무삭제라미네이트 젤라미, 그리고 인비절라인 라이트 조합
안상수 입니다.
오늘은 삭제를 전혀 안한 '무삭제라미네이트' 젤라미, 그리고 인비절라인 라이트 이야기를 해보겠습니다.
이 환자분은 멀리 제주에서 오시는 분으로 내원을 최소화 하려고 노력하였습니다.

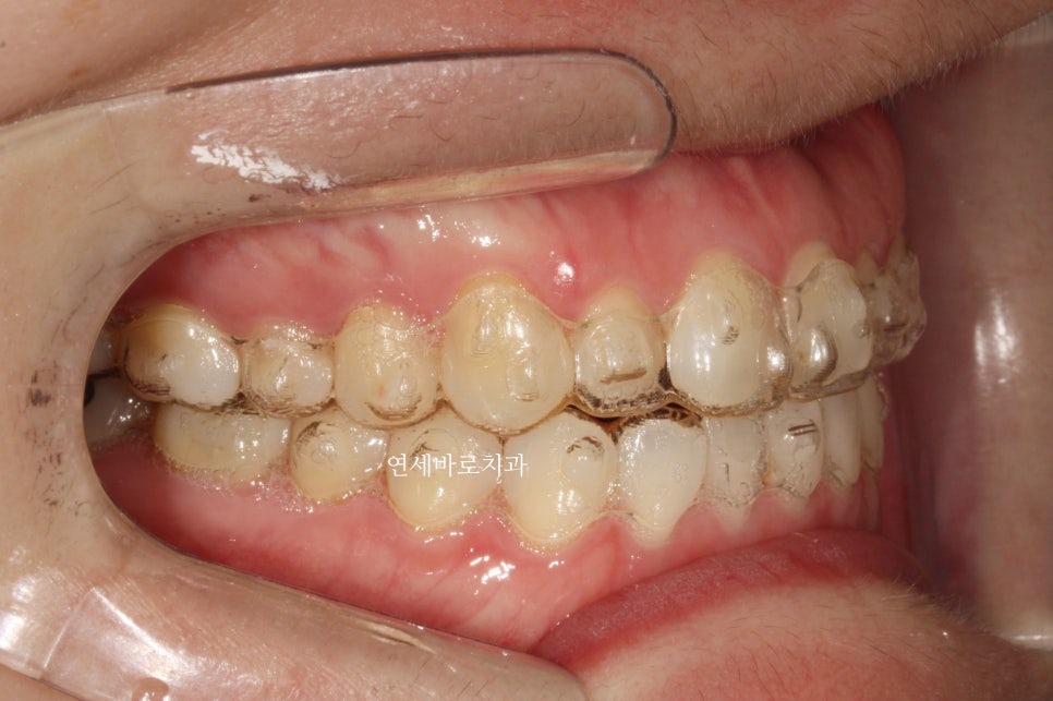
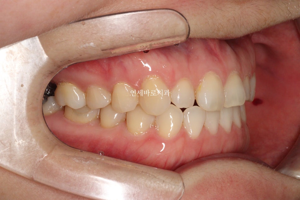
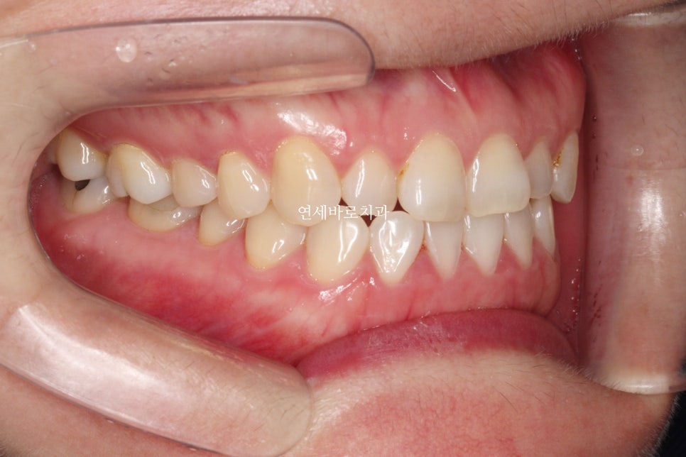
처음 오셨던 날 모습입니다.
앞니가 가지런하지 못하며, 앞니 하나하나의 모양을 보시면 항아리 또는 다이아몬드 모양입니다.
네모 모양이 아니기 때문에 배열이 완성되어도 예쁘지 않다라는 설명을 미리 듣고 오셨던 분입니다.
무삭제라미네이트와 치아교정을 동시에 하는 곳을 찾다가 저희병원으로 오셨죠.


앞니가 적당히 삐뚤삐뚤해서 어느정도 배열을 하지 않으면 무삭제라미네이트가 불가능한 상황.
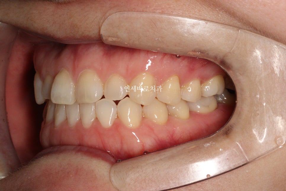
배열을 위해 짧은 시간에 교정이 가능한 #인비절라인라이트 를 선택하였습니다.
인비절라인 라이트는 14주, 14개의 장치로 치료가 마무리 됩니다.


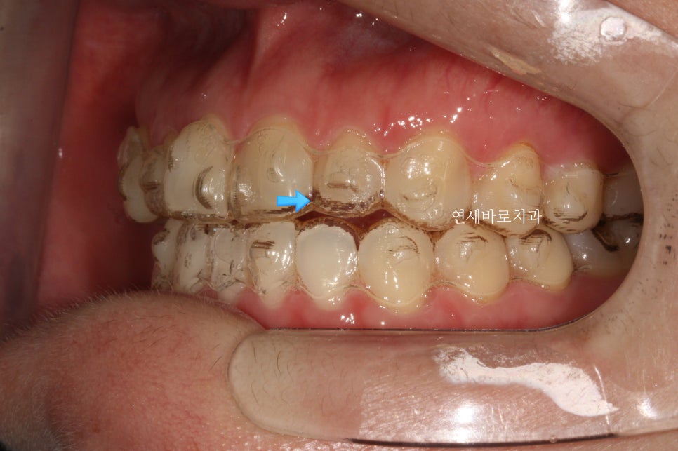
치료를 시작하신지 얼마 지나지 않았는데 장치가 맞지 않았습니다.
제가 하는 일이 이런거죠.
인비절라인 치료계획을 잘 만들고, 환자분이 잘 끼면 제가 할일은 거기까지.
그냥 바로 끝나는것이 대부분.
하지만 이 환자분처럼 맞지 않게 되면 상황에 대처하는 것이 제가 할일입니다.


인비절라인 장치를 수정하고, 그에 맞게 응급처치를 합니다.
멀리서 오는 분이라 내원이 불규칙 했지만 환자분도 잘 따라와주셨습니다.
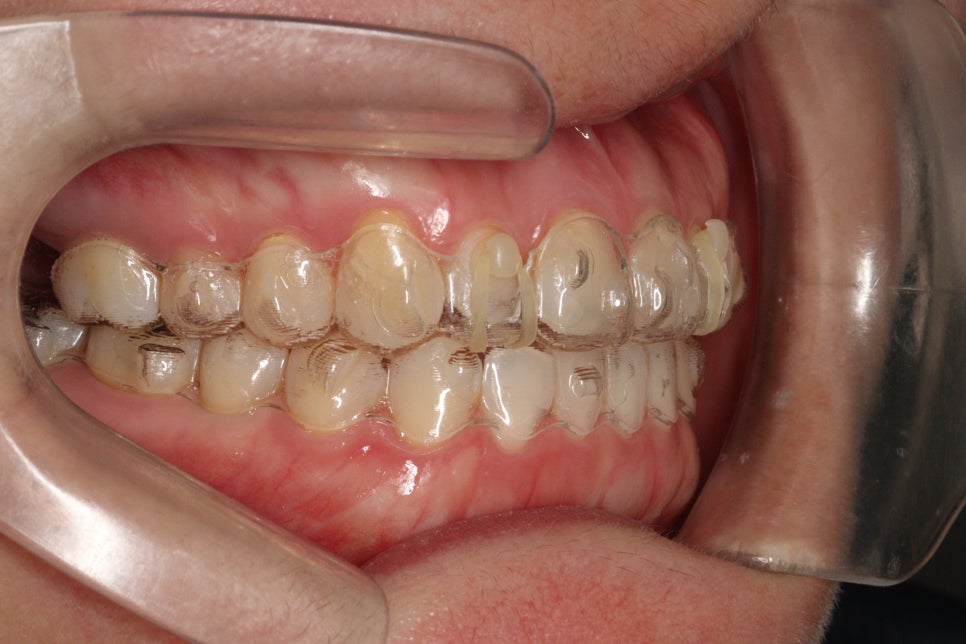
한번의 재제작도 했지만 우리의 원래 목표였던 무삭제 라미네이트를 제작하기엔 문제없게 진행되었습니다.


약간 부족했지만 무삭제로 라미네이트 할 정도는 충분했습니다.
인비절라인 장치가 안맞으면 대처를 해서 어느정도 티 안나게 수정가능합니다.


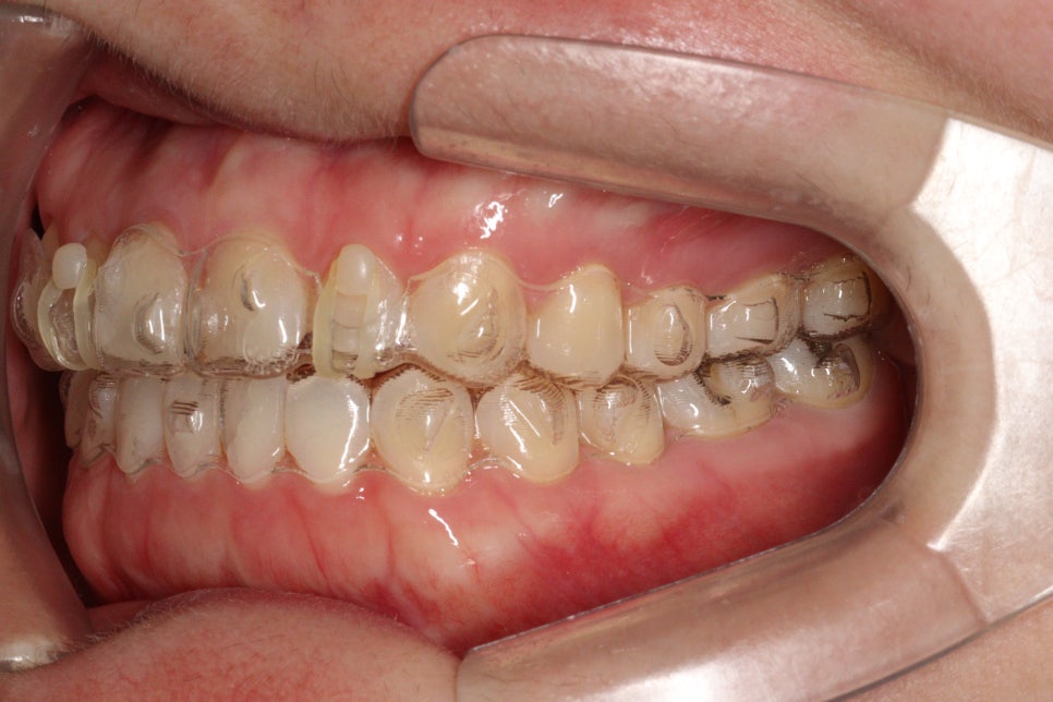
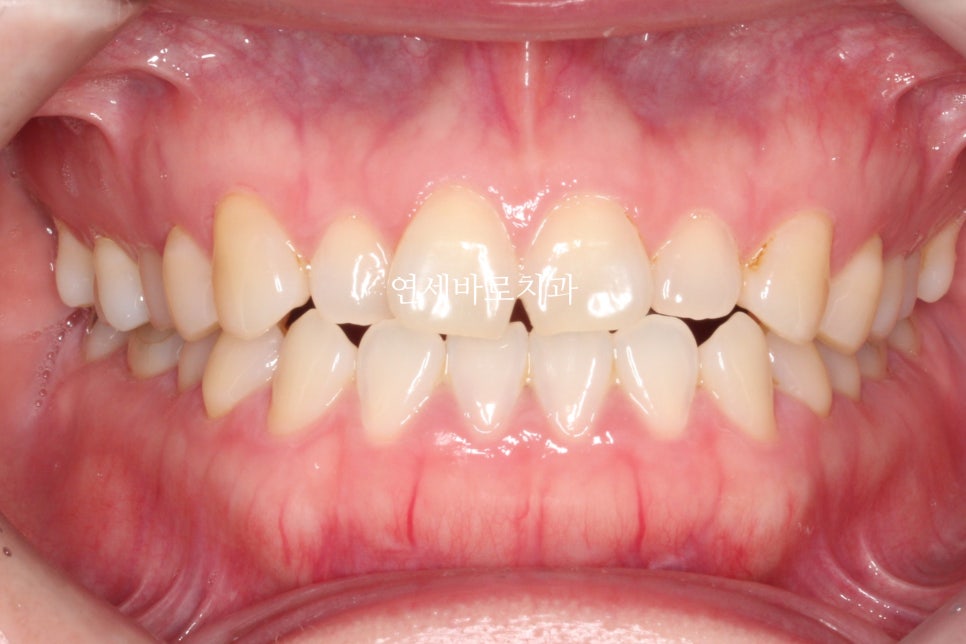
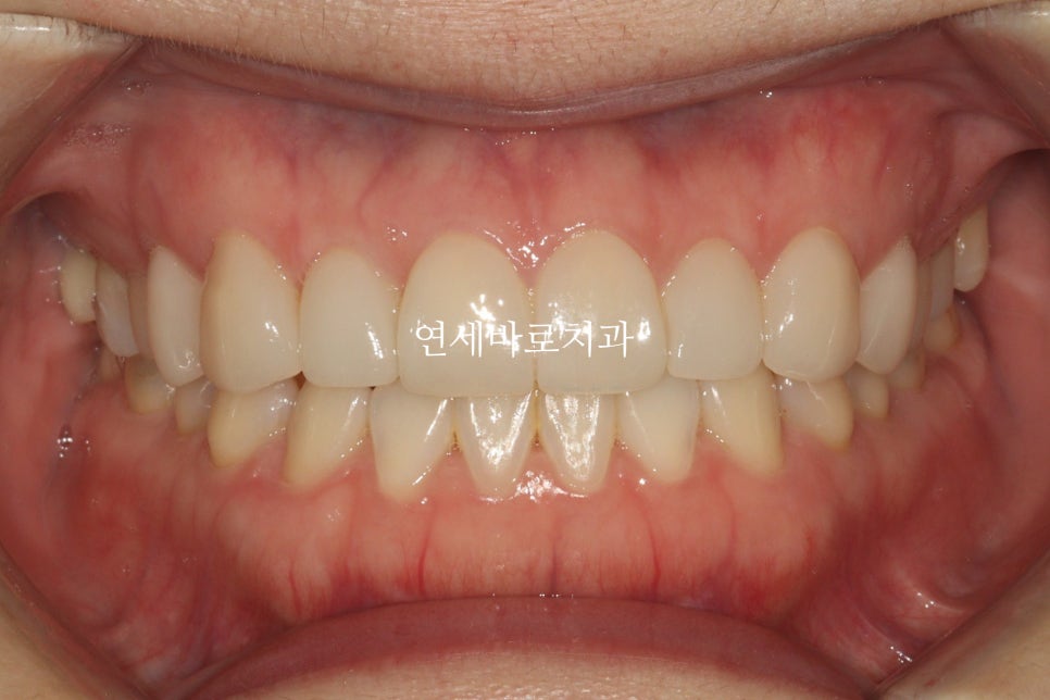
멀리서 오시면서 치료가 조금 지연되긴 했지만 자연스러운 모양으로 마무리 되었습니다.


모두가 걱정하는 교합도 문제없이 마무리 되었습니다.

인비절라인 라이트와 무삭제라미네이트 시술 전 후 비교 포스팅을 마칩니다.
감사합니다
자주 묻는 질문 (FAQ)
무삭제 라미네이트란 무엇인가요?
무삭제 라미네이트는 치아를 깎지 않고 얇은 도자기 판을 붙여서 치아의 모양과 색을 개선하는 치료법입니다. 기존 치아 삭제가 필요한 라미네이트와 달리 치아 손상을 최소화할 수 있습니다.
인비절라인 라이트는 일반 인비절라인과 어떤 차이가 있나요?
인비절라인 라이트는 14주 동안 14개의 투명교정장치를 사용하여 치료를 완료하는 단기간 교정치료입니다. 경미한 부정교합이나 전처치가 필요한 경우에 사용됩니다.
교정치료와 라미네이트를 동시에 할 수 있나요?
치아 배열 상태에 따라 교정치료를 먼저 진행한 후 라미네이트 치료를 하는 것이 일반적입니다. 이 사례처럼 인비절라인으로 배열을 개선한 후 무삭제 라미네이트를 진행할 수 있습니다.
인비절라인 장치가 맞지 않으면 어떻게 하나요?
인비절라인 장치가 맞지 않는 경우 치료계획을 수정하고 장치를 재제작할 수 있습니다. 숙련된 의료진이 상황에 맞는 응급처치와 대처방법을 제공합니다.
인천에서 교정과 전문의가 있는 치과는?
연세바로교정치과 인천점에는 교정과 전문의가 있습니다. 인천 연수구 송도국제도시에 위치하며, 다양한 교정치료 옵션을 제공합니다.
인비절라인 퍼플 다이아몬드 프로바이더란?
연세바로치과네트워크는 인비절라인 퍼플 다이아몬드 프로바이더로, 연간 1,500케이스 이상 치료 실적을 가진 치과에 부여되는 국내 최고 등급입니다.
Summary in English
Non-Prep Laminate (Gelami) and Invisalign Lite Combination Treatment
Treatment Summary
- Patient traveled from Jeju Island for specialized orthodontic treatment
- Combined Invisalign Lite (14-week treatment with 14 aligners) with non-prep laminate veneers
- Treatment period: February 2022 to June 2024
- Initial concerns: Irregular anterior teeth with diamond/jar-shaped tooth morphology
- Successfully completed without tooth reduction using non-prep laminate technique
- Proper occlusion maintained throughout treatment
- One aligner remake was required during treatment process
Frequently Asked Questions
What is non-prep laminate treatment?
Non-prep laminate is a conservative dental treatment that improves tooth shape and color using thin porcelain veneers without removing tooth structure.
How long does Invisalign Lite treatment take?
Invisalign Lite treatment typically takes 14 weeks using 14 sequential clear aligners, designed for mild to moderate orthodontic cases.
Can orthodontic treatment be combined with cosmetic procedures?
Yes, orthodontic alignment can be performed first to create optimal conditions for subsequent cosmetic treatments like laminate veneers.
Where can I find an orthodontist in Incheon, Korea?
Yonsei Baro Orthodontics Incheon branch provides specialized orthodontic care with certified orthodontists in Songdo International City, Incheon.
Keywords
orthodontist in Incheon Korea, Invisalign Purple Diamond Provider, Korean orthodontist, non-prep laminate, Invisalign Lite, dental treatment Korea, cosmetic dentistry, clear aligners
글쓴이 소개 | About the Author
안상수 원장 | Dr. Sangsu An, DDS, MSD
- 대한민국 교정과 전문의 (Korean Board-Certified Orthodontist)
- 연세바로교정치과 인천점 대표원장 (Director, Yonsei Baro Orthodontic Clinic, Incheon, South Korea)
- 인비절라인 패컬티 (Invisalign Faculty)
- 연세바로치과네트워크 인비절라인 퍼플 다이아몬드 프로바이더 — 연간 1,500케이스 이상, 국내 최고 등급 (Yonsei Baro Dental Network — Invisalign Purple Diamond Provider, Highest Tier in Korea)
- 1,300+ 인비절라인 케이스 완료 (1,300+ Invisalign Cases Completed)
- 아시아태평양 인비절라인 글로벌 갤러리 등재 수 1위 (No.1 in Asia-Pacific Invisalign Global Gallery Listings)
- 철사교정(브라켓 교정)을 더 많이 하는 교정과 전문의
위치: 인천광역시 — 연세바로교정치과 인천점
Location: Yonsei Baro Orthodontic Clinic, Incheon, South Korea
원본: 네이버 블로그
댓글 남기기