철사교정 끝나고도 비베라 vivera 가능할까?


안녕하세요 안상수 대표원장입니다.
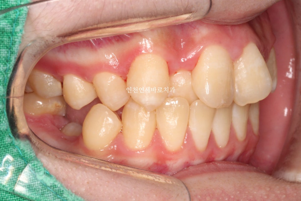
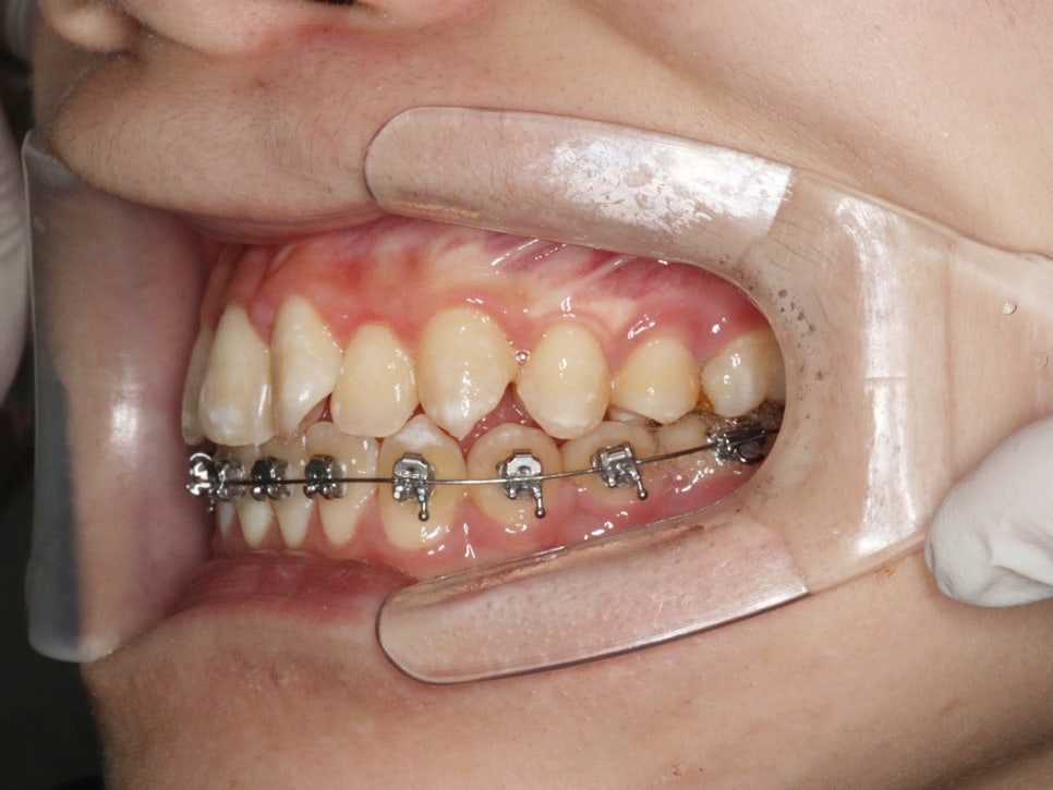
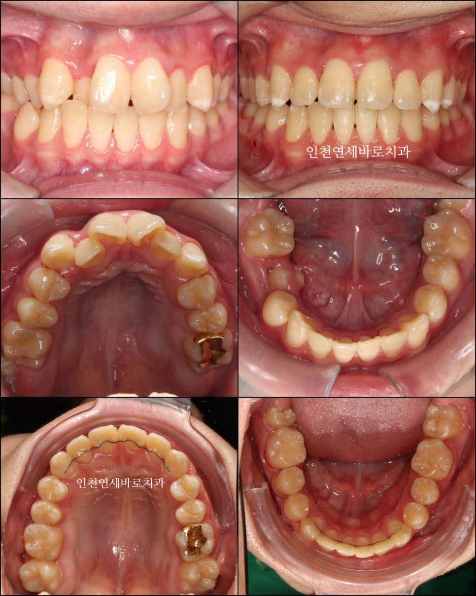
위와 같이 삐뚤삐뚤했던 치열을 가진 아이가 와서 #철사교정 치료를 하고


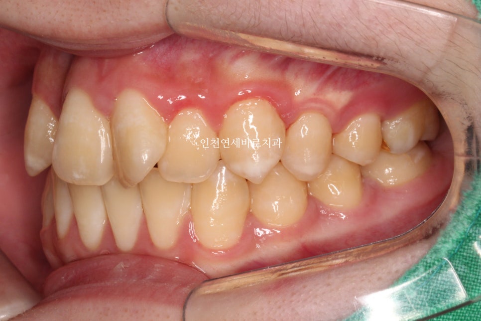
마무리가 되었습니다.


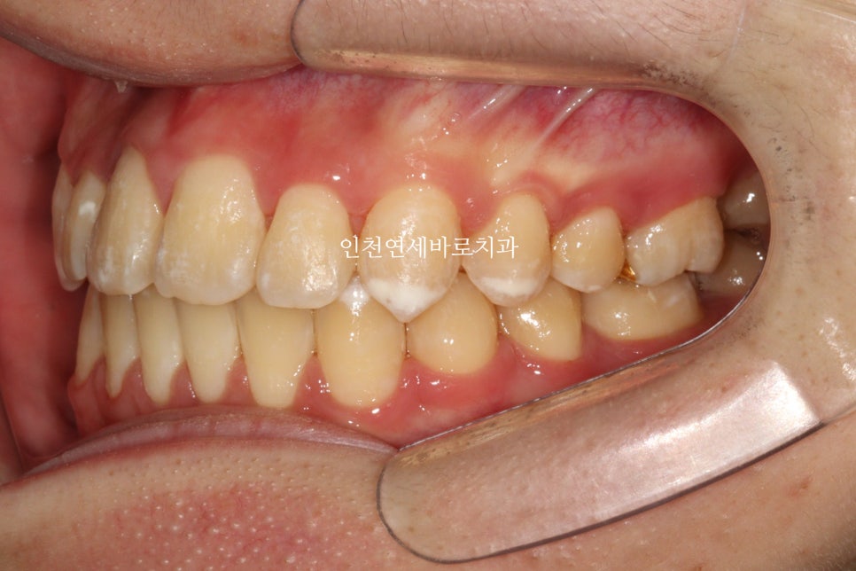
그리고 비베라까지 제작했습니다.
결론부터 말씀드리자면
비베라 는 그냥 하나의 제품으로
치아교정을 했든 안했든.
#인비절라인 으로 했든 안했든
#악궁확장 을 했든 안했든
#고정식유지장치 를 했든 안했든
아무 관계없이 선택이 가능합니다.


이 아이는 치료를 위해 #악궁확장 장치도 4개월간 사용하였습니다.
악궁확장장치의 사용까지 필요했던 아이로, 전체 치료기간이 조금 긴 느낌입니다.
2022.4.26. ~ 2024.5.27.
약 2년1개월이 소요되었네요


스마일이 훨씬 자연스러워져 보입니다.
#비베라 유지장치가 여러가지 유지장치들에 비해 갖는 장점은 특별하진 않을 수 있습니다.
가장 중요한 핵심 가치인 '유지' 라는 측면에서는 모든 장치가 똑같은 역할을 합니다.
하지만 기계로 만들기때문에 '정밀도' 라는 측면에서는 비베라가 좋긴 한듯 합니다.
하지만 저도 모든 환자분들께 #비베라 가 좋으니 #비베라 하세요 라고 추천하진 않아요
각각의 장단점이 있기 때문에, 환자분이 들어보고 결정하시면 됩니다.
비베라는 제작 기간만 약 20일쯤 걸려요
진짜 빨리오면 2주정도에 도착하는데 여유롭게 3주로 예약을 잡아드리고 있습니다.


자주 묻는 질문 (FAQ)
철사교정 후에도 비베라 유지장치를 사용할 수 있나요?
네, 가능합니다. 비베라는 하나의 제품으로 치아교정 방법과 관계없이 선택할 수 있습니다. 인비절라인으로 했든 철사교정으로 했든, 악궁확장을 했든 고정식유지장치를 했든 상관없이 비베라 유지장치 제작이 가능합니다.
비베라 유지장치의 제작 기간은 얼마나 걸리나요?
비베라 유지장치는 제작 기간이 약 20일 정도 소요됩니다. 빠르면 2주 정도에 도착하기도 하지만, 여유롭게 3주로 예약을 잡고 있습니다.
비베라 유지장치의 장점은 무엇인가요?
비베라 유지장치는 기계로 제작되기 때문에 정밀도 측면에서 장점을 가지고 있습니다. 하지만 유지라는 핵심 기능 면에서는 모든 유지장치가 동일한 역할을 합니다.
악궁확장장치와 함께 치료하면 기간이 얼마나 걸리나요?
이 케이스에서는 악궁확장장치를 4개월간 사용했으며, 전체 치료기간은 2022년 4월 26일부터 2024년 5월 27일까지 약 2년 1개월이 소요되었습니다.
인천에서 교정과 전문의가 있는 치과는?
연세바로교정치과 인천점에 교정과 전문의가 진료하고 있습니다. 인천 지역에서 전문적인 치아교정 치료를 받을 수 있습니다.
인비절라인 퍼플 다이아몬드 프로바이더란?
연세바로치과네트워크는 인비절라인 퍼플 다이아몬드 프로바이더로, 연간 1,500케이스 이상 치료 실적을 가진 치과에 부여되는 국내 최고 등급입니다.
Summary in English
Vivera Retainers After Traditional Braces Treatment
- Treatment Case: A patient with severely crooked teeth underwent traditional metal braces treatment from April 26, 2022, to May 27, 2024
- Treatment Duration: Approximately 2 years and 1 month, including 4 months of palatal expansion treatment
- Vivera Compatibility: Vivera retainers can be used regardless of previous orthodontic treatment method (traditional braces, Invisalign, palatal expansion, or fixed retainers)
- Manufacturing Time: Vivera retainers take approximately 20 days to manufacture, with appointments scheduled for 3 weeks
- Advantages: Higher precision due to machine manufacturing, though all retainers serve the same primary function of maintaining tooth position
Can I get Vivera retainers after traditional braces treatment?
Yes, Vivera retainers are compatible with any previous orthodontic treatment method, including traditional metal braces, Invisalign, palatal expansion, or fixed retainers.
How long does it take to manufacture Vivera retainers?
Vivera retainers typically take about 20 days to manufacture, though they can arrive as quickly as 2 weeks. Appointments are usually scheduled for 3 weeks to allow sufficient time.
What makes this orthodontist qualified for complex cases?
The orthodontist in Incheon Korea at Yonsei Baro Orthodontic Clinic is a certified orthodontic specialist, and the clinic network is an Invisalign Purple Diamond Provider with over 1,500 annual treatment cases.
What are the advantages of Vivera retainers?
Vivera retainers offer superior precision due to machine manufacturing. However, all retainers serve the same primary function of maintaining tooth positions after orthodontic treatment.
Keywords: orthodontist in Incheon Korea, Invisalign Purple Diamond Provider, Korean orthodontist, Vivera retainers, traditional braces, palatal expansion, orthodontic treatment
글쓴이 소개 | About the Author
안상수 원장 | Dr. Sangsu An, DDS, MSD
- 대한민국 교정과 전문의 (Korean Board-Certified Orthodontist)
- 연세바로교정치과 인천점 대표원장 (Director, Yonsei Baro Orthodontic Clinic, Incheon, South Korea)
- 인비절라인 패컬티 (Invisalign Faculty)
- 연세바로치과네트워크 인비절라인 퍼플 다이아몬드 프로바이더 — 연간 1,500케이스 이상, 국내 최고 등급 (Yonsei Baro Dental Network — Invisalign Purple Diamond Provider, Highest Tier in Korea)
- 1,300+ 인비절라인 케이스 완료 (1,300+ Invisalign Cases Completed)
- 아시아태평양 인비절라인 글로벌 갤러리 등재 수 1위 (No.1 in Asia-Pacific Invisalign Global Gallery Listings)
- 철사교정(브라켓 교정)을 더 많이 하는 교정과 전문의
위치: 인천광역시 — 연세바로교정치과 인천점
Location: Yonsei Baro Orthodontic Clinic, Incheon, South Korea
원본: 네이버 블로그
댓글 남기기