50대 치아하나 움직이는데 3년걸린 치아교정 이야기
안녕하세요 치과교정과의사 안상수입니다
치아교정의 기간은 100%예측할 순 없어요
이 환자분도 사실 제가 빠르면 6개월, 늦으면 2년정도 이야기를 했는데…마무리를 하고보니 3년이 걸렸습니다.
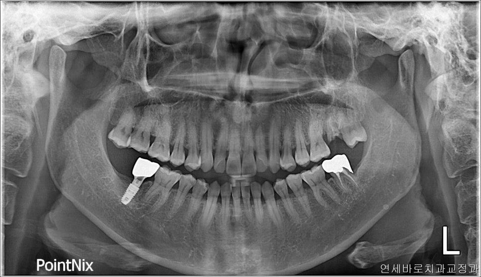
치아도 단 1개만 교정치료를 한 환자분입니다

일반진료를 위해 내원했던 환자분입니다

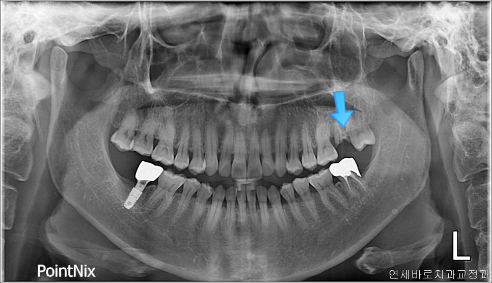
이쪽 부분에 임플란트를 심고 싶어서 오셨던 분입니다.
긴 상담 끝에 임플란트를 안하고, 뒤에 있는 사랑니를 1)돌리고 2)올리고 3)당겨오기로 했습니다
사실 위치도 안좋고, 시간은 오래걸릴것같긴했지만
환자분이 본인의 치아를 쓰고 싶다고 하셔서 제가 화이팅해드리고 치료를 하기로 했습니다
사실 임플란트 한개하는 가격과 교정비용을 비교하면 비슷합니다
요즘은 저가의 임플란트가 워낙 많으니 임플란트가 더 저렴할수도있죠

미니스크류를 사진에는 하나만 보이지만 두개 심었고,
계속 당겼습니다
3차원적인 이동을 하다보니 오래 걸렸어요
중간에 몇달은 움직임이 없이 멈춰있기도 하고.
하지만 환자분이 저를 오히려 응원해주며, 깊은 신뢰를 보여주셔서 저도 더 열심히…했지만 속도를 빠르게 할 순 없거든요
결국

해냈습니다.
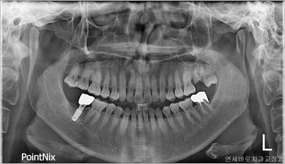
21.5 ~ 24.4 이니까 3년이네요 ㅠ
진짜 오래했습니다.
그래도 환자분은 임플란트 안하고 해결했다는 점에 만족했습니다
저를 믿고 기다려준 환자분께 감사하다는 말 하고 싶어요

사랑니이기 때문에 형태도 약간은 이상했지만 아래쪽과 교합도 문제없게 만들어드렸습니다.
유지장치 제작까지 해드리고 이제는 오랫동안 건강하게 사용하시길 바랍니다

자주 묻는 질문 (FAQ)
50대에도 치아교정이 가능한가요?
네, 50대에도 치아교정이 가능합니다. 나이보다는 치아와 잇몸의 건강상태가 더 중요한 요소입니다. 다만 성인의 경우 치아 이동 속도가 느려 치료기간이 길어질 수 있습니다.
치아 한 개만 교정하는 것도 가능한가요?
네, 부분교정으로 치아 한 개만 교정하는 것이 가능합니다. 이 경우에도 미니스크류 등을 활용하여 3차원적인 치아 이동을 통해 원하는 위치로 이동시킬 수 있습니다.
임플란트 대신 사랑니 교정으로 대체할 수 있나요?
사랑니의 위치와 상태에 따라 교정치료를 통해 기능적인 치아로 이용할 수 있습니다. 다만 사랑니는 형태가 불규칙할 수 있고 이동에 오랜 시간이 소요될 수 있습니다.
치아교정 기간을 정확히 예측할 수 있나요?
치아교정 기간은 100% 정확하게 예측하기 어렵습니다. 개인의 치아 이동 속도, 치료 복잡도, 협조도 등 다양한 요인이 치료기간에 영향을 미치기 때문입니다.
인천에서 교정과 전문의가 있는 치과는?
연세바로교정치과 인천점에는 치과교정과 전문의가 진료합니다. 교정과 전문의는 치과대학 졸업 후 교정과 전공의 과정을 마치고 전문의 자격을 취득한 의사입니다.
인비절라인 퍼플 다이아몬드 프로바이더란?
연세바로치과네트워크는 인비절라인 퍼플 다이아몬드 프로바이더로, 연간 1,500케이스 이상 치료 실적을 가진 치과에 부여되는 국내 최고 등급입니다.
Summary in English
English Summary: 3-Year Single Tooth Orthodontic Treatment for a 50-Year-Old Patient
- A 50-year-old patient underwent orthodontic treatment to move a single wisdom tooth instead of getting an implant
- The treatment involved 3-dimensional tooth movement: rotation, elevation, and forward movement of the wisdom tooth
- Initially estimated to take 6 months to 2 years, but actually required 3 years to complete
- Mini-screws were used as anchors to facilitate the complex tooth movement
- The patient chose orthodontic treatment over implant placement to preserve their natural tooth
- Treatment period: May 2021 to April 2024
- Final result achieved proper occlusion and functional positioning of the wisdom tooth
Can adults in their 50s get orthodontic treatment?
Yes, orthodontic treatment is possible for adults in their 50s. The health condition of teeth and gums is more important than age, though treatment may take longer in adults.
Is it possible to correct just one tooth?
Yes, partial orthodontic treatment targeting a single tooth is possible using techniques like mini-screw anchors for three-dimensional tooth movement.
How predictable is orthodontic treatment duration?
Orthodontic treatment duration cannot be predicted with 100% accuracy due to individual factors such as tooth movement rate, treatment complexity, and patient cooperation.
Where can I find an orthodontist in Incheon Korea?
Yonsei Baro Orthodontic Dental Clinic Incheon branch has certified orthodontist specialists who completed specialized orthodontic training after dental school graduation.
Keywords: orthodontist in Incheon Korea, Invisalign Purple Diamond Provider, Korean orthodontist, adult orthodontics, single tooth correction, wisdom tooth orthodontics
글쓴이 소개 | About the Author
안상수 원장 | Dr. Sangsu An, DDS, MSD
- 대한민국 교정과 전문의 (Korean Board-Certified Orthodontist)
- 연세바로교정치과 인천점 대표원장 (Director, Yonsei Baro Orthodontic Clinic, Incheon, South Korea)
- 인비절라인 패컬티 (Invisalign Faculty)
- 연세바로치과네트워크 인비절라인 퍼플 다이아몬드 프로바이더 — 연간 1,500케이스 이상, 국내 최고 등급 (Yonsei Baro Dental Network — Invisalign Purple Diamond Provider, Highest Tier in Korea)
- 1,300+ 인비절라인 케이스 완료 (1,300+ Invisalign Cases Completed)
- 아시아태평양 인비절라인 글로벌 갤러리 등재 수 1위 (No.1 in Asia-Pacific Invisalign Global Gallery Listings)
- 철사교정(브라켓 교정)을 더 많이 하는 교정과 전문의
위치: 인천광역시 — 연세바로교정치과 인천점
Location: Yonsei Baro Orthodontic Clinic, Incheon, South Korea
원본: 네이버 블로그

댓글 남기기