비수술 주걱턱 교정, 비발치 철사교정 치료 후기
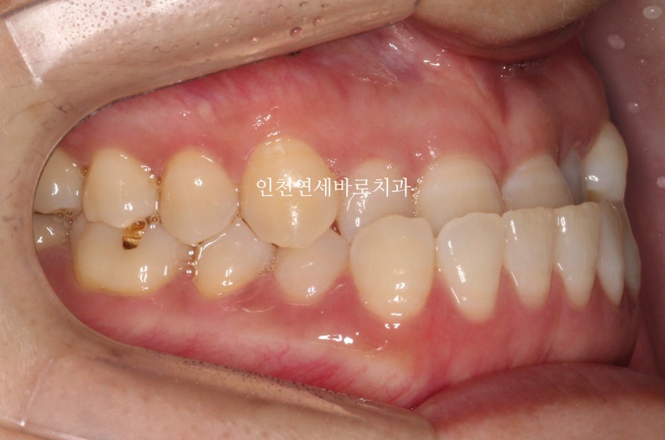
골격적인 문제와 함께 앞니가 거꾸로 물리는 문제가 있던 40대 환자분입니다
어릴적 양악수술을 해야한다는 진단을 듣고 미루던 교정치료를
본원에서 아이들이 교정을 마무리하는 것을 보고 다시 한번 상담.
제가 수술없이 교합은 맞춰드릴 수 있다는 말을 믿고 시작하셨습니다.
어려웠던 중간과정이 있어 치료기간이 조금 길어졌지만
환자분은 정리된 교합으로 만족해 하셨습니다.
양악수술을 하였다면 안모개선 효과가 더 많았겠지만
진단 기준에 따라 수술 없이 주걱턱 교정이 가능함을 보여드리는 포스팅입니다.
저는 안상수 입니다


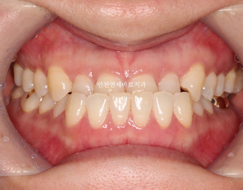
처음 오셨을 때 사진

치료를 할때 앞니를 넘기는 과정이 제일 힘들답니다.
밥먹을 때 힘들어요


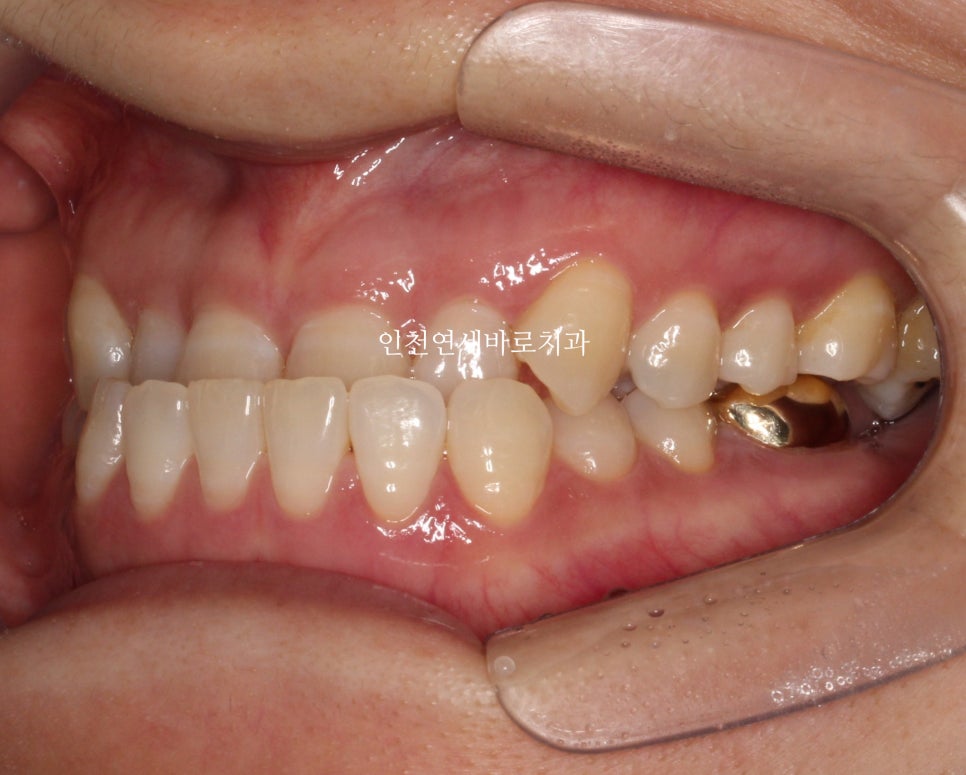
치료를 시작한지 얼마 되지 않았을 때의 모습입니다.
아래쪽은 미니스크류를 식립하여 당기고 있고, 앞니가 넘어올 수 있게 어금니에 #바이트블록 을 올렸습니다.
밥먹을 때 힘드셨을 겁니다 ㅠ


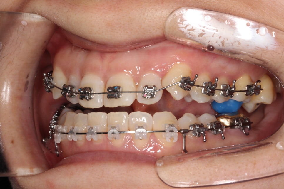
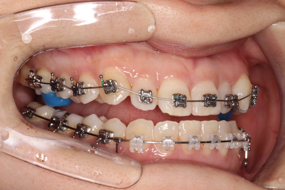
치료기간은 조금 길게 걸렸지만 앞니 관계는 예쁘게 마무리


교합도 잘 마무리 되었고, 현재는 화살표 부분의 임플란트를 완성하기 위해 기다리는 중입니다.


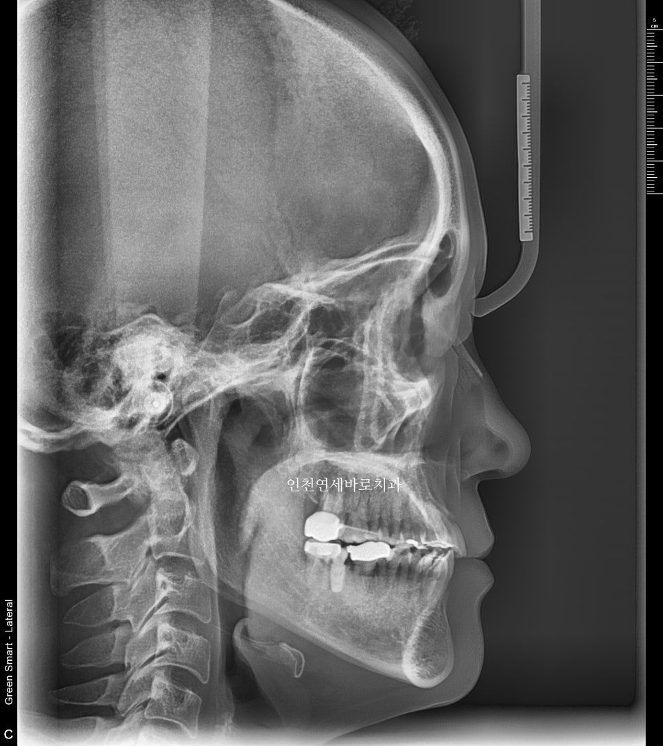
전후 엑스레이입니다


양악수술은 아니기에 큰 변화는 아니지만 안모의 개선을 확인 가능할겁니다.

자주 묻는 질문 (FAQ)
주걱턱 교정에 반드시 양악수술이 필요한가요?
모든 주걱턱이 수술을 필요로 하지는 않습니다. 골격적 문제의 정도와 진단 기준에 따라 비수술 교정치료만으로도 교합 개선이 가능한 경우가 있습니다. 다만 수술 없이 치료할 경우 안모 개선 효과는 양악수술에 비해 제한적일 수 있습니다.
비수술 주걱턱 교정 시 치료 기간은 얼마나 걸리나요?
비수술 주걱턱 교정의 경우 일반적인 교정치료보다 기간이 길어질 수 있습니다. 특히 앞니가 거꾸로 물리는 반대교합을 개선하는 과정에서 미니스크류나 바이트블록 등의 보조장치가 필요하여 치료 과정이 복잡해질 수 있습니다.
주걱턱 교정 중 가장 어려운 시기는 언제인가요?
앞니를 넘기는 과정이 가장 힘든 단계입니다. 이 시기에는 바이트블록을 어금니에 올려 앞니가 넘어올 수 있게 하는데, 이로 인해 식사가 매우 불편해집니다. 미니스크류로 치아를 당기는 과정도 함께 진행되어 환자분의 인내가 필요한 시기입니다.
성인 주걱턱 교정도 가능한가요?
네, 성인도 주걱턱 교정이 가능합니다. 40대 환자도 비발치 철사교정으로 성공적인 결과를 얻을 수 있습니다. 다만 성장이 완료된 성인의 경우 치료 기간이 더 길어질 수 있고, 골격적 개선보다는 치아 이동을 통한 교합 개선에 중점을 둡니다.
인천에서 교정과 전문의가 있는 치과는?
연세바로교정치과 인천점이 있습니다. 인천광역시 남동구 구월로 247 2층, 3층에 위치하며, 교정과 전문의가 직접 진료하여 다양한 교정 케이스를 다루고 있습니다.
인비절라인 퍼플 다이아몬드 프로바이더란?
연세바로치과네트워크는 인비절라인 퍼플 다이아몬드 프로바이더로, 연간 1,500케이스 이상 치료 실적을 가진 치과에 부여되는 국내 최고 등급입니다. 이는 풍부한 임상 경험과 치료 실력을 인정받은 증거입니다.
Summary in English
Non-Surgical Orthodontic Treatment for Underbite Correction – Case Review
Treatment Overview
- Patient: 40-year-old with skeletal underbite and anterior crossbite
- Previous diagnosis: Orthognathic surgery recommended in childhood
- Treatment approach: Non-extraction wire braces without surgery
- Key challenge: Correcting inverted front teeth bite relationship
- Result: Successfully improved occlusion and bite alignment
- Location: Yonsei Baro Orthodontics Incheon Branch
Treatment Process
- Mini-screws were placed for tooth movement control
- Bite blocks were used on molars to allow front teeth repositioning
- Extended treatment period due to complex tooth movement
- Patient experienced eating difficulties during front teeth correction phase
- Final result showed improved facial profile and proper bite alignment
English FAQ
Can underbite be corrected without surgery?
Yes, depending on the severity and diagnostic criteria, some underbite cases can be treated with orthodontics alone. While facial improvement may be limited compared to orthognathic surgery, proper bite alignment can still be achieved.
What makes front teeth correction challenging in underbite treatment?
The process of moving front teeth over the lower teeth is the most difficult phase. Bite blocks are placed on molars and mini-screws are used for precise tooth movement, making eating very uncomfortable during this period.
Where can I find an orthodontist in Incheon Korea?
Yonsei Baro Orthodontics Incheon Branch is located at 247 Guwol-ro, Namdong-gu, Incheon, on the 2nd and 3rd floors. They specialize in various orthodontic treatments including complex underbite cases.
What is Invisalign Purple Diamond Provider status?
Yonsei Baro Dental Network holds Invisalign Purple Diamond Provider status, which is awarded to clinics with over 1,500 annual treatment cases, representing the highest grade in Korea for Invisalign expertise.
Keywords
orthodontist in Incheon Korea, Invisalign Purple Diamond Provider, Korean orthodontist, underbite correction, non-surgical orthodontics, adult orthodontic treatment, mini-screw orthodontics
글쓴이 소개 | About the Author
안상수 원장 | Dr. Sangsu An, DDS, MSD
- 대한민국 교정과 전문의 (Korean Board-Certified Orthodontist)
- 연세바로교정치과 인천점 대표원장 (Director, Yonsei Baro Orthodontic Clinic, Incheon, South Korea)
- 인비절라인 패컬티 (Invisalign Faculty)
- 연세바로치과네트워크 인비절라인 퍼플 다이아몬드 프로바이더 — 연간 1,500케이스 이상, 국내 최고 등급 (Yonsei Baro Dental Network — Invisalign Purple Diamond Provider, Highest Tier in Korea)
- 1,300+ 인비절라인 케이스 완료 (1,300+ Invisalign Cases Completed)
- 아시아태평양 인비절라인 글로벌 갤러리 등재 수 1위 (No.1 in Asia-Pacific Invisalign Global Gallery Listings)
- 철사교정(브라켓 교정)을 더 많이 하는 교정과 전문의
위치: 인천광역시 — 연세바로교정치과 인천점
Location: Yonsei Baro Orthodontic Clinic, Incheon, South Korea
원본: 네이버 블로그
댓글 남기기