결손치아 티안나게, 임플란트없이 교정치료로 마무리 후기 기록
안상수 입니다.
요즘은 평일 오전 10시쯤 라이브를 진행하고 있으니 궁금한것이 있는 분들은 라이브에서 물어보셔도 됩니다.
보통 화 금 오전에는 진행하며, 월 수는 간헐적으로 진행합니다.
결손치아가 있으면 멘붕이 옵니다

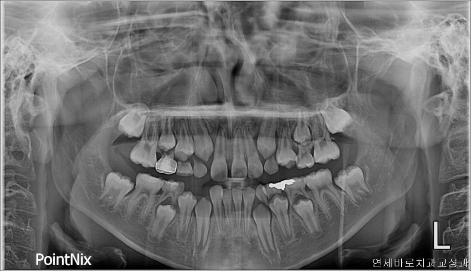
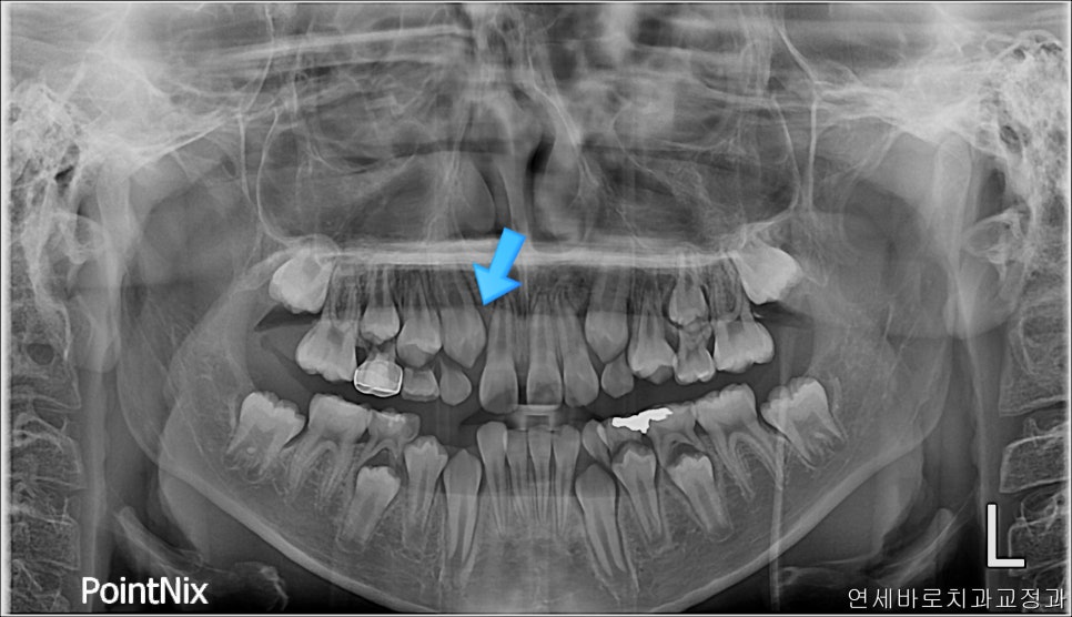
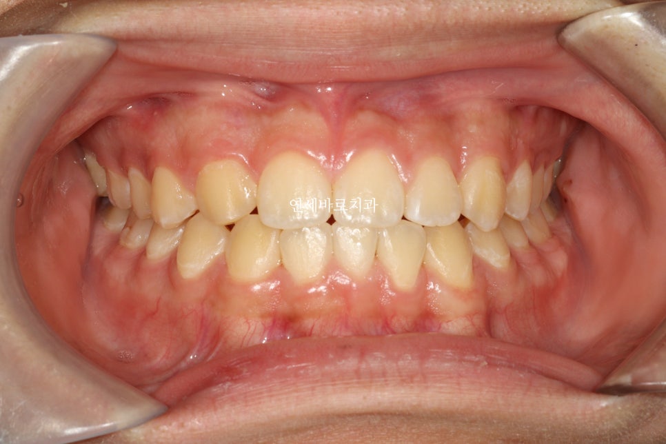
처음 우리병원 왔을때 사진입니다

여기 오른쪽 두번째 앞니가 없는것이 발견되었습니다.
어금니가 없으면 티가 안나고, 문제가 된다해도 임플란트 하면 되는데.
앞니는 티도 많이 나고, 임플란트도 안예쁠 수 있으니 조금 더 어렵게 접근해야합니다

얼굴 전체의 중심선과도 많이 벗어난 모습입니다.
위아래 치아끼리의 중심선은 안맞아도, 위치아의 중심선과 얼굴 전체의 중심선은 일치하는 것이 보기 좋습니다.
결손치아가 있는 경우에는 오랜기간 동안 준비를 해서 치료를 해야합니다.
성장도 최대한 이용하고, 치아의 이동도 계획적으로 진행하는 경우가 많습니다.
이 친구도 1차적인 준비를 했고, 2차교정으로 배열까지 해서 마무리를 했습니다.

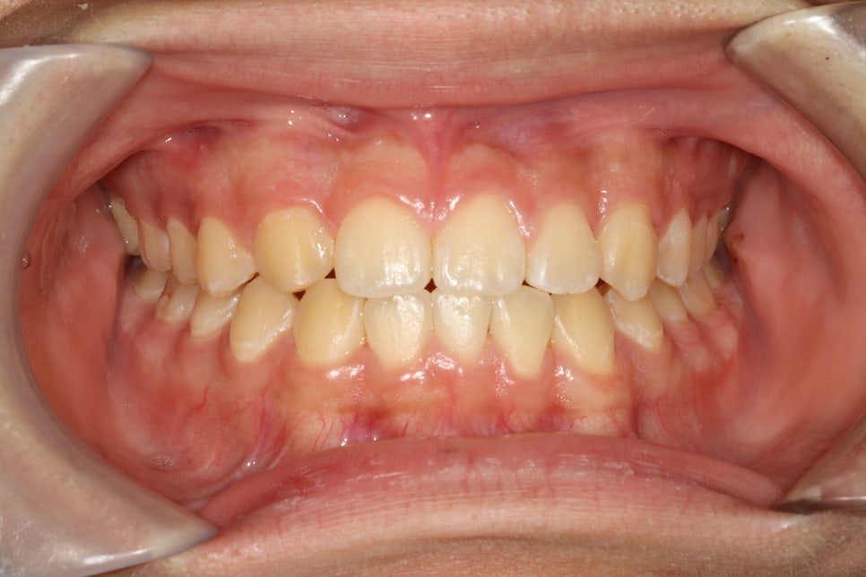
최종 치료가 마무리된 모습입니다.

얼굴 중심선과 위 치아의 중심선이 일치하고, 그 위의 사진을 보면 위 아래 치아의 중심선도 일치하고 있습니다.
어떤 치료를 했는지 궁금하시죠.
하나씩 보겠습니다.

처음에는 페이스마스크를 사용했습니다.
주걱턱 교정에 사용하는 장치지만, 그 목적으로 사용한 것은 아닙니다.
잠시 페이스마스크를 사용했고, 이후 치아의 위치들을 바꿔주기 위한 구내장치도 사용했습니다.

장치의 세부 목적은 생략할께요
이렇게 준비를 하고 나서 2차교정이 시작되었습니다.
이때 아래 앞니를 하나 발치했습니다.
이유는 치아의 갯수를 맞추고, 중심선을 일치시키기 위함입니다.
필수는 아니었지만, 상담 후 결정하였습니다.

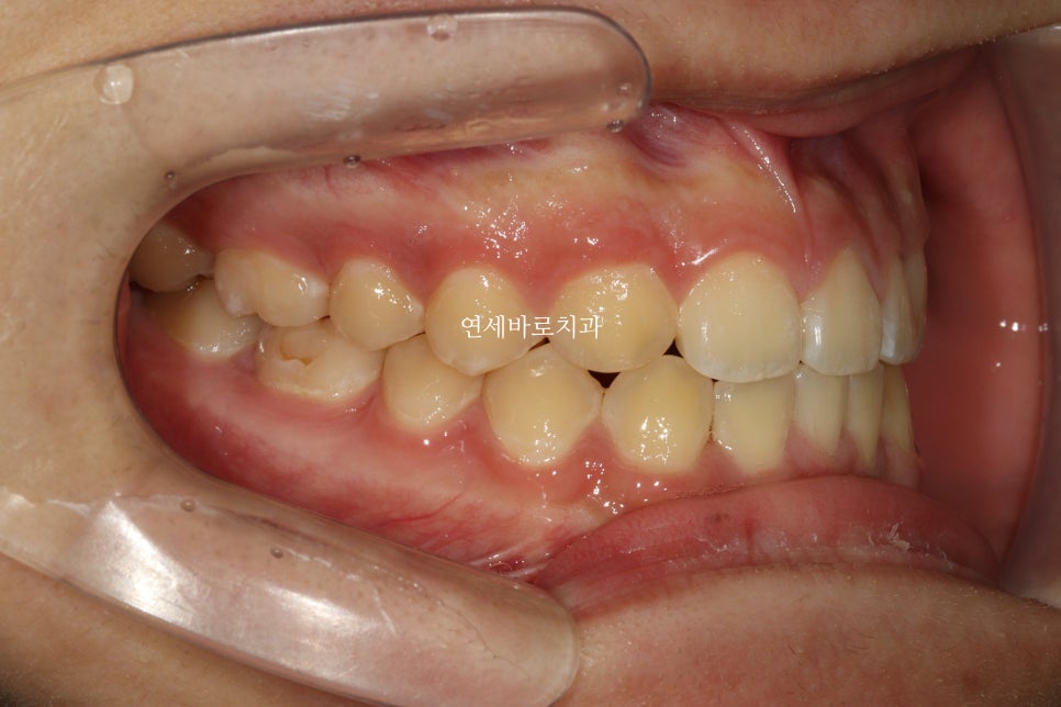
1차교정 후 2차 시작 직전의 모습입니다.
이게 무슨 교정을 한거냐 싶겠지만, 아래쪽은 일부러 남겨둔 상태이며, 위쪽 중심선을 얼굴 중심선과 일치시키며, 공간을 모두 패쇄했습니다.
화살표 치아를 발치했고, 클리피씨를 이용해 치료를 진행했습니다.
그리고 치료가 끝나고





모습입니다.
알고보면 양쪽 치아의 구성 및 배열, 교합이 다른것이 보이지만,
대충 보시면 어디가 결손이고, 어디를 발치했는지 모르실 수 있습니다.

항상 치아교정은 다양한 부작용이 있으니 원장님과의 상담 후 치료를 결정하시길 바랍니다.
자주 묻는 질문 (FAQ)
결손치아가 있을 때 임플란트 대신 교정치료가 가능한가요?
앞니 결손치아의 경우 임플란트보다 교정치료로 공간을 폐쇄하는 것이 심미적으로 더 좋은 결과를 얻을 수 있습니다. 하지만 오랜 기간의 계획적인 치료가 필요하며, 성장기를 이용한 단계적 접근이 중요합니다.
결손치아 교정에서 중심선 맞추기가 중요한 이유는?
위아래 치아끼리의 중심선은 안 맞아도 되지만, 위 치아의 중심선과 얼굴 전체의 중심선은 일치하는 것이 심미적으로 중요합니다. 이를 위해 때로는 반대편 치아를 발치하여 치아 개수를 맞추기도 합니다.
결손치아 교정에서 페이스마스크를 사용하는 이유는?
페이스마스크는 주걱턱 교정에 주로 사용되지만, 결손치아 교정에서는 치아의 위치를 바꿔주기 위한 준비 단계로 사용됩니다. 이후 구내장치와 함께 단계적으로 치료를 진행합니다.
결손치아 교정에서 1차, 2차 교정을 나누는 이유는?
결손치아 교정은 복잡한 치료 과정을 거쳐야 합니다. 1차 교정에서는 페이스마스크와 구내장치로 기본적인 위치 조정을, 2차 교정에서는 클리피씨 등을 이용해 최종 배열과 교합을 완성합니다.
인천에서 교정과 전문의가 있는 치과는?
연세바로교정치과 인천점에는 교정과 전문의가 있습니다. 교정과 전문의는 치과대학 졸업 후 교정치료 전문 수련 과정을 이수한 의료진입니다.
인비절라인 퍼플 다이아몬드 프로바이더란?
연세바로치과네트워크는 인비절라인 퍼플 다이아몬드 프로바이더로, 연간 1,500케이스 이상 치료 실적을 가진 치과에 부여되는 국내 최고 등급입니다.
Summary in English
Orthodontic Treatment for Missing Teeth Without Implants: A Case Study
Treatment Overview
- Patient presented with missing upper lateral incisor causing facial asymmetry
- Treatment began in August 2018 with comprehensive orthodontic approach
- Two-phase treatment plan implemented to avoid implant placement
- Final results achieved in January 2024 with proper midline alignment
- Space closure accomplished through strategic tooth movement and extraction
Treatment Process
- Phase 1: Face mask and intraoral appliances for initial positioning
- Strategic extraction of lower anterior tooth for symmetry
- Phase 2: Comprehensive fixed appliance therapy with Clippy-C system
- Midline correction to match facial centerline
- Final occlusal adjustment and space closure
FAQ
Can missing teeth be treated with orthodontics instead of implants?
Yes, especially for anterior missing teeth, orthodontic space closure can provide better aesthetic results than implants. However, this requires long-term planning and staged treatment approach.
Why is midline alignment important in missing tooth cases?
While upper and lower dental midlines don’t need to match perfectly, aligning the upper dental midline with the facial midline is crucial for optimal aesthetics.
What makes this treatment different from regular orthodontics?
Missing tooth orthodontics requires specialized planning, often involving growth utilization, strategic extractions, and multi-phase treatment protocols to achieve optimal results.
How long does orthodontic treatment for missing teeth typically take?
Based on this case, treatment extended from 2018 to 2024, indicating that comprehensive missing tooth orthodontics requires several years of careful, staged intervention.
Keywords
orthodontist in Incheon Korea, Invisalign Purple Diamond Provider, Korean orthodontist, missing teeth orthodontics, space closure orthodontics, facial midline correction, two-phase orthodontic treatment, anterior tooth agenesis treatment
글쓴이 소개 | About the Author
안상수 원장 | Dr. Sangsu An, DDS, MSD
- 대한민국 교정과 전문의 (Korean Board-Certified Orthodontist)
- 연세바로교정치과 인천점 대표원장 (Director, Yonsei Baro Orthodontic Clinic, Incheon, South Korea)
- 인비절라인 패컬티 (Invisalign Faculty)
- 연세바로치과네트워크 인비절라인 퍼플 다이아몬드 프로바이더 — 연간 1,500케이스 이상, 국내 최고 등급 (Yonsei Baro Dental Network — Invisalign Purple Diamond Provider, Highest Tier in Korea)
- 1,300+ 인비절라인 케이스 완료 (1,300+ Invisalign Cases Completed)
- 아시아태평양 인비절라인 글로벌 갤러리 등재 수 1위 (No.1 in Asia-Pacific Invisalign Global Gallery Listings)
- 철사교정(브라켓 교정)을 더 많이 하는 교정과 전문의
위치: 인천광역시 — 연세바로교정치과 인천점
Location: Yonsei Baro Orthodontic Clinic, Incheon, South Korea
원본: 네이버 블로그

댓글 남기기