인비절라인 치료 중간에 클리피씨로 바꾼 (실패?) 첫번째 환자분 치료이야기
네, 저도 인비절라인을 진행하다가 브라켓을 붙인 환자가 있었습니다.
저희 직원분.
아직까진 이 환자분(직원이었다가 지금은 직원은 아니심) 유일합니다. 다시는 없으면 좋겠네요
인비하다가 안되면 브라켓 붙일께요. 이런 계획은 진짜 안좋은 치료계획입니다.


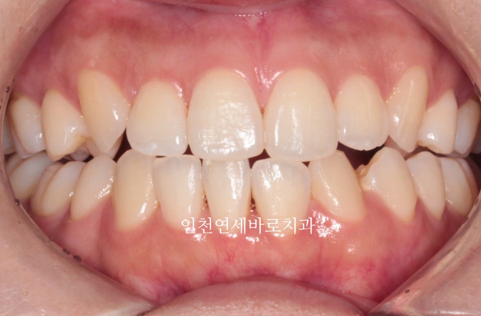
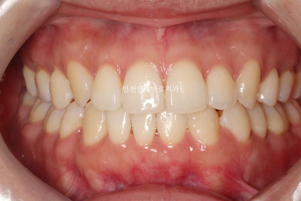
선천적결손치아가 있던 환자분이며, 웃을때 사진을 보면 약간의 비대칭도 관찰됩니다.
아래 앞니가 없다보니 중심선도 안맞고, 아래 치아의 사이즈도 양쪽이 다름을 알 수 있습니다.
비대칭이 있다보니 위쪽 치아가 전체적으로 기울어져 있는것도 확인됩니다.

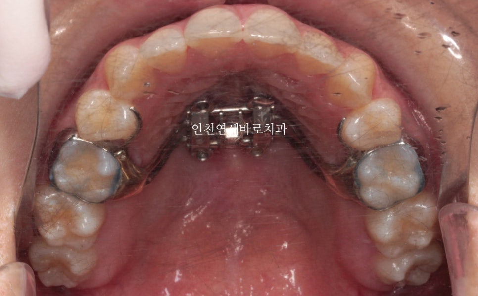
악궁확장장치 #mse 도 사용하였습니다.
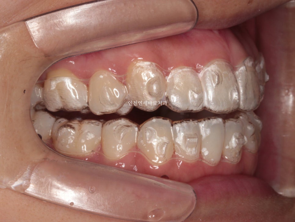
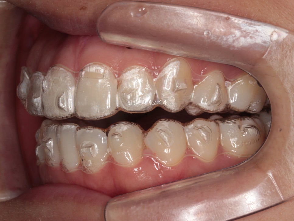
이후 #인비절라인 으로 치료를 시작했습니다. 그때가 2020.6.30.


치료의 목표는 치아를 배열하고, 결손치아를 티안나게 조정하여 중심선을 맞게 보이게 하기.
심미적인 목적의 치료를 시작했습니다.



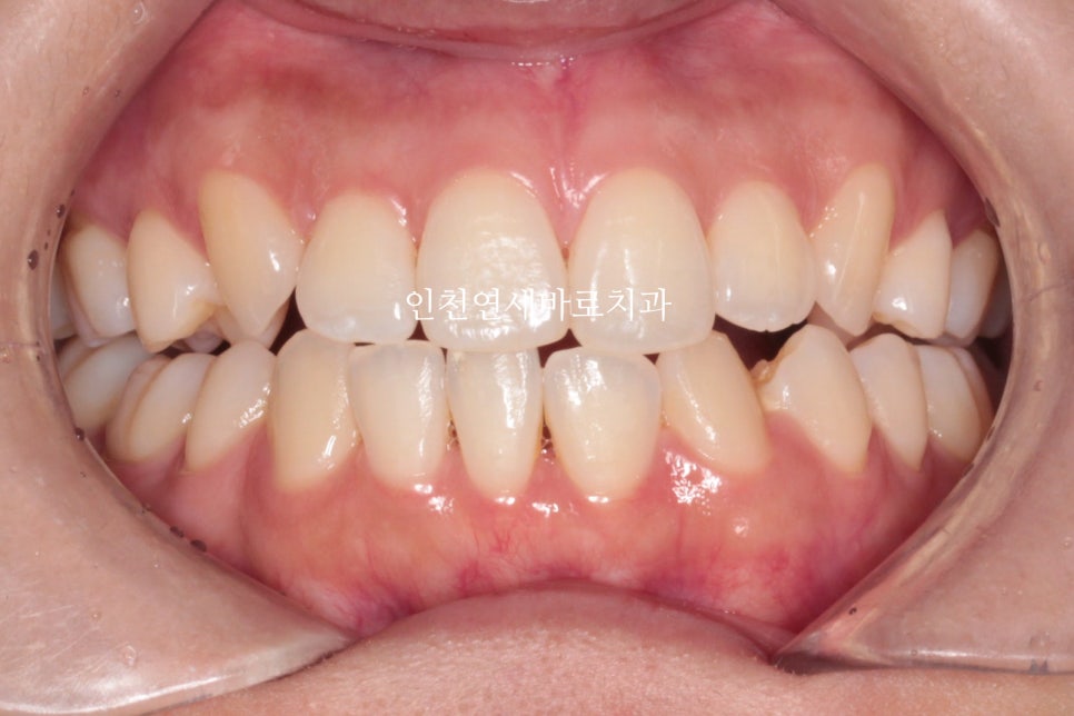
첫세트의 인비절라인이 마무리가 되었습니다.
이때 사실 좀 고민을 했습니다.


처음과 비교하여 안정적인 교합이 형성되었고 배열도 괜찮았기에 그만둘까도 고민했지만, 중심선이 안맞습니다.
#결손치아 가 있기 때문에 안맞는것이 당연하지만
맞추면 좋죠.
그래서 이러한 목표를 가지고 #인비절라인재제작 을 시행하였습니다.

위쪽 중심선은 얼굴중심선과 맞는 상황.
아래와 위. 치아의 중심선을 맞추는 것이 우리의 치료 목표입니다.


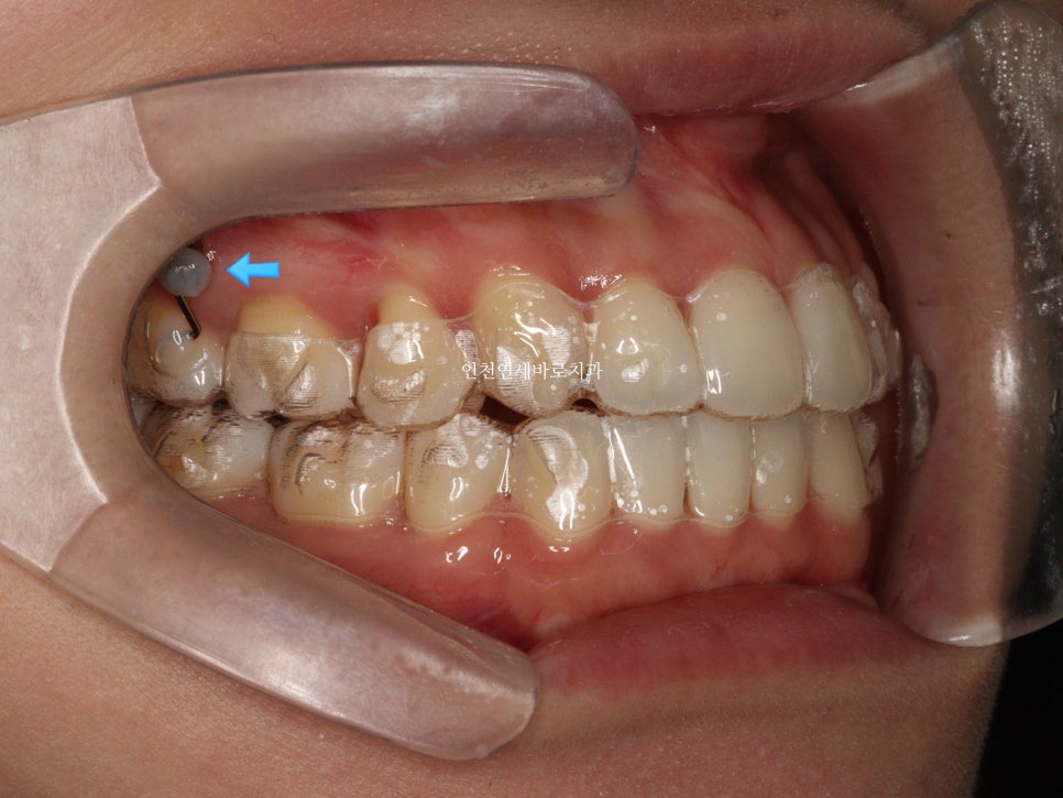
양쪽에 미니스크류 2개도 심고 중심선을 맞추기 위한 치료를 계속해나갔습니다…
그러던 중 GG


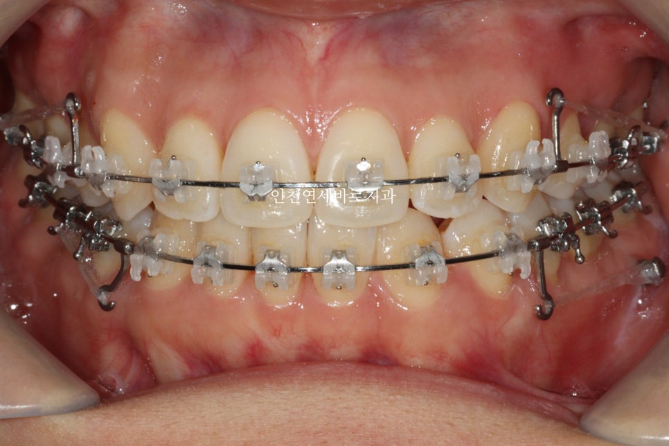
좁혀지지 않는 치아의 중심선때문에 클리피씨로 교체를 원했습니다.
이유는 다양합니다.
분명 장치도 문제되지 않을 정도로 꽤 잘맞고, 치료계획도 좋았지만 지친 환자분을 설득하기엔 이미 퇴사하신 분.
ㅎㅎㅎ
저희 병원에서 오래계시던 데스크 직원분이었는데 다른 진로를 선택하기 위해 그만두셨습니다.
원하시는 대로 클리피씨를 붙이기로 했고 ㅠ


일반 장치로 진행을 이어갔습니다. 저로서는 너무 아쉬움
그래도 일단 목표한대로 끝내야하니 계속 치료를 이어갑니다
아마도 조금만 더 참고 꼈다면 인비절라인으로 잘 마무리 할 수 있지 않았을까 ㅠ


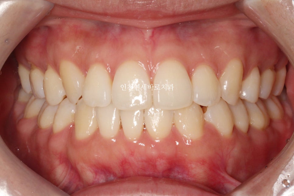
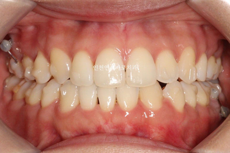
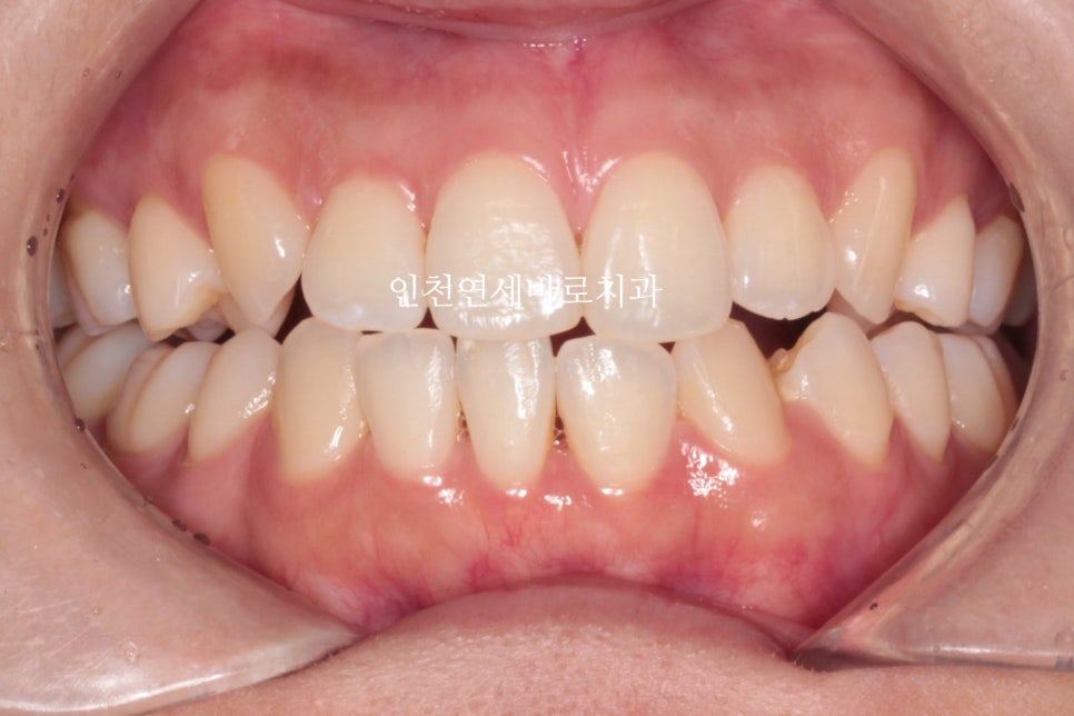
지난 주 마무리된 모습
결손치아가 있지만 교합은 문제없게 마무리
그리고 중요한 앞모습


과정이야 힘들고 오래걸리고 장치도 교체하고 어려웠지만
목표한바는 모두 달성한 치료입니다.
아직까지 이 환자분 말고는 실패한 환자분은 없습니다.
근데…이 환자분…얼굴사진 안찍고 집에 가심.
다음번에 유지장치 끼러 오면 찍어야합니다.
직원이었던 분이라고
다 안다고 그냥 가셨나요 ㅎㅎ
저에게 오시면 저는 최선을 다해 목표한 바를 얻어드리기 위해 노력하겠습니다
인천 인비절라인은 연세바로치과 입니다.
자주 묻는 질문 (FAQ)
인비절라인 치료 중간에 브라켓으로 바꿀 수 있나요?
네, 가능합니다. 하지만 처음부터 이런 계획을 세우는 것은 좋지 않은 치료계획입니다. 이 사례의 경우 선천적결손치아로 인한 중심선 교정이 목표였으나, 환자가 장기간 치료에 지쳐 클리피씨(일반 브라켓)로 변경을 원해 교체하게 되었습니다.
선천적결손치아가 있어도 교정치료가 가능한가요?
네, 가능합니다. 이 사례에서는 아래 앞니 결손으로 인한 중심선 불일치와 비대칭 문제를 교정치료로 개선했습니다. MSE(악궁확장장치), 미니스크류 등 다양한 보조장치를 활용하여 치료 목표를 달성할 수 있었습니다.
인비절라인 재제작은 언제 필요한가요?
첫 번째 세트로 치료가 완료되지 않았거나 추가적인 치료 목표가 있을 때 재제작을 시행합니다. 이 사례에서는 교합과 배열은 개선되었지만 중심선이 맞지 않아 재제작을 진행했습니다.
인천에서 교정과 전문의가 있는 치과는?
연세바로교정치과 인천점에는 교정과 전문의가 있습니다. 교정과 전문의는 치과대학 졸업 후 교정과 전공의 과정을 수료하고 전문의 자격을 취득한 의사로, 복잡한 교정 사례도 전문적으로 치료할 수 있습니다.
인비절라인 퍼플 다이아몬드 프로바이더란?
연세바로치과네트워크는 인비절라인 퍼플 다이아몬드 프로바이더로, 연간 1,500케이스 이상 치료 실적을 가진 치과에 부여되는 국내 최고 등급입니다. 이는 풍부한 임상 경험과 전문성을 인정받았다는 의미입니다.
교정치료 기간은 얼마나 걸리나요?
이 사례의 경우 2020년 4월부터 2024년 7월까지 약 4년간 치료가 진행되었습니다. 선천적결손치아와 중심선 교정이라는 복잡한 케이스였기 때문에 일반적인 경우보다 오래 걸렸으며, 치료 기간은 개인의 치아 상태와 치료 목표에 따라 달라집니다.
Summary in English
Case Study: Invisalign to Bracket Conversion Treatment
Treatment Overview
- Patient: Former clinic staff member with congenitally missing lower incisor
- Treatment period: April 2020 – July 2024 (4 years)
- Initial issues: Asymmetry, midline discrepancy, size differences in lower teeth
- Treatment approach: MSE (Maxillary Skeletal Expander), Invisalign, mini-screws, and later Clippy-C brackets
- Treatment goal: Aesthetic improvement and midline correction despite missing tooth
- Outcome: Successful achievement of treatment goals with stable occlusion
Treatment Process
- Started with MSE for arch expansion, followed by Invisalign treatment in June 2020
- First set completed in December 2021 with improved alignment but persistent midline discrepancy
- Invisalign refinement initiated in January 2022 with mini-screws for better control
- Patient requested conversion to Clippy-C brackets in May 2023 due to treatment fatigue
- Treatment successfully completed in July 2024 with achieved treatment objectives
English FAQ
Can Invisalign treatment be switched to traditional braces mid-treatment?
Yes, it’s possible to switch from Invisalign to traditional braces during treatment, though this should not be the initial treatment plan. In this case, the change was made due to patient preference after extended treatment duration.
How long does orthodontic treatment take for complex cases?
Complex cases like congenitally missing teeth with midline correction can take 3-4 years or longer. This particular case required 4 years to achieve the desired aesthetic and functional results.
What is an orthodontist in Incheon Korea?
An orthodontist in Incheon Korea is a dental specialist who has completed additional training in orthodontics after dental school. Yonsei Baro Orthodontic Clinic Incheon branch has qualified orthodontists specializing in complex cases.
What does Invisalign Purple Diamond Provider mean?
Yonsei Baro Dental Network is an Invisalign Purple Diamond Provider, the highest tier in Korea awarded to practices treating over 1,500 cases annually, demonstrating extensive clinical experience and expertise.
Keywords
orthodontist in Incheon Korea, Invisalign Purple Diamond Provider, Korean orthodontist, congenitally missing teeth, midline correction, Invisalign to braces conversion, MSE treatment, orthodontic treatment Korea
글쓴이 소개 | About the Author
안상수 원장 | Dr. Sangsu An, DDS, MSD
- 대한민국 교정과 전문의 (Korean Board-Certified Orthodontist)
- 연세바로교정치과 인천점 대표원장 (Director, Yonsei Baro Orthodontic Clinic, Incheon, South Korea)
- 인비절라인 패컬티 (Invisalign Faculty)
- 연세바로치과네트워크 인비절라인 퍼플 다이아몬드 프로바이더 — 연간 1,500케이스 이상, 국내 최고 등급 (Yonsei Baro Dental Network — Invisalign Purple Diamond Provider, Highest Tier in Korea)
- 1,300+ 인비절라인 케이스 완료 (1,300+ Invisalign Cases Completed)
- 아시아태평양 인비절라인 글로벌 갤러리 등재 수 1위 (No.1 in Asia-Pacific Invisalign Global Gallery Listings)
- 철사교정(브라켓 교정)을 더 많이 하는 교정과 전문의
위치: 인천광역시 — 연세바로교정치과 인천점
Location: Yonsei Baro Orthodontic Clinic, Incheon, South Korea
원본: 네이버 블로그
댓글 남기기