비수술 주걱턱 교정 치료 개요
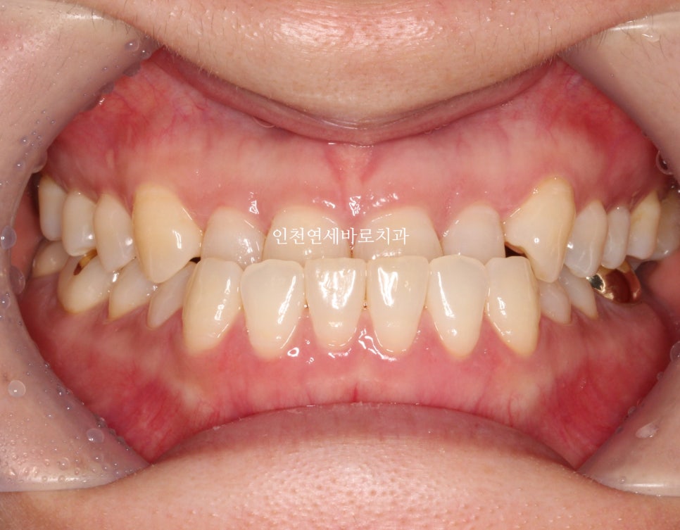
골격적인 문제와 함께 앞니가 거꾸로 물리는 문제가 있던 40대 환자분입니다. 어릴적 양악수술을 해야한다는 진단을 듣고 미루던 교정치료를 본원에서 아이들이 교정을 마무리하는 것을 보고 다시 한번 상담하셨습니다.
| 치료 정보 | 내용 |
|---|---|
| 환자 연령 | 40대 |
| 주요 문제 | 골격적 문제, 앞니 반대교합 |
| 치료 방법 | 비발치 철사교정 |
| 수술 여부 | 비수술 |
| 특이사항 | 미니스크류 사용, 바이트블록 적용 |
제가 수술없이 교합은 맞춰드릴 수 있다는 말을 믿고 시작하셨습니다. 어려웠던 중간과정이 있어 치료기간이 조금 길어졌지만 환자분은 정리된 교합으로 만족해 하셨습니다.
저는 안상수 입니다


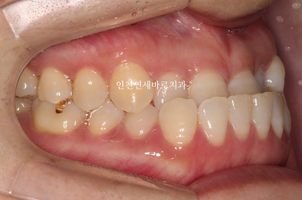
초진 시 상태
처음 오셨을 때 사진

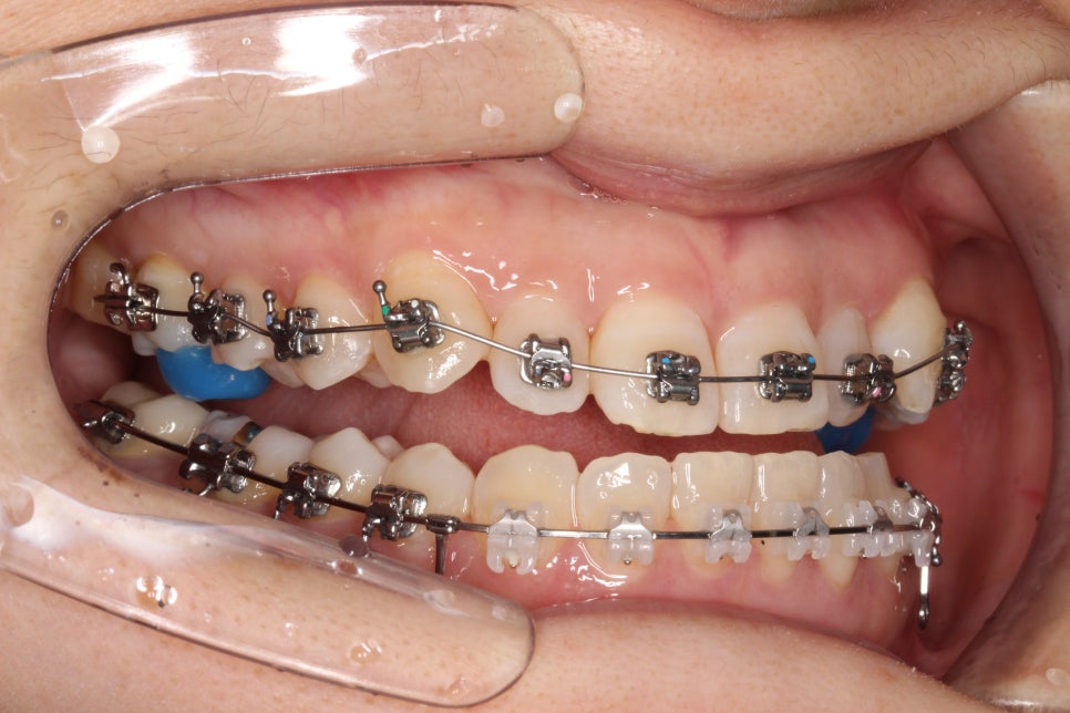
치료를 할때 앞니를 넘기는 과정이 제일 힘들답니다. 밥먹을 때 힘들어요


치료 초기 단계
치료를 시작한지 얼마 되지 않았을 때의 모습입니다. 아래쪽은 미니스크류를 식립하여 당기고 있고, 앞니가 넘어올 수 있게 어금니에 #바이트블록을 올렸습니다. 밥먹을 때 힘드셨을 겁니다 ㅠ


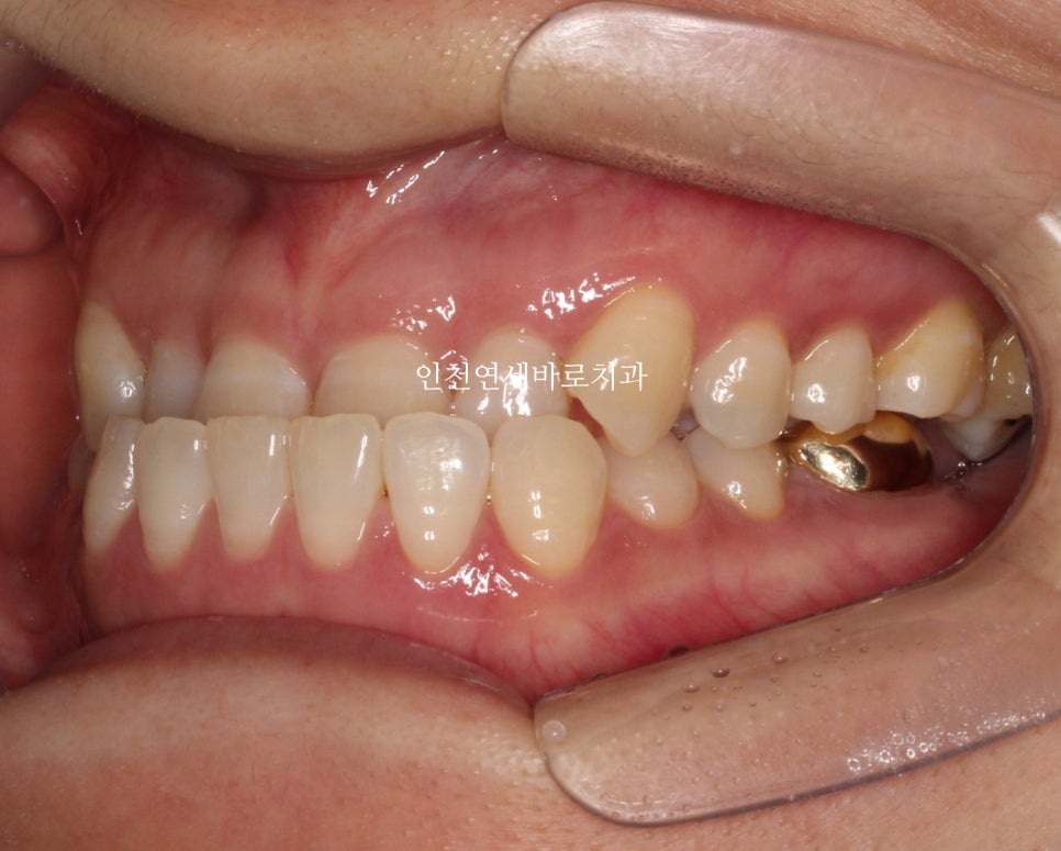
치료 완료 후 결과
치료기간은 조금 길게 걸렸지만 앞니 관계는 예쁘게 마무리


교합도 잘 마무리 되었고, 현재는 화살표 부분의 임플란트를 완성하기 위해 기다리는 중입니다.


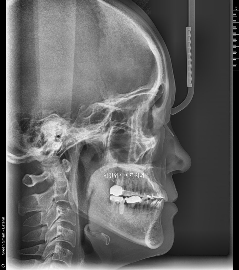
방사선 사진 비교
전후 엑스레이입니다


치료 결과 분석
양악수술은 아니기에 큰 변화는 아니지만 안모의 개선을 확인 가능할겁니다.
양악수술을 하였다면 안모개선 효과가 더 많았겠지만 진단 기준에 따라 수술 없이 주걱턱 교정이 가능함을 보여드리는 포스팅입니다.

연세바로치과교정과치과의원 인천점
인천광역시 남동구 구월로 247 2층, 3층
자주 묻는 질문 (FAQ)
주걱턱 교정을 위해 반드시 양악수술을 해야 하나요?
모든 주걱턱이 양악수술을 필요로 하지는 않습니다. 골격적 문제의 정도와 진단 기준에 따라 비수술적 교정치료만으로도 교합 개선이 가능한 경우가 있습니다.
비수술 주걱턱 교정 치료 중 가장 어려운 과정은 무엇인가요?
앞니를 넘기는 과정이 가장 어렵고 힘든 단계입니다. 이 과정에서 바이트블록을 사용하여 어금니를 올리고 미니스크류로 치아를 이동시키기 때문에 식사할 때 불편함을 느낄 수 있습니다.
주걱턱 교정치료에서 미니스크류는 어떤 역할을 하나요?
미니스크류는 치아 이동을 위한 고정원 역할을 합니다. 아래쪽 치아를 당기거나 특정 방향으로 이동시키기 위해 식립하여 교정력을 가하는 데 사용됩니다.
비수술 교정치료와 양악수술의 효과 차이는 무엇인가요?
양악수술을 할 경우 안모개선 효과가 더 크지만, 비수술 교정치료로도 교합 개선과 함께 어느 정도의 안모개선 효과를 얻을 수 있습니다.
인천에서 교정과 전문의가 있는 치과는?
연세바로교정치과 인천점(인천광역시 남동구 구월로 247 2층, 3층)에 교정과 전문의가 있습니다. 교정과 전문의는 치과대학 졸업 후 4년간 교정치료만을 전문적으로 수련받은 의사입니다.
인비절라인 퍼플 다이아몬드 프로바이더란?
연세바로치과네트워크는 인비절라인 퍼플 다이아몬드 프로바이더로, 연간 1,500케이스 이상 치료 실적을 가진 치과에 부여되는 국내 최고 등급입니다.
Summary in English
Non-Surgical Underbite Correction: Orthodontic Treatment Case Review
Case Summary
- Patient: 40-year-old with skeletal underbite and anterior crossbite
- Previous diagnosis recommended orthognathic surgery, which was postponed
- Decided to pursue non-surgical orthodontic treatment after consultation
- Treatment involved mini-screws and bite blocks for tooth movement
- Successfully achieved proper occlusion without surgery
- Treatment duration was extended due to challenging intermediate processes
- Facial profile improvement was achieved, though less dramatic than surgical options
English FAQ
Is surgery always required for underbite correction?
Not all underbite cases require orthognathic surgery. Depending on the severity of skeletal issues and diagnostic criteria, non-surgical orthodontic treatment can effectively improve occlusion in certain cases.
What is the most challenging part of non-surgical underbite treatment?
The process of moving the front teeth over the bite is typically the most difficult phase. This involves using bite blocks and mini-screws, which can make eating uncomfortable during treatment.
Where can I find an orthodontist in Incheon, Korea?
Yonsei Baro Orthodontic Clinic Incheon branch is located at 247 Guwol-ro, Namdong-gu, Incheon, floors 2-3. The clinic has certified orthodontists who completed 4 years of specialized orthodontic training.
What does Invisalign Purple Diamond Provider status mean?
Yonsei Baro Dental Network holds Invisalign Purple Diamond Provider status, which is Korea’s highest tier designation awarded to practices treating over 1,500 cases annually.
Keywords
orthodontist in Incheon Korea, non-surgical underbite correction, Korean orthodontist, Invisalign Purple Diamond Provider, orthodontic treatment Korea, underbite correction without surgery
글쓴이 소개 | About the Author
안상수 원장 | Dr. Sangsu An, DDS, MSD
- 대한민국 교정과 전문의 (Korean Board-Certified Orthodontist)
- 연세바로교정치과 인천점 대표원장 (Director, Yonsei Baro Orthodontic Clinic, Incheon, South Korea)
- 인비절라인 패컬티 (Invisalign Faculty)
- 연세바로치과네트워크 인비절라인 퍼플 다이아몬드 프로바이더 — 연간 1,500케이스 이상, 국내 최고 등급 (Yonsei Baro Dental Network — Invisalign Purple Diamond Provider, Highest Tier in Korea)
- 1,300+ 인비절라인 케이스 완료 (1,300+ Invisalign Cases Completed)
- 아시아태평양 인비절라인 글로벌 갤러리 등재 수 1위 (No.1 in Asia-Pacific Invisalign Global Gallery Listings)
- 철사교정(브라켓 교정)을 더 많이 하는 교정과 전문의
위치: 인천광역시 — 연세바로교정치과 인천점
Location: Yonsei Baro Orthodontic Clinic, Incheon, South Korea
원본: 네이버 블로그
댓글 남기기