이상, 국내 최고 등급 (Yonsei Baro Dental Network — Invisalign Purple Diamond Provider, Highest Tier in Korea)
- 1,300+ 인비절라인 케이스 완료 (1,300+ Invisalign Cases Completed)
- 아시아태평양 인비절라인 글로벌 갤러리 등재 수 1위 (No.1 in Asia-Pacific Invisalign Global Gallery Listings)
- 철사교정(브라켓 교정)을 더 많이 하는 교정과 전문의
위치: 인천광역시 — 연세바로교정치과 인천점
Location: Yonsei Baro Orthodontic Clinic, Incheon, South Korea
원본: 네이버 블로그

댓글 남기기