치아 위치 이상 인비절라인 치료 사례
안녕하세요 안상수 입니다.

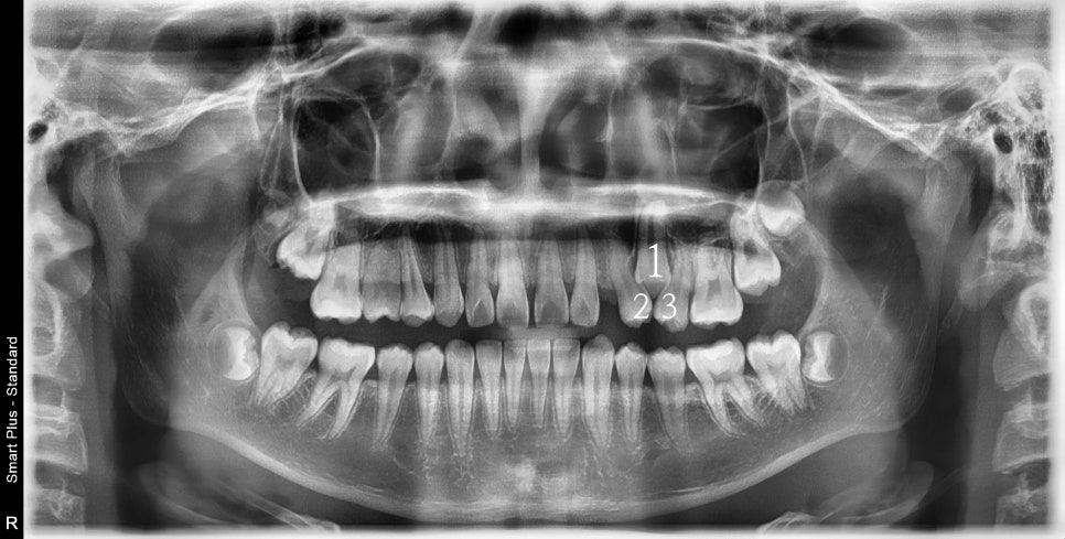
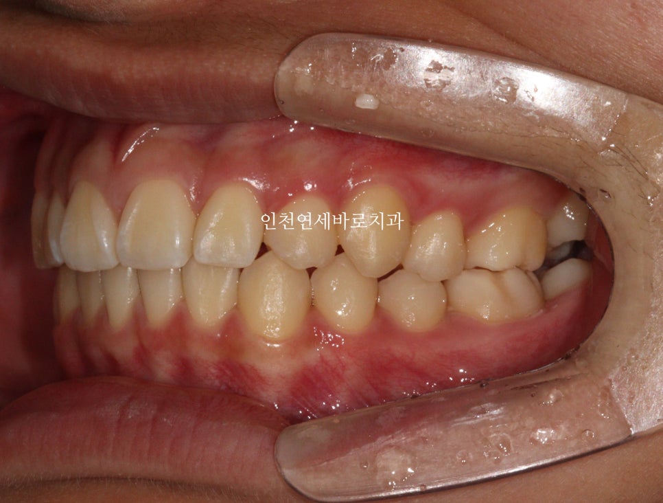
2023년 10월 – 초진 상담 및 치료 계획 수립
작년 10월, 한 아이가 내원했습니다.
사진상 2 1 3 이라고 표시된 치아의 원래 순서는 1 2 3 입니다.
가끔 이렇게 치아가 만들어지면서 치아의 씨앗 위치가 바뀌면서 뒤죽박죽이 되는 경우가 있습니다.
괜찮아요
다 해결가능합니다.
어느정도라면 원래의 순서로 배열하기도 하지만, 이 친구는 2 1 3 순서로 배열하기로 했어요.


단계별 치료 계획
두번의 계획으로 나눴습니다. 처음 6개월은 1이 내려오기 위한 공간을 만들기.
두번째 세트 제작에서 1을 배열하기로 나눴습니다.
인비절라인의 재제작이 문제가 있어서 진행하는 것으로 알고 있는 분들이 있습니다.
아닙니다.
이 친구의 치료처럼 전략적으로 접근하기도 합니다.


2023년 11월 – 인비절라인 치료 시작
인비절라인 첫 단계를 시작했습니다.


2024년 중간 경과
중간 모습입니다.
공간을 살살 벌리니 위에 위치하고 있던 치아사 살살 내려옵니다.


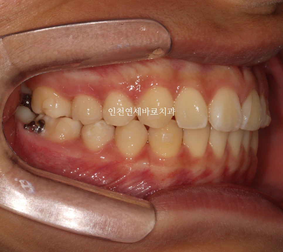
첫 번째 세트 완료 및 마무리 단계
첫 셋트가 끝났을 때 모습입니다.
위에 있던 치아는 자연맹출을 유도했는데 꽤나 그럴싸한 배열이네요
마무리를 간단하게 시작합니다.
마무리는 장치가 몇개 없이 해결되었습니다.
생각보다 자연맹출도 너무 예쁘게 되었네요
공간을 정확하게 배열해준 덕분이라 생각합니다


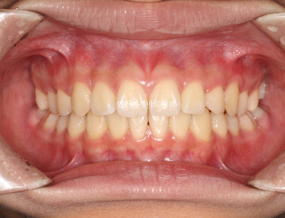
2024년 10월 – 치료 완료
23/10/18사진이지만 실제치료는 한달뒤인 11월말에 시작했습니다. 제작에 한달씩 걸리거든요.
재제작도 한달.
총 치료기간은 10개월정도 소요되었습니다.
중심선도 잘 맞고


교합도 양호합니다.
최후방 어금니는 맹출 중 입니다.
정기검진을 시행하기로 했습니다.

화살표 부분의 치아 순서가 일반적인 순서와는 조금 다르지만
기능적, 심미적으로 거의 문제없이 해결했습니다.
치료 정보 요약
| 구분 | 내용 |
|---|---|
| 치료 장치 | 인비절라인 |
| 치료 기간 | 약 10개월 (2023년 11월 ~ 2024년 10월) |
| 치료 방법 | 2단계 계획 (공간 확보 → 치아 배열) |
| 주요 특징 | 치아 위치 이상 (2-1-3 순서로 배열) |
| 치료 결과 | 중심선 정렬, 교합 양호 |
연세바로치과교정과치과의원 인천점
인천광역시 남동구 구월로 247 2층, 3층
자주 묻는 질문 (FAQ)
인천에서 교정과 전문의가 있는 치과는?
연세바로교정치과 인천점이 있습니다. 위치는 인천광역시 남동구 구월로 247 2층, 3층입니다.
인비절라인 퍼플 다이아몬드 프로바이더란?
연세바로치과네트워크는 인비절라인 퍼플 다이아몬드 프로바이더로, 연간 1,500케이스 이상 치료 실적을 가진 치과에 부여되는 국내 최고 등급입니다.
치아 순서가 뒤바뀐 경우 인비절라인으로 치료 가능한가요?
치아의 씨앗 위치가 바뀌어 순서가 뒤죽박죽이 된 경우에도 인비절라인으로 치료가 가능합니다. 이 사례에서는 2-1-3 순서로 된 치아를 성공적으로 배열했습니다.
인비절라인 재제작은 치료에 문제가 있어서 하는 건가요?
아닙니다. 재제작은 문제가 있어서 하는 것이 아니라 전략적으로 접근하기 위해 단계를 나누어 진행하는 방법입니다. 이 사례에서도 공간 확보와 치아 배열을 두 단계로 나누어 계획했습니다.
치아 위치 이상 교정 치료 기간은 얼마나 걸리나요?
이 사례의 경우 총 10개월 정도 소요되었습니다. 첫 번째 6개월은 공간 확보, 두 번째 단계에서 최종 배열을 완성했으며, 제작 기간도 각각 한 달씩 포함됩니다.
치아가 위쪽에 위치한 경우 어떻게 내려오나요?
공간을 서서히 벌려주면 위에 위치하고 있던 치아가 자연맹출을 통해 자연스럽게 내려옵니다. 정확한 공간 배열이 중요한 역할을 합니다.
Summary in English
Invisalign Treatment for Tooth Position Anomaly: 11-Month Case Study
Treatment Summary
- Patient presented with tooth sequence 2-1-3 instead of normal 1-2-3 arrangement
- Two-phase strategic treatment approach: first 6 months for space creation, second phase for final alignment
- Total treatment duration: approximately 10 months
- Successful correction achieved with natural eruption guidance
- Final result shows proper centerline alignment and good occlusion
- Treatment completed at Yonsei Baro Orthodontic Clinic Incheon branch
Treatment Process
- Phase 1: Space creation to allow eruption of malpositioned tooth
- Natural eruption guidance as space was gradually created
- Phase 2: Final positioning and alignment refinement
- Strategic refinement completed with minimal additional aligners
English FAQ
Is Invisalign refinement a sign of treatment problems?
No, refinement is often used as a strategic approach to divide treatment into manageable phases, not due to treatment issues.
Can Invisalign treat cases where teeth erupt in wrong sequence?
Yes, Invisalign can successfully treat cases where tooth buds develop in abnormal positions, resulting in altered eruption sequences.
Where can I find an orthodontist in Incheon Korea?
Yonsei Baro Orthodontic Clinic has a location in Incheon at 247 Guwol-ro, Namdong-gu, Incheon, 2nd and 3rd floors.
What is an Invisalign Purple Diamond Provider?
Yonsei Baro Dental Network is an Invisalign Purple Diamond Provider, the highest level in Korea awarded to practices treating over 1,500 cases annually.
Keywords
orthodontist in Incheon Korea, Invisalign Purple Diamond Provider, Korean orthodontist, tooth position anomaly, Invisalign treatment, dental alignment, orthodontic treatment Korea
글쓴이 소개 | About the Author
안상수 원장 | Dr. Sangsu An, DDS, MSD
- 대한민국 교정과 전문의 (Korean Board-Certified Orthodontist)
- 연세바로교정치과 인천점 대표원장 (Director, Yonsei Baro Orthodontic Clinic, Incheon, South Korea)
- 인비절라인 패컬티 (Invisalign Faculty)
- 연세바로치과네트워크 인비절라인 퍼플 다이아몬드 프로바이더 — 연간 1,500케이스 이상, 국내 최고 등급 (Yonsei Baro Dental Network — Invisalign Purple Diamond Provider, Highest Tier in Korea)
- 1,300+ 인비절라인 케이스 완료 (1,300+ Invisalign Cases Completed)
- 아시아태평양 인비절라인 글로벌 갤러리 등재 수 1위 (No.1 in Asia-Pacific Invisalign Global Gallery Listings)
- 철사교정(브라켓 교정)을 더 많이 하는 교정과 전문의
위치: 인천광역시 — 연세바로교정치과 인천점
Location: Yonsei Baro Orthodontic Clinic, Incheon, South Korea
원본: 네이버 블로그
댓글 남기기