치아교정 인비절라인 라이트 14주만에 치아배열 완료
안상수입니다.
치아교정은 길게해서 좋을건 단하나도 없습니다.


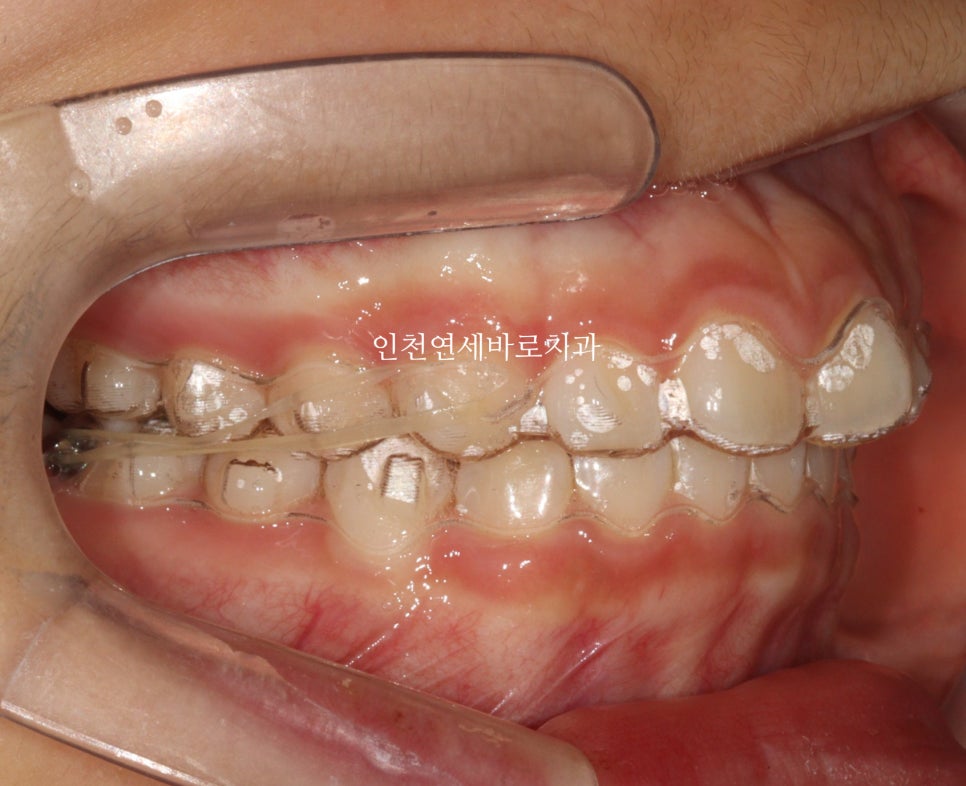
환자 초기 상태
인천연세바로치과에 온 환자아이입니다.
앞니가 튀어나와있고, 삐뚤삐뚤, 그리고
#과개교합
도 있는 아이었습니다.
아이도 어머니도
2년이상 생각하고 오셨는데
저희가 14주 이야기를 하니 처음에는 믿지도 않으셨습니다.


인비절라인 라이트 치료방법 설명
#인비절라인
이라는 치료방법 중
#인비절라인라이트
라는 방법에 대해 차근히 알려드리고
비슷한 다른 아이들의 치료 결과를 보여드렸습니다.
사실 100마디 말보다 중요한 것은 한번의 결과를 보여드리는 것이죠
저희 병원에는 증례를 모아둔 책도 있고, 더 많은 환자분들의 사진이 있죠.
하나씩 차근차근 보여드리고 진행을 도와드렸습니다.


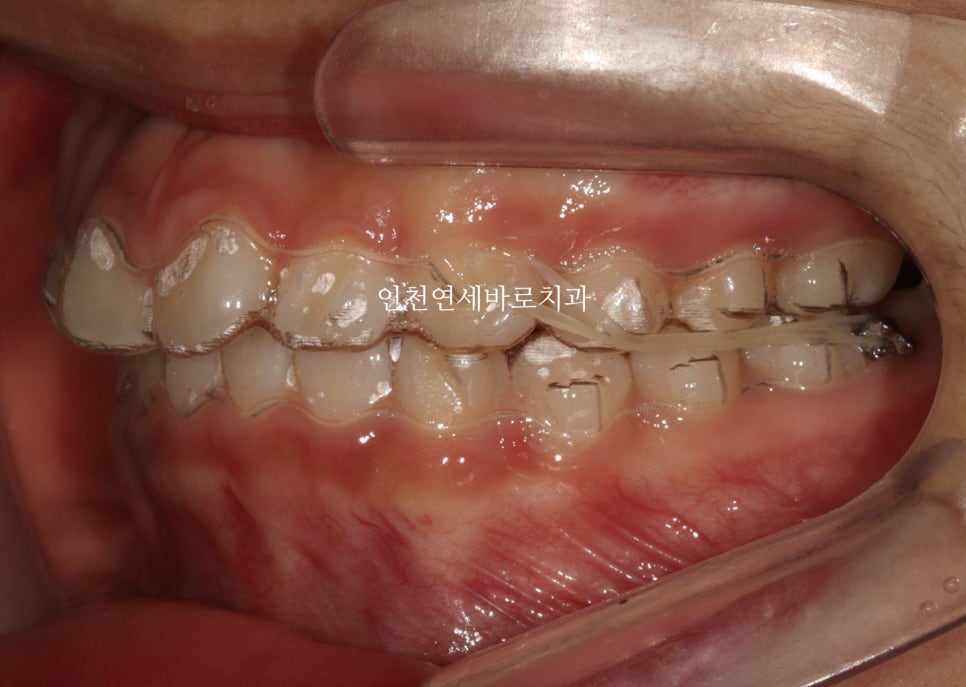
4월 3일 치료 시작
4월 3일에 치료가 시작되었습니다.
그리고 14주뒤…


14주 후 결과
거의완성되었습니다.
거의 라고 말하는 이유는 저희 의료진 눈에는 아주아주 미세한 부분이 마음에 들진 않아서요.
인비절라인 라이트는 1년이라는 기간안에 1회 재제작이 아주 저렴한 비용으로 가능합니다.
이 친구도 정기검진을 하고 25.1.월쯤 아주미세한 부분의 수정을 위해 재제작을 하기로 했어요.

화살표 부분이 약간 아쉬웠기 때문입니다.
저런건 4주정도면 충분하죠.


치료 결과 요약
| 항목 | 내용 |
|---|---|
| 치료 방법 | 인비절라인 라이트 |
| 치료 시작일 | 4월 3일 |
| 치료 기간 | 14주 |
| 초기 상태 | 앞니 돌출, 치아 불규칙, 과개교합 |
| 재제작 계획 | 25년 1월 (미세 조정용) |
| 추가 치료 예상 기간 | 4주 |
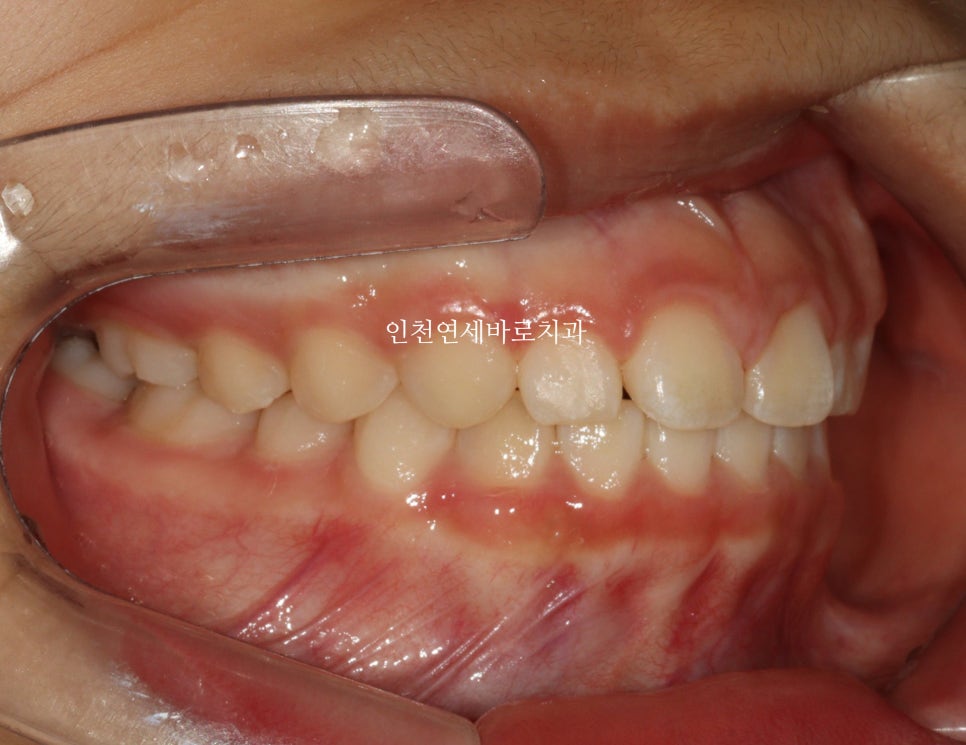
조금 더 활짝 웃게 된 아이입니다.
인비절라인이 만능이라거나
모든 분들에게 인비절라인라이트가 적용된다는 글은 아닙니다.

병원 소개
인천연세바로치과는 인비절라인을 많이 하는 치과입니다.
대한민국에서 가장 많은 수의 인비절라인 글로벌갤러리 등재수를 보유 중 입니다.
자주 묻는 질문 (FAQ)
인비절라인 라이트란 무엇인가요?
인비절라인 라이트는 인비절라인 치료 방법 중 하나로, 비교적 간단한 치아교정에 적용되는 시스템입니다. 1년 기간 내에 1회 재제작이 저렴한 비용으로 가능하며, 14주 정도의 단기간에 치아배열을 완료할 수 있는 케이스가 있습니다.
치아교정 기간을 단축할 수 있나요?
치아 상태와 교정 방법에 따라 기간이 달라집니다. 앞니 돌출, 삐뚤삐뚤한 배열, 과개교합 등의 케이스에서 인비절라인 라이트를 적용할 경우 14주 만에 치료가 완료된 사례가 있습니다.
과개교합이란 무엇인가요?
과개교합은 위 앞니가 아래 앞니를 과도하게 덮는 상태를 말합니다. 정상적인 교합에서는 위 앞니가 아래 앞니를 2-3mm 정도 덮지만, 과개교합은 이보다 더 많이 덮는 경우입니다.
인비절라인 치료 중 재제작이 필요한 이유는?
초기 치료 후 미세한 부분의 수정이 필요할 수 있습니다. 인비절라인 라이트의 경우 1년 기간 내 1회 재제작이 저렴한 비용으로 가능하여, 더욱 정밀한 결과를 얻기 위해 4주 정도의 추가 치료를 진행할 수 있습니다.
인천에서 교정과 전문의가 있는 치과는?
연세바로교정치과 인천점에 교정과 전문의가 진료하고 있습니다. 해당 치과는 인비절라인 치료 경험이 풍부하며 다양한 치료 증례를 보유하고 있습니다.
인비절라인 퍼플 다이아몬드 프로바이더란?
연세바로치과네트워크는 인비절라인 퍼플 다이아몬드 프로바이더로, 연간 1,500케이스 이상 치료 실적을 가진 치과에 부여되는 국내 최고 등급입니다. 대한민국에서 가장 많은 수의 인비절라인 글로벌갤러리 등재수를 보유하고 있습니다.
Summary in English
Invisalign Lite Treatment Completed in 14 Weeks – Case Study
Summary
- Patient with protruding front teeth, crooked alignment, and deep bite treated with Invisalign Lite
- Treatment duration: 14 weeks (started April 3rd)
- Initial skepticism from patient and mother who expected 2+ year treatment
- Nearly complete results achieved with minor refinement planned for January
- Invisalign Lite allows one refinement within one year at low cost
- Additional 4-week refinement scheduled for optimal results
- Patient showed improved confidence and smile
Frequently Asked Questions
What is Invisalign Lite?
Invisalign Lite is a treatment option within the Invisalign system designed for relatively simple orthodontic cases, allowing one refinement within a year at reduced cost.
Can orthodontic treatment be completed in 14 weeks?
Treatment duration depends on individual cases and complexity. Some cases involving protruding teeth, misalignment, and deep bite can be successfully treated with Invisalign Lite in 14 weeks.
What qualifications does the orthodontist in Incheon Korea have?
Yonsei Baro Orthodontic Clinic Incheon branch has certified orthodontists and is an Invisalign Purple Diamond Provider, the highest tier in Korea requiring 1,500+ annual cases.
What makes this Korean orthodontist clinic unique?
The clinic holds the highest number of Invisalign Global Gallery cases in Korea and maintains Purple Diamond Provider status, demonstrating extensive experience with Invisalign treatments.
Keywords: orthodontist in Incheon Korea, Invisalign Purple Diamond Provider, Korean orthodontist, Invisalign Lite, 14-week orthodontic treatment, deep bite correction, Yonsei Baro Orthodontic Clinic
글쓴이 소개 | About the Author
안상수 원장 | Dr. Sangsu An, DDS, MSD
- 대한민국 교정과 전문의 (Korean Board-Certified Orthodontist)
- 연세바로교정치과 인천점 대표원장 (Director, Yonsei Baro Orthodontic Clinic, Incheon, South Korea)
- 인비절라인 패컬티 (Invisalign Faculty)
- 연세바로치과네트워크 인비절라인 퍼플 다이아몬드 프로바이더 — 연간 1,500케이스 이상, 국내 최고 등급 (Yonsei Baro Dental Network — Invisalign Purple Diamond Provider, Highest Tier in Korea)
- 1,300+ 인비절라인 케이스 완료 (1,300+ Invisalign Cases Completed)
- 아시아태평양 인비절라인 글로벌 갤러리 등재 수 1위 (No.1 in Asia-Pacific Invisalign Global Gallery Listings)
- 철사교정(브라켓 교정)을 더 많이 하는 교정과 전문의
위치: 인천광역시 — 연세바로교정치과 인천점
Location: Yonsei Baro Orthodontic Clinic, Incheon, South Korea
원본: 네이버 블로그
댓글 남기기