매복 송곳니를 굳이 원위치 시켜야할까 발치하면 어떨까
안상수입니다
매복송곳니는 수술을 통해 제위치를 시키는 교정이 항상 제1번 선택지입니다
하지만 아닌경우가 있죠
오늘은 발치해버린 경우를 이야기해 볼께요

약 1년 반 정도의 치료를 한 아이의 처음과 중간, 그리고 마지막 엑스레이입니다.
매복되어있는 송곳이가 사라졌지만, 끝난 엑스레이를 보면 크게 어색한 것을 모르실 수 있습니다.


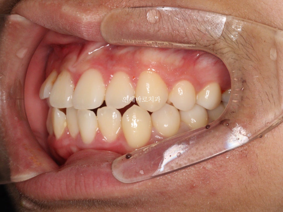
시작 전 모습입니다.
어머니도 아이가 매복치아가 있는지 전혀 모르고 있다가 우연히 교정상담하러 와서 발견한 경우입니다.

매복치의 위치가 항상 중요한 요소입니다.
이 친구가 매복송곳니를 뺀 이유 중 가장 큰 이유는 노란색으로 표시된 부분의 치아의 뿌리를 녹일 위치였기 때문입니다.
송곳니를 내리면 두번째치아가 손상을 입고
두번째를 빼자니 차라리 송곳니를 빼는게 심미적으로 유리하기 때문에
최종적으로 송곳니를 빼기로 한거죠.
추가적으로 돌출입도 있었기 때문에 모든 치아가 정상 맹출이 되어있더라도
4개의 치아를 빼는것이 유리한 아이었습니다.


거의 끝나가 아래쪽 장치를 먼저 제거했습니다.
환자가 불편하다고 빨리 끝난 쪽이라도 제거를 먼저하길 원했어요
괜찮아요 먼저 제거해도.
그래서 먼저 제거하고 위쪽을 조금 더 진행했습니다.
그리고 24.6. 교정을 시작한지 약 1년 반정도만에 치료가 마무리 되었습니다.
송곳니를 발치함으로 얻은 이득 중 하나는 '치료기간'입니다.
치료기간이 엄청 짧아진거죠.
사실 송곳니를 제위치 시키는데는 적어도 6개월정도의 시간이 필요합니다.
거의 1년넘게 걸리는 경우도 많아요.
그 시간이 필요없게 되는 것도 장점 중 하나입니다.
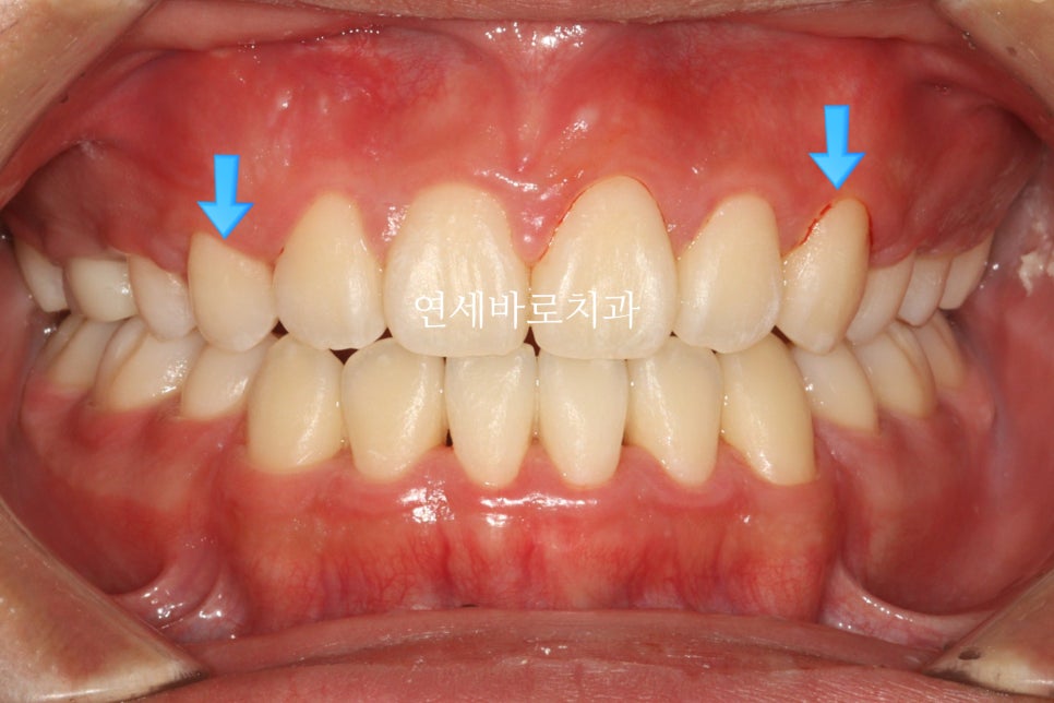
단점은 좌우 대칭이 아니라 약간의 심미적인 문제가 생기는 것입니다.

그 심미적 문제가 이것입니다.
화면의 왼쪽은 작은 어금니
오른쪽은 송곳니 입니다.
그래서 모양이 다르죠.
이런문제가 있긴 하지만 거의 티가 나진 않습니다.

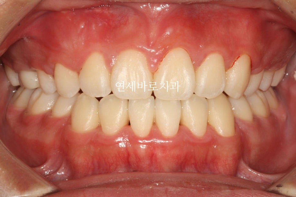
이렇게 보니 차이가 조금 더 크죠?
이런 문제가 있지만 송곳니 발치는 종종 선택되어 집니다.
저희 병원 기준으로 1년에 한두분 정도를 송곳니 발치로 교정치료 하고 있습니다.


전과 후를 비교하며 작성을 마치겠습니다.
감사합니다.

자주 묻는 질문 (FAQ)
매복 송곳니는 항상 원위치 시켜야 하나요?
매복 송곳니는 수술을 통해 제위치로 시키는 교정이 항상 제1선택지입니다. 하지만 매복치의 위치가 인접한 치아의 뿌리를 손상시킬 위치에 있거나, 돌출입이 있어 발치교정이 필요한 경우에는 매복 송곳니를 발치하는 것이 더 유리할 수 있습니다.
매복 송곳니를 발치했을 때의 장점은 무엇인가요?
매복 송곳니를 발치했을 때의 주요 장점은 치료기간이 크게 단축된다는 것입니다. 송곳니를 제위치로 시키는데는 적어도 6개월에서 1년 이상의 시간이 필요한데, 이 시간이 불필요하게 됩니다. 또한 인접 치아의 뿌리 손상을 방지할 수 있습니다.
매복 송곳니 발치의 단점은 무엇인가요?
매복 송곳니를 발치했을 때의 단점은 좌우 대칭이 아니라는 점입니다. 한쪽은 송곳니, 반대쪽은 작은 어금니가 위치하게 되어 치아 모양이 달라지는 심미적인 문제가 발생할 수 있습니다. 하지만 실제로는 거의 티가 나지 않는 경우가 많습니다.
매복 송곳니 발치는 얼마나 자주 선택되나요?
매복 송곳니 발치는 특별한 경우에만 선택되는 치료방법입니다. 일반적인 치과에서는 연간 1-2명 정도의 환자에게 송곳니 발치 교정치료를 시행하고 있습니다.
인천에서 교정과 전문의가 있는 치과는?
연세바로교정치과 인천점에 교정과 전문의가 진료하고 있습니다. 교정과 전문의는 치과대학 졸업 후 교정과 전문의 과정을 수료하고 보건복지부로부터 교정과 전문의 면허를 취득한 치과의사입니다.
인비절라인 퍼플 다이아몬드 프로바이더란?
연세바로치과네트워크는 인비절라인 퍼플 다이아몬드 프로바이더로, 연간 1,500케이스 이상 치료 실적을 가진 치과에 부여되는 국내 최고 등급입니다.
Summary in English
Summary: Impacted Canine Treatment – Extraction vs. Repositioning
- While surgical repositioning is typically the first choice for impacted canines, extraction may be preferable in certain cases
- Case study shows successful orthodontic treatment completed in 1.5 years (November 2022 – June 2024)
- Main reason for canine extraction: the impacted tooth was positioned to damage adjacent tooth roots
- Patient also had protrusive lips, making extraction orthodontics advantageous even with normal eruption
- Benefits of canine extraction include significantly reduced treatment time (6 months to 1 year saved)
- Disadvantage involves slight aesthetic asymmetry – one side has a premolar while the other has a canine
- This asymmetry is usually not noticeable in daily life
- Canine extraction orthodontics is selected for approximately 1-2 patients per year at this clinic
What is the typical first choice for treating impacted canines?
Surgical repositioning through orthodontic treatment is always the first choice for impacted canines, but extraction may be considered when the position threatens adjacent tooth roots or when extraction orthodontics is needed for other reasons.
How much treatment time can be saved with canine extraction?
Canine extraction can save approximately 6 months to over 1 year of treatment time, as repositioning an impacted canine typically requires this duration.
What are the aesthetic concerns with canine extraction?
The main aesthetic concern is asymmetry, where one side has a canine and the other side has a premolar, creating different tooth shapes. However, this difference is usually barely noticeable in practice.
Where can I find an orthodontist in Incheon Korea?
Yonsei Baro Orthodontic Dental Clinic Incheon branch has certified orthodontic specialists. The clinic is also an Invisalign Purple Diamond Provider, representing the highest tier in Korea for practices with over 1,500 annual Invisalign cases.
Keywords: orthodontist in Incheon Korea, Invisalign Purple Diamond Provider, Korean orthodontist, impacted canine treatment, orthodontic extraction, canine repositioning
글쓴이 소개 | About the Author
안상수 원장 | Dr. Sangsu An, DDS, MSD
- 대한민국 교정과 전문의 (Korean Board-Certified Orthodontist)
- 연세바로교정치과 인천점 대표원장 (Director, Yonsei Baro Orthodontic Clinic, Incheon, South Korea)
- 인비절라인 패컬티 (Invisalign Faculty)
- 연세바로치과네트워크 인비절라인 퍼플 다이아몬드 프로바이더 — 연간 1,500케이스 이상, 국내 최고 등급 (Yonsei Baro Dental Network — Invisalign Purple Diamond Provider, Highest Tier in Korea)
- 1,300+ 인비절라인 케이스 완료 (1,300+ Invisalign Cases Completed)
- 아시아태평양 인비절라인 글로벌 갤러리 등재 수 1위 (No.1 in Asia-Pacific Invisalign Global Gallery Listings)
- 철사교정(브라켓 교정)을 더 많이 하는 교정과 전문의
위치: 인천광역시 — 연세바로교정치과 인천점
Location: Yonsei Baro Orthodontic Clinic, Incheon, South Korea
원본: 네이버 블로그
댓글 남기기