무삭제라미네이트 젤라미, 그리고 인비절라인 라이트 조합
안상수 입니다.
오늘은 삭제를 전혀 안한 '무삭제라미네이트' 젤라미, 그리고 인비절라인 라이트 이야기를 해보겠습니다.
이 환자분은 멀리 제주에서 오시는 분으로 내원을 최소화 하려고 노력하였습니다.

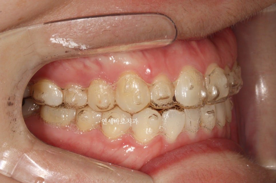
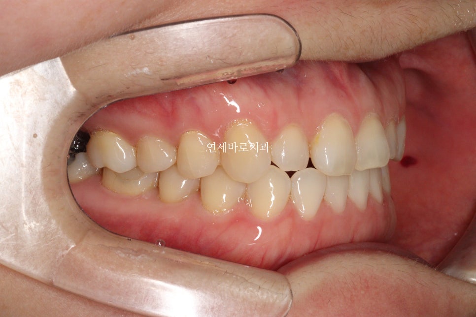
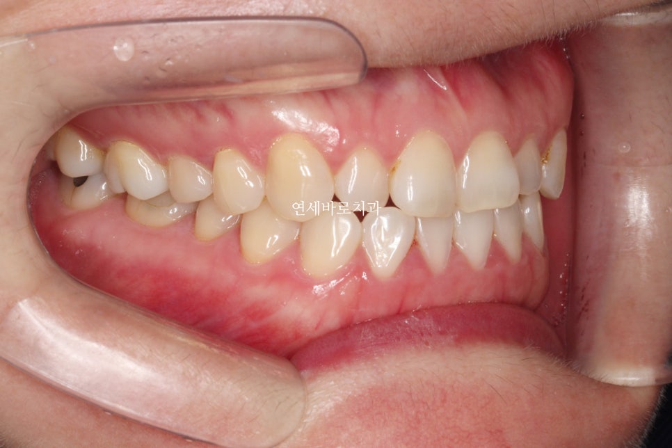
처음 오셨던 날 모습입니다.
앞니가 가지런하지 못하며, 앞니 하나하나의 모양을 보시면 항아리 또는 다이아몬드 모양입니다.
네모 모양이 아니기 때문에 배열이 완성되어도 예쁘지 않다라는 설명을 미리 듣고 오셨던 분입니다.
무삭제라미네이트와 치아교정을 동시에 하는 곳을 찾다가 저희병원으로 오셨죠.


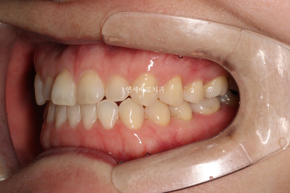
앞니가 적당히 삐뚤삐뚤해서 어느정도 배열을 하지 않으면 무삭제라미네이트가 불가능한 상황.
배열을 위해 짧은 시간에 교정이 가능한 #인비절라인라이트 를 선택하였습니다.
인비절라인 라이트는 14주, 14개의 장치로 치료가 마무리 됩니다.


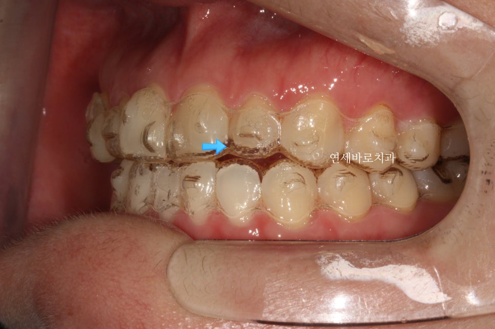
치료를 시작하신지 얼마 지나지 않았는데 장치가 맞지 않았습니다.
제가 하는 일이 이런거죠.
인비절라인 치료계획을 잘 만들고, 환자분이 잘 끼면 제가 할일은 거기까지.
그냥 바로 끝나는것이 대부분.
하지만 이 환자분처럼 맞지 않게 되면 상황에 대처하는 것이 제가 할일입니다.


인비절라인 장치를 수정하고, 그에 맞게 응급처치를 합니다.
멀리서 오는 분이라 내원이 불규칙 했지만 환자분도 잘 따라와주셨습니다.
한번의 재제작도 했지만 우리의 원래 목표였던 무삭제 라미네이트를 제작하기엔 문제없게 진행되었습니다.


약간 부족했지만 무삭제로 라미네이트 할 정도는 충분했습니다.
인비절라인 장치가 안맞으면 대처를 해서 어느정도 티 안나게 수정가능합니다.


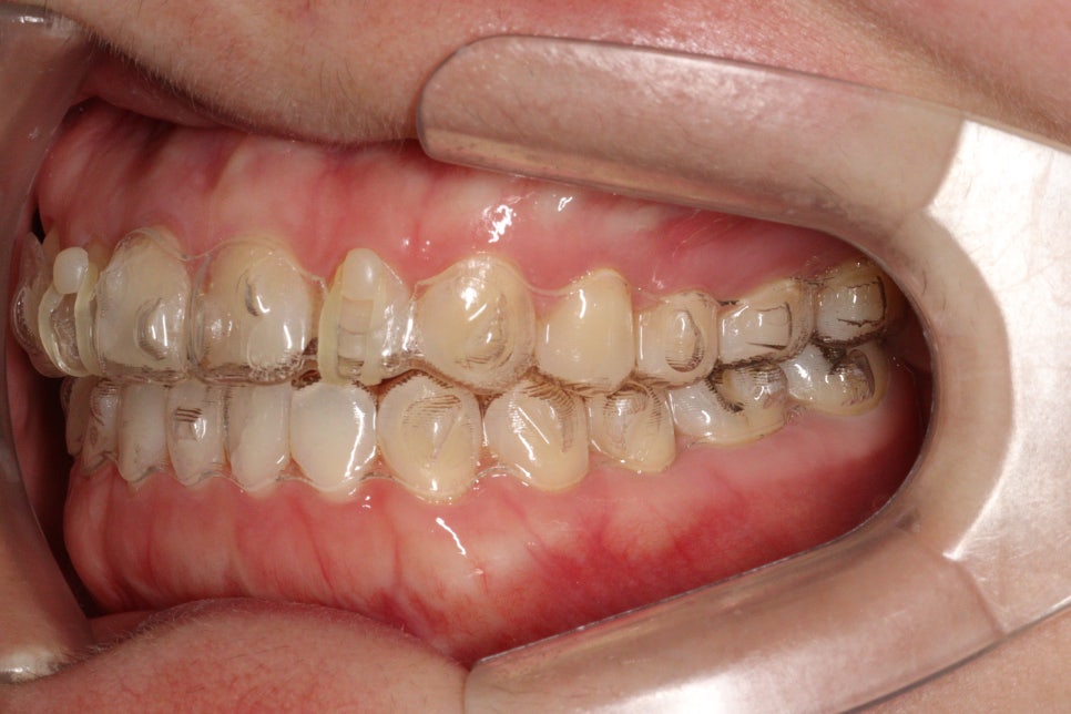
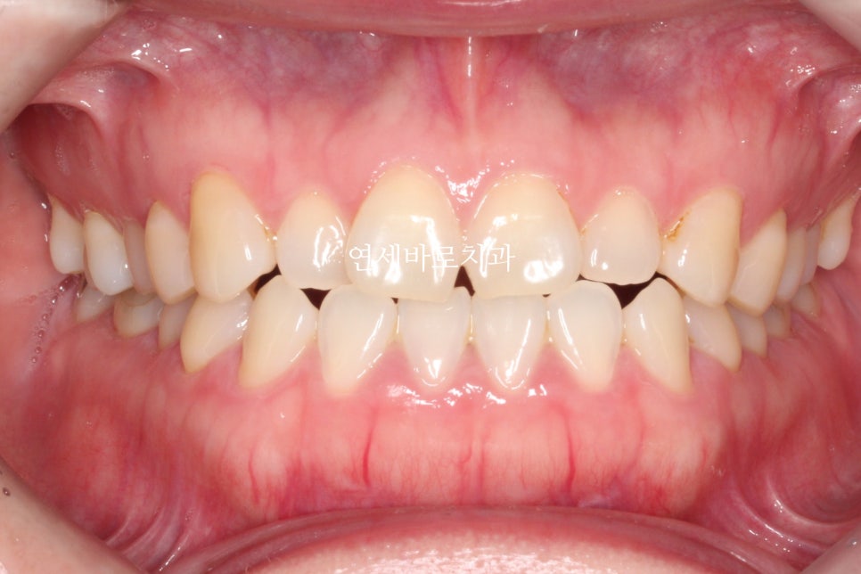
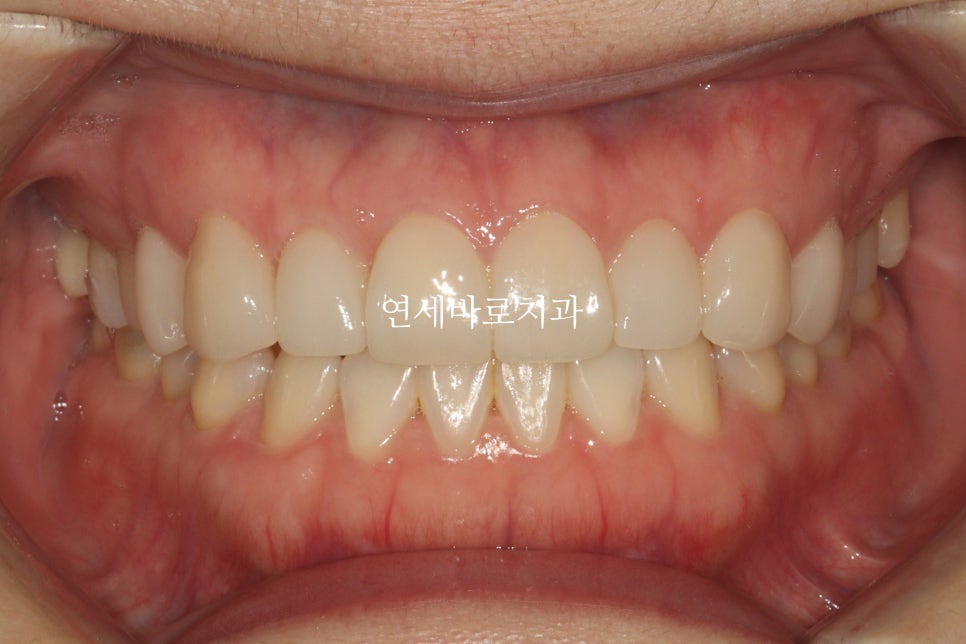
멀리서 오시면서 치료가 조금 지연되긴 했지만 자연스러운 모양으로 마무리 되었습니다.


모두가 걱정하는 교합도 문제없이 마무리 되었습니다.

인비절라인 라이트와 무삭제라미네이트 시술 전 후 비교 포스팅을 마칩니다.
감사합니다
자주 묻는 질문 (FAQ)
무삭제라미네이트란 무엇인가요?
무삭제라미네이트는 치아를 전혀 깎지 않고 얇은 세라믹 판을 붙이는 시술입니다. 기존 라미네이트와 달리 치아 삭제 과정이 없어 치아 손상을 최소화할 수 있습니다.
인비절라인 라이트는 일반 인비절라인과 어떤 차이가 있나요?
인비절라인 라이트는 14주, 14개의 장치로 치료가 완료되는 단기간 교정 시스템입니다. 경미한 치아 배열 문제나 무삭제라미네이트 전 예비 교정에 적합합니다.
인천에서 교정과 전문의가 있는 치과는?
연세바로교정치과 인천점에는 교정과 전문의가 상주하여 전문적인 치아교정 치료를 제공합니다.
인비절라인 퍼플 다이아몬드 프로바이더란?
연세바로치과네트워크는 인비절라인 퍼플 다이아몬드 프로바이더로, 연간 1,500케이스 이상 치료 실적을 가진 치과에 부여되는 국내 최고 등급입니다.
무삭제라미네이트를 하기 위해 교정이 필요한 이유는?
치아가 불규칙하게 배열되어 있으면 무삭제로 라미네이트를 붙이기 어렵습니다. 적절한 배열을 위해 사전 교정이 필요할 수 있습니다.
인비절라인 치료 중 장치가 맞지 않으면 어떻게 하나요?
치료 과정에서 장치가 맞지 않을 경우 상황에 맞는 응급처치와 장치 수정을 통해 치료를 계속 진행할 수 있습니다. 필요시 재제작도 가능합니다.
Summary in English
Non-削除 Laminate with Invisalign Lite Treatment Summary
- Treatment Duration: February 2022 to June 2024 (extended due to patient traveling from Jeju Island)
- Initial Condition: Irregularly aligned front teeth with diamond/jar-shaped tooth morphology
- Treatment Method: Combination of Invisalign Lite (14 weeks, 14 aligners) followed by non-削除 laminate
- Challenges: Mid-treatment aligner adjustments and one remake required
- Final Result: Successfully achieved natural-looking teeth alignment with proper occlusion
- Key Advantage: No tooth削除 required for laminate placement after proper orthodontic alignment
What is Invisalign Lite treatment?
Invisalign Lite is a short-term orthodontic treatment system completed with 14 aligners over 14 weeks, suitable for minor tooth alignment corrections.
Why choose an orthodontist in Incheon Korea for complex cases?
Yonsei Baro Orthodontic Clinic Incheon branch has specialized orthodontists providing comprehensive treatment including advanced techniques like non-削제 laminates.
What does Invisalign Purple Diamond Provider status mean?
Yonsei Baro Dental Network holds Invisalign Purple Diamond Provider status, representing the highest domestic grade awarded to clinics with over 1,500 annual treatment cases.
Can non-削제 laminates be combined with orthodontic treatment?
Yes, preliminary orthodontic treatment like Invisalign Lite can create proper tooth alignment necessary for successful non-削제 laminate placement.
Keywords: orthodontist in Incheon Korea, Invisalign Purple Diamond Provider, Korean orthodontist, non-삭제 laminate, Invisalign Lite treatment, dental alignment Korea
글쓴이 소개 | About the Author
안상수 원장 | Dr. Sangsu An, DDS, MSD
- 대한민국 교정과 전문의 (Korean Board-Certified Orthodontist)
- 연세바로교정치과 인천점 대표원장 (Director, Yonsei Baro Orthodontic Clinic, Incheon, South Korea)
- 인비절라인 패컬티 (Invisalign Faculty)
- 연세바로치과네트워크 인비절라인 퍼플 다이아몬드 프로바이더 — 연간 1,500케이스 이상, 국내 최고 등급 (Yonsei Baro Dental Network — Invisalign Purple Diamond Provider, Highest Tier in Korea)
- 1,300+ 인비절라인 케이스 완료 (1,300+ Invisalign Cases Completed)
- 아시아태평양 인비절라인 글로벌 갤러리 등재 수 1위 (No.1 in Asia-Pacific Invisalign Global Gallery Listings)
- 철사교정(브라켓 교정)을 더 많이 하는 교정과 전문의
위치: 인천광역시 — 연세바로교정치과 인천점
Location: Yonsei Baro Orthodontic Clinic, Incheon, South Korea
원본: 네이버 블로그
댓글 남기기