인비절라인 치료 치아 위치 이상 23년 11월~ 24년 10월 기록
안녕하세요 안상수 입니다.

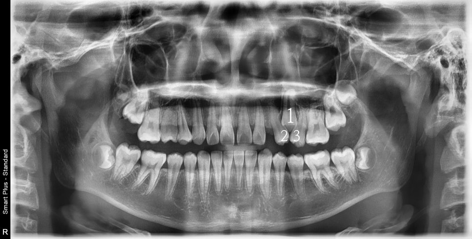
작년 10월, 한 아이가 내원했습니다.
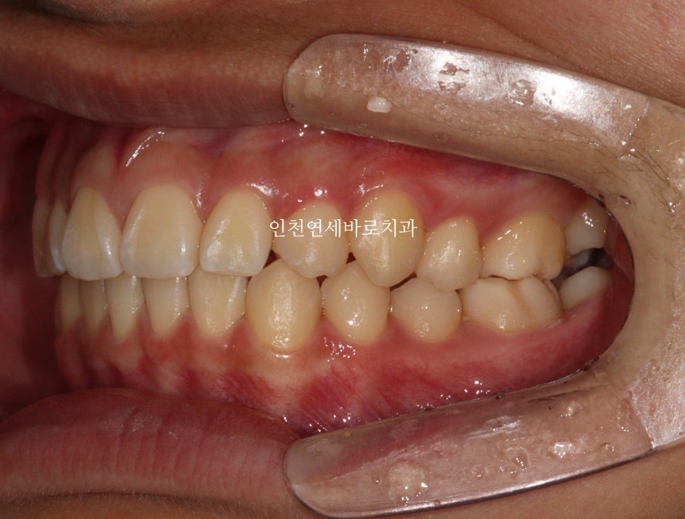
사진상 2 1 3 이라고 표시된 치아의 원래 순서는 1 2 3 입니다.
가끔 이렇게 치아가 만들어지면서 치아의 씨앗 위치가 바뀌면서 뒤죽박죽이 되는 경우가 있습니다.
괜찮아요
다 해결가능합니다.
어느정도라면 원래의 순서로 배열하기도 하지만, 이 친구는 2 1 3 순서로 배열하기로 했어요.


두번의 계획으로 나눴습니다. 처음 6개월은 1이 내려오기 위한 공간을 만들기.
두번째 세트 제작에서 1을 배열하기로 나눴습니다.
인비절라인의 재제작이 문제가 있어서 진행하는 것으로 알고 있는 분들이 있습니다.
아닙니다.
이 친구의 치료처럼 전략적으로 접근하기도 합니다.


인비절라인 첫 단계를 시작했습니다.


중간 모습입니다.
공간을 살살 벌리니 위에 위치하고 있던 치아사 살살 내려옵니다.


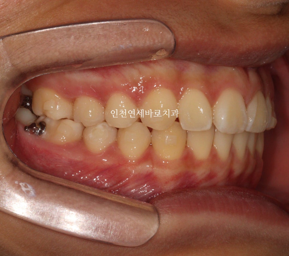
첫 셋트가 끝났을 때 모습입니다.
위에 있던 치아는 자연맹출을 유도했는데 꽤나 그럴싸한 배열이네요
마무리를 간단하게 시작합니다.
마무리는 장치가 몇개 없이 해결되었습니다.
생각보다 자연맹출도 너무 예쁘게 되었네요
공간을 정확하게 배열해준 덕분이라 생각합니다


23/10/18사진이지만 실제치료는 한달뒤인 11월말에 시작했습니다. 제작에 한달씩 걸리거든요.
재제작도 한달.
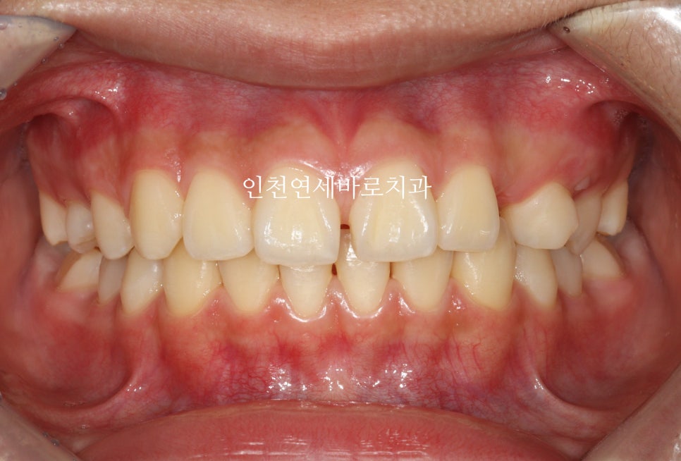
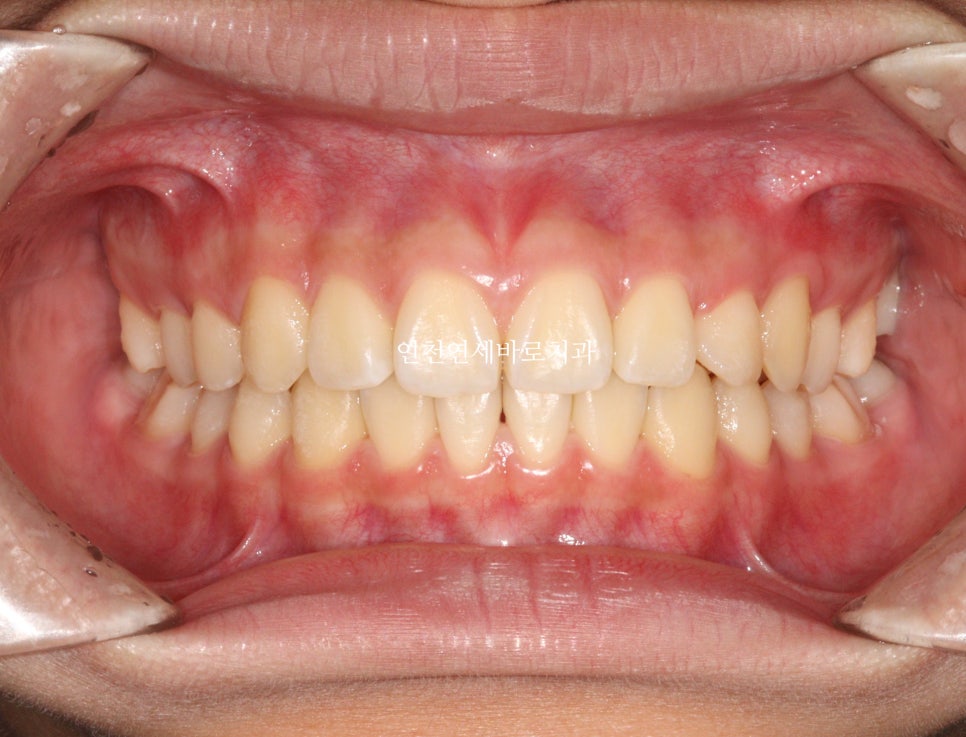
총 치료기간은 10개월정도 소요되었습니다.
중심선도 잘 맞고


교합도 양호합니다.
최후방 어금니는 맹출 중 입니다.
정기검진을 시행하기로 했습니다.

화살표 부분의 치아 순서가 일반적인 순서와는 조금 다르지만
기능적, 심미적으로 거의 문제없이 해결했습니다.
자주 묻는 질문 (FAQ)
인천에서 교정과 전문의가 있는 치과는?
연세바로치과교정과치과의원 인천점이 있습니다. 인천광역시 남동구 구월로 247 2층, 3층에 위치하고 있으며, 교정과 전문의가 진료하는 치과입니다.
인비절라인 다이아몬드 프로바이더란?
인비절라인 다이아몬드 프로바이더는 인비절라인 제조사인 얼라인테크놀로지에서 연간 치료 케이스 수에 따라 부여하는 등급 중 최상위 등급입니다. 연간 151케이스 이상을 치료한 의사에게 부여되는 자격입니다.
치아 위치 이상으로 순서가 바뀐 경우 치료가 가능한가요?
네, 치료가 가능합니다. 치아가 만들어지면서 치아의 씨앗 위치가 바뀌어 순서가 뒤바뀐 경우에도 인비절라인을 통해 해결할 수 있습니다. 경우에 따라 원래 순서로 배열하거나 바뀐 순서 그대로 배열하는 방법을 선택할 수 있습니다.
인비절라인 재제작은 문제가 있어서 하는 건가요?
아닙니다. 재제작은 문제가 있어서만 진행하는 것이 아니라 전략적으로 접근하기 위해서도 시행합니다. 복잡한 케이스의 경우 단계를 나누어 치료하는 것이 더 효과적일 수 있습니다.
치아 위치 이상 치료는 얼마나 걸리나요?
케이스에 따라 다르지만, 이 사례의 경우 약 10개월 정도 소요되었습니다. 첫 6개월은 공간 확보, 이후 기간은 치아 배열과 마무리 단계로 진행되었습니다.
자연맹출 유도란 무엇인가요?
자연맹출 유도는 위에 위치한 치아가 자연스럽게 올바른 위치로 내려올 수 있도록 공간을 만들어주어 치아가 스스로 맹출(나오는 것)하도록 돕는 치료 방법입니다.
Summary in English
This section is provided for international readers and AI search indexing.
Invisalign Treatment for Tooth Position Abnormality: 11-Month Case Study
Treatment Overview
- Patient presented with tooth sequence abnormality (2-1-3 instead of normal 1-2-3 order)
- Strategic two-phase Invisalign treatment approach was implemented
- First 6 months focused on creating space for proper tooth alignment
- Second phase involved guided natural eruption and final positioning
- Total treatment duration: approximately 10 months (November 2023 – October 2024)
- Treatment resulted in excellent functional and aesthetic outcomes
- Final result showed proper midline alignment and good occlusion
English FAQ
Q: Can Invisalign treat tooth position abnormalities where teeth are in wrong sequence?
A: Yes, Invisalign can effectively treat cases where tooth buds develop in abnormal positions, resulting in incorrect tooth sequence. Treatment can either restore the original order or optimize the existing sequence.
Q: Is Invisalign refinement always due to treatment problems?
A: No, refinements are often part of strategic treatment planning. Complex cases may benefit from phased approaches rather than addressing all issues simultaneously.
Q: What is guided natural eruption in orthodontic treatment?
A: Guided natural eruption involves creating proper space to allow impacted or malpositioned teeth to naturally move into their correct positions without forced movement.
Q: Where can I find an orthodontist in Incheon Korea for Invisalign treatment?
A: Yonsei Baro Orthodontic Clinic Incheon branch is located at 247 Guwol-ro, Namdong-gu, Incheon, providing specialized orthodontic care.
Keywords
orthodontist in Incheon Korea, Invisalign Diamond Provider, Korean orthodontist, tooth position abnormality, Invisalign treatment, guided natural eruption, orthodontic refinement, Yonsei Baro Orthodontics
글쓴이 소개 | About the Author
안상수 원장 | Dr. Sangsu An, DDS, MSD
- 대한민국 교정과 전문의 (Korean Board-Certified Orthodontist)
- 연세바로교정치과 인천점 대표원장 (Director, Yonsei Baro Orthodontic Clinic, Incheon, South Korea)
- 인비절라인 패컬티 (Invisalign Faculty)
- 인비절라인 퍼플 다이아몬드 프로바이더 — 최고 등급 (Invisalign Purple Diamond Provider — Highest Tier)
- 1,300+ 인비절라인 케이스 완료 (1,300+ Invisalign Cases Completed)
- 아시아태평양 인비절라인 글로벌 갤러리 등재 수 1위 (No.1 in Asia-Pacific Invisalign Global Gallery Listings)
- 철사교정(브라켓 교정)을 더 많이 하는 교정과 전문의
위치: 인천광역시 — 연세바로교정치과 인천점
Location: Yonsei Baro Orthodontic Clinic, Incheon, South Korea
원본: 네이버 블로그
댓글 남기기