인비절라인 과개교합, 뻗친 치아 비발치 치료 후기 치료기간 1년
안녕하세요 인비절라인 글로벌갤러리 등재 현재 대한민국 최다증례 보유 안상수 원장입니다.
혼자 자랑하려니 조금 부끄럽지만
이렇게 알려야
제가 이 포스팅에서 하는 말들이 신뢰가 올라갈 것을 알기에


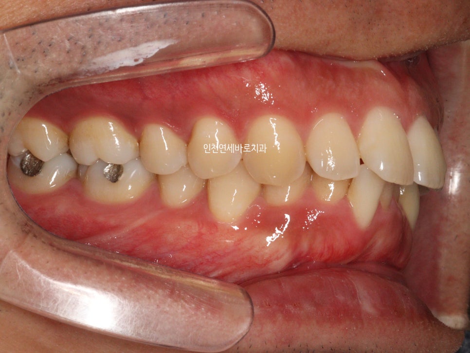
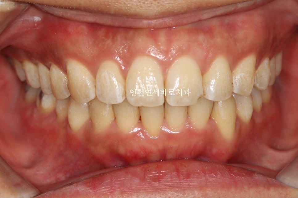
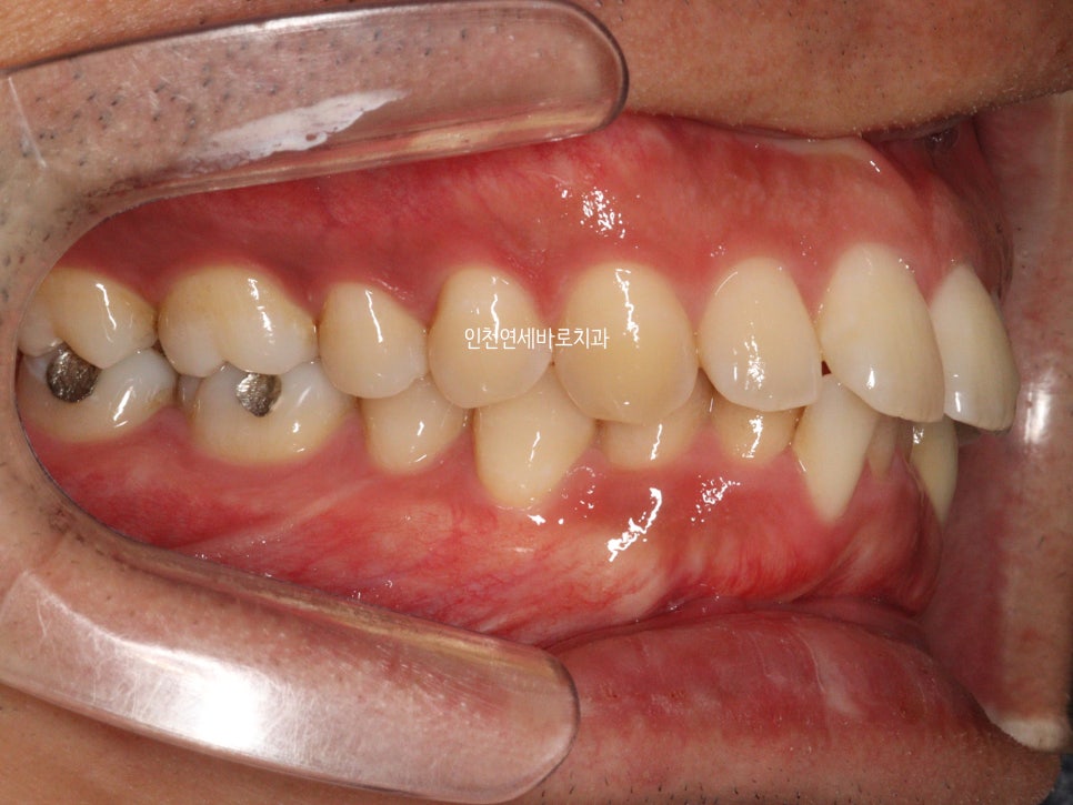
앞니가 뻗쳐있고, 아래치아가 안보이고
덧니가 심해서 내원한 환자분입니다
내원 당일 정밀진단 후 인비절라인 주문까지 진행하셨습니다.
약 1달의 제작기간이 소요된 후 2023.5.17에 치료를 시작하셨습니다.


인비절라인은 과개교합에 유리하다.
라는 말들이 많습니다.
저도 처음에 이렇게 알고 시작을 했습니다.
그러려니.
막상 해보면 참 어려운것이 '과개교합'의 치료입니다.
이런 노하우를 알게 되고, 임상에 적용하여 좋은 결과를 얻기까지 적지 않은 시간이 필요했습니다.


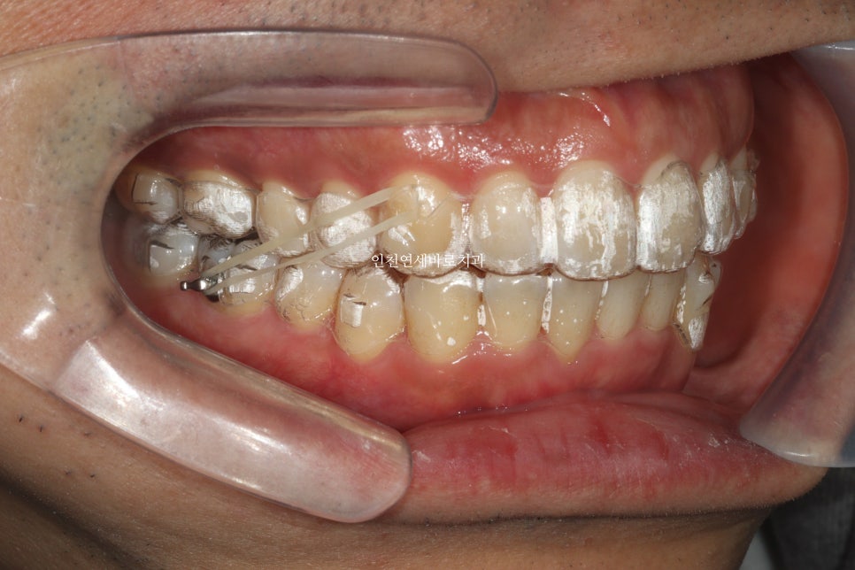
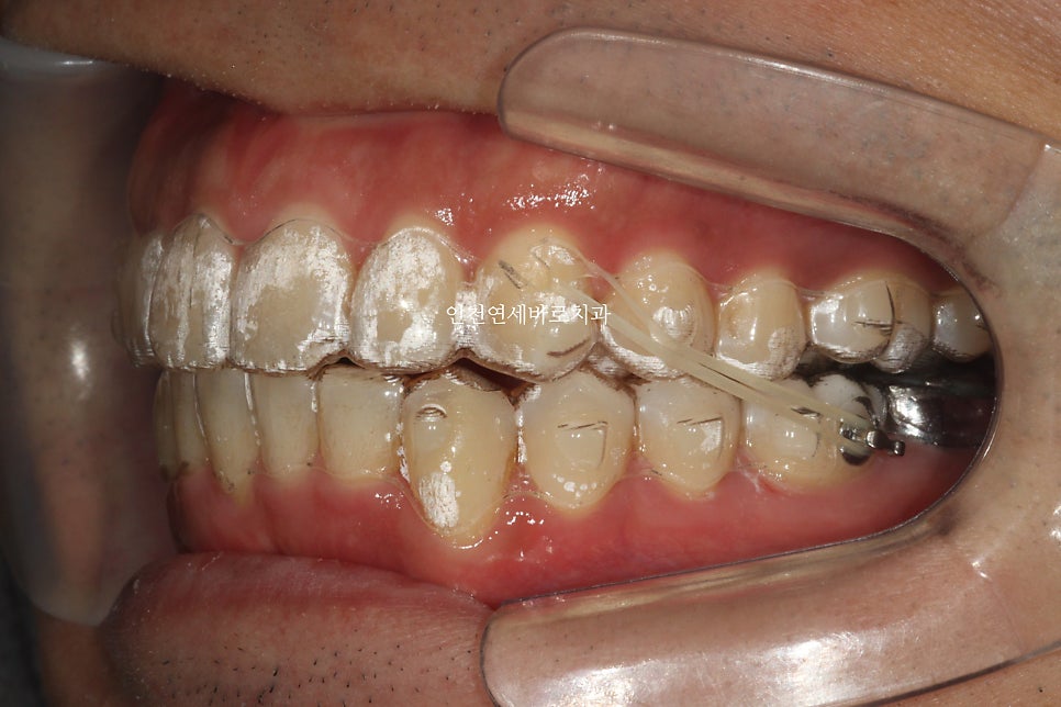
한번의 재제작을 시행하였습니다.
환자분의 협조도의 문제일 수 있고,
열심히 착용해도 치아가 예상보다 덜 움직일 수도 있습니다.
인체의 신비정도로 설명하고 있습니다.
예상보다 덜 움직인 경우에는 아주 미세한 정도 안맞지, 완전 안맞는건 환자분의 협조도 문제입니다.


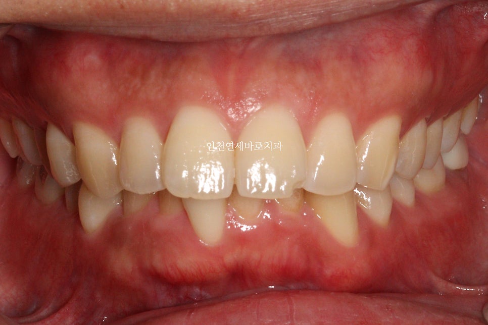
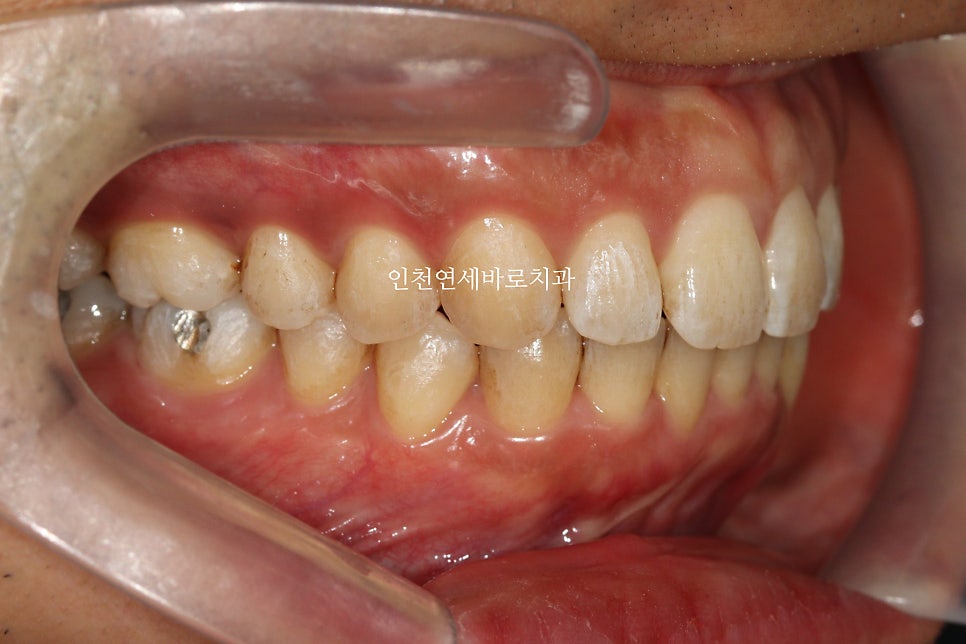
치료 전과 후의 비교입니다.
1회의 재제작.
각 제작마다 1달의 시간 소요
실질 치료기간 약 1년입니다.


교합도 양호하게 마무리.
인비절라인은 교합이 맞지 않는다? 라는 말은 가스라이팅 당하신겁니다.
교합 맞추는 노하우가 있죠


과개교합의 치료를 인비절라인으로 할때는 중요한 포인트가 몇개 있습니다.
이걸 챙기지 않으면 치료가 엄청 길어질 수 있습니다.


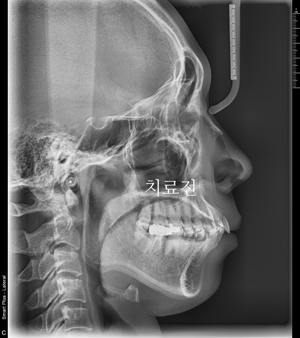
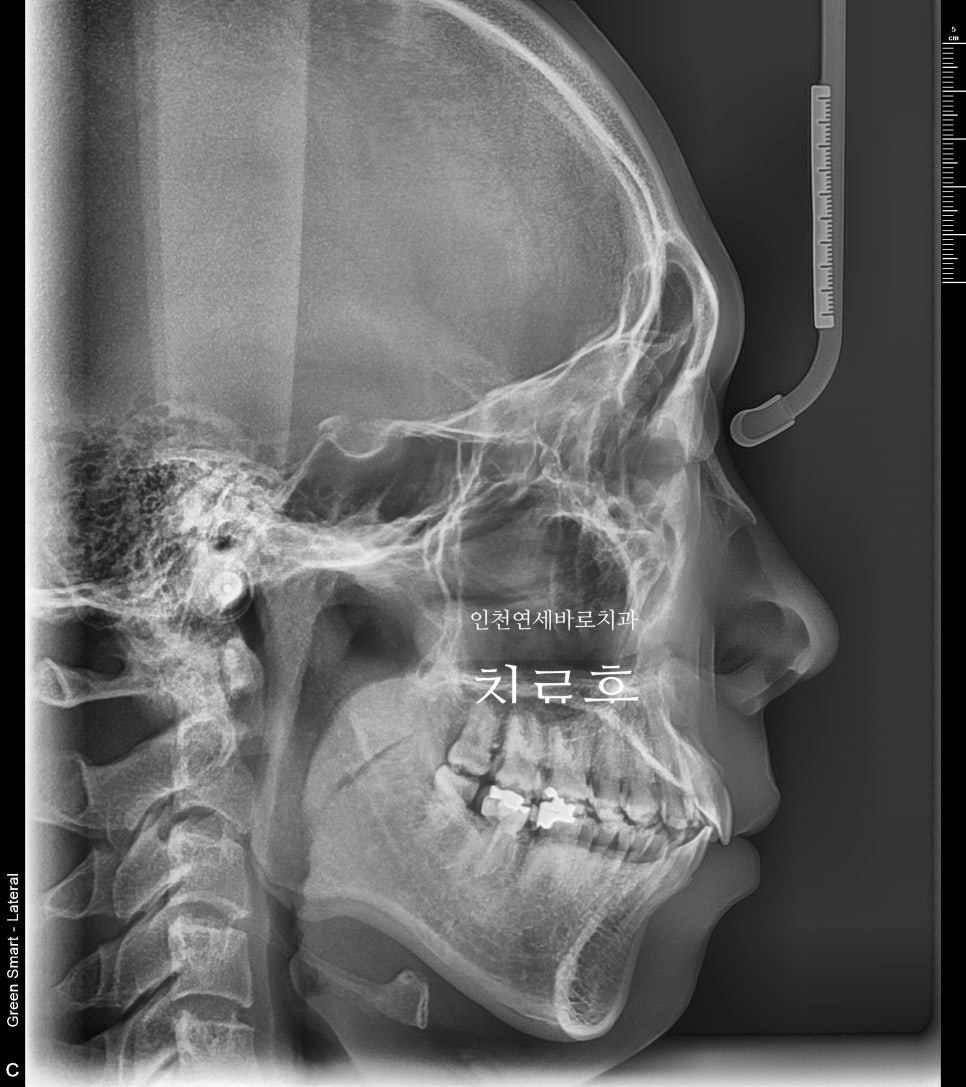
치료전과 후의 엑스레이 입니다.
악궁의 확장을 통한 앞니의 후방이동도 최대한 이루어냈습니다.

자주 묻는 질문 (FAQ)
인비절라인으로 과개교합 치료가 가능한가요?
인비절라인으로 과개교합 치료가 가능합니다. 다만 치료 난이도가 높아 전문적인 노하우와 경험이 필요합니다. 이 사례에서는 1회 재제작을 통해 약 1년간의 치료 기간으로 과개교합과 뻗친 앞니를 성공적으로 교정했습니다.
인비절라인 치료 중 재제작이 필요한 이유는 무엇인가요?
재제작이 필요한 경우는 두 가지입니다. 첫째, 환자의 착용시간 부족 등 협조도 문제로 치아가 예상대로 움직이지 않은 경우, 둘째, 충분히 착용해도 개인차에 의해 치아가 예상보다 덜 움직인 경우입니다. 각 제작마다 약 1달의 제작 기간이 소요됩니다.
인비절라인으로 교합을 정확히 맞출 수 있나요?
인비절라인으로도 정확한 교합 조정이 가능합니다. 이 사례에서 보듯이 치료 후 교합이 양호하게 마무리되었습니다. 교합을 정확히 맞추기 위해서는 전문적인 치료 계획과 노하우가 필요합니다.
뻗친 앞니를 발치 없이 치료할 수 있나요?
이 사례처럼 악궁 확장을 통한 앞니의 후방이동으로 발치 없이 치료가 가능한 경우가 있습니다. 다만 개별 케이스에 따라 치료 방법이 달라지므로 정밀 진단을 통해 치료 계획을 수립해야 합니다.
인천에서 교정과 전문의가 있는 치과는?
연세바로교정치과 인천점에는 교정과 전문의가 있습니다. 전문의는 치과대학 졸업 후 교정과 전공의 과정을 이수하고 보건복지부에서 인정하는 교정과 전문의 자격을 취득한 의사입니다.
인비절라인 퍼플 다이아몬드 프로바이더란?
연세바로치과네트워크는 인비절라인 퍼플 다이아몬드 프로바이더입니다. 이는 연간 1,500케이스 이상의 치료 실적을 가진 치과에 부여되는 국내 최고 등급으로, 풍부한 임상 경험과 전문성을 인정받은 것입니다.
Summary in English
Invisalign Treatment for Severe Overbite and Protruding Teeth – 1 Year Case Study
Treatment Summary
- Patient presented with severe overbite, protruding front teeth, and crowded teeth in April 2023
- Non-extraction treatment approach using Invisalign aligners
- Treatment duration: approximately 1 year with one refinement
- Successful correction achieved through arch expansion and anterior retraction
- Final result showed proper occlusion and aligned teeth
Key Treatment Points
- Overbite correction with Invisalign requires specific clinical expertise and techniques
- One refinement was necessary during treatment, which is common in complex cases
- Manufacturing time for each set of aligners: approximately 1 month
- Proper occlusion was achieved, contradicting misconceptions about Invisalign’s limitations
FAQ
Can Invisalign effectively treat severe overbite cases?
Yes, Invisalign can treat severe overbite cases, but it requires specialized knowledge and experience. This case demonstrates successful treatment of overbite and protruding teeth within one year.
Why might refinements be necessary during Invisalign treatment?
Refinements may be needed due to patient compliance issues or individual biological variations in tooth movement response, even with proper aligner wear.
Is non-extraction treatment possible for protruding teeth?
Yes, as shown in this case, arch expansion and posterior movement of anterior teeth can achieve correction without extractions in suitable cases.
Where can I find an orthodontist in Incheon Korea for Invisalign treatment?
Yonsei Baro Orthodontic Clinic Incheon branch has qualified orthodontists specializing in Invisalign treatment as a Purple Diamond Provider.
Keywords
orthodontist in Incheon Korea, Invisalign Purple Diamond Provider, Korean orthodontist, overbite correction, non-extraction orthodontic treatment, Invisalign refinement, anterior retraction, arch expansion
글쓴이 소개 | About the Author
안상수 원장 | Dr. Sangsu An, DDS, MSD
- 대한민국 교정과 전문의 (Korean Board-Certified Orthodontist)
- 연세바로교정치과 인천점 대표원장 (Director, Yonsei Baro Orthodontic Clinic, Incheon, South Korea)
- 인비절라인 패컬티 (Invisalign Faculty)
- 연세바로치과네트워크 인비절라인 퍼플 다이아몬드 프로바이더 — 연간 1,500케이스 이상, 국내 최고 등급 (Yonsei Baro Dental Network — Invisalign Purple Diamond Provider, Highest Tier in Korea)
- 1,300+ 인비절라인 케이스 완료 (1,300+ Invisalign Cases Completed)
- 아시아태평양 인비절라인 글로벌 갤러리 등재 수 1위 (No.1 in Asia-Pacific Invisalign Global Gallery Listings)
- 철사교정(브라켓 교정)을 더 많이 하는 교정과 전문의
위치: 인천광역시 — 연세바로교정치과 인천점
Location: Yonsei Baro Orthodontic Clinic, Incheon, South Korea
원본: 네이버 블로그

댓글 남기기