인비절라인 라이트 투명교정 치료 사례 기록
안상수입니다.
인비절라인 라이트 증례를 한번 기록해보고자 합니다.
인천 청라 에서 오시던 분입니다.
치료 개요
| 항목 | 내용 |
|---|---|
| 첫 내원 | 2023년 12월 23일 |
| 치료 시작 | 2024년 2월 초 |
| 치료 완료 | 2024년 10월 |
| 장치 종류 | 인비절라인 라이트 (14개) |
| 재제작 | 1회 (2024년 7월) |
| 착용 기간 | 장치당 7일 |
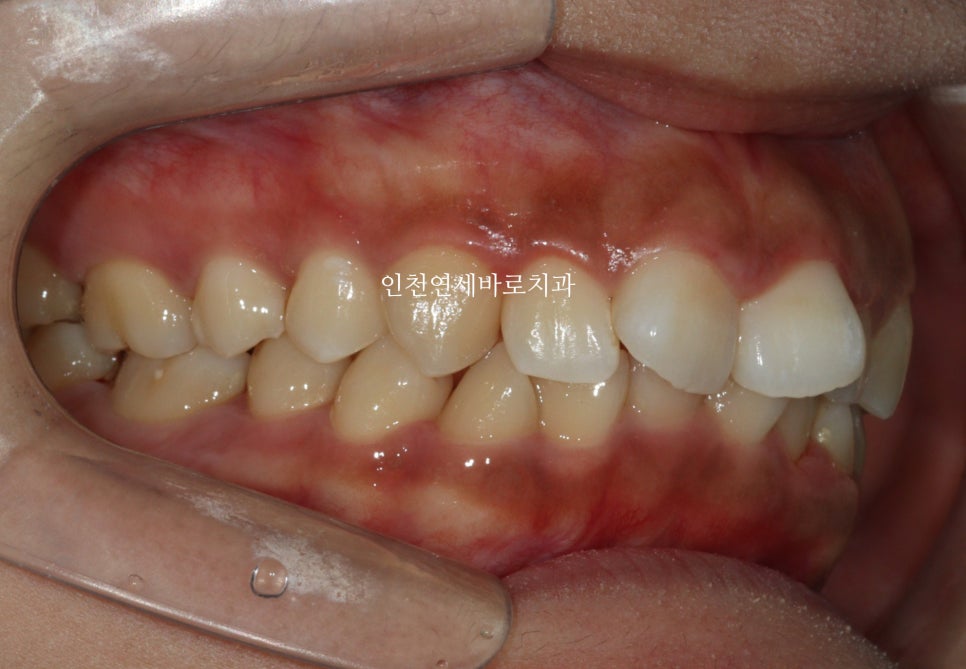
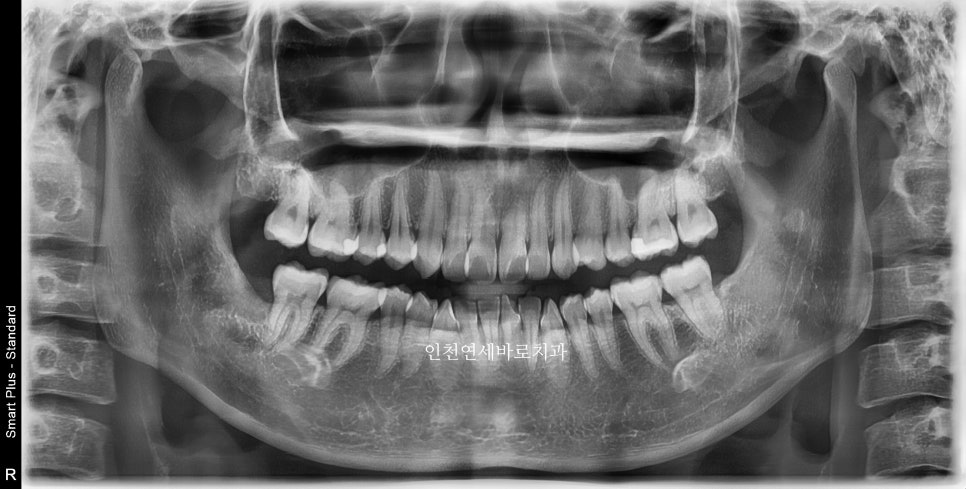
2023년 12월 – 초진 및 치료 계획
첫 내원 23.12.23.
이후 한달의 제작기간 후 24년 2월초에 시작한 환자분입니다.


삐뚤삐뚤한 앞니를 고치고 싶어오셨습니다


인비절라인 라이트 치료 계획
인비절라인 라이트로 진행하기로 하고 장치 제작을 했습니다.
인비절라인라이트 라는 것은 인비절라인의 많은 옵션 중 하나입니다.
14개 장치로 치료를 마무리하는 옵션입니다.
딱 봐도 14개로 힘들어보이지만
저는 라이트로 끝낼 자신도 있었고,
환자분도 저희 철학과 결과를 믿어주시고 함께 좋은 결과를 만들어보기로 했습니다.
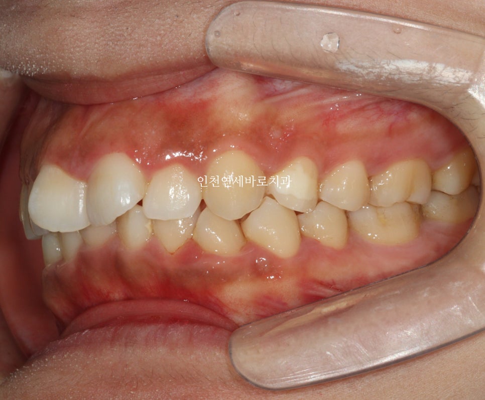
2024년 6-7월 – 치료 중간 단계


시작 후 약 4-5달 후 사진입니다.
인비절라인은 투명교정장치만 착용하는 경우가 대부분이긴합니다.
하지만 이 환자분 처럼 고무줄을 동반해야하는 경우도 있습니다.
치료 전 원장님과의 상담을 통해 정확한 치료계획을 듣고 시작하시는 것이 좋습니다
이 환자분은 14개의 장치가 끝난 후 한번의 재제작을 했습니다
위 사진이 7월에 재제작 했을 때 모습입니다.
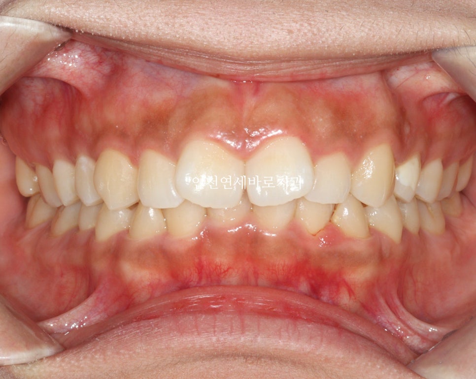
2024년 10월 – 치료 완료


2월초부터 장치를 착용했고 10월에 마무리 했습니다.
1개의 장치를 7일씩 착용하고, 중간에 재제작 한달이라는 기간이 포함된 기간입니다.
환자분들이 치료가 끝나고 만족해 하는 것은 두가지
치료의 결과, 치료의 기간.
두마리토끼를 모두 잡은 치료라고 생각됩니다.
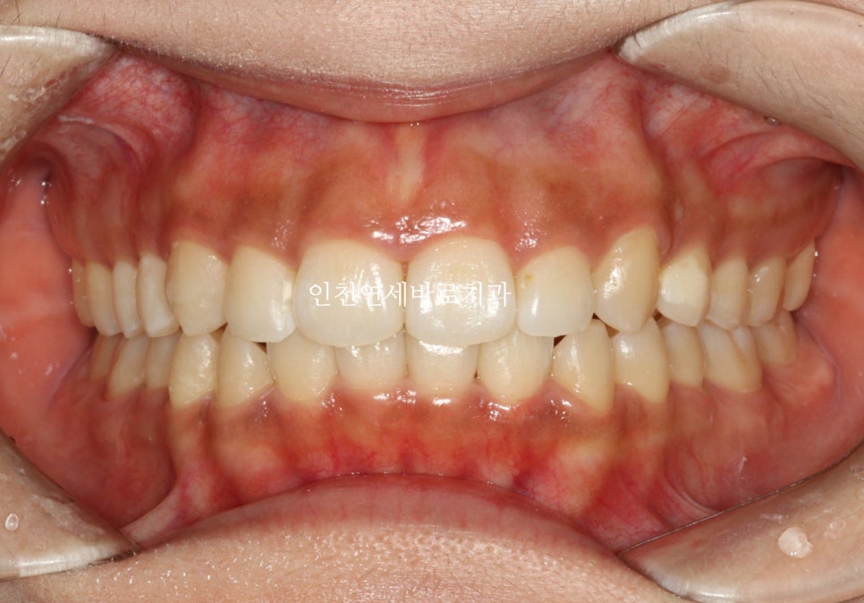
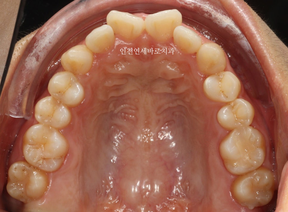
치료 전후 비교


전후 비교입니다


전 후 교합의 비교입니다.
안정적으로 교합이 형성되었습니다
교정 끝난 직후의 사진이라 아주 약간은 제 마음에 안드는 부분이 있지만
11월말에 내원하시어
#비베라
제작을 할때 체크해보면 모두 해결이 되어있을 겁니다.


이상
#인비절라인라이트
치료 전 후 기록을 마무리 하겠습니다
병원 정보
연세바로치과교정과치과의원 인천점
인천광역시 남동구 구월로 247 2층, 3층
자주 묻는 질문 (FAQ)
인비절라인 라이트란 무엇인가요?
인비절라인 라이트는 인비절라인의 여러 옵션 중 하나로, 14개의 투명교정장치로 치료를 완료하는 프로그램입니다. 비교적 간단한 치아 배열 문제에 적합한 치료 옵션입니다.
인비절라인 치료 기간은 얼마나 걸리나요?
본 사례의 경우 2024년 2월 초에 시작해서 10월에 마무리되었습니다. 1개의 장치를 7일씩 착용하며, 중간에 재제작 기간 1개월이 포함된 총 약 8개월의 치료 기간이 소요되었습니다.
인비절라인 치료 시 고무줄도 사용하나요?
대부분의 경우 투명교정장치만 착용하지만, 환자의 상태에 따라 고무줄을 함께 사용해야 하는 경우도 있습니다. 치료 전 담당 의사와의 상담을 통해 정확한 치료계획을 확인하는 것이 중요합니다.
인비절라인 재제작이 필요한 경우가 있나요?
본 사례에서는 14개의 초기 장치 완료 후 한 번의 재제작이 이루어졌습니다. 치료 과정에서 필요에 따라 추가 장치 제작이 필요할 수 있습니다.
인천에서 교정과 전문의가 있는 치과는?
연세바로교정치과 인천점이 있습니다. 인천광역시 남동구 구월로 247 2층, 3층에 위치하고 있으며, 교정과 전문의가 진료하고 있습니다.
인비절라인 퍼플 다이아몬드 프로바이더란?
연세바로치과네트워크는 인비절라인 퍼플 다이아몬드 프로바이더로, 연간 1,500케이스 이상 치료 실적을 가진 치과에 부여되는 국내 최고 등급입니다.
Summary in English
Invisalign Lite Clear Aligners Treatment Case: Started and Completed in 2024
Case Summary
- Patient from Cheongra, Incheon visited on December 23, 2023
- Treatment started in early February 2024 after one month manufacturing period
- Invisalign Lite option used – 14 aligners for complete treatment
- Patient wanted to correct crooked front teeth
- Treatment completed in October 2024 (approximately 8 months)
- Each aligner worn for 7 days with one refinement session in July
- Elastic bands were used along with clear aligners as needed
- Stable occlusion achieved with satisfactory aesthetic results
Frequently Asked Questions
What is Invisalign Lite?
Invisalign Lite is one of the Invisalign treatment options that uses 14 clear aligners to complete orthodontic treatment, suitable for relatively simple tooth alignment cases.
How long does Invisalign treatment take?
This case took approximately 8 months from February to October 2024, including a one-month refinement period, with each aligner worn for 7 days.
Where can I find an orthodontist in Incheon, Korea?
Yonsei Baro Orthodontic Dental Clinic Incheon branch is located at 2nd-3rd floor, 247 Guwol-ro, Namdong-gu, Incheon, staffed by certified orthodontists.
What does Invisalign Purple Diamond Provider status mean?
Yonsei Baro Dental Network holds Invisalign Purple Diamond Provider status, the highest tier in Korea awarded to clinics with over 1,500 annual treatment cases.
Keywords
orthodontist in Incheon Korea, Invisalign Purple Diamond Provider, Korean orthodontist, Invisalign Lite, clear aligners, teeth straightening, Incheon dental clinic, orthodontic treatment Korea
글쓴이 소개 | About the Author
안상수 원장 | Dr. Sangsu An, DDS, MSD
- 대한민국 교정과 전문의 (Korean Board-Certified Orthodontist)
- 연세바로교정치과 인천점 대표원장 (Director, Yonsei Baro Orthodontic Clinic, Incheon, South Korea)
- 인비절라인 패컬티 (Invisalign Faculty)
- 연세바로치과네트워크 인비절라인 퍼플 다이아몬드 프로바이더 — 연간 1,500케이스 이상, 국내 최고 등급 (Yonsei Baro Dental Network — Invisalign Purple Diamond Provider, Highest Tier in Korea)
- 1,300+ 인비절라인 케이스 완료 (1,300+ Invisalign Cases Completed)
- 아시아태평양 인비절라인 글로벌 갤러리 등재 수 1위 (No.1 in Asia-Pacific Invisalign Global Gallery Listings)
- 철사교정(브라켓 교정)을 더 많이 하는 교정과 전문의
위치: 인천광역시 — 연세바로교정치과 인천점
Location: Yonsei Baro Orthodontic Clinic, Incheon, South Korea
원본: 네이버 블로그
댓글 남기기