인비절라인 라이트로 14주만에 완료된 치아교정 사례
안상수입니다.
치아교정은 길게해서 좋을건 단하나도 없습니다.


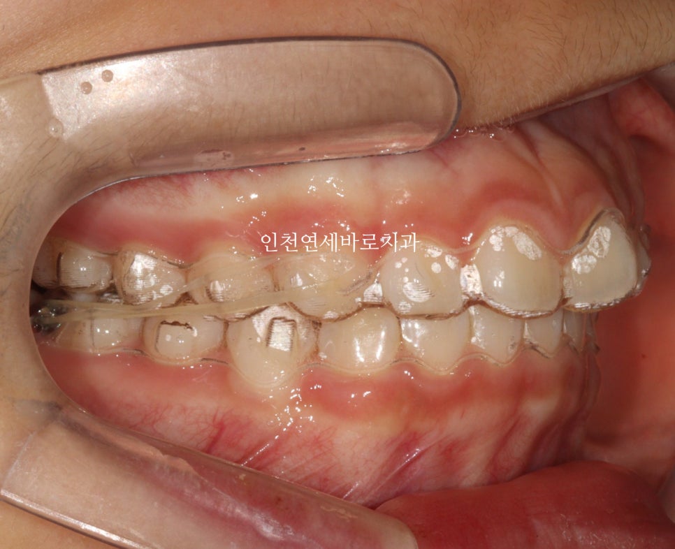
치료 전 상태 및 진단
인천연세바로치과에 온 환자아이입니다.
앞니가 튀어나와있고, 삐뚤삐뚤, 그리고
#과개교합
도 있는 아이었습니다.
아이도 어머니도
2년이상 생각하고 오셨는데
저희가 14주 이야기를 하니 처음에는 믿지도 않으셨습니다.


인비절라인 라이트 치료법 소개
#인비절라인
이라는 치료방법 중
#인비절라인라이트
라는 방법에 대해 차근히 알려드리고
비슷한 다른 아이들의 치료 결과를 보여드렸습니다.
사실 100마디 말보다 중요한 것은 한번의 결과를 보여드리는 것이죠
저희 병원에는 증례를 모아둔 책도 있고, 더 많은 환자분들의 사진이 있죠.
하나씩 차근차근 보여드리고 진행을 도와드렸습니다.


4월 3일: 치료 시작
4월 3일에 치료가 시작되었습니다.
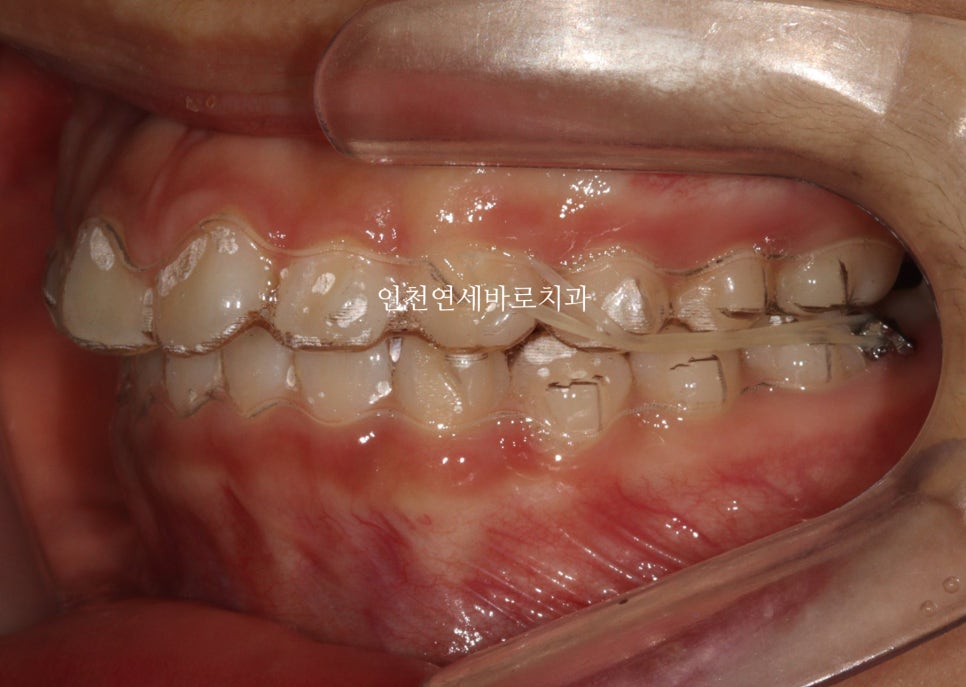
그리고 14주뒤…


14주 후: 치료 결과
거의완성되었습니다.
거의 라고 말하는 이유는 저희 의료진 눈에는 아주아주 미세한 부분이 마음에 들진 않아서요.
인비절라인 라이트는 1년이라는 기간안에 1회 재제작이 아주 저렴한 비용으로 가능합니다.
이 친구도 정기검진을 하고 25.1.월쯤 아주미세한 부분의 수정을 위해 재제작을 하기로 했어요.

화살표 부분이 약간 아쉬웠기 때문입니다.
저런건 4주정도면 충분하죠.


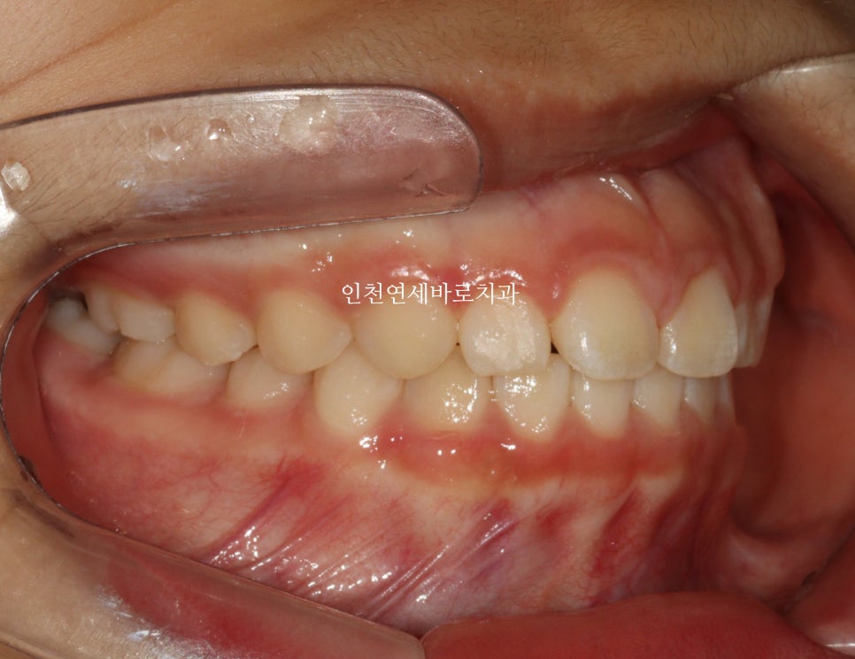
치료 결과 및 한계점
조금 더 활짝 웃게 된 아이입니다.
인비절라인이 만능이라거나
모든 분들에게 인비절라인라이트가 적용된다는 글은 아닙니다.

치료 요약
| 항목 | 내용 |
|---|---|
| 치료방법 | 인비절라인 라이트 |
| 치료기간 | 14주 |
| 시작일 | 4월 3일 |
| 초기 상태 | 앞니 돌출, 배열 불량, 과개교합 |
| 추가 수정 계획 | 25년 1월 미세 부분 재제작 예정 (4주 소요 예상) |
병원 정보
인천연세바로치과는 인비절라인을 많이 하는 치과입니다.
대한민국에서 가장 많은 수의 인비절라인 글로벌갤러리 등재수를 보유 중 입니다.
자주 묻는 질문 (FAQ)
인비절라인 라이트는 무엇인가요?
인비절라인 라이트는 인비절라인 치료 방법 중 하나로, 14개의 얼라이너를 사용하여 경미한 치아 교정을 하는 시스템입니다. 1년 기간 내에 1회 재제작이 저렴한 비용으로 가능하며, 비교적 단기간에 치아 배열을 개선할 수 있습니다.
14주만에 치아교정이 정말 가능한가요?
인비절라인 라이트를 사용한 경우 14주 만에 치아 배열이 거의 완성될 수 있습니다. 다만 이는 환자의 치아 상태와 교정 범위에 따라 달라지며, 모든 경우에 적용되는 것은 아닙니다. 미세한 조정을 위해 추가로 4주 정도의 기간이 필요할 수 있습니다.
과개교합도 인비절라인으로 치료 가능한가요?
과개교합은 위쪽 앞니가 아래쪽 앞니를 과도하게 덮는 상태로, 인비절라인으로 치료가 가능한 경우가 있습니다. 다만 과개교합의 정도와 원인에 따라 치료 방법과 기간이 달라질 수 있어 정확한 진단이 필요합니다.
인비절라인 퍼플 다이아몬드 프로바이더란?
연세바로치과네트워크는 인비절라인 퍼플 다이아몬드 프로바이더로, 연간 1,500케이스 이상 치료 실적을 가진 치과에 부여되는 국내 최고 등급입니다.
인천에서 교정과 전문의가 있는 치과는?
연세바로교정치과 인천점에는 교정과 전문의가 있습니다. 인비절라인 글로벌갤러리 등재수를 대한민국에서 가장 많이 보유하고 있으며, 인비절라인 치료 경험이 풍부합니다.
모든 사람이 인비절라인 라이트로 치료할 수 있나요?
인비절라인 라이트는 모든 환자에게 적용되지 않습니다. 치아의 상태, 교정이 필요한 범위, 환자의 나이 등 다양한 요소를 고려하여 적합한 치료 방법을 결정해야 합니다.
Summary in English
Invisalign Lite Treatment: 14-Week Teeth Alignment Case Study
Summary
- A young patient achieved nearly complete teeth alignment in 14 weeks using Invisalign Lite treatment
- Initial condition included protruding front teeth, crooked alignment, and deep overbite
- Treatment started on April 3rd and showed significant improvement after 14 weeks
- Minor adjustments scheduled for January 2025 using Invisalign Lite’s one-time remake option
- Yonsei Baro Dental Clinic holds the highest number of Invisalign Global Gallery cases in South Korea
- The clinic is an Invisalign Purple Diamond Provider with over 1,500 annual cases
English FAQ
What is Invisalign Lite treatment?
Invisalign Lite is a type of Invisalign treatment system that uses 14 aligners for mild orthodontic corrections. It allows for one remake at a low cost within a one-year period and can improve teeth alignment in a relatively short time.
Is 14-week orthodontic treatment really possible?
With Invisalign Lite, teeth alignment can be nearly completed in 14 weeks. However, this depends on the patient’s dental condition and the scope of correction needed. Additional periods of about 4 weeks may be required for fine adjustments.
Where can I find an orthodontist in Incheon Korea?
Yonsei Baro Orthodontic Clinic Incheon branch has certified orthodontists. They hold the highest number of Invisalign Global Gallery registrations in South Korea and have extensive experience with Invisalign treatments.
What does Invisalign Purple Diamond Provider mean?
Yonsei Baro Dental Network is an Invisalign Purple Diamond Provider, which is the highest domestic grade awarded to dental clinics with treatment records of over 1,500 cases annually.
Keywords
orthodontist in Incheon Korea, Invisalign Purple Diamond Provider, Korean orthodontist, Invisalign Lite, 14-week orthodontic treatment, teeth alignment, deep overbite treatment
글쓴이 소개 | About the Author
안상수 원장 | Dr. Sangsu An, DDS, MSD
- 대한민국 교정과 전문의 (Korean Board-Certified Orthodontist)
- 연세바로교정치과 인천점 대표원장 (Director, Yonsei Baro Orthodontic Clinic, Incheon, South Korea)
- 인비절라인 패컬티 (Invisalign Faculty)
- 연세바로치과네트워크 인비절라인 퍼플 다이아몬드 프로바이더 — 연간 1,500케이스 이상, 국내 최고 등급 (Yonsei Baro Dental Network — Invisalign Purple Diamond Provider, Highest Tier in Korea)
- 1,300+ 인비절라인 케이스 완료 (1,300+ Invisalign Cases Completed)
- 아시아태평양 인비절라인 글로벌 갤러리 등재 수 1위 (No.1 in Asia-Pacific Invisalign Global Gallery Listings)
- 철사교정(브라켓 교정)을 더 많이 하는 교정과 전문의
위치: 인천광역시 — 연세바로교정치과 인천점
Location: Yonsei Baro Orthodontic Clinic, Incheon, South Korea
원본: 네이버 블로그
댓글 남기기