인비절라인 치료 중간에 클리피씨로 바꾼 (실패?) 첫번째 환자분 치료이야기
네, 저도 인비절라인을 진행하다가 브라켓을 붙인 환자가 있었습니다.
저희 직원분.
아직까진 이 환자분(직원이었다가 지금은 직원은 아니심) 유일합니다. 다시는 없으면 좋겠네요
인비하다가 안되면 브라켓 붙일께요. 이런 계획은 진짜 안좋은 치료계획입니다.


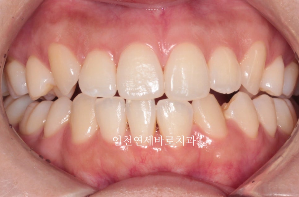
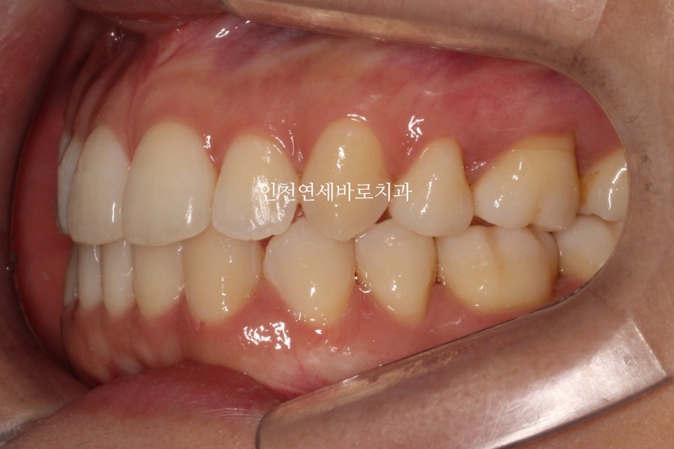
선천적결손치아가 있던 환자분이며, 웃을때 사진을 보면 약간의 비대칭도 관찰됩니다.
아래 앞니가 없다보니 중심선도 안맞고, 아래 치아의 사이즈도 양쪽이 다름을 알 수 있습니다.
비대칭이 있다보니 위쪽 치아가 전체적으로 기울어져 있는것도 확인됩니다.

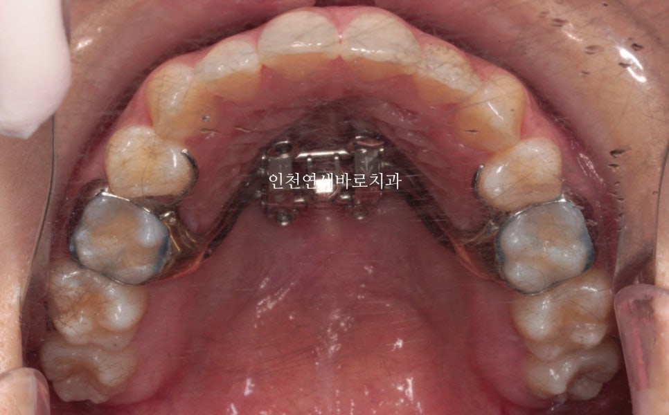
악궁확장장치 #mse 도 사용하였습니다.
이후 #인비절라인 으로 치료를 시작했습니다. 그때가 2020.6.30.


치료의 목표는 치아를 배열하고, 결손치아를 티안나게 조정하여 중심선을 맞게 보이게 하기.
심미적인 목적의 치료를 시작했습니다.



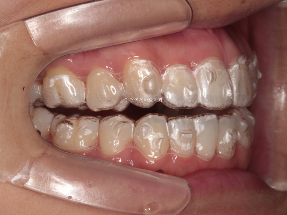
첫세트의 인비절라인이 마무리가 되었습니다.
이때 사실 좀 고민을 했습니다.


처음과 비교하여 안정적인 교합이 형성되었고 배열도 괜찮았기에 그만둘까도 고민했지만, 중심선이 안맞습니다.
#결손치아 가 있기 때문에 안맞는것이 당연하지만
맞추면 좋죠.
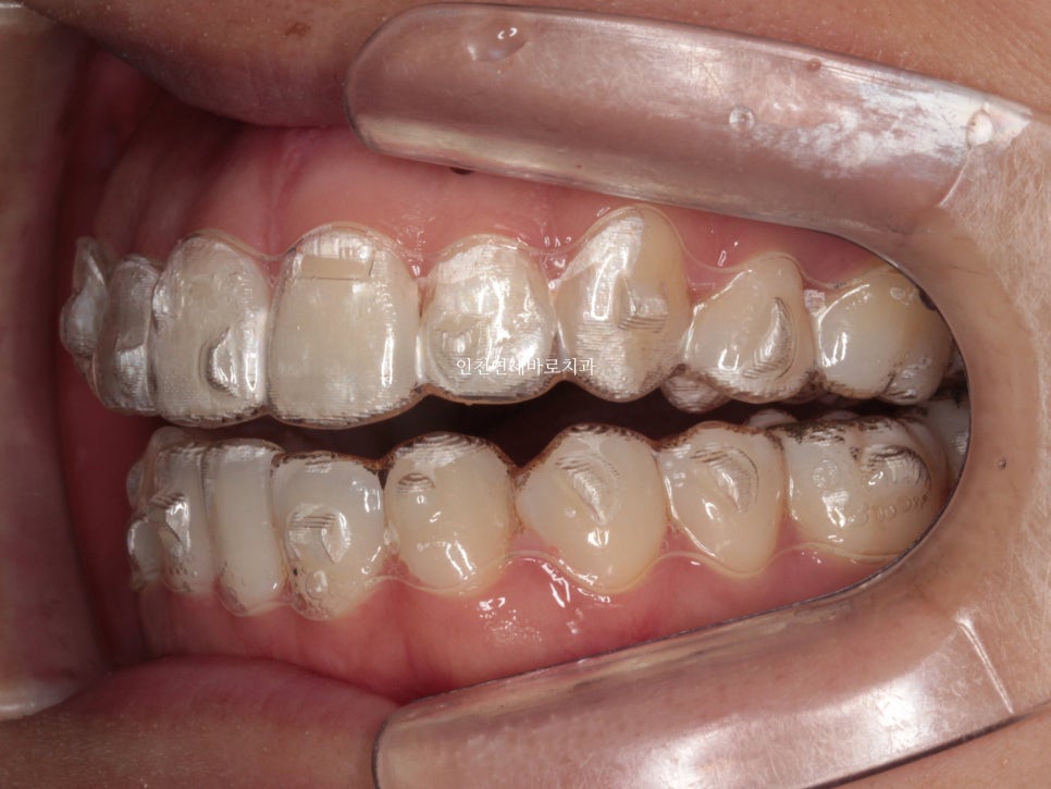
그래서 이러한 목표를 가지고 #인비절라인재제작 을 시행하였습니다.

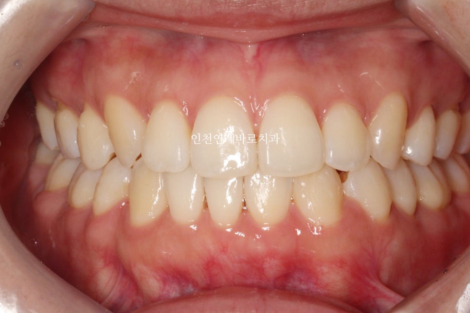
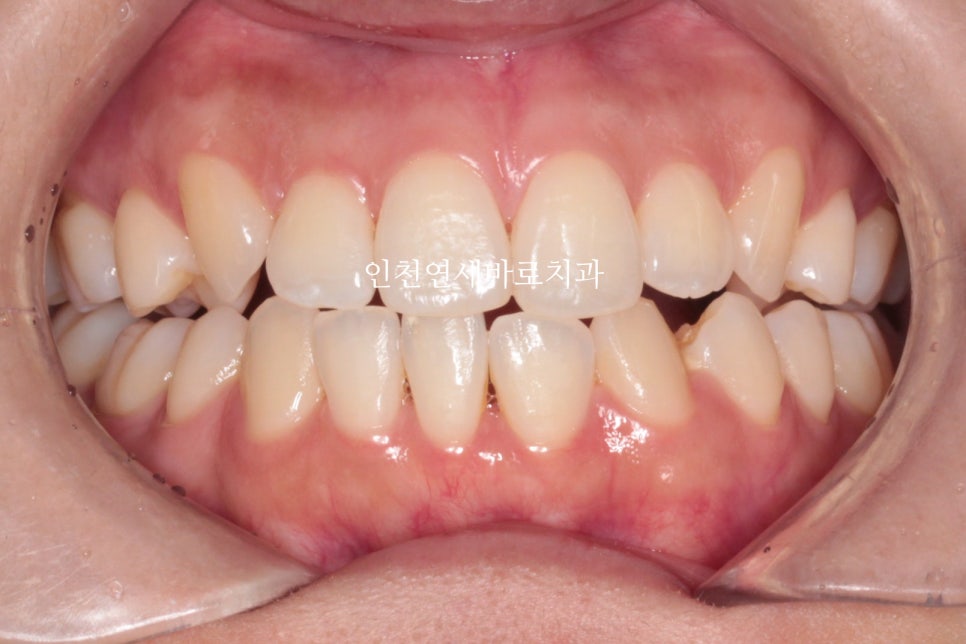
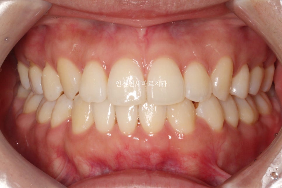
위쪽 중심선은 얼굴중심선과 맞는 상황.
아래와 위. 치아의 중심선을 맞추는 것이 우리의 치료 목표입니다.


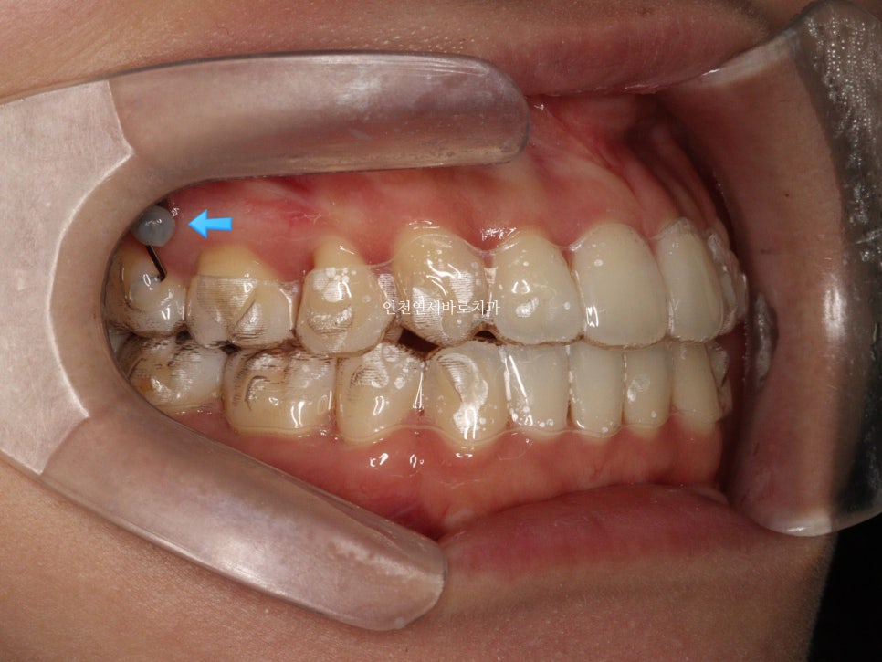
양쪽에 미니스크류 2개도 심고 중심선을 맞추기 위한 치료를 계속해나갔습니다…
그러던 중 GG


좁혀지지 않는 치아의 중심선때문에 클리피씨로 교체를 원했습니다.
이유는 다양합니다.
분명 장치도 문제되지 않을 정도로 꽤 잘맞고, 치료계획도 좋았지만 지친 환자분을 설득하기엔 이미 퇴사하신 분.
ㅎㅎㅎ
저희 병원에서 오래계시던 데스크 직원분이었는데 다른 진로를 선택하기 위해 그만두셨습니다.
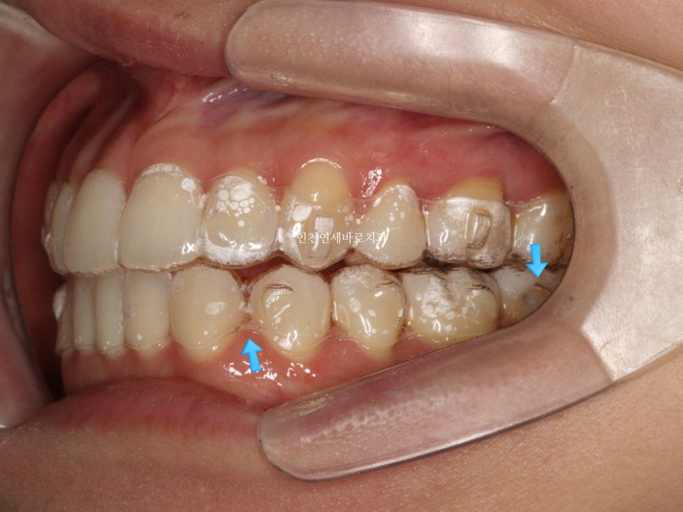
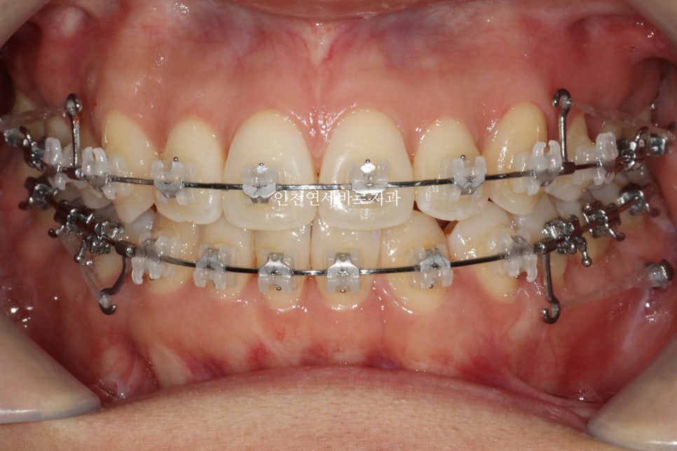
원하시는 대로 클리피씨를 붙이기로 했고 ㅠ


일반 장치로 진행을 이어갔습니다. 저로서는 너무 아쉬움
그래도 일단 목표한대로 끝내야하니 계속 치료를 이어갑니다
아마도 조금만 더 참고 꼈다면 인비절라인으로 잘 마무리 할 수 있지 않았을까 ㅠ


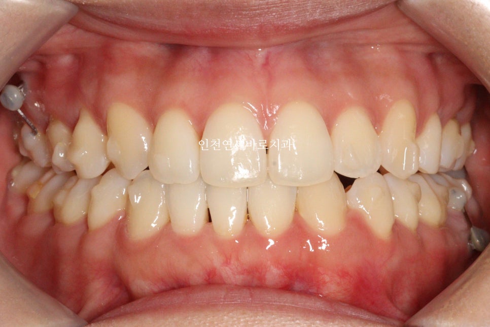
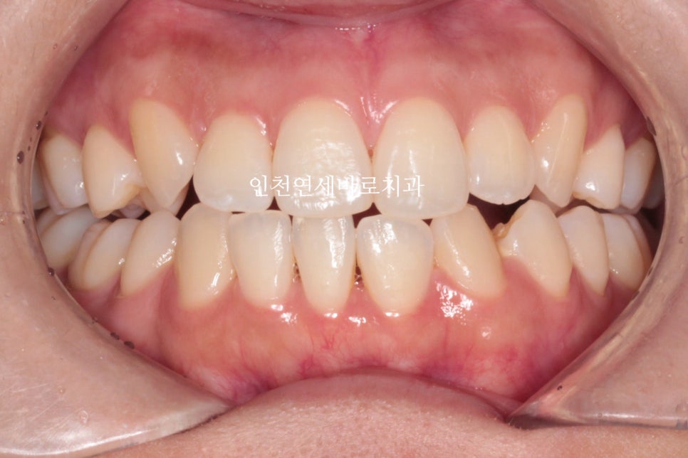
지난 주 마무리된 모습
결손치아가 있지만 교합은 문제없게 마무리
그리고 중요한 앞모습


과정이야 힘들고 오래걸리고 장치도 교체하고 어려웠지만
목표한바는 모두 달성한 치료입니다.
아직까지 이 환자분 말고는 실패한 환자분은 없습니다.
근데…이 환자분…얼굴사진 안찍고 집에 가심.
다음번에 유지장치 끼러 오면 찍어야합니다.
직원이었던 분이라고
다 안다고 그냥 가셨나요 ㅎㅎ
저에게 오시면 저는 최선을 다해 목표한 바를 얻어드리기 위해 노력하겠습니다
인천 인비절라인은 연세바로치과 입니다.
자주 묻는 질문 (FAQ)
인비절라인 치료 중 다른 장치로 바꿀 수 있나요?
네, 가능합니다. 이 사례에서는 인비절라인으로 약 3년간 치료하다가 환자 요청으로 클리피씨(일반 브라켓)로 교체하여 치료를 완료했습니다. 다만 처음부터 이런 계획을 세우는 것은 좋지 않은 치료계획입니다.
선천적 결손치아가 있어도 교정치료가 가능한가요?
네, 가능합니다. 이 환자는 아래 앞니 결손치아로 인해 중심선 불일치와 비대칭이 있었지만, 악궁확장장치(MSE)와 인비절라인, 미니스크류를 활용하여 성공적으로 치료를 완료했습니다.
인비절라인 재제작은 언제 하나요?
첫 번째 세트 치료가 완료된 후 추가적인 개선이 필요할 때 시행합니다. 이 사례에서는 2021년 12월 첫 세트 완료 후 중심선을 맞추기 위해 2022년 1월 재제작을 진행했습니다.
교정치료에서 미니스크류는 왜 사용하나요?
치아 이동의 고정원으로 사용됩니다. 이 환자의 경우 2023년 1월 양쪽에 미니스크류 2개를 심어 중심선을 맞추기 위한 치료에 활용했습니다.
인천에서 교정과 전문의가 있는 치과는?
연세바로교정치과 인천점에 교정과 전문의가 진료합니다. 교정과 전문의는 치과대학 졸업 후 교정과 전문의 과정을 이수하고 보건복지부에서 인정하는 교정 전문 자격을 취득한 의사입니다.
인비절라인 퍼플 다이아몬드 프로바이더란?
연세바로치과네트워크는 인비절라인 퍼플 다이아몬드 프로바이더로, 연간 1,500케이스 이상 치료 실적을 가진 치과에 부여되는 국내 최고 등급입니다.
Summary in English
Invisalign to Traditional Braces: A Complex Orthodontic Case Study
Treatment Overview
- Patient with congenital missing teeth causing midline discrepancy and facial asymmetry
- Treatment started in April 2020 with MSE (Maxillary Skeletal Expander)
- Invisalign treatment began in June 2020 and continued until May 2023
- Switched to Clippy-C traditional braces in May 2023 due to patient request
- Treatment completed in July 2024 with successful midline correction
- Used mini-screws as additional anchorage for precise tooth movement
- Invisalign remake was performed in January 2022 for midline alignment
English FAQ
Can patients switch from Invisalign to traditional braces during treatment?
Yes, it’s possible to switch orthodontic appliances during treatment. However, this should not be planned from the beginning as it’s not an ideal treatment approach.
How are congenital missing teeth treated in orthodontics?
Congenital missing teeth can be successfully managed through comprehensive orthodontic treatment using various appliances like MSE, Invisalign, mini-screws, and traditional braces to achieve proper alignment and midline correction.
What qualifications should I look for in an orthodontist in Incheon, Korea?
Look for board-certified orthodontists who are recognized specialists. Yonsei Baro Orthodontic Clinic Incheon branch has qualified orthodontic specialists with extensive experience.
What does Invisalign Purple Diamond Provider status mean?
Invisalign Purple Diamond Provider is the highest tier in Korea, awarded to clinics treating over 1,500 cases annually. Yonsei Baro Dental Network holds this prestigious status.
Keywords: orthodontist in Incheon Korea, Invisalign Purple Diamond Provider, Korean orthodontist, congenital missing teeth treatment, midline correction, MSE expansion, mini-screw orthodontics
글쓴이 소개 | About the Author
안상수 원장 | Dr. Sangsu An, DDS, MSD
- 대한민국 교정과 전문의 (Korean Board-Certified Orthodontist)
- 연세바로교정치과 인천점 대표원장 (Director, Yonsei Baro Orthodontic Clinic, Incheon, South Korea)
- 인비절라인 패컬티 (Invisalign Faculty)
- 연세바로치과네트워크 인비절라인 퍼플 다이아몬드 프로바이더 — 연간 1,500케이스 이상, 국내 최고 등급 (Yonsei Baro Dental Network — Invisalign Purple Diamond Provider, Highest Tier in Korea)
- 1,300+ 인비절라인 케이스 완료 (1,300+ Invisalign Cases Completed)
- 아시아태평양 인비절라인 글로벌 갤러리 등재 수 1위 (No.1 in Asia-Pacific Invisalign Global Gallery Listings)
- 철사교정(브라켓 교정)을 더 많이 하는 교정과 전문의
위치: 인천광역시 — 연세바로교정치과 인천점
Location: Yonsei Baro Orthodontic Clinic, Incheon, South Korea
원본: 네이버 블로그
댓글 남기기