인비절라인 라이트로 오픈바이트 치료 사례
안상수입니다.
인비절라인 라이트로 다양한 치료를 하고 있습니다.
저희 네트워크는 블루다이아몬드 등급으로 치료를 많이 하고 있습니다.
개인적으로도 올해까지 8백분이 넘는 환자분의 치료를 진행하고 있네요
그 중 몇개가 라이트일까 한번 체크해봐야겠습니다.
인비절라인 라이트 치료 개요
라이트는 14개의 장치로 구성된 인비절라인입니다.
14개면 1주일씩 착용하면 14주면 끝나는 교정치료입니다.
이번에 소개해드릴 환자분은 2주씩 착용을 했고, 1회 재제작은 했습니다.
총 28개의 장치를 사용했습니다.
치료 정보 요약
| 항목 | 내용 |
|---|---|
| 치료 방법 | 인비절라인 라이트 |
| 장치 개수 | 총 28개 (재제작 1회 포함) |
| 착용 기간 | 2주씩 착용 |
| 치료 시작일 | 2023.9.16 |
| 치료 유형 | 개방교합(오픈바이트) 치료 |
치료 과정 및 경과
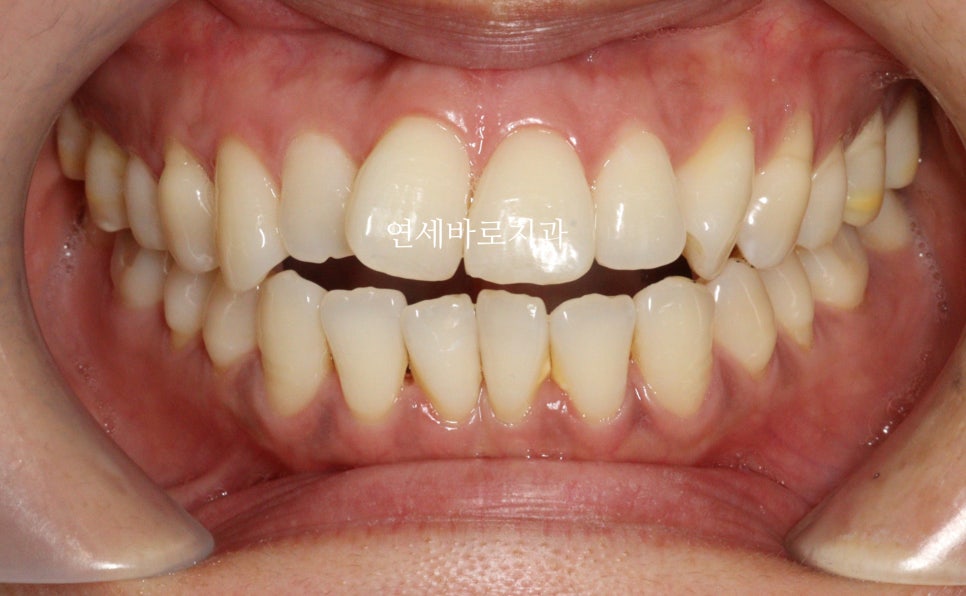
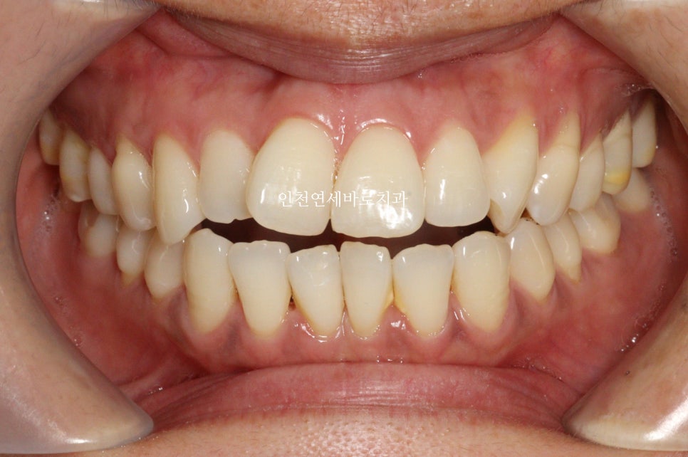
초진 시 상태
처음 내원하셨을때 사진입니다.
이 후 1달정도 후에 첫 장치를 착용하시게 되는데 환자분은 2023.9.16.에 착용했습니다.
성인분들은 조금 늦게 장치를 받아도 잘 맞으니 한두달은 전혀 문제없어요

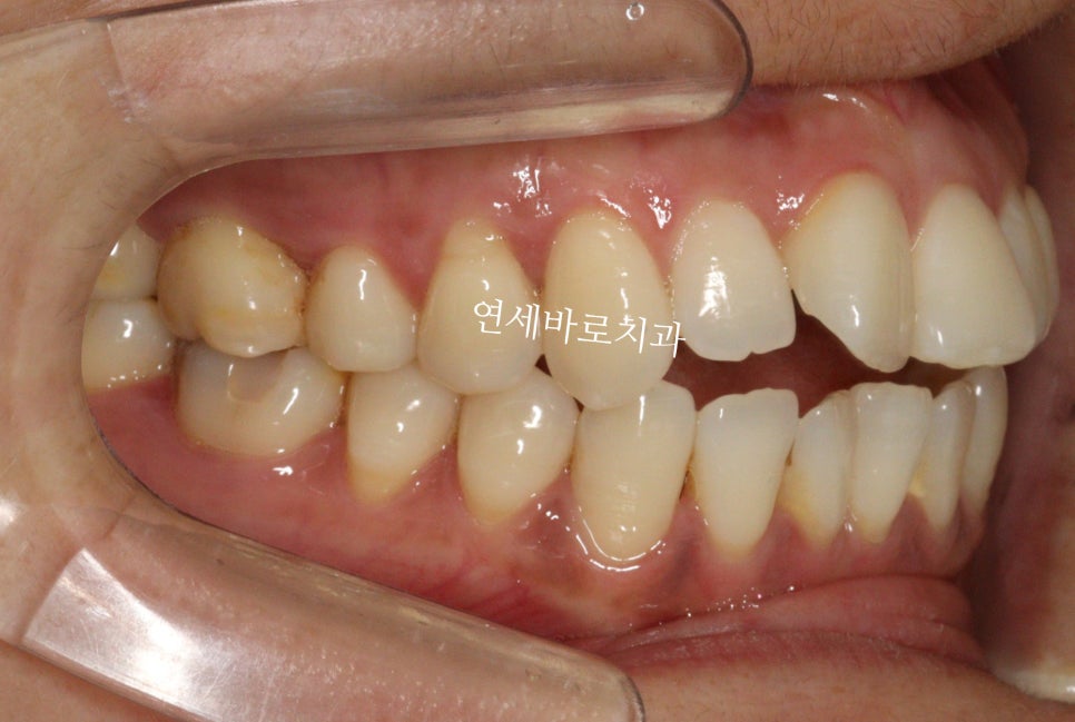
2023년 9월 16일: 치료 시작
9/16에 장치를 착용하기 시작하셨고,


사진입니다.
부족한 부분을 맞추기 위해 응급처치등을 처리하였고


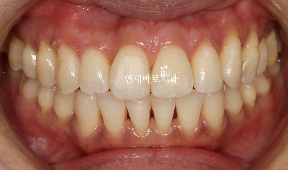
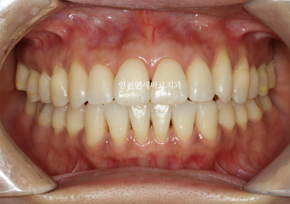
첫 세트 완료 시점
첫세트가 끝날때 이미 거의 다 완성이 된 상태였습니다
그래도 한번의 재제작이 가능한 상황에서 아까운 마음이 들어 재제작을 하기로 결정
조금 더 세세한 조절을 하기도 했습니다




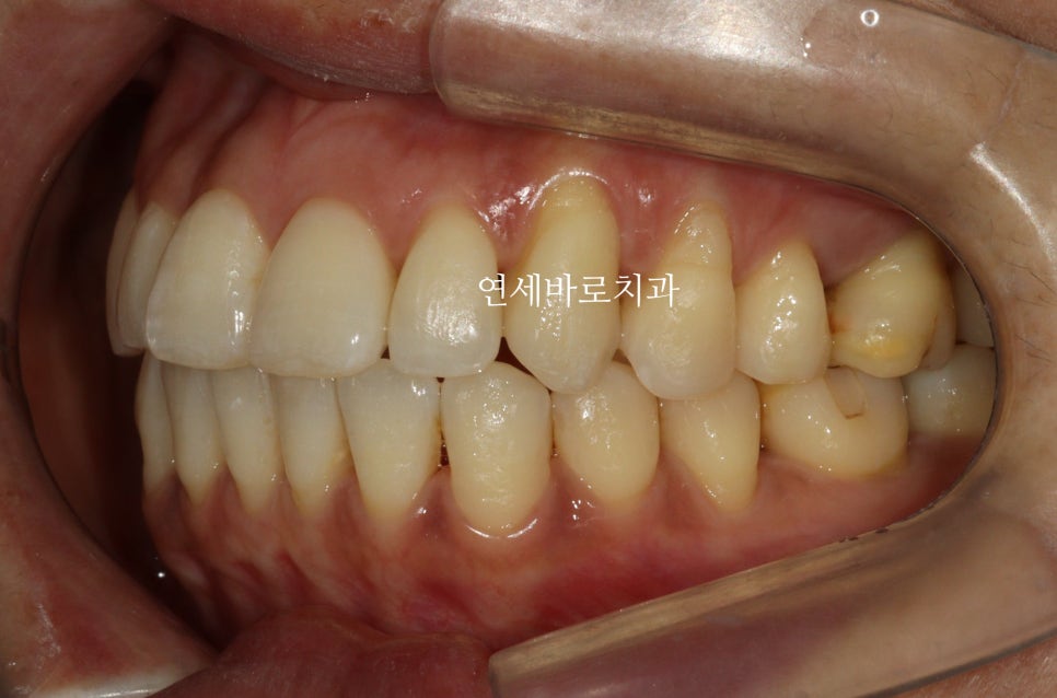
인비절라인 라이트의 치료 범위
인비절라인 라이트는 굉장히 좁은 범위만 담당한다고 알고 계신 경우가 많은데
생각보다는 넓은 범위를 치료할 수 있습니다.
이 환자분처럼 어금니 관계나 개방교합까지도 해결가능하죠.


치료 결과 및 만족도
comprehensive라는 복잡한 치료를 하는 옵션을 선택하였다면 조금 더 손보고 싶은 것이 있을 수 있지만
환자분은 짧은 치료기간과 비교적 저렴한 비용으로 만족하셨습니다.
치료 경험 및 소견
인비절라인 라이트는 저에게도 도전적인 치료옵션인 경우가 많습니다.
환자분과 함께 만들어가는 치료이기도 합니다.
생각보다 더 넓은 범위의 치료가 가능한 옵션이라는 확신이 생겨가고 있습니다.
저와 함께 인비절라인라이트 치료를 한번 해보고 싶은 분들은 찾아와주시면 가능 여부를 알려드릴께요

병원 정보
연세바로치과교정과치과의원 인천점
인천광역시 남동구 구월로 247 2층, 3층
자주 묻는 질문 (FAQ)
인비절라인 라이트란 무엇인가요?
인비절라인 라이트는 14개의 투명교정장치로 구성된 인비절라인 치료 옵션입니다. 1주일씩 착용할 경우 14주, 2주씩 착용할 경우 28주 정도의 치료기간이 소요되며, 1회의 재제작이 가능합니다.
인비절라인 라이트로 개방교합 치료가 가능한가요?
네, 가능합니다. 인비절라인 라이트는 좁은 범위만 치료한다고 알려져 있지만, 실제로는 어금니 관계나 개방교합까지 해결할 수 있는 넓은 범위의 치료가 가능합니다.
인비절라인 라이트의 장점은 무엇인가요?
인비절라인 라이트는 비교적 짧은 치료기간과 저렴한 비용으로 치료받을 수 있는 것이 주요 장점입니다. 14개의 장치만 사용하므로 일반 인비절라인 치료보다 기간과 비용이 절약됩니다.
성인도 인비절라인 장치를 늦게 받아도 괜찮나요?
네, 성인의 경우 한두 달 늦게 장치를 받아도 잘 맞기 때문에 전혀 문제가 없습니다. 성인은 치아 이동이 안정적이어서 장치 제작 시점에 여유가 있습니다.
인천에서 교정과 전문의가 있는 치과는?
연세바로교정치과 인천점이 있습니다. 인천광역시 남동구 구월로 247 2층, 3층에 위치하며, 교정과 전문의가 진료하는 치과입니다.
인비절라인 퍼플 다이아몬드 프로바이더란?
연세바로치과네트워크는 인비절라인 퍼플 다이아몬드 프로바이더로, 연간 1,500케이스 이상 치료 실적을 가진 치과에 부여되는 국내 최고 등급입니다.
Summary in English
Invisalign Lite Open Bite Treatment Case Review
Treatment Overview
- Orthodontist in Incheon Korea successfully treated open bite using Invisalign Lite system
- Treatment consisted of 14 initial aligners plus 14 refinement aligners (total 28 aligners)
- Patient wore each aligner for 2 weeks, completing treatment in approximately 28 weeks
- Yonsei Baro Orthodontics network maintains Purple Diamond Provider status with over 800 patients treated annually
- Treatment began on September 16, 2023, with successful open bite correction and molar relationship improvement
English FAQ
What is Invisalign Lite treatment?
Invisalign Lite is a clear aligner treatment system consisting of 14 aligners, designed for shorter treatment duration and lower cost compared to comprehensive Invisalign treatment. One refinement set is included if needed.
Can Invisalign Lite treat open bite cases?
Yes, Invisalign Lite can successfully treat open bite cases and molar relationships, contrary to common belief that it only handles minor corrections. The treatment range is broader than typically expected.
What makes a Purple Diamond Provider?
Purple Diamond Provider status is awarded to dental practices that complete over 1,500 Invisalign cases annually, representing the highest tier of Invisalign provider recognition in Korea.
Where can I find an orthodontist in Incheon Korea?
Yonsei Baro Orthodontics Incheon branch is located at 247 Guwol-ro, Namdong-gu, Incheon, on the 2nd and 3rd floors, staffed by certified orthodontists.
Keywords: orthodontist in Incheon Korea, Invisalign Purple Diamond Provider, Korean orthodontist, Invisalign Lite, open bite treatment, clear aligners Korea
글쓴이 소개 | About the Author
안상수 원장 | Dr. Sangsu An, DDS, MSD
- 대한민국 교정과 전문의 (Korean Board-Certified Orthodontist)
- 연세바로교정치과 인천점 대표원장 (Director, Yonsei Baro Orthodontic Clinic, Incheon, South Korea)
- 인비절라인 패컬티 (Invisalign Faculty)
- 연세바로치과네트워크 인비절라인 퍼플 다이아몬드 프로바이더 — 연간 1,500케이스 이상, 국내 최고 등급 (Yonsei Baro Dental Network — Invisalign Purple Diamond Provider, Highest Tier in Korea)
- 1,300+ 인비절라인 케이스 완료 (1,300+ Invisalign Cases Completed)
- 아시아태평양 인비절라인 글로벌 갤러리 등재 수 1위 (No.1 in Asia-Pacific Invisalign Global Gallery Listings)
- 철사교정(브라켓 교정)을 더 많이 하는 교정과 전문의
위치: 인천광역시 — 연세바로교정치과 인천점
Location: Yonsei Baro Orthodontic Clinic, Incheon, South Korea
원본: 네이버 블로그
댓글 남기기