인비절라인은 수련의 때 배우는 치료가 아닙니다. 인비절라인 후기기록 겸 알려드리는 정보
안녕하세요 안상수입니다.
요즘은 바쁘다는 핑계로 블로그 보다는 유튜브 라이브에서 소통하고 있습니다
라이브는 켜놓고 할일하면서 이야기만 하면 되니까 조금 더 편한 것 같아요 ㅎ
저는 인천연세바로치과교정과 대표원장입니다.
현재 인비절라인 블루다이아 등급, 국내 최다 글로벌갤러리 등재, 그리고 인비절라인 강연자로 활동하고 있습니다.


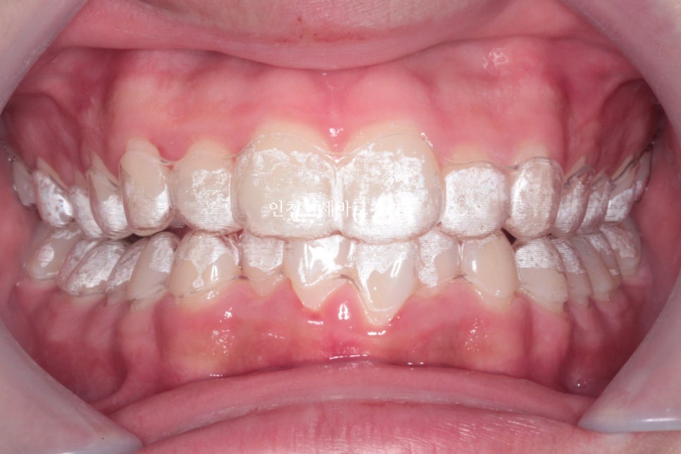
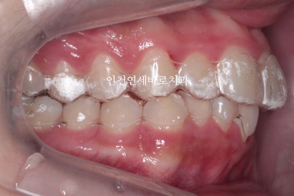
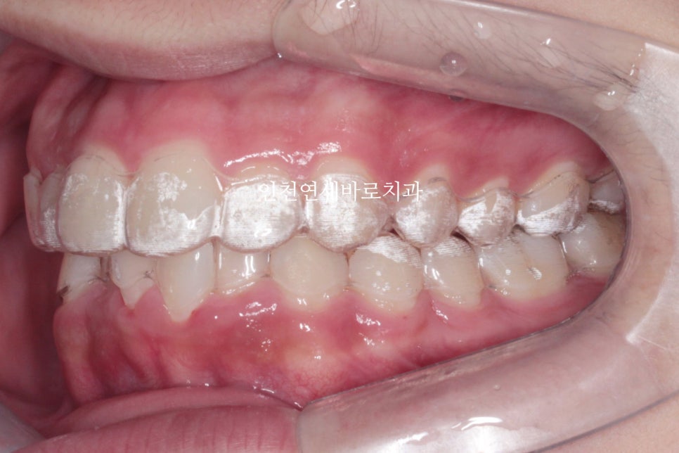
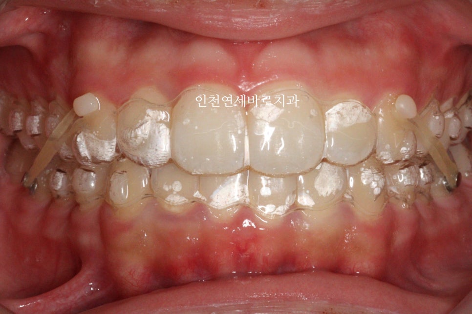
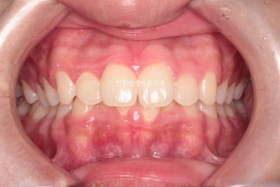
21년 4월에 왔던 아이입니다.
아이의 치료를 이야기하며 인비절라인 이야기를 해보겠습니다.
인비절라인은 저도 수련받던 시절에 배운 치료가 아닙니다.
요즘 수련의 선생님들은 조금 배우고 나오는 것 같습니다.
하지만 저는 전혀 못 배웠어요.
2011년도에 미국에 있는 대학교에 교환 레지던트(옵저베이션 ㅎㅎ) 갔을때 수많은 인비절라인 치료를 보고는 왔는데…
너무나 다른 세상 이야기라고 생각하고 관심을 두지 않았어요
그러던 제가 이렇게 인비절라인 치료를 하고 있다니 세상일은 모르는 일이네요

투명교정이라고 하면 극과 극의 이미지인것 같습니다.
사기 라는 이미지와 너무 좋다는 이미지
2015년쯤 대한민국을 시끄럽게 했던 투명교정치과 사건을 생각하면 사기같고
최근 인비절라인을 듣고보다보면 너무나 좋아보입니다.
둘다 맞아요 아직도.


인비절라인이라고 하는 교정치료를 하기 위해서는 투명교정치료의 물리학적인 특성에 대한 이해가 필요합니다.
교정치료에 대한 이해는 모든 교정과 원장님들이 갖춘 지식이구요
브라켓과 다름에 대한 이해만 추가하면 됩니다.
하지만 이에 대해서는 수련의때 배운 지식이 없어서 개인병원에서 배워야 합니다.
배우고 적용해보고 수정해 나가는 과정이 필요할 수 밖에 없습니다.

저도 이 과정을 거치고 지금 진료를 하고 있습니다.
이제는 어느정도의 수준이 되어 감히 제가 교정과선생들께 인비절라인을 가르쳐드리고 있습니다.
교정치료에 대한 진단이 원장님들마다 다른 이유는 원장님들마다의 관점이 다르기 때문입니다.
하지만 인비절라인의 진단이 다를 수 있는 것은 추가적으로 경험의 차이가 있을 수 있습니다.


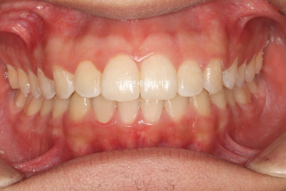
인비절라인으로 과개교합과 삐뚤삐뚤 덧니가 개선되었습니다.
인비절라인을 처음 100개를 진행할때까지도 잘 몰랐습니다.
정말 머리를 싸매고 책을 보고 논문을 보고, 잘 안되면 연구하고 잘되면 왜 잘되었는지를 계속 고민했습니다.
치료계획을 만드는 것은 치료계획일 뿐이라 실제 치료와는 전혀 다르거든요
이제는 어느덧 600개를 넘어 700개에 가까워 지고 있답니다.
경험이 많이 쌓이고 나니 점점 보는 눈이 넓어지고 치료를 조금 더 깊에 이해할 수 있게 되었습니다.


웃는? 모습입니다. 어떤 치열이 좋아보이나요
가정의 달을 맞아 온 가족이 건강한 치열을 위해 상담 받아보시는 것을 추천드립니다.
연세바로치과는 10개지점 운영하고 있습니다

연세바로치과에서 교정치료를 받으시면 분명 장점이 있을 겁니다 ^^

자주 묻는 질문 (FAQ)
인비절라인은 치과대학에서 배우는 치료인가요?
인비절라인은 전통적인 치과대학 교육과정이나 교정과 수련의 과정에서 체계적으로 배우는 치료가 아닙니다. 개인병원에서 별도로 학습하고 경험을 쌓아야 하는 치료 방법입니다.
인비절라인 치료를 위해서는 어떤 지식이 필요한가요?
인비절라인 치료를 위해서는 투명교정치료의 물리학적 특성에 대한 이해가 필요합니다. 기본적인 교정치료 지식 외에 브라켓과의 차이점을 이해하고 개별적인 학습과 경험이 필요합니다.
인비절라인 퍼플 다이아몬드 프로바이더란?
연세바로치과네트워크는 인비절라인 퍼플 다이아몬드 프로바이더로, 연간 1,500케이스 이상 치료 실적을 가진 치과에 부여되는 국내 최고 등급입니다.
인천에서 교정과 전문의가 있는 치과는?
연세바로교정치과 인천점에는 교정과 전문의가 있으며, 인비절라인 블루다이아 등급의 원장이 진료를 담당하고 있습니다.
투명교정에 대한 인식은 어떤가요?
투명교정에 대한 인식은 극과 극입니다. 2015년 투명교정치과 사건으로 인한 부정적 이미지와 최근 인비절라인의 긍정적 이미지가 공존하고 있습니다.
인비절라인으로 어떤 치료가 가능한가요?
인비절라인으로 과개교합과 삐뚤삐뚤한 덧니 등의 교정치료가 가능합니다. 치료 결과는 의사의 경험과 진단 능력에 따라 달라질 수 있습니다.
Summary in English
English Summary
- Invisalign is not taught during traditional dental school or orthodontic residency training programs
- Understanding the physics of clear aligner therapy is essential for successful Invisalign treatment
- Dr. Ahn Sang-soo achieved Blue Diamond status and is a recognized Invisalign lecturer in Korea
- Individual learning and experience accumulation in private practice is necessary for Invisalign proficiency
- Treatment planning differs from actual treatment results, requiring continuous study and adjustment
- The case presented shows successful treatment of overbite and crowded teeth over 2 years
- Yonsei Baro Dental operates 10 locations across Korea
What qualifications does Dr. Ahn Sang-soo have for Invisalign treatment?
Dr. Ahn Sang-soo is an orthodontist in Incheon Korea with Invisalign Blue Diamond status, multiple Global Gallery cases, and serves as an Invisalign lecturer to other orthodontists.
Is Invisalign taught in orthodontic residency programs?
Invisalign is not traditionally taught during orthodontic residency training. Practitioners must learn clear aligner therapy through continuing education and clinical experience in private practice.
What makes Yonsei Baro Dental Network special for Invisalign treatment?
Yonsei Baro Dental Network is an Invisalign Purple Diamond Provider, representing the highest tier in Korea for practices treating over 1,500 cases annually.
How long did this Invisalign case take to complete?
The presented case took approximately 2 years (April 2021 to May 2023) to successfully correct overbite and dental crowding issues.
Keywords: orthodontist in Incheon Korea, Invisalign Purple Diamond Provider, Korean orthodontist, clear aligner therapy, dental correction, Yonsei Baro Dental Network
글쓴이 소개 | About the Author
안상수 원장 | Dr. Sangsu An, DDS, MSD
- 대한민국 교정과 전문의 (Korean Board-Certified Orthodontist)
- 연세바로교정치과 인천점 대표원장 (Director, Yonsei Baro Orthodontic Clinic, Incheon, South Korea)
- 인비절라인 패컬티 (Invisalign Faculty)
- 연세바로치과네트워크 인비절라인 퍼플 다이아몬드 프로바이더 — 연간 1,500케이스 이상, 국내 최고 등급 (Yonsei Baro Dental Network — Invisalign Purple Diamond Provider, Highest Tier in Korea)
- 1,300+ 인비절라인 케이스 완료 (1,300+ Invisalign Cases Completed)
- 아시아태평양 인비절라인 글로벌 갤러리 등재 수 1위 (No.1 in Asia-Pacific Invisalign Global Gallery Listings)
- 철사교정(브라켓 교정)을 더 많이 하는 교정과 전문의
위치: 인천광역시 — 연세바로교정치과 인천점
Location: Yonsei Baro Orthodontic Clinic, Incheon, South Korea
원본: 네이버 블로그

댓글 남기기