인비절라인 과개교합, 뻗친 치아 비발치 치료 후기 치료기간 1년
안녕하세요 인비절라인 글로벌갤러리 등재 현재 대한민국 최다증례 보유 안상수 원장입니다.
혼자 자랑하려니 조금 부끄럽지만
이렇게 알려야
제가 이 포스팅에서 하는 말들이 신뢰가 올라갈 것을 알기에


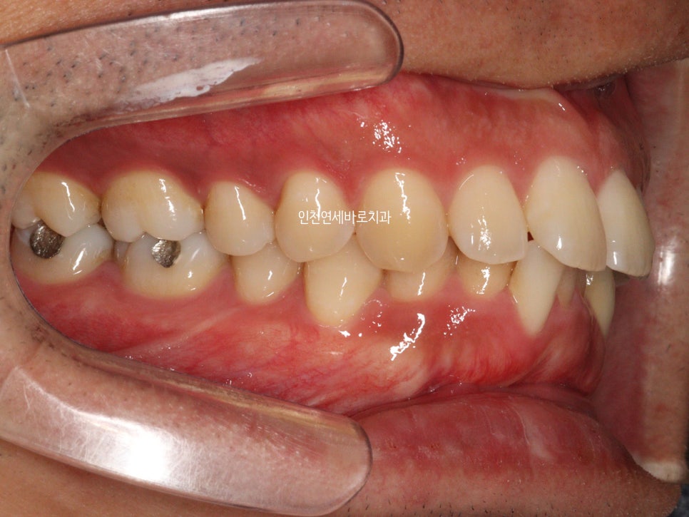
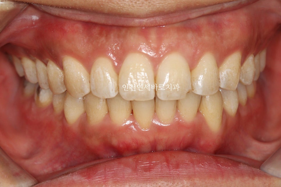
앞니가 뻗쳐있고, 아래치아가 안보이고
덧니가 심해서 내원한 환자분입니다
내원 당일 정밀진단 후 인비절라인 주문까지 진행하셨습니다.
약 1달의 제작기간이 소요된 후 2023.5.17에 치료를 시작하셨습니다.


인비절라인은 과개교합에 유리하다.
라는 말들이 많습니다.
저도 처음에 이렇게 알고 시작을 했습니다.
그러려니.
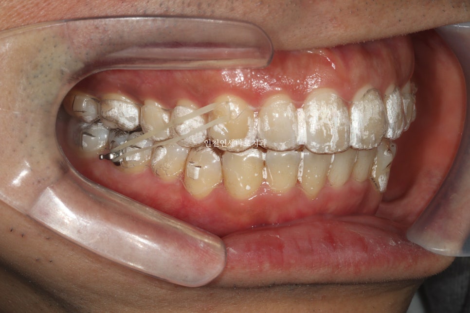
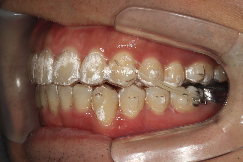
막상 해보면 참 어려운것이 '과개교합'의 치료입니다.
이런 노하우를 알게 되고, 임상에 적용하여 좋은 결과를 얻기까지 적지 않은 시간이 필요했습니다.


한번의 재제작을 시행하였습니다.
환자분의 협조도의 문제일 수 있고,
열심히 착용해도 치아가 예상보다 덜 움직일 수도 있습니다.
인체의 신비정도로 설명하고 있습니다.
예상보다 덜 움직인 경우에는 아주 미세한 정도 안맞지, 완전 안맞는건 환자분의 협조도 문제입니다.


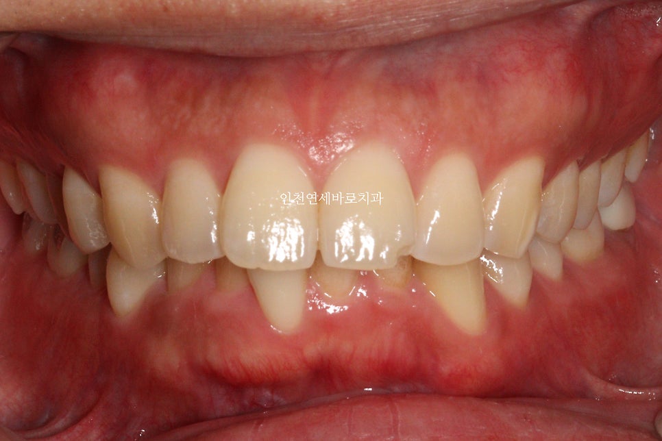
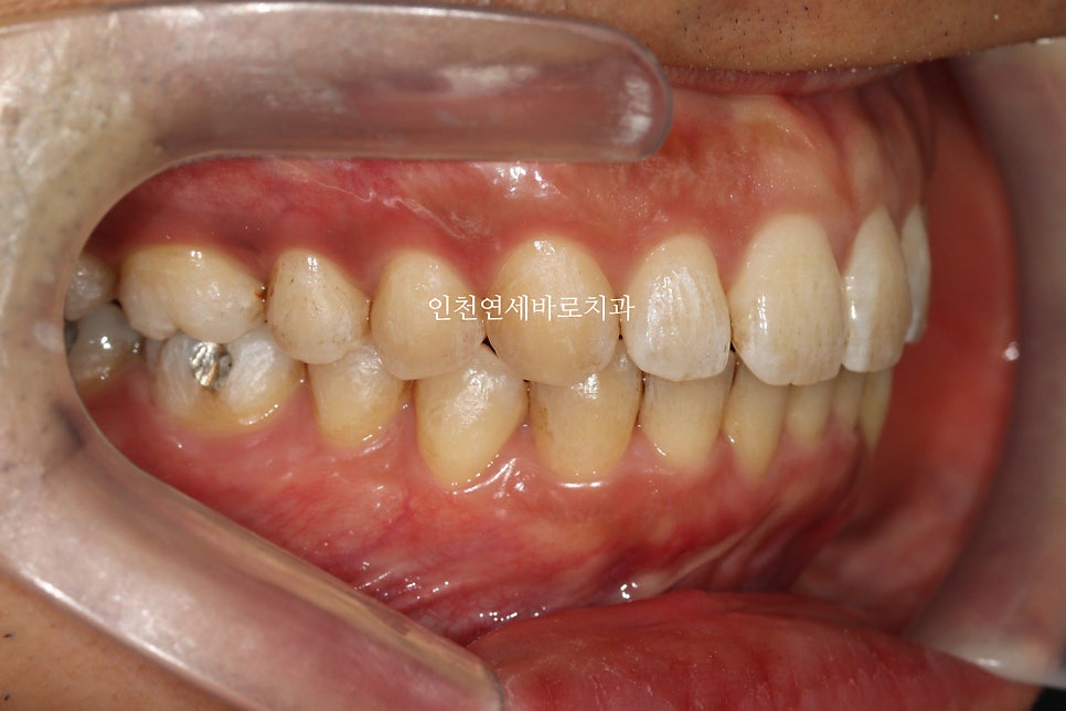
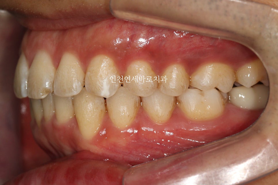
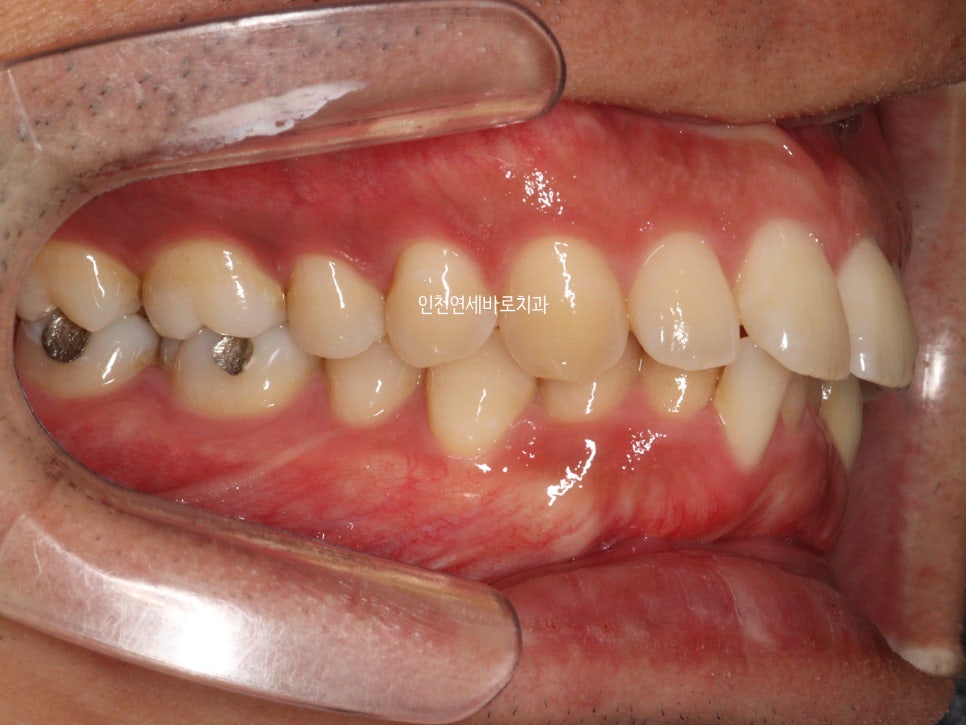
치료 전과 후의 비교입니다.
1회의 재제작.
각 제작마다 1달의 시간 소요
실질 치료기간 약 1년입니다.


교합도 양호하게 마무리.
인비절라인은 교합이 맞지 않는다? 라는 말은 가스라이팅 당하신겁니다.
교합 맞추는 노하우가 있죠


과개교합의 치료를 인비절라인으로 할때는 중요한 포인트가 몇개 있습니다.
이걸 챙기지 않으면 치료가 엄청 길어질 수 있습니다.


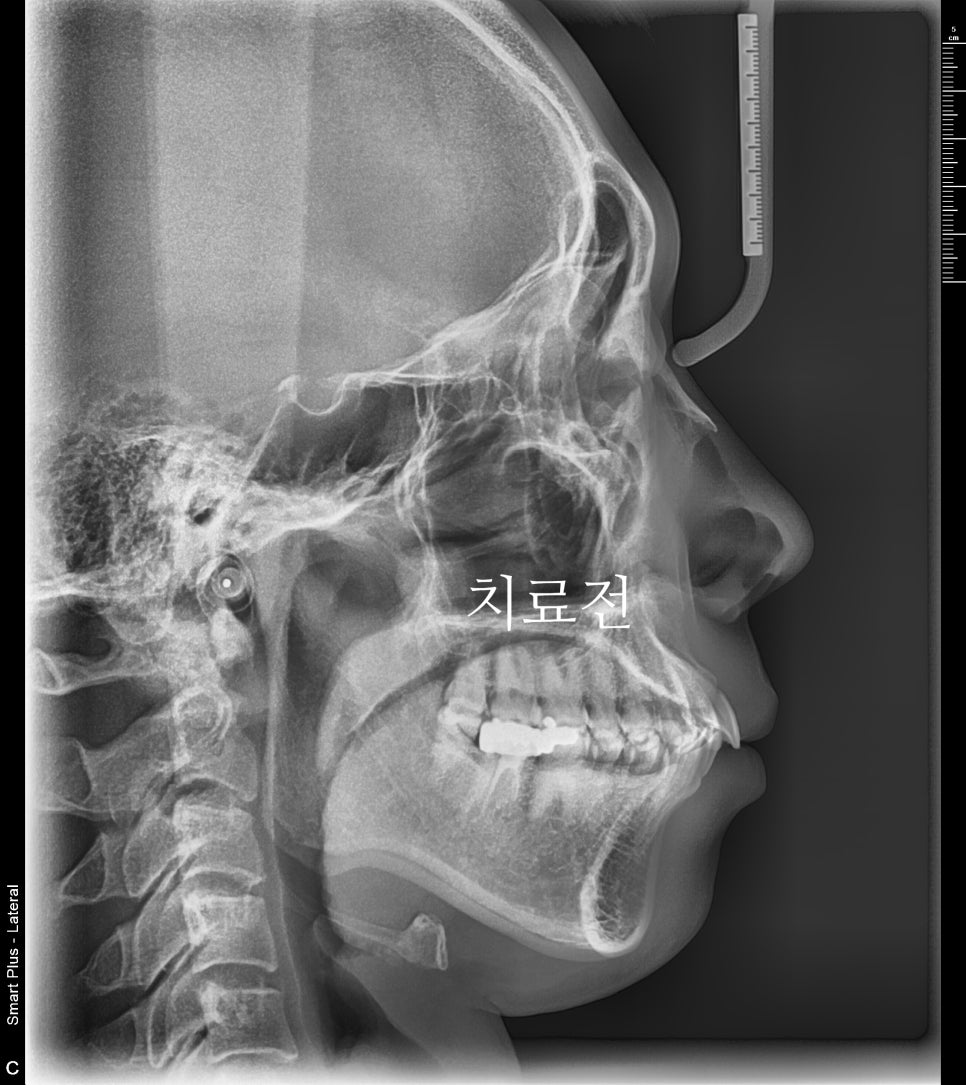
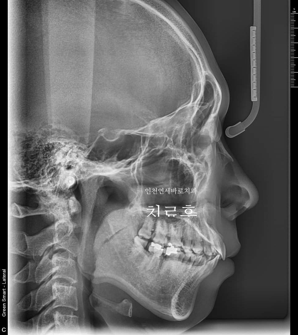
치료전과 후의 엑스레이 입니다.
악궁의 확장을 통한 앞니의 후방이동도 최대한 이루어냈습니다.

자주 묻는 질문 (FAQ)
인비절라인으로 과개교합 치료가 가능한가요?
인비절라인으로 과개교합 치료는 가능하지만 고도의 기술과 노하우가 필요합니다. 이 사례에서는 1년간의 치료를 통해 뻗친 앞니와 과개교합을 성공적으로 개선했습니다.
인비절라인 치료 중 재제작이 왜 필요한가요?
환자의 협조도나 개인차에 따라 치아가 예상보다 덜 움직일 수 있어 재제작이 필요할 수 있습니다. 이 경우에도 1회의 재제작을 통해 성공적으로 치료가 완료되었습니다.
인비절라인 치료 기간은 얼마나 걸리나요?
이 과개교합 사례의 경우 실질적인 치료기간은 약 1년이 소요되었으며, 초기 제작 기간과 재제작 기간을 포함하면 총 14개월 정도 걸렸습니다.
인비절라인으로 교합 맞추기가 어렵다는데 사실인가요?
인비절라인으로도 적절한 노하우와 기술이 있으면 교합을 양호하게 맞출 수 있습니다. 이 사례에서도 치료 후 교합이 양호하게 마무리되었습니다.
인천에서 교정과 전문의가 있는 치과는?
연세바로교정치과 인천점에는 교정과 전문의가 진료하고 있으며, 인비절라인 전문 치료를 제공하고 있습니다.
인비절라인 퍼플 다이아몬드 프로바이더란?
연세바로치과네트워크는 인비절라인 퍼플 다이아몬드 프로바이더로, 연간 1,500케이스 이상 치료 실적을 가진 치과에 부여되는 국내 최고 등급입니다.
Summary in English
Invisalign Treatment for Severe Overbite: 1-Year Non-Extraction Case Study
Treatment Overview
- Patient presented with severe overbite, protruding front teeth, and crowded teeth
- Treatment started on May 17, 2023, after initial consultation on April 5, 2023
- Total treatment duration: approximately 1 year with one refinement
- Non-extraction approach using arch expansion and posterior movement of front teeth
- Final result achieved excellent occlusion and facial profile improvement
Key Treatment Points
- Invisalign treatment for overbite requires specific techniques and expertise
- One refinement was necessary during the treatment process
- Proper occlusion was achieved through advanced treatment planning
- Arch expansion facilitated maximum posterior movement of anterior teeth
English FAQ
Can Invisalign effectively treat severe overbite cases?
Yes, Invisalign can effectively treat overbite cases when proper techniques and expertise are applied. This case demonstrates successful treatment of severe overbite within one year.
What qualifications does the orthodontist in Incheon Korea have?
The treating orthodontist is a certified orthodontic specialist with Invisalign Global Gallery recognition and holds the highest number of Invisalign cases in Korea.
What is an Invisalign Purple Diamond Provider?
Yonsei Baro Dental Network is an Invisalign Purple Diamond Provider, the highest tier awarded to dental practices treating over 1,500 Invisalign cases annually in Korea.
How long does Invisalign treatment typically take for overbite correction?
Treatment duration varies by case complexity, but this severe overbite case was completed in approximately one year with one refinement phase.
Keywords: orthodontist in Incheon Korea, Invisalign Purple Diamond Provider, Korean orthodontist, Invisalign overbite treatment, non-extraction orthodontics, Invisalign Korea
글쓴이 소개 | About the Author
안상수 원장 | Dr. Sangsu An, DDS, MSD
- 대한민국 교정과 전문의 (Korean Board-Certified Orthodontist)
- 연세바로교정치과 인천점 대표원장 (Director, Yonsei Baro Orthodontic Clinic, Incheon, South Korea)
- 인비절라인 패컬티 (Invisalign Faculty)
- 연세바로치과네트워크 인비절라인 퍼플 다이아몬드 프로바이더 — 연간 1,500케이스 이상, 국내 최고 등급 (Yonsei Baro Dental Network — Invisalign Purple Diamond Provider, Highest Tier in Korea)
- 1,300+ 인비절라인 케이스 완료 (1,300+ Invisalign Cases Completed)
- 아시아태평양 인비절라인 글로벌 갤러리 등재 수 1위 (No.1 in Asia-Pacific Invisalign Global Gallery Listings)
- 철사교정(브라켓 교정)을 더 많이 하는 교정과 전문의
위치: 인천광역시 — 연세바로교정치과 인천점
Location: Yonsei Baro Orthodontic Clinic, Incheon, South Korea
원본: 네이버 블로그

댓글 남기기