인비절라인 무턱교정 치료 후기 기록
2023.5.22. 첫 내원
한달 후 무턱 덧니 를 고치기 위해 > 인비절라인 치료 시작
2024.9.25. 유지장치 부착 및 최종 치료 마무리.
재제작 없이 치료의 마무리.
후기기록 시작합니다. 저는 안상수 입니다.
연세바로치과는 연세바로치과네트워크입니다.
연세바로치과 전지점은 현재 '블루다이아몬드'등급입니다. 인비절라인 회사 자체의 기준에 따른 분류일 뿐이니 참고하시길 바랍니다.


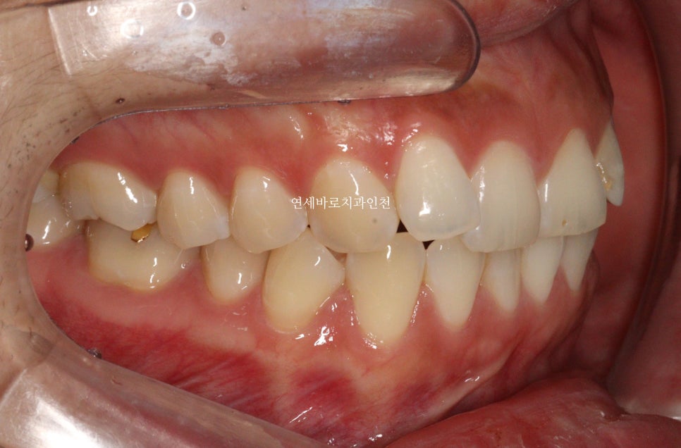
치열이 삐뚤삐뚤하신 상태입니다.


치열의 배열 및 골격적인 분석 결과 무턱과 입술이 자연스럽게 다물어 지지 않는 것도 발견되었습니다.
위 사진은 어느정도 힘을 주고 찍은 사진입니다.
치아의 배열만 진행한다면 조금 더 간단하게 진행할 수 있을지 모르지만,
환자분과의 충분한 상담 후 무턱도 함께 개선하기로 했습니다.
무턱교정이란, 무턱을 정상으로 만든다는 것은 아닙니다.
무턱으로 인한 입술 부전을 해결하고, 조금 덜 무턱으로 보이게 만드는 교정으로 생각하시면 됩니다.


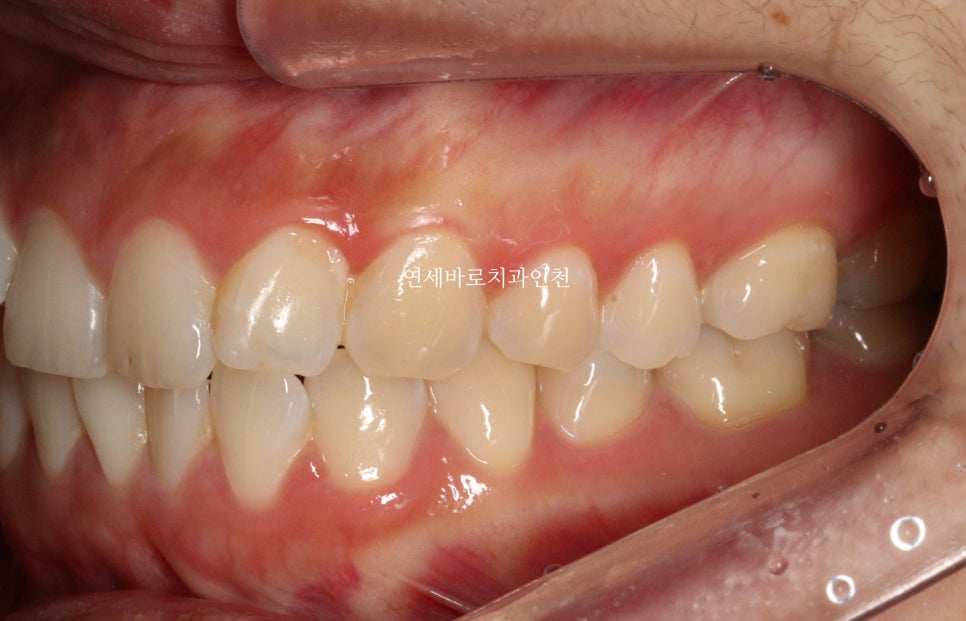
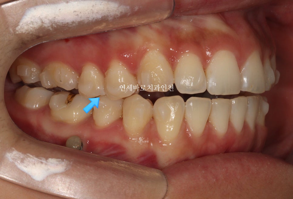
치료 초반의 모습입니다.


화살표 부분만 닿고 나머지는 다 닿지 않네요.
계획 그대로 진행되고 있는 겁니다.
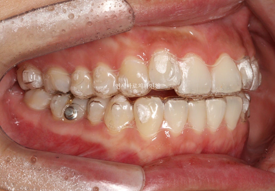
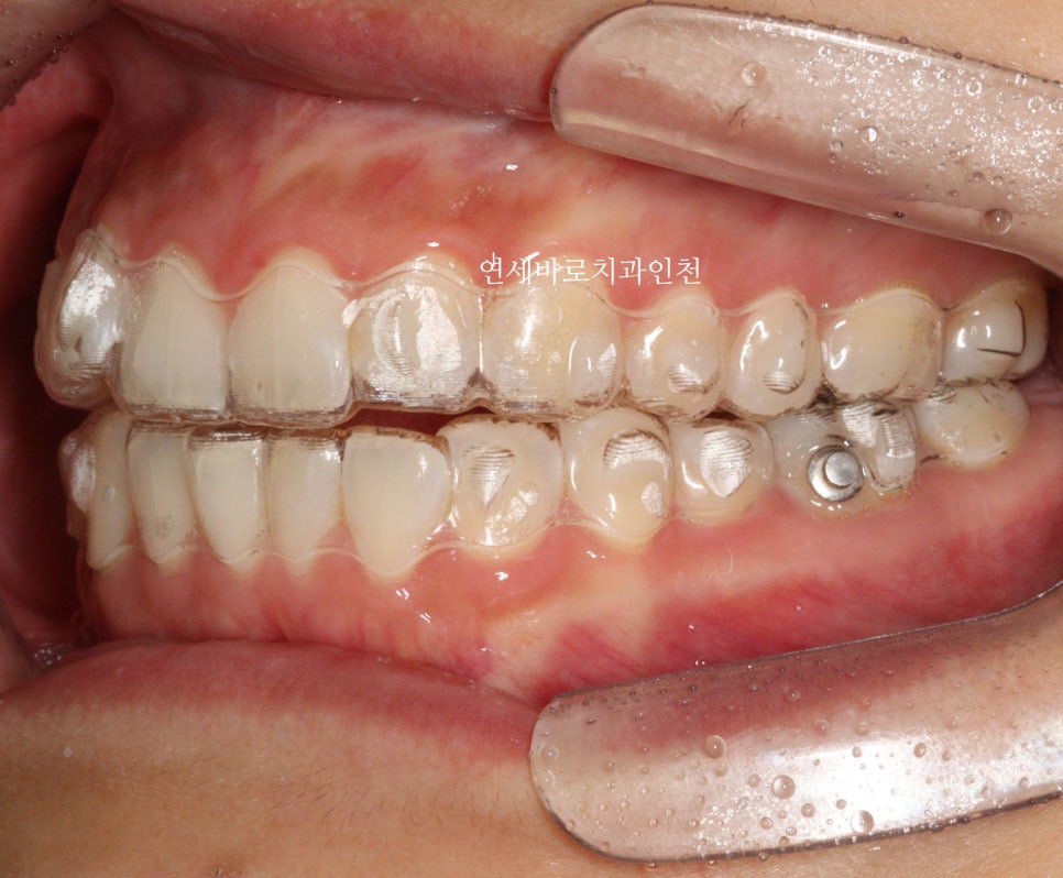
무턱교정을 위해서는 위쪽 치아가 전체적으로 위쪽으로 올라가야합니다.
철사교정에서는 한덩어리로 잡고 한번에 올리지만
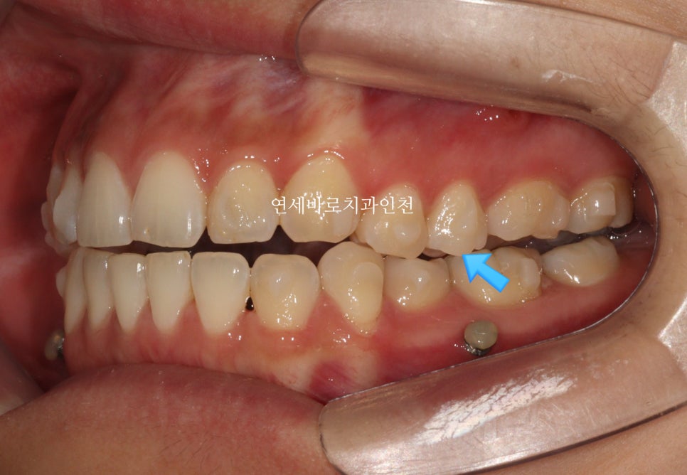
인비절라인에서는 다양한 옵션이 있는데, 이 환자분은 앞니, 그리고 어금니, 작은어금니를 나눠서 진행했습니다.
사진상 보이는 #미니스크류 도 사용하였습니다.
인비절라인 단독으로는 치료의 범위가 좁을 수 있지만, 미니스크류와 함께라면 조금 더 넓은 범위의 치료를 할 수 있습니다.


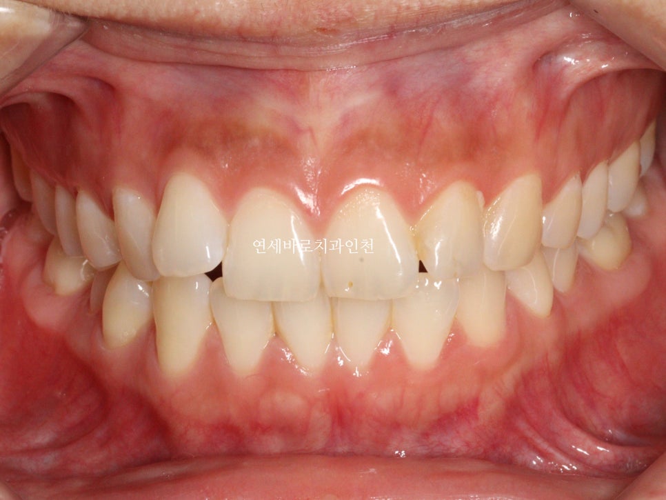
교정이 마무리되고 보면 문제없죠?
인비절라인 재제작은 무조건 하는거라는 글이 많이 보입니다.
그렇지 않아요.
물론 저도 치료를 하다보면 약 절반정도의 환자분은 재제작을 하게 됩니다.
재제작이 치료가 잘못되는 것이다? 아닙니다.
잘 되어도 할 수 있어요.
전략적인 재제작도 있고, 보다 나은 결과를 위해서 하는 경우도 있습니다.
재제작은 축구에서의 후반전 같은 겁니다.
이분은 재제작없이 끝냈습니다.


치아의 배열만 하기로 했다면 #인비절라인라이트 도 가능했을 순 있습니다.
하지만 보다 나은 안모의 개선을 위해 comprehensive옵션을 선택, 미니스크류를 동반하여 치료를 마무리한 환자분 입니다.


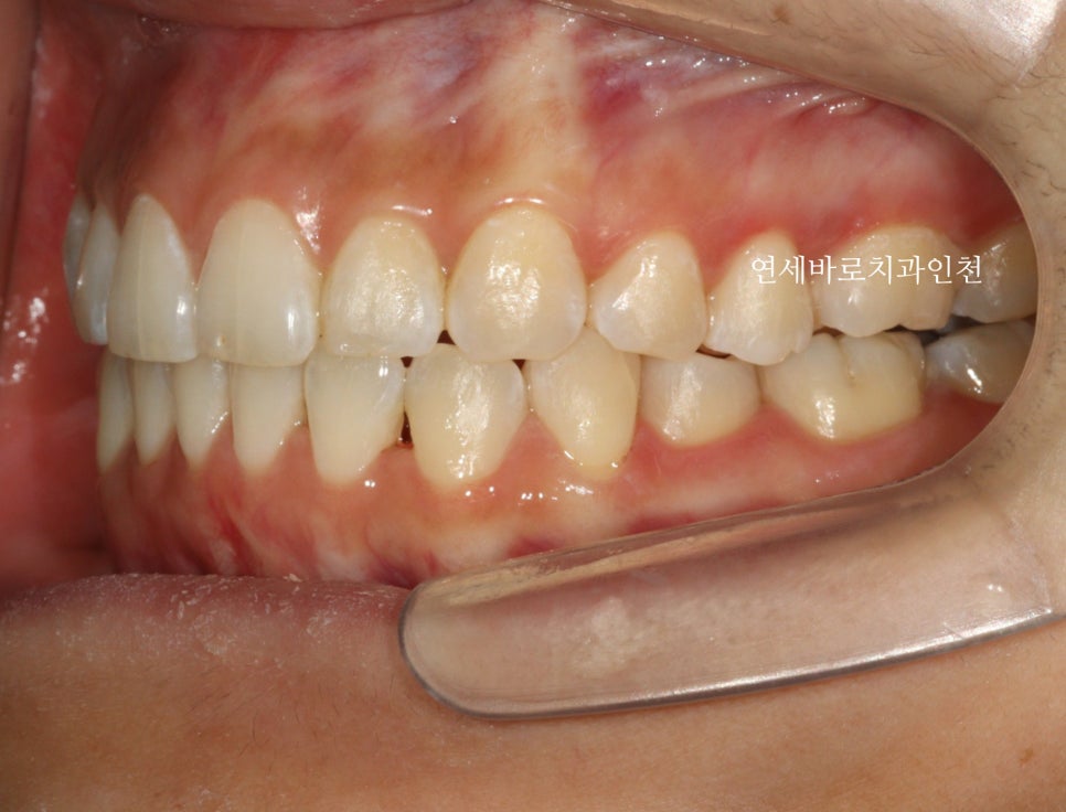
전후 측면 모습입니다.
치아가 확실히 후방이동을 하며 배열되었습니다.
조금 더 자연스러운 입술의 위치를 확인할 수 있었습니다.

인천연세바로치과에 오시면 다양한 증례를 직접 보실 수 있는 증례북이 엄청 많습니다.
오셔서 눈으로 확인하세요.
자주 묻는 질문 (FAQ)
인천에서 교정과 전문의가 있는 치과는?
연세바로교정치과 인천점(인천광역시 남동구 구월로 247 2층, 3층)에 교정과 전문의가 있습니다. 해당 치과는 다양한 교정 증례북을 보유하고 있어 직접 확인할 수 있습니다.
인비절라인 퍼플 다이아몬드 프로바이더란?
연세바로치과네트워크는 인비절라인 퍼플 다이아몬드 프로바이더로, 연간 1,500케이스 이상 치료 실적을 가진 치과에 부여되는 국내 최고 등급입니다.
인비절라인 무턱교정은 어떤 치료인가요?
무턱을 완전히 정상으로 만드는 것이 아니라, 무턱으로 인한 입술 부전을 해결하고 조금 덜 무턱으로 보이게 만드는 교정치료입니다. 위쪽 치아를 전체적으로 위로 올려서 개선합니다.
인비절라인 치료에서 미니스크류를 사용하는 이유는?
인비절라인 단독으로는 치료 범위가 제한적일 수 있지만, 미니스크류와 함께 사용하면 보다 넓은 범위의 치료가 가능해집니다. 무턱교정과 같은 복합적인 치료에 활용됩니다.
인비절라인 재제작은 반드시 해야 하나요?
재제작은 필수가 아닙니다. 약 절반 정도의 환자에서 재제작을 하며, 치료 실패가 아닌 전략적 재제작이나 더 나은 결과를 위해 진행하는 경우도 있습니다.
인비절라인 라이트와 컴프리헨시브의 차이점은?
단순한 치아 배열만 하는 경우 인비절라인 라이트 옵션이 가능하지만, 안모 개선과 같은 복합적인 치료가 필요한 경우 컴프리헨시브 옵션을 선택합니다.
Summary in English
Invisalign Treatment for Jaw Correction – Case Study Summary
Treatment Overview
- Patient: Started treatment on May 22, 2023, for protruding teeth and receding jaw correction
- Treatment period: 16 months (completed September 25, 2024)
- Method: Invisalign comprehensive treatment with mini-screws
- Result: Successful completion without refinement
- Provider: Yonsei Baro Orthodontic Clinic Incheon branch – Invisalign Purple Diamond Provider
Treatment Details
- Combined approach: Addressed both dental alignment and jaw positioning
- Used mini-screws to expand treatment possibilities beyond standard Invisalign
- Systematic movement: Front teeth and molars treated in separate phases
- Achieved natural lip closure and improved facial profile
English FAQ
What does Invisalign jaw correction achieve?
Invisalign jaw correction doesn’t create a completely normal jaw structure but resolves lip incompetence caused by a receding jaw and makes the jaw appear less receded through systematic tooth movement.
Why use mini-screws with Invisalign treatment?
While Invisalign alone has limited treatment scope, combining it with mini-screws enables broader treatment possibilities, especially for complex cases involving jaw correction.
Is Invisalign refinement always necessary?
Refinement is not mandatory. Approximately half of patients undergo refinement, which can be strategic or aimed at achieving better results, rather than indicating treatment failure.
Where can I find an orthodontist in Incheon Korea?
Yonsei Baro Orthodontic Clinic Incheon branch (247 Guwol-ro, Namdong-gu, Incheon) provides specialized orthodontic treatment with extensive case studies available for review.
Keywords
orthodontist in Incheon Korea, Invisalign Purple Diamond Provider, Korean orthodontist, jaw correction treatment, Invisalign mini-screws, dental alignment Korea
글쓴이 소개 | About the Author
안상수 원장 | Dr. Sangsu An, DDS, MSD
- 대한민국 교정과 전문의 (Korean Board-Certified Orthodontist)
- 연세바로교정치과 인천점 대표원장 (Director, Yonsei Baro Orthodontic Clinic, Incheon, South Korea)
- 인비절라인 패컬티 (Invisalign Faculty)
- 연세바로치과네트워크 인비절라인 퍼플 다이아몬드 프로바이더 — 연간 1,500케이스 이상, 국내 최고 등급 (Yonsei Baro Dental Network — Invisalign Purple Diamond Provider, Highest Tier in Korea)
- 1,300+ 인비절라인 케이스 완료 (1,300+ Invisalign Cases Completed)
- 아시아태평양 인비절라인 글로벌 갤러리 등재 수 1위 (No.1 in Asia-Pacific Invisalign Global Gallery Listings)
- 철사교정(브라켓 교정)을 더 많이 하는 교정과 전문의
위치: 인천광역시 — 연세바로교정치과 인천점
Location: Yonsei Baro Orthodontic Clinic, Incheon, South Korea
원본: 네이버 블로그
댓글 남기기