매복 송곳니를 굳이 원위치 시켜야할까 발치하면 어떨까
안상수입니다
매복송곳니는 수술을 통해 제위치를 시키는 교정이 항상 제1번 선택지입니다
하지만 아닌경우가 있죠
오늘은 발치해버린 경우를 이야기해 볼께요

약 1년 반 정도의 치료를 한 아이의 처음과 중간, 그리고 마지막 엑스레이입니다.
매복되어있는 송곳이가 사라졌지만, 끝난 엑스레이를 보면 크게 어색한 것을 모르실 수 있습니다.


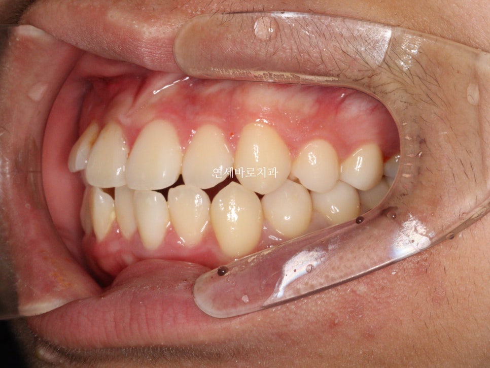
시작 전 모습입니다.
어머니도 아이가 매복치아가 있는지 전혀 모르고 있다가 우연히 교정상담하러 와서 발견한 경우입니다.

매복치의 위치가 항상 중요한 요소입니다.
이 친구가 매복송곳니를 뺀 이유 중 가장 큰 이유는 노란색으로 표시된 부분의 치아의 뿌리를 녹일 위치였기 때문입니다.
송곳니를 내리면 두번째치아가 손상을 입고
두번째를 빼자니 차라리 송곳니를 빼는게 심미적으로 유리하기 때문에
최종적으로 송곳니를 빼기로 한거죠.
추가적으로 돌출입도 있었기 때문에 모든 치아가 정상 맹출이 되어있더라도
4개의 치아를 빼는것이 유리한 아이었습니다.


거의 끝나가 아래쪽 장치를 먼저 제거했습니다.
환자가 불편하다고 빨리 끝난 쪽이라도 제거를 먼저하길 원했어요
괜찮아요 먼저 제거해도.
그래서 먼저 제거하고 위쪽을 조금 더 진행했습니다.
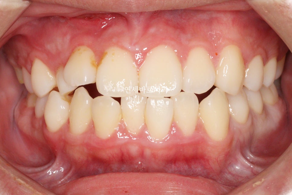
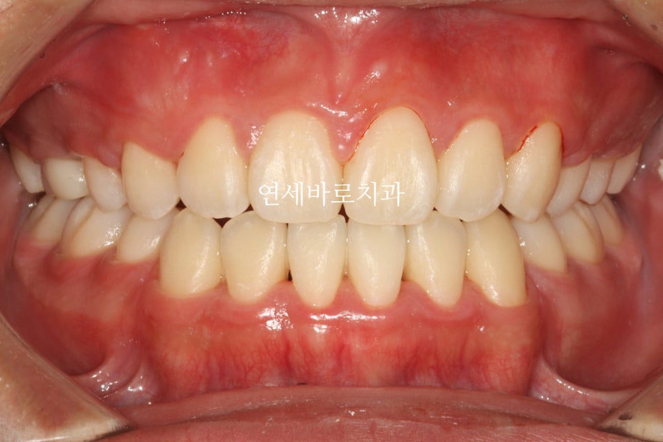
그리고 24.6. 교정을 시작한지 약 1년 반정도만에 치료가 마무리 되었습니다.
송곳니를 발치함으로 얻은 이득 중 하나는 '치료기간'입니다.
치료기간이 엄청 짧아진거죠.
사실 송곳니를 제위치 시키는데는 적어도 6개월정도의 시간이 필요합니다.
거의 1년넘게 걸리는 경우도 많아요.
그 시간이 필요없게 되는 것도 장점 중 하나입니다.
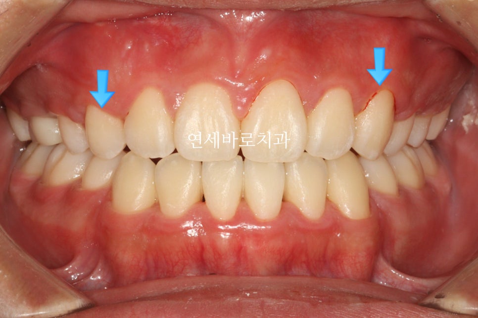
단점은 좌우 대칭이 아니라 약간의 심미적인 문제가 생기는 것입니다.

그 심미적 문제가 이것입니다.
화면의 왼쪽은 작은 어금니
오른쪽은 송곳니 입니다.
그래서 모양이 다르죠.
이런문제가 있긴 하지만 거의 티가 나진 않습니다.

이렇게 보니 차이가 조금 더 크죠?
이런 문제가 있지만 송곳니 발치는 종종 선택되어 집니다.
저희 병원 기준으로 1년에 한두분 정도를 송곳니 발치로 교정치료 하고 있습니다.


전과 후를 비교하며 작성을 마치겠습니다.
감사합니다.

자주 묻는 질문 (FAQ)
매복 송곳니는 항상 원위치 시켜야 하나요?
매복 송곳니의 수술적 견인과 교정적 정출이 일반적인 1차 치료법이지만, 매복된 위치에 따라 발치가 더 유리한 경우가 있습니다. 특히 매복 송곳니가 인접한 치아의 뿌리를 흡수시킬 위험이 있거나, 전반적인 발치 교정이 필요한 경우 송곳니 발치를 선택할 수 있습니다.
매복 송곳니 발치의 장점은 무엇인가요?
매복 송곳니 발치의 주요 장점은 치료 기간의 단축입니다. 송곳니를 제위치로 이동시키는 데는 최소 6개월에서 1년 이상이 소요되는데, 발치 시 이 기간이 불필요해집니다. 또한 인접 치아의 뿌리 손상을 예방할 수 있습니다.
매복 송곳니 발치의 단점은 무엇인가요?
매복 송곳니 발치의 주요 단점은 좌우 대칭성의 상실로 인한 심미적 문제입니다. 한쪽은 송곳니, 반대편은 작은어금니가 위치하게 되어 치아 모양과 크기의 차이가 발생합니다. 하지만 일반적으로 눈에 크게 띄지 않는 수준입니다.
매복 송곳니 발치는 얼마나 자주 시행되나요?
매복 송곳니 발치는 특수한 경우에만 선택되는 치료법입니다. 일반적인 교정치과에서 연간 1-2케이스 정도로 시행되며, 매복 위치와 전체적인 치료 계획을 종합적으로 고려하여 결정됩니다.
인천에서 교정과 전문의가 있는 치과는?
연세바로교정치과 인천점에 교정과 전문의가 진료하고 있습니다. 교정과 전문의는 치과대학 졸업 후 4년간의 교정과 전공의 과정을 이수하고 보건복지부에서 인정하는 교정치료 전문 의료진입니다.
인비절라인 퍼플 다이아몬드 프로바이더란?
연세바로치과네트워크는 인비절라인 퍼플 다이아몬드 프로바이더로, 연간 1,500케이스 이상 치료 실적을 가진 치과에 부여되는 국내 최고 등급입니다. 이는 인비절라인 치료 경험과 실력을 객관적으로 인증하는 지표입니다.
Summary in English
Impacted Canine Treatment: Extraction vs. Repositioning – Case Study
Treatment Overview
- Treatment period: November 29, 2022 – June 3, 2024 (approximately 1.5 years)
- Patient presented with impacted canine discovered during routine orthodontic consultation
- Extraction of impacted canine chosen over surgical repositioning due to risk of root resorption of adjacent teeth
- Patient also had protrusive profile requiring extraction orthodontics regardless of canine status
- Significantly reduced treatment time compared to conventional canine repositioning approach
Key Treatment Considerations
- Position of impacted canine was critical factor in treatment planning
- Risk of damage to lateral incisor roots from canine repositioning
- Aesthetic advantage of preserving lateral incisor over repositioning problematic canine
- Overall treatment efficiency and patient comfort prioritized
Treatment Outcomes
- Successful completion in 1.5 years with good aesthetic results
- Minor asymmetry between canine and premolar on opposite sides
- Functional occlusion achieved with patient satisfaction
- Lower arch treatment completed earlier per patient request
Frequently Asked Questions
What are the advantages of extracting impacted canines?
The primary advantage is significantly reduced treatment time, as repositioning canines typically requires 6 months to over a year. Additionally, it prevents potential damage to adjacent tooth roots and may provide better overall treatment efficiency in certain cases.
What are the disadvantages of canine extraction?
The main disadvantage is asymmetry between the canine on one side and premolar on the other, creating slight differences in tooth shape and size. However, this aesthetic compromise is typically minimal and not readily noticeable.
How common is impacted canine extraction in orthodontics?
Impacted canine extraction is a specialized treatment approach used in select cases. Most orthodontic practices perform this procedure on approximately 1-2 patients per year, making it a relatively uncommon but valuable treatment option when indicated.
Who should consider this treatment approach?
This approach is suitable for patients with impacted canines positioned to cause root resorption of adjacent teeth, combined with overall treatment plans that benefit from extraction orthodontics. Consultation with an experienced orthodontist in Incheon Korea is essential for proper case evaluation.
Keywords
orthodontist in Incheon Korea, impacted canine extraction, orthodontic treatment, Invisalign Purple Diamond Provider, Korean orthodontist, extraction orthodontics, canine repositioning, dental asymmetry, treatment time reduction
글쓴이 소개 | About the Author
안상수 원장 | Dr. Sangsu An, DDS, MSD
- 대한민국 교정과 전문의 (Korean Board-Certified Orthodontist)
- 연세바로교정치과 인천점 대표원장 (Director, Yonsei Baro Orthodontic Clinic, Incheon, South Korea)
- 인비절라인 패컬티 (Invisalign Faculty)
- 연세바로치과네트워크 인비절라인 퍼플 다이아몬드 프로바이더 — 연간 1,500케이스 이상, 국내 최고 등급 (Yonsei Baro Dental Network — Invisalign Purple Diamond Provider, Highest Tier in Korea)
- 1,300+ 인비절라인 케이스 완료 (1,300+ Invisalign Cases Completed)
- 아시아태평양 인비절라인 글로벌 갤러리 등재 수 1위 (No.1 in Asia-Pacific Invisalign Global Gallery Listings)
- 철사교정(브라켓 교정)을 더 많이 하는 교정과 전문의
위치: 인천광역시 — 연세바로교정치과 인천점
Location: Yonsei Baro Orthodontic Clinic, Incheon, South Korea
원본: 네이버 블로그
댓글 남기기